小十二指肠腺癌伴腹膜播散性十二指肠布伦纳腺增生。

IF 0.7 Q4 ONCOLOGY
Case Reports in Oncology Pub Date : 2025-07-03 eCollection Date: 2025-01-01 DOI:10.1159/000547237
Masao Yoshida, Yoichi Yamamoto, Hiroyuki Ono
{"title":"小十二指肠腺癌伴腹膜播散性十二指肠布伦纳腺增生。","authors":"Masao Yoshida, Yoichi Yamamoto, Hiroyuki Ono","doi":"10.1159/000547237","DOIUrl":null,"url":null,"abstract":"<p><strong>Introduction: </strong>Gastric-phenotype non-ampullary duodenal carcinomas are rare but potentially aggressive tumors.</p><p><strong>Case presentation: </strong>A 52-year-old woman was referred for a duodenal polyp. Endoscopy revealed multiple duodenal bulb polyps suggestive of Brunner's gland hyperplasia. Histopathology confirmed well-differentiated tubular adenocarcinoma with submucosal invasion and a positive margin. The patient underwent pancreaticoduodenectomy, and residual subserosal carcinoma was detected. Despite adjuvant chemotherapy, liver metastases and peritoneal dissemination developed 7 months postoperatively. The patient died 24 months after surgery.</p><p><strong>Conclusion: </strong>This case highlights the aggressive nature of gastric-phenotype duodenal adenocarcinoma and the need for early radical surgical intervention when vertical margins are positive after endoscopic resection.</p>","PeriodicalId":9625,"journal":{"name":"Case Reports in Oncology","volume":"18 1","pages":"1069-1073"},"PeriodicalIF":0.7000,"publicationDate":"2025-07-03","publicationTypes":"Journal Article","fieldsOfStudy":null,"isOpenAccess":false,"openAccessPdf":"https://www.ncbi.nlm.nih.gov/pmc/articles/PMC12327926/pdf/","citationCount":"0","resultStr":"{\"title\":\"Small Duodenal Adenocarcinoma with Peritoneal Dissemination Mimicking Duodenal Brunner's Gland Hyperplasia.\",\"authors\":\"Masao Yoshida, Yoichi Yamamoto, Hiroyuki Ono\",\"doi\":\"10.1159/000547237\",\"DOIUrl\":null,\"url\":null,\"abstract\":\"<p><strong>Introduction: </strong>Gastric-phenotype non-ampullary duodenal carcinomas are rare but potentially aggressive tumors.</p><p><strong>Case presentation: </strong>A 52-year-old woman was referred for a duodenal polyp. Endoscopy revealed multiple duodenal bulb polyps suggestive of Brunner's gland hyperplasia. Histopathology confirmed well-differentiated tubular adenocarcinoma with submucosal invasion and a positive margin. The patient underwent pancreaticoduodenectomy, and residual subserosal carcinoma was detected. Despite adjuvant chemotherapy, liver metastases and peritoneal dissemination developed 7 months postoperatively. The patient died 24 months after surgery.</p><p><strong>Conclusion: </strong>This case highlights the aggressive nature of gastric-phenotype duodenal adenocarcinoma and the need for early radical surgical intervention when vertical margins are positive after endoscopic resection.</p>\",\"PeriodicalId\":9625,\"journal\":{\"name\":\"Case Reports in Oncology\",\"volume\":\"18 1\",\"pages\":\"1069-1073\"},\"PeriodicalIF\":0.7000,\"publicationDate\":\"2025-07-03\",\"publicationTypes\":\"Journal Article\",\"fieldsOfStudy\":null,\"isOpenAccess\":false,\"openAccessPdf\":\"https://www.ncbi.nlm.nih.gov/pmc/articles/PMC12327926/pdf/\",\"citationCount\":\"0\",\"resultStr\":null,\"platform\":\"Semanticscholar\",\"paperid\":null,\"PeriodicalName\":\"Case Reports in Oncology\",\"FirstCategoryId\":\"1085\",\"ListUrlMain\":\"https://doi.org/10.1159/000547237\",\"RegionNum\":0,\"RegionCategory\":null,\"ArticlePicture\":[],\"TitleCN\":null,\"AbstractTextCN\":null,\"PMCID\":null,\"EPubDate\":\"2025/1/1 0:00:00\",\"PubModel\":\"eCollection\",\"JCR\":\"Q4\",\"JCRName\":\"ONCOLOGY\",\"Score\":null,\"Total\":0}","platform":"Semanticscholar","paperid":null,"PeriodicalName":"Case Reports in Oncology","FirstCategoryId":"1085","ListUrlMain":"https://doi.org/10.1159/000547237","RegionNum":0,"RegionCategory":null,"ArticlePicture":[],"TitleCN":null,"AbstractTextCN":null,"PMCID":null,"EPubDate":"2025/1/1 0:00:00","PubModel":"eCollection","JCR":"Q4","JCRName":"ONCOLOGY","Score":null,"Total":0}
引用次数: 0

