静脉-静脉体外膜氧合导管相关上腔静脉综合征无预先存在狭窄的成人患者:1例报告。

IF 2.8 3区 医学 Q2 RESPIRATORY SYSTEM
Xiao Song, Jian Wang, Liang Zong, Hui Jiang, Di Shi, Huadong Zhu
{"title":"静脉-静脉体外膜氧合导管相关上腔静脉综合征无预先存在狭窄的成人患者:1例报告。","authors":"Xiao Song, Jian Wang, Liang Zong, Hui Jiang, Di Shi, Huadong Zhu","doi":"10.1186/s12890-025-03851-2","DOIUrl":null,"url":null,"abstract":"<p><strong>Background: </strong>The use of venovenous extracorporeal membrane oxygenation (VV ECMO) for severe adult respiratory failure is rapidly increasing worldwide. To date, no studies have documented early-onset superior vena cava (SVC) stenosis caused solely by ECMO cannula placement in adults without pre-existing anatomical abnormalities, leading to SVC syndrome.</p><p><strong>Case presentation: </strong>We report the first case of SVC syndrome in an adult patient with pre-existing SVC angulation, exacerbated by cannula placement during VV ECMO therapy. Serial venous-phase chest CT scans (pre-ECMO and during ECMO support) demonstrated progressive luminal narrowing at the cannula tip site, correlating with clinical manifestations of SVC obstruction. The patient was successfully weaned from VV ECMO, achieved complete resolution of SVC syndrome symptoms, and was discharged without neurological sequelae.</p><p><strong>Conclusions: </strong>This case provides definitive imaging evidence that ECMO cannula placement alone can induce acute SVC stenosis in patients with pre-existing vascular tortuosity. Our findings strongly advocate for pre-procedural vascular imaging assessment and real-time monitoring during ECMO support to mitigate this life-threatening complication.</p>","PeriodicalId":9148,"journal":{"name":"BMC Pulmonary Medicine","volume":"25 1","pages":"375"},"PeriodicalIF":2.8000,"publicationDate":"2025-08-06","publicationTypes":"Journal Article","fieldsOfStudy":null,"isOpenAccess":false,"openAccessPdf":"https://www.ncbi.nlm.nih.gov/pmc/articles/PMC12326645/pdf/","citationCount":"0","resultStr":"{\"title\":\"Venovenous extracorporeal membrane oxygenation catheter related superior vena cava syndrome without pre-existing stenosis in an adult patient: a case report.\",\"authors\":\"Xiao Song, Jian Wang, Liang Zong, Hui Jiang, Di Shi, Huadong Zhu\",\"doi\":\"10.1186/s12890-025-03851-2\",\"DOIUrl\":null,\"url\":null,\"abstract\":\"<p><strong>Background: </strong>The use of venovenous extracorporeal membrane oxygenation (VV ECMO) for severe adult respiratory failure is rapidly increasing worldwide. To date, no studies have documented early-onset superior vena cava (SVC) stenosis caused solely by ECMO cannula placement in adults without pre-existing anatomical abnormalities, leading to SVC syndrome.</p><p><strong>Case presentation: </strong>We report the first case of SVC syndrome in an adult patient with pre-existing SVC angulation, exacerbated by cannula placement during VV ECMO therapy. Serial venous-phase chest CT scans (pre-ECMO and during ECMO support) demonstrated progressive luminal narrowing at the cannula tip site, correlating with clinical manifestations of SVC obstruction. The patient was successfully weaned from VV ECMO, achieved complete resolution of SVC syndrome symptoms, and was discharged without neurological sequelae.</p><p><strong>Conclusions: </strong>This case provides definitive imaging evidence that ECMO cannula placement alone can induce acute SVC stenosis in patients with pre-existing vascular tortuosity. Our findings strongly advocate for pre-procedural vascular imaging assessment and real-time monitoring during ECMO support to mitigate this life-threatening complication.</p>\",\"PeriodicalId\":9148,\"journal\":{\"name\":\"BMC Pulmonary Medicine\",\"volume\":\"25 1\",\"pages\":\"375\"},\"PeriodicalIF\":2.8000,\"publicationDate\":\"2025-08-06\",\"publicationTypes\":\"Journal Article\",\"fieldsOfStudy\":null,\"isOpenAccess\":false,\"openAccessPdf\":\"https://www.ncbi.nlm.nih.gov/pmc/articles/PMC12326645/pdf/\",\"citationCount\":\"0\",\"resultStr\":null,\"platform\":\"Semanticscholar\",\"paperid\":null,\"PeriodicalName\":\"BMC Pulmonary Medicine\",\"FirstCategoryId\":\"3\",\"ListUrlMain\":\"https://doi.org/10.1186/s12890-025-03851-2\",\"RegionNum\":3,\"RegionCategory\":\"医学\",\"ArticlePicture\":[],\"TitleCN\":null,\"AbstractTextCN\":null,\"PMCID\":null,\"EPubDate\":\"\",\"PubModel\":\"\",\"JCR\":\"Q2\",\"JCRName\":\"RESPIRATORY SYSTEM\",\"Score\":null,\"Total\":0}","platform":"Semanticscholar","paperid":null,"PeriodicalName":"BMC Pulmonary Medicine","FirstCategoryId":"3","ListUrlMain":"https://doi.org/10.1186/s12890-025-03851-2","RegionNum":3,"RegionCategory":"医学","ArticlePicture":[],"TitleCN":null,"AbstractTextCN":null,"PMCID":null,"EPubDate":"","PubModel":"","JCR":"Q2","JCRName":"RESPIRATORY SYSTEM","Score":null,"Total":0}
引用次数: 0

