用算术髋关节-膝关节-踝关节角度预测内侧单室膝关节置换术术后冠状位对齐。

IF 4.3 4区 医学 Q2 ORTHOPEDICS
Chengyuan Ma, Zifan Luo, Guanghui Zhao, Jianbing Ma, Jianpeng Wang
{"title":"用算术髋关节-膝关节-踝关节角度预测内侧单室膝关节置换术术后冠状位对齐。","authors":"Chengyuan Ma, Zifan Luo, Guanghui Zhao, Jianbing Ma, Jianpeng Wang","doi":"10.1186/s42836-025-00326-x","DOIUrl":null,"url":null,"abstract":"<p><strong>Background: </strong>Proper coronal alignment plays a critical role in the effectiveness of medial unicompartmental knee arthroplasty (UKA). This research seeks to explore the connection between the arithmetic hip-knee-ankle angle (aHKA) and the actual postoperative (postop) HKA angle after undergoing medial UKA.</p><p><strong>Methods: </strong>A retrospective analysis was conducted on individuals who received medial UKA at a specialized orthopedic hospital between January 1, 2024, and July 31, 2024. The aHKA was determined using the formula: medial proximal tibial angle (MPTA) minus lateral distal femoral angle (LDFA), plus 180°. The relationships between the postop HKA angle and the aHKA, MPTA, and LDFA were analyzed. Patients were further divided into three categories based on their postop HKA angle: greater than 180°, between 175° and 180°, and less than or equal to 175°. These groups were then compared in terms of aHKA, LDFA, MPTA, and preoperative HKA angle.</p><p><strong>Results: </strong>A total of 242 patients (254 knees) were included in this study. The postop HKA was nearly equal to the preoperative aHKA (176.09° ± 2.86° vs. 176.23° ± 3.15°). Statistical analysis revealed a positive association between aHKA and postop HKA angle (R<sup>2</sup> = 0.4595, P < 0.05), as well as between MPTA and postop HKA angle (R<sup>2</sup> = 0.2072, P < 0.05). Conversely, a negative correlation was identified between LDFA and postop HKA angle (R<sup>2</sup> = 0.2448, P < 0.05). These patterns held true for both fixed-bearing and mobile-bearing UKA prostheses. Notable differences among the three HKA groups were found regarding aHKA, MPTA, LDFA, and preoperative HKA angle (P < 0.05).</p><p><strong>Conclusion: </strong>The findings indicate that aHKA has a strong relationship with the postop HKA angle, suggesting its potential as an effective predictor for postop coronal alignment after medial UKA, irrespective of the type of prosthesis used.</p>","PeriodicalId":52831,"journal":{"name":"Arthroplasty","volume":"7 1","pages":"42"},"PeriodicalIF":4.3000,"publicationDate":"2025-08-06","publicationTypes":"Journal Article","fieldsOfStudy":null,"isOpenAccess":false,"openAccessPdf":"https://www.ncbi.nlm.nih.gov/pmc/articles/PMC12326736/pdf/","citationCount":"0","resultStr":"{\"title\":\"Predicting postoperative coronal alignment in medial unicompartmental knee arthroplasty using the arithmetic hip-knee-ankle angle.\",\"authors\":\"Chengyuan Ma, Zifan Luo, Guanghui Zhao, Jianbing Ma, Jianpeng Wang\",\"doi\":\"10.1186/s42836-025-00326-x\",\"DOIUrl\":null,\"url\":null,\"abstract\":\"<p><strong>Background: </strong>Proper coronal alignment plays a critical role in the effectiveness of medial unicompartmental knee arthroplasty (UKA). This research seeks to explore the connection between the arithmetic hip-knee-ankle angle (aHKA) and the actual postoperative (postop) HKA angle after undergoing medial UKA.