低强度耐力运动和低剂量氯化锂对高脂饮食诱导的肥胖大鼠肌肉萎缩的影响。

Physical activity and nutrition Pub Date : 2025-06-01 Epub Date: 2025-06-30 DOI:10.20463/pan.2025.0010
Su-Ryun Jung
{"title":"低强度耐力运动和低剂量氯化锂对高脂饮食诱导的肥胖大鼠肌肉萎缩的影响。","authors":"Su-Ryun Jung","doi":"10.20463/pan.2025.0010","DOIUrl":null,"url":null,"abstract":"<p><strong>Purpose: </strong>We provided basic scientific data to help prevent and treat sarcopenia in young obese individuals by observing the effects of low-intensity endurance exercise and low-dose lithium treatment on skeletal muscle atrophy in rats with high-fat diet (HFD)-induced obesity.</p><p><strong>Methods: </strong>Six-week-old male Wistar rats were fed an HFD for 8 weeks to induce obesity. Next, rats were randomly assigned to four groups and treated with lithium or exercise for 8 weeks. Lithium (10 mg/kg lithium chloride [LiCl], gavage) or endurance exercise (17 m/min, 30 min/day) was performed once daily for 5 days per week. After the experiment, body composition was measured using dual-energy X-ray absorptiometry (DEXA), and tissues were extracted after anesthesia and analyzed.</p><p><strong>Results: </strong>Endurance exercise or 8 weeks of lithium had no significant effect on the morphology of the liver and kidney tissues in rats. Although lithium and endurance exercises alone increased the lean body mass, the difference was not statistically significant. However, combined treatment with lithium and endurance exercise significantly increased the lean body mass. No significant difference was noted in the abdominal fat mass between the groups. Eight weeks of lithium or endurance exercise did not affect the mechanistic target of rapamycin (mTOR) expression in the skeletal muscles of obese rats. However, it significantly inhibited the FOXO1 signaling pathway, a muscle atrophy signal, and reduced the expression of tumor necrosis factor (TNF) α.</p><p><strong>Conclusion: </strong>A combination of low-intensity endurance exercise and low-dose lithium prevented muscle atrophy (wasting) by inhibiting the FOXO1 signaling pathway in skeletal muscles. Therefore, light walking and lithium supplementation in daily life are expected to prevent muscle atrophy in obese patients. However, it is difficult to draw definitive conclusions based on the results of this study alone and additional research is warranted.</p>","PeriodicalId":74444,"journal":{"name":"Physical activity and nutrition","volume":"29 2","pages":"19-25"},"PeriodicalIF":0.0000,"publicationDate":"2025-06-01","publicationTypes":"Journal Article","fieldsOfStudy":null,"isOpenAccess":false,"openAccessPdf":"https://www.ncbi.nlm.nih.gov/pmc/articles/PMC12325878/pdf/","citationCount":"0","resultStr":"{\"title\":\"Effects of low-intensity endurance exercise and low-dose lithium chloride administration on muscle atrophy in high-fat diet induced obese rats.\",\"authors\":\"Su-Ryun Jung\",\"doi\":\"10.20463/pan.2025.0010\",\"DOIUrl\":null,\"url\":null,\"abstract\":\"<p><strong>Purpose: </strong>We provided basic scientific data to help prevent and treat sarcopenia in young obese individuals by observing the effects of low-intensity endurance exercise and low-dose lithium treatment on skeletal muscle atrophy in rats with high-fat diet (HFD)-induced obesity.</p><p><strong>Methods: </strong>Six-week-old male Wistar rats were fed an HFD for 8 weeks to induce obesity. Next, rats were randomly assigned to four groups and treated with lithium or exercise for 8 weeks. Lithium (10 mg/kg lithium chloride [LiCl], gavage) or endurance exercise (17 m/min, 30 min/day) was performed once daily for 5 days per week. After the experiment, body composition was measured using dual-energy X-ray absorptiometry (DEXA), and tissues were extracted after anesthesia and analyzed.</p><p><strong>Results: </strong>Endurance exercise or 8 weeks of lithium had no significant effect on the morphology of the liver and kidney tissues in rats. Although lithium and endurance exercises alone increased the lean body mass, the difference was not statistically significant. However, combined treatment with lithium and endurance exercise significantly increased the lean body mass. No significant difference was noted in the abdominal fat mass between the groups. Eight weeks of lithium or endurance exercise did not affect the mechanistic target of rapamycin (mTOR) expression in the skeletal muscles of obese rats. However, it significantly inhibited the FOXO1 signaling pathway, a muscle atrophy signal, and reduced the expression of tumor necrosis factor (TNF) α.</p><p><strong>Conclusion: </strong>A combination of low-intensity endurance exercise and low-dose lithium prevented muscle atrophy (wasting) by inhibiting the FOXO1 signaling pathway in skeletal muscles. Therefore, light walking and lithium supplementation in daily life are expected to prevent muscle atrophy in obese patients. However, it is difficult to draw definitive conclusions based on the results of this study alone and additional research is warranted.</p>\",\"PeriodicalId\":74444,\"journal\":{\"name\":\"Physical activity and nutrition\",\"volume\":\"29 2\",\"pages\":\"19-25\"},\"PeriodicalIF\":0.0000,\"publicationDate\":\"2025-06-01\",\"publicationTypes\":\"Journal Article\",\"fieldsOfStudy\":null,\"isOpenAccess\":false,\"openAccessPdf\":\"https://www.ncbi.nlm.nih.gov/pmc/articles/PMC12325878/pdf/\",\"citationCount\":\"0\",\"resultStr\":null,\"platform\":\"Semanticscholar\",\"paperid\":null,\"PeriodicalName\":\"Physical activity and nutrition\",\"FirstCategoryId\":\"1085\",\"ListUrlMain\":\"https://doi.org/10.20463/pan.2025.0010\",\"RegionNum\":0,\"RegionCategory\":null,\"ArticlePicture\":[],\"TitleCN\":null,\"AbstractTextCN\":null,\"PMCID\":null,\"EPubDate\":\"2025/6/30 0:00:00\",\"PubModel\":\"Epub\",\"JCR\":\"\",\"JCRName\":\"\",\"Score\":null,\"Total\":0}","platform":"Semanticscholar","paperid":null,"PeriodicalName":"Physical activity and nutrition","FirstCategoryId":"1085","ListUrlMain":"https://doi.org/10.20463/pan.2025.0010","RegionNum":0,"RegionCategory":null,"ArticlePicture":[],"TitleCN":null,"AbstractTextCN":null,"PMCID":null,"EPubDate":"2025/6/30 0:00:00","PubModel":"Epub","JCR":"","JCRName":"","Score":null,"Total":0}
引用次数: 0