摘要

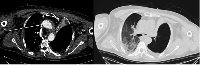
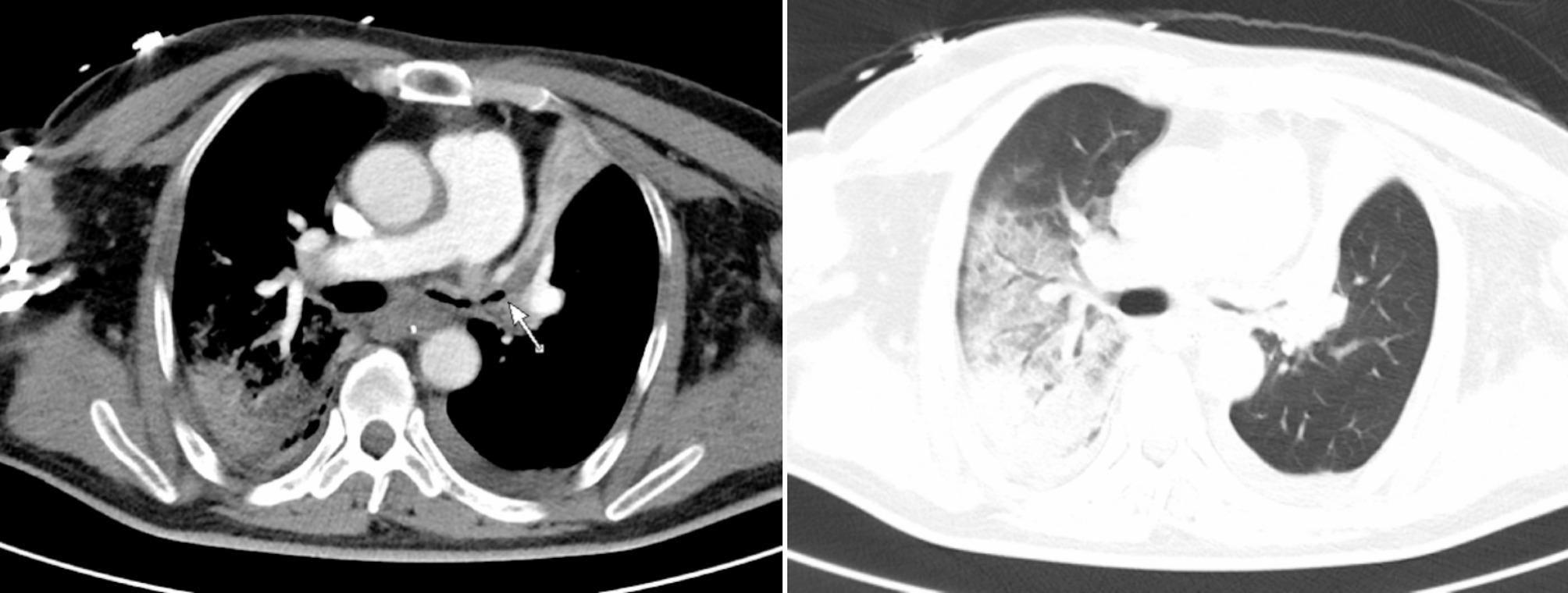
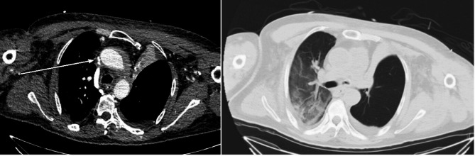
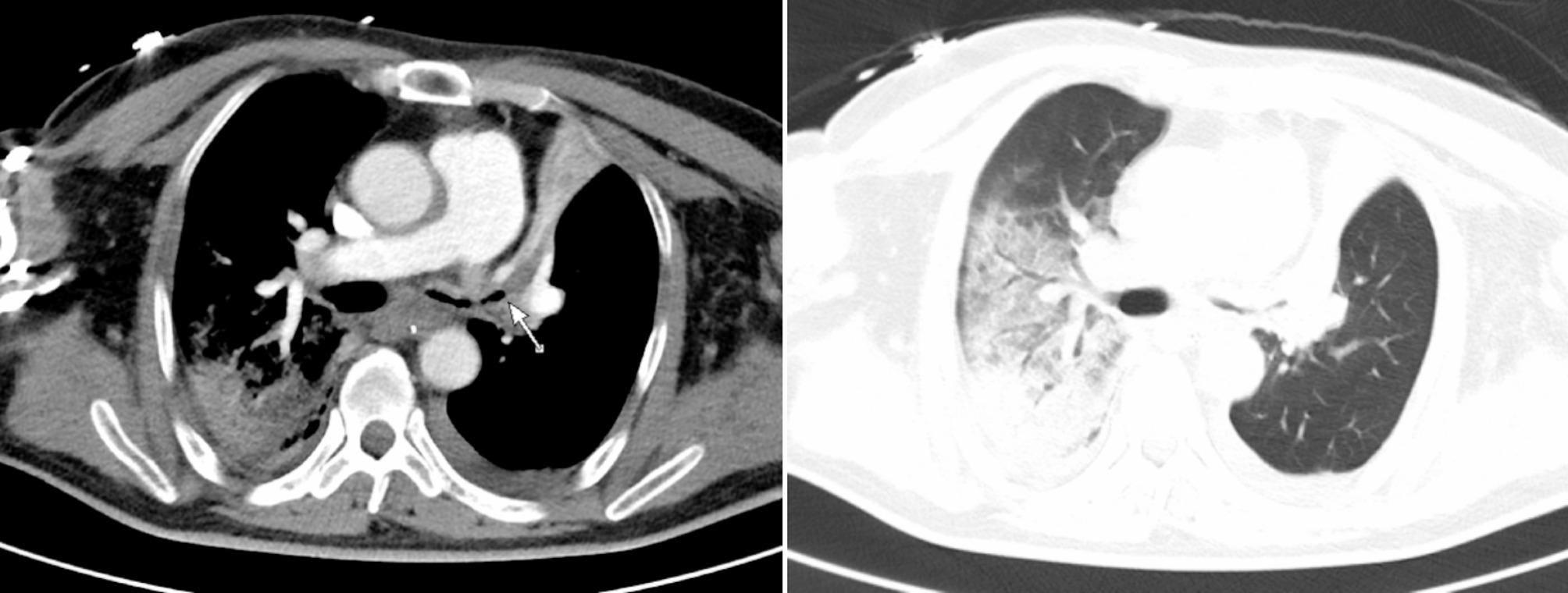
背景:在世界范围内,静脉-静脉体外膜氧合(VV ECMO)治疗严重成人呼吸衰竭的应用正在迅速增加。迄今为止,还没有研究证实在没有预先存在解剖异常的成人中,单纯由ECMO插管引起的早发性上腔静脉(SVC)狭窄导致SVC综合征。病例介绍:我们报告了第一例SVC综合征的成人患者,先前存在SVC成弓,在VV ECMO治疗期间插管加重。连续静脉期胸部CT扫描(ECMO前和ECMO支持期间)显示导管尖端处进行性管腔狭窄,与SVC梗阻的临床表现相关。患者成功脱离VV ECMO, SVC综合征症状完全缓解,出院时无神经系统后遗症。结论:本病例提供了明确的影像学证据,证明单纯ECMO置管可引起血管扭曲患者的急性SVC狭窄。我们的研究结果强烈建议在ECMO支持期间进行手术前血管成像评估和实时监测,以减轻这种危及生命的并发症。
本文章由计算机程序翻译,如有差异,请以英文原文为准。