</p><p><strong>Methods: </strong>A retrospective analysis was conducted on individuals who received medial UKA at a specialized orthopedic hospital between January 1, 2024, and July 31, 2024. The aHKA was determined using the formula: medial proximal tibial angle (MPTA) minus lateral distal femoral angle (LDFA), plus 180°. The relationships between the postop HKA angle and the aHKA, MPTA, and LDFA were analyzed. Patients were further divided into three categories based on their postop HKA angle: greater than 180°, between 175° and 180°, and less than or equal to 175°. These groups were then compared in terms of aHKA, LDFA, MPTA, and preoperative HKA angle.</p><p><strong>Results: </strong>A total of 242 patients (254 knees) were included in this study. The postop HKA was nearly equal to the preoperative aHKA (176.09° ± 2.86° vs. 176.23° ± 3.15°). Statistical analysis revealed a positive association between aHKA and postop HKA angle (R<sup>2</sup> = 0.4595, P < 0.05), as well as between MPTA and postop HKA angle (R<sup>2</sup> = 0.2072, P < 0.05). Conversely, a negative correlation was identified between LDFA and postop HKA angle (R<sup>2</sup> = 0.2448, P < 0.05). These patterns held true for both fixed-bearing and mobile-bearing UKA prostheses. Notable differences among the three HKA groups were found regarding aHKA, MPTA, LDFA, and preoperative HKA angle (P < 0.05).</p><p><strong>Conclusion: </strong>The findings indicate that aHKA has a strong relationship with the postop HKA angle, suggesting its potential as an effective predictor for postop coronal alignment after medial UKA, irrespective of the type of prosthesis used.</p>\",\"PeriodicalId\":52831,\"journal\":{\"name\":\"Arthroplasty\",\"volume\":\"7 1\",\"pages\":\"42\"},\"PeriodicalIF\":4.3000,\"publicationDate\":\"2025-08-06\",\"publicationTypes\":\"Journal Article\",\"fieldsOfStudy\":null,\"isOpenAccess\":false,\"openAccessPdf\":\"https://www.ncbi.nlm.nih.gov/pmc/articles/PMC12326736/pdf/\",\"citationCount\":\"0\",\"resultStr\":null,\"platform\":\"Semanticscholar\",\"paperid\":null,\"PeriodicalName\":\"Arthroplasty\",\"FirstCategoryId\":\"3\",\"ListUrlMain\":\"https://doi.org/10.1186/s42836-025-00326-x\",\"RegionNum\":4,\"RegionCategory\":\"医学\",\"ArticlePicture\":[],\"TitleCN\":null,\"AbstractTextCN\":null,\"PMCID\":null,\"EPubDate\":\"\",\"PubModel\":\"\",\"JCR\":\"Q2\",\"JCRName\":\"ORTHOPEDICS\",\"Score\":null,\"Total\":0}","platform":"Semanticscholar","paperid":null,"PeriodicalName":"Arthroplasty","FirstCategoryId":"3","ListUrlMain":"https://doi.org/10.1186/s42836-025-00326-x","RegionNum":4,"RegionCategory":"医学","ArticlePicture":[],"TitleCN":null,"AbstractTextCN":null,"PMCID":null,"EPubDate":"","PubModel":"","JCR":"Q2","JCRName":"ORTHOPEDICS","Score":null,"Total":0}
引用次数: 0