摘要

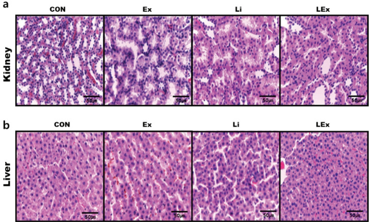
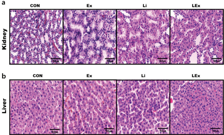
目的:通过观察低强度耐力运动和低剂量锂治疗对高脂饮食(HFD)诱导肥胖大鼠骨骼肌萎缩的影响,为预防和治疗青年肥胖者肌肉减少症提供基础科学数据。方法:6周龄雄性Wistar大鼠喂HFD 8周诱导肥胖。然后,将大鼠随机分为四组,分别给予锂或运动治疗8周。锂离子(10 mg/kg氯化锂[LiCl],灌胃)或耐力运动(17 m/min, 30 min/天),每天1次,每周5天。实验结束后,采用双能x线吸收仪(DEXA)测量体成分,麻醉后提取组织进行分析。结果:耐力运动或8周锂对大鼠肝肾组织形态无明显影响。虽然单独的锂离子和耐力运动增加了瘦体重,但差异没有统计学意义。然而,锂盐联合治疗和耐力运动显著增加了瘦体重。各组间腹部脂肪量无显著差异。8周的锂或耐力运动不影响肥胖大鼠骨骼肌中雷帕霉素(mTOR)表达的机制目标。但能显著抑制肌肉萎缩信号FOXO1信号通路,降低肿瘤坏死因子(TNF) α的表达。结论:低强度耐力运动联合低剂量锂可通过抑制骨骼肌FOXO1信号通路预防肌肉萎缩(消瘦)。因此,在日常生活中轻步行和补充锂有望预防肥胖患者的肌肉萎缩。然而,仅根据这项研究的结果很难得出明确的结论,需要进一步的研究。
本文章由计算机程序翻译,如有差异,请以英文原文为准。