Venovenous extracorporeal membrane oxygenation catheter related superior vena cava syndrome without pre-existing stenosis in an adult patient: a case report.

Venovenous extracorporeal membrane oxygenation catheter related superior vena cava syndrome without pre-existing stenosis in an adult patient: a case report.

Venovenous extracorporeal membrane oxygenation catheter related superior vena cava syndrome without pre-existing stenosis in an adult patient: a case report.

Venovenous extracorporeal membrane oxygenation catheter related superior vena cava syndrome without pre-existing stenosis in an adult patient: a case report.

Venovenous extracorporeal membrane oxygenation catheter related superior vena cava syndrome without pre-existing stenosis in an adult patient: a case report.

Venovenous extracorporeal membrane oxygenation catheter related superior vena cava syndrome without pre-existing stenosis in an adult patient: a case report.

Venovenous extracorporeal membrane oxygenation catheter related superior vena cava syndrome without pre-existing stenosis in an adult patient: a case report.

Background: The use of venovenous extracorporeal membrane oxygenation (VV ECMO) for severe adult respiratory failure is rapidly increasing worldwide. To date, no studies have documented early-onset superior vena cava (SVC) stenosis caused solely by ECMO cannula placement in adults without pre-existing anatomical abnormalities, leading to SVC syndrome.

Case presentation: We report the first case of SVC syndrome in an adult patient with pre-existing SVC angulation, exacerbated by cannula placement during VV ECMO therapy. Serial venous-phase chest CT scans (pre-ECMO and during ECMO support) demonstrated progressive luminal narrowing at the cannula tip site, correlating with clinical manifestations of SVC obstruction. The patient was successfully weaned from VV ECMO, achieved complete resolution of SVC syndrome symptoms, and was discharged without neurological sequelae.

Conclusions: This case provides definitive imaging evidence that ECMO cannula placement alone can induce acute SVC stenosis in patients with pre-existing vascular tortuosity. Our findings strongly advocate for pre-procedural vascular imaging assessment and real-time monitoring during ECMO support to mitigate this life-threatening complication.

求助全文
通过发布文献求助,成功后即可免费获取论文全文。 去求助
来源期刊
BMC Pulmonary Medicine
BMC Pulmonary Medicine RESPIRATORY SYSTEM-
CiteScore
4.40
自引率
3.20%
发文量
423
审稿时长
6-12 weeks
期刊介绍: BMC Pulmonary Medicine is an open access, peer-reviewed journal that considers articles on all aspects of the prevention, diagnosis and management of pulmonary and associated disorders, as well as related molecular genetics, pathophysiology, and epidemiology.
×
引用
GB/T 7714-2015
复制
MLA
复制
APA
复制
导出至
BibTeX EndNote RefMan NoteFirst NoteExpress
×
提示
您的信息不完整,为了账户安全,请先补充。
现在去补充
×
提示
您因"违规操作"
具体请查看互助需知
我知道了
×
提示
确定
请完成安全验证×
copy
已复制链接
快去分享给好友吧!
我知道了
右上角分享
点击右上角分享
0
联系我们:info@booksci.cn Book学术提供免费学术资源搜索服务,方便国内外学者检索中英文文献。致力于提供最便捷和优质的服务体验。 Copyright © 2023 布克学术 All rights reserved.
京ICP备2023020795号-1
ghs 京公网安备 11010802042870号
Book学术文献互助
Book学术文献互助群
群 号:604180095
Book学术官方微信