摘要

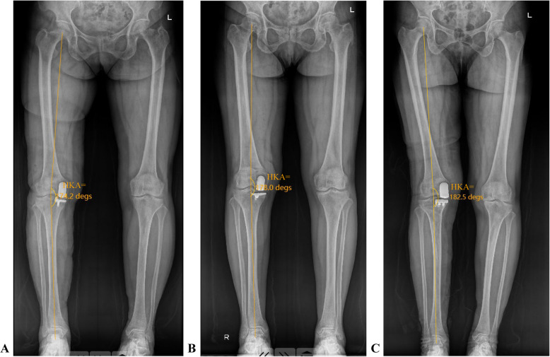
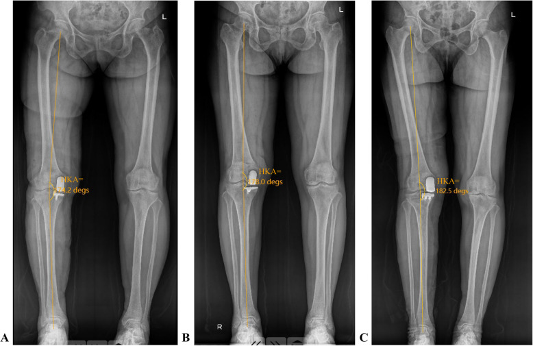
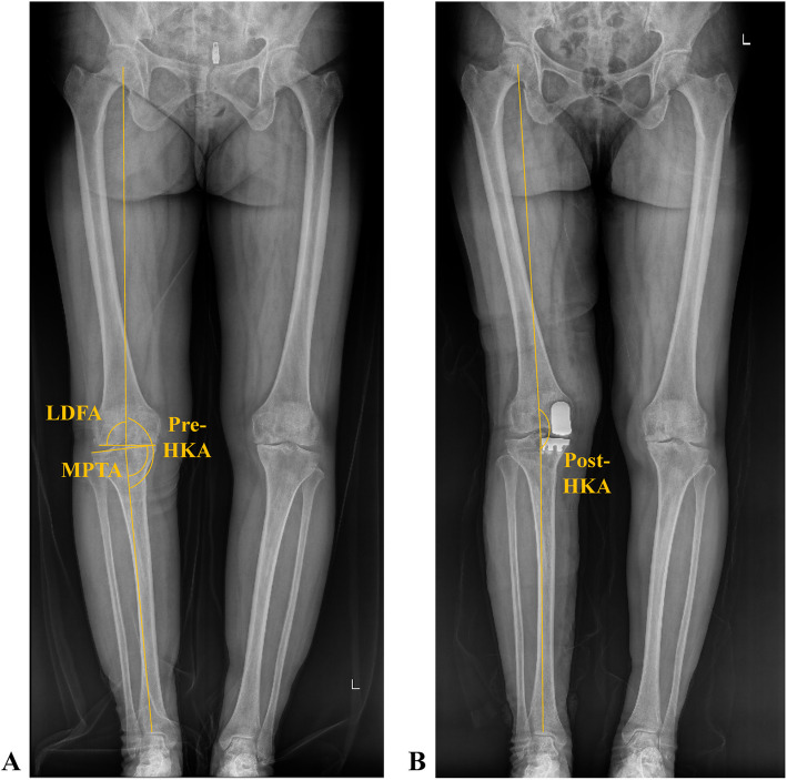
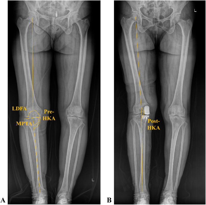
背景:正确的冠状位排列在内侧单腔膝关节置换术(UKA)的有效性中起着关键作用。本研究旨在探讨髋关节-膝关节-踝关节算术角(aHKA)与内侧UKA术后实际HKA角之间的关系。方法:回顾性分析2024年1月1日至2024年7月31日在某骨科专科医院接受内科UKA的患者。aHKA的计算公式为:胫骨内侧近端角(MPTA)减去股骨外侧远端角(LDFA),再加180°。分析停药后HKA角与aHKA、MPTA、LDFA的关系。根据术后HKA角度将患者进一步分为大于180°、175°~ 180°、小于等于175°三类。然后比较各组的aHKA、LDFA、MPTA和术前HKA角度。结果:本研究共纳入242例患者(254个膝关节)。术后HKA与术前几乎相等(176.09°±2.86°vs. 176.23°±3.15°)。统计分析显示aHKA与后牙槽位HKA角呈正相关(R2 = 0.4595, p2 = 0.2072, p2 = 0.2448, P)。结论:aHKA与后牙槽位HKA角有很强的相关性,提示aHKA可作为内侧牙槽位UKA后冠状位对齐的有效预测因子,与使用的假体类型无关。
本文章由计算机程序翻译,如有差异,请以英文原文为准。

Predicting postoperative coronal alignment in medial unicompartmental knee arthroplasty using the arithmetic hip-knee-ankle angle.

