伪装成恶性的肾上腺偶发瘤:一例罕见的神经节神经瘤伴淋巴结转移。

IF 0.7 Q4 ONCOLOGY
Case Reports in Oncology Pub Date : 2025-06-25 eCollection Date: 2025-01-01 DOI:10.1159/000547075
Shahrukh Memon, Saurabh Raj, Rudrakshi Mahaldar
{"title":"伪装成恶性的肾上腺偶发瘤:一例罕见的神经节神经瘤伴淋巴结转移。","authors":"Shahrukh Memon, Saurabh Raj, Rudrakshi Mahaldar","doi":"10.1159/000547075","DOIUrl":null,"url":null,"abstract":"<p><strong>Introduction: </strong>Adrenal ganglioneuromas are rare benign tumours, accounting for 0.3%-2% of adrenal incidentalomas. They arise from Schwann and ganglion cells and often mimic adrenal cortical carcinoma clinically and radiologically. Despite their benign nature, metastatic deposits in lymph nodes have been reported, suggesting tumour maturation. Diagnosis is typically confirmed through postoperative histopathology.</p><p><strong>Case presentation: </strong>A male patient in his early 60s with a history of hypertension presented with an adrenal incidentaloma. Imaging revealed a well-defined, hypodense right adrenal mass (35 HU) with calcifications and an enlarged aortocaval lymph node, raising suspicion for carcinoma. Biochemical analysis showed a non-functional adrenal tumour. Intraoperatively, the mass appeared benign, but the lymph node deposit suggested malignancy. Histopathological examination confirmed right adrenal ganglioneuroma with metastatic deposits in the aortocaval lymph nodes. The patient recovered well postoperatively, with normal serum cortisol levels and no signs of recurrence at 6-month follow-up.</p><p><strong>Conclusion: </strong>Adrenal ganglioneuromas can present as adrenal incidentalomas with lymph node involvement, mimicking malignancy. Surgery remains the gold standard for treatment, and postoperative histopathology is crucial for diagnosis. In such cases, no adjuvant therapy or stringent follow-up is required after surgical removal.</p>","PeriodicalId":9625,"journal":{"name":"Case Reports in Oncology","volume":"18 1","pages":"1057-1062"},"PeriodicalIF":0.7000,"publicationDate":"2025-06-25","publicationTypes":"Journal Article","fieldsOfStudy":null,"isOpenAccess":false,"openAccessPdf":"https://www.ncbi.nlm.nih.gov/pmc/articles/PMC12327930/pdf/","citationCount":"0","resultStr":"{\"title\":\"Adrenal Incidentaloma Masquerading as Malignancy: A Rare Case of Ganglioneuroma with Nodal Metastasis.\",\"authors\":\"Shahrukh Memon, Saurabh Raj, Rudrakshi Mahaldar\",\"doi\":\"10.1159/000547075\",\"DOIUrl\":null,\"url\":null,\"abstract\":\"<p><strong>Introduction: </strong>Adrenal ganglioneuromas are rare benign tumours, accounting for 0.3%-2% of adrenal incidentalomas. They arise from Schwann and ganglion cells and often mimic adrenal cortical carcinoma clinically and radiologically. Despite their benign nature, metastatic deposits in lymph nodes have been reported, suggesting tumour maturation. Diagnosis is typically confirmed through postoperative histopathology.</p><p><strong>Case presentation: </strong>A male patient in his early 60s with a history of hypertension presented with an adrenal incidentaloma. Imaging revealed a well-defined, hypodense right adrenal mass (35 HU) with calcifications and an enlarged aortocaval lymph node, raising suspicion for carcinoma. Biochemical analysis showed a non-functional adrenal tumour. Intraoperatively, the mass appeared benign, but the lymph node deposit suggested malignancy. Histopathological examination confirmed right adrenal ganglioneuroma with metastatic deposits in the aortocaval lymph nodes. The patient recovered well postoperatively, with normal serum cortisol levels and no signs of recurrence at 6-month follow-up.</p><p><strong>Conclusion: </strong>Adrenal ganglioneuromas can present as adrenal incidentalomas with lymph node involvement, mimicking malignancy. Surgery remains the gold standard for treatment, and postoperative histopathology is crucial for diagnosis. In such cases, no adjuvant therapy or stringent follow-up is required after surgical removal.</p>\",\"PeriodicalId\":9625,\"journal\":{\"name\":\"Case Reports in Oncology\",\"volume\":\"18 1\",\"pages\":\"1057-1062\"},\"PeriodicalIF\":0.7000,\"publicationDate\":\"2025-06-25\",\"publicationTypes\":\"Journal Article\",\"fieldsOfStudy\":null,\"isOpenAccess\":false,\"openAccessPdf\":\"https://www.ncbi.nlm.nih.gov/pmc/articles/PMC12327930/pdf/\",\"citationCount\":\"0\",\"resultStr\":null,\"platform\":\"Semanticscholar\",\"paperid\":null,\"PeriodicalName\":\"Case Reports in Oncology\",\"FirstCategoryId\":\"1085\",\"ListUrlMain\":\"https://doi.org/10.1159/000547075\",\"RegionNum\":0,\"RegionCategory\":null,\"ArticlePicture\":[],\"TitleCN\":null,\"AbstractTextCN\":null,\"PMCID\":null,\"EPubDate\":\"2025/1/1 0:00:00\",\"PubModel\":\"eCollection\",\"JCR\":\"Q4\",\"JCRName\":\"ONCOLOGY\",\"Score\":null,\"Total\":0}","platform":"Semanticscholar","paperid":null,"PeriodicalName":"Case Reports in Oncology","FirstCategoryId":"1085","ListUrlMain":"https://doi.org/10.1159/000547075","RegionNum":0,"RegionCategory":null,"ArticlePicture":[],"TitleCN":null,"AbstractTextCN":null,"PMCID":null,"EPubDate":"2025/1/1 0:00:00","PubModel":"eCollection","JCR":"Q4","JCRName":"ONCOLOGY","Score":null,"Total":0}
引用次数: 0