摘要

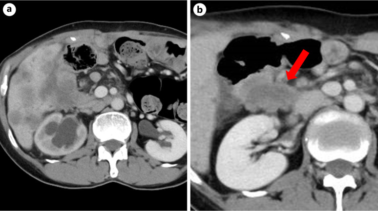
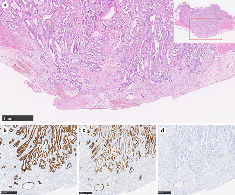
胃型非壶腹性十二指肠癌是一种罕见但具有潜在侵袭性的肿瘤。病例介绍:一名52岁女性因十二指肠息肉就诊。内镜检查显示十二指肠多发球息肉,提示布伦纳腺增生。组织病理学证实为高分化管状腺癌,伴粘膜下浸润,边缘呈阳性。患者行胰十二指肠切除术,发现残余浆膜下癌。尽管有辅助化疗,术后7个月仍出现肝转移和腹膜播散。患者在手术后24个月死亡。结论:本病例强调了胃型十二指肠腺癌的侵袭性,以及内镜切除后垂直缘呈阳性时早期根治性手术干预的必要性。
本文章由计算机程序翻译,如有差异,请以英文原文为准。

Small Duodenal Adenocarcinoma with Peritoneal Dissemination Mimicking Duodenal Brunner's Gland Hyperplasia.

Small Duodenal Adenocarcinoma with Peritoneal Dissemination Mimicking Duodenal Brunner's Gland Hyperplasia.

Small Duodenal Adenocarcinoma with Peritoneal Dissemination Mimicking Duodenal Brunner's Gland Hyperplasia.

Small Duodenal Adenocarcinoma with Peritoneal Dissemination Mimicking Duodenal Brunner's Gland Hyperplasia.

Introduction: Gastric-phenotype non-ampullary duodenal carcinomas are rare but potentially aggressive tumors.

Case presentation: A 52-year-old woman was referred for a duodenal polyp. Endoscopy revealed multiple duodenal bulb polyps suggestive of Brunner's gland hyperplasia. Histopathology confirmed well-differentiated tubular adenocarcinoma with submucosal invasion and a positive margin. The patient underwent pancreaticoduodenectomy, and residual subserosal carcinoma was detected. Despite adjuvant chemotherapy, liver metastases and peritoneal dissemination developed 7 months postoperatively. The patient died 24 months after surgery.

Conclusion: This case highlights the aggressive nature of gastric-phenotype duodenal adenocarcinoma and the need for early radical surgical intervention when vertical margins are positive after endoscopic resection.

求助全文
通过发布文献求助,成功后即可免费获取论文全文。 去求助
来源期刊
CiteScore
1.40
自引率
12.50%
发文量
151
审稿时长
7 weeks
×
引用
GB/T 7714-2015
复制
MLA
复制
APA
复制
导出至
BibTeX EndNote RefMan NoteFirst NoteExpress
×
提示
您的信息不完整,为了账户安全,请先补充。
现在去补充
×
提示
您因"违规操作"
具体请查看互助需知
我知道了
×
提示
确定
请完成安全验证×
copy
已复制链接
快去分享给好友吧!
我知道了
右上角分享
点击右上角分享
0
联系我们:info@booksci.cn Book学术提供免费学术资源搜索服务,方便国内外学者检索中英文文献。致力于提供最便捷和优质的服务体验。 Copyright © 2023 布克学术 All rights reserved.
京ICP备2023020795号-1
ghs 京公网安备 11010802042870号
Book学术文献互助
Book学术文献互助群
群 号:604180095
Book学术官方微信