Predicting postoperative coronal alignment in medial unicompartmental knee arthroplasty using the arithmetic hip-knee-ankle angle.

Predicting postoperative coronal alignment in medial unicompartmental knee arthroplasty using the arithmetic hip-knee-ankle angle.

Predicting postoperative coronal alignment in medial unicompartmental knee arthroplasty using the arithmetic hip-knee-ankle angle.

Predicting postoperative coronal alignment in medial unicompartmental knee arthroplasty using the arithmetic hip-knee-ankle angle.

Predicting postoperative coronal alignment in medial unicompartmental knee arthroplasty using the arithmetic hip-knee-ankle angle.

Predicting postoperative coronal alignment in medial unicompartmental knee arthroplasty using the arithmetic hip-knee-ankle angle.

Background: Proper coronal alignment plays a critical role in the effectiveness of medial unicompartmental knee arthroplasty (UKA). This research seeks to explore the connection between the arithmetic hip-knee-ankle angle (aHKA) and the actual postoperative (postop) HKA angle after undergoing medial UKA.

Methods: A retrospective analysis was conducted on individuals who received medial UKA at a specialized orthopedic hospital between January 1, 2024, and July 31, 2024. The aHKA was determined using the formula: medial proximal tibial angle (MPTA) minus lateral distal femoral angle (LDFA), plus 180°. The relationships between the postop HKA angle and the aHKA, MPTA, and LDFA were analyzed. Patients were further divided into three categories based on their postop HKA angle: greater than 180°, between 175° and 180°, and less than or equal to 175°. These groups were then compared in terms of aHKA, LDFA, MPTA, and preoperative HKA angle.

Results: A total of 242 patients (254 knees) were included in this study. The postop HKA was nearly equal to the preoperative aHKA (176.09° ± 2.86° vs. 176.23° ± 3.15°). Statistical analysis revealed a positive association between aHKA and postop HKA angle (R2 = 0.4595, P < 0.05), as well as between MPTA and postop HKA angle (R2 = 0.2072, P < 0.05). Conversely, a negative correlation was identified between LDFA and postop HKA angle (R2 = 0.2448, P < 0.05). These patterns held true for both fixed-bearing and mobile-bearing UKA prostheses. Notable differences among the three HKA groups were found regarding aHKA, MPTA, LDFA, and preoperative HKA angle (P < 0.05).

Conclusion: The findings indicate that aHKA has a strong relationship with the postop HKA angle, suggesting its potential as an effective predictor for postop coronal alignment after medial UKA, irrespective of the type of prosthesis used.

求助全文
通过发布文献求助,成功后即可免费获取论文全文。 去求助
来源期刊
Arthroplasty
Arthroplasty ORTHOPEDICS-
CiteScore
2.20
自引率
0.00%
发文量
49
审稿时长
15 weeks
×
引用
GB/T 7714-2015
复制
MLA
复制
APA
复制
导出至
BibTeX EndNote RefMan NoteFirst NoteExpress
×
提示
您的信息不完整,为了账户安全,请先补充。
现在去补充
×
提示
您因"违规操作"
具体请查看互助需知
我知道了
×
提示
确定
请完成安全验证×
copy
已复制链接
快去分享给好友吧!
我知道了
右上角分享
点击右上角分享
0
联系我们:info@booksci.cn Book学术提供免费学术资源搜索服务,方便国内外学者检索中英文文献。致力于提供最便捷和优质的服务体验。 Copyright © 2023 布克学术 All rights reserved.
京ICP备2023020795号-1
ghs 京公网安备 11010802042870号
Book学术文献互助
Book学术文献互助群
群 号:604180095
Book学术官方微信