Effects of low-intensity endurance exercise and low-dose lithium chloride administration on muscle atrophy in high-fat diet induced obese rats.

Effects of low-intensity endurance exercise and low-dose lithium chloride administration on muscle atrophy in high-fat diet induced obese rats.

Effects of low-intensity endurance exercise and low-dose lithium chloride administration on muscle atrophy in high-fat diet induced obese rats.

Effects of low-intensity endurance exercise and low-dose lithium chloride administration on muscle atrophy in high-fat diet induced obese rats.

Effects of low-intensity endurance exercise and low-dose lithium chloride administration on muscle atrophy in high-fat diet induced obese rats.

Effects of low-intensity endurance exercise and low-dose lithium chloride administration on muscle atrophy in high-fat diet induced obese rats.

Effects of low-intensity endurance exercise and low-dose lithium chloride administration on muscle atrophy in high-fat diet induced obese rats.

Purpose: We provided basic scientific data to help prevent and treat sarcopenia in young obese individuals by observing the effects of low-intensity endurance exercise and low-dose lithium treatment on skeletal muscle atrophy in rats with high-fat diet (HFD)-induced obesity.

Methods: Six-week-old male Wistar rats were fed an HFD for 8 weeks to induce obesity. Next, rats were randomly assigned to four groups and treated with lithium or exercise for 8 weeks. Lithium (10 mg/kg lithium chloride [LiCl], gavage) or endurance exercise (17 m/min, 30 min/day) was performed once daily for 5 days per week. After the experiment, body composition was measured using dual-energy X-ray absorptiometry (DEXA), and tissues were extracted after anesthesia and analyzed.

Results: Endurance exercise or 8 weeks of lithium had no significant effect on the morphology of the liver and kidney tissues in rats. Although lithium and endurance exercises alone increased the lean body mass, the difference was not statistically significant. However, combined treatment with lithium and endurance exercise significantly increased the lean body mass. No significant difference was noted in the abdominal fat mass between the groups. Eight weeks of lithium or endurance exercise did not affect the mechanistic target of rapamycin (mTOR) expression in the skeletal muscles of obese rats. However, it significantly inhibited the FOXO1 signaling pathway, a muscle atrophy signal, and reduced the expression of tumor necrosis factor (TNF) α.

Conclusion: A combination of low-intensity endurance exercise and low-dose lithium prevented muscle atrophy (wasting) by inhibiting the FOXO1 signaling pathway in skeletal muscles. Therefore, light walking and lithium supplementation in daily life are expected to prevent muscle atrophy in obese patients. However, it is difficult to draw definitive conclusions based on the results of this study alone and additional research is warranted.

求助全文
通过发布文献求助,成功后即可免费获取论文全文。 去求助
来源期刊
CiteScore
2.00
自引率
0.00%
发文量
0
×
引用
GB/T 7714-2015
复制
MLA
复制
APA
复制
导出至
BibTeX EndNote RefMan NoteFirst NoteExpress
×
提示
您的信息不完整,为了账户安全,请先补充。
现在去补充
×
提示
您因"违规操作"
具体请查看互助需知
我知道了
×
提示
确定
请完成安全验证×
copy
已复制链接
快去分享给好友吧!
我知道了
右上角分享
点击右上角分享
0
联系我们:info@booksci.cn Book学术提供免费学术资源搜索服务,方便国内外学者检索中英文文献。致力于提供最便捷和优质的服务体验。 Copyright © 2023 布克学术 All rights reserved.
京ICP备2023020795号-1
ghs 京公网安备 11010802042870号
Book学术文献互助
Book学术文献互助群
群 号:604180095
Book学术官方微信