同侧糖尿病纹状体病:一例临床放射学不一致和发展中的运动障碍。

Q3 Medicine
Qatar Medical Journal Pub Date : 2025-06-09 eCollection Date: 2025-01-01 DOI:10.5339/qmj.2025.60
Subhankar Chatterjee, Payel Biswas, Samya Sengupta, Shambaditya Das, Ritwik Ghosh, Rana Bhattacharjee, Julián Benito-León, Souvik Dubey
{"title":"同侧糖尿病纹状体病:一例临床放射学不一致和发展中的运动障碍。","authors":"Subhankar Chatterjee, Payel Biswas, Samya Sengupta, Shambaditya Das, Ritwik Ghosh, Rana Bhattacharjee, Julián Benito-León, Souvik Dubey","doi":"10.5339/qmj.2025.60","DOIUrl":null,"url":null,"abstract":"<p><strong>Background: </strong>Diabetic striatopathy (DS) typically presents with hemichoreoballism and