摘要

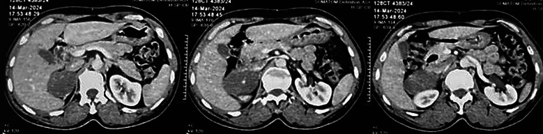
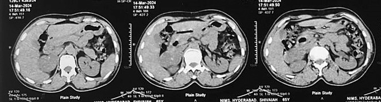
简介:肾上腺神经节神经瘤是一种罕见的良性肿瘤,约占肾上腺偶发瘤的0.3%-2%。它们起源于雪旺细胞和神经节细胞,在临床和放射学上常与肾上腺皮质癌相似。尽管它们的性质是良性的,但有报道称淋巴结中的转移性沉积表明肿瘤已经成熟。诊断通常通过术后组织病理学证实。病例介绍:一位60岁出头的男性患者,有高血压病史,并发肾上腺偶发瘤。影像学显示右侧肾上腺有明确的低密度肿块(35hu)伴钙化及主动脉腔淋巴结肿大,怀疑为癌。生化分析显示为非功能性肾上腺肿瘤。术中肿块呈良性,但淋巴结沉积提示为恶性。组织病理学检查证实右侧肾上腺神经节神经瘤伴腹主动脉淋巴结转移沉积。患者术后恢复良好,6个月随访时血清皮质醇水平正常,无复发迹象。结论:肾上腺神经节神经瘤可表现为累及淋巴结的肾上腺偶发瘤,类似恶性肿瘤。手术仍然是治疗的金标准,术后组织病理学对诊断至关重要。在这种情况下,手术切除后不需要辅助治疗或严格的随访。
本文章由计算机程序翻译,如有差异,请以英文原文为准。

Adrenal Incidentaloma Masquerading as Malignancy: A Rare Case of Ganglioneuroma with Nodal Metastasis.

Adrenal Incidentaloma Masquerading as Malignancy: A Rare Case of Ganglioneuroma with Nodal Metastasis.

Adrenal Incidentaloma Masquerading as Malignancy: A Rare Case of Ganglioneuroma with Nodal Metastasis.

Adrenal Incidentaloma Masquerading as Malignancy: A Rare Case of Ganglioneuroma with Nodal Metastasis.

Introduction: Adrenal ganglioneuromas are rare benign tumours, accounting for 0.3%-2% of adrenal incidentalomas. They arise from Schwann and ganglion cells and often mimic adrenal cortical carcinoma clinically and radiologically. Despite their benign nature, metastatic deposits in lymph nodes have been reported, suggesting tumour maturation. Diagnosis is typically confirmed through postoperative histopathology.

Case presentation: A male patient in his early 60s with a history of hypertension presented with an adrenal incidentaloma. Imaging revealed a well-defined, hypodense right adrenal mass (35 HU) with calcifications and an enlarged aortocaval lymph node, raising suspicion for carcinoma. Biochemical analysis showed a non-functional adrenal tumour. Intraoperatively, the mass appeared benign, but the lymph node deposit suggested malignancy. Histopathological examination confirmed right adrenal ganglioneuroma with metastatic deposits in the aortocaval lymph nodes. The patient recovered well postoperatively, with normal serum cortisol levels and no signs of recurrence at 6-month follow-up.

Conclusion: Adrenal ganglioneuromas can present as adrenal incidentalomas with lymph node involvement, mimicking malignancy. Surgery remains the gold standard for treatment, and postoperative histopathology is crucial for diagnosis. In such cases, no adjuvant therapy or stringent follow-up is required after surgical removal.

求助全文
通过发布文献求助,成功后即可免费获取论文全文。 去求助
来源期刊
CiteScore
1.40
自引率
12.50%
发文量
151
审稿时长
7 weeks
×
引用
GB/T 7714-2015
复制
MLA
复制
APA
复制
导出至
BibTeX EndNote RefMan NoteFirst NoteExpress
×
提示
您的信息不完整,为了账户安全,请先补充。
现在去补充
×
提示
您因"违规操作"
具体请查看互助需知
我知道了
×
提示
确定
请完成安全验证×
copy
已复制链接
快去分享给好友吧!
我知道了
右上角分享
点击右上角分享
0
联系我们:info@booksci.cn Book学术提供免费学术资源搜索服务,方便国内外学者检索中英文文献。致力于提供最便捷和优质的服务体验。 Copyright © 2023 布克学术 All rights reserved.
京ICP备2023020795号-1
ghs 京公网安备 11010802042870号
Book学术文献互助
Book学术文献互助群
群 号:604180095
Book学术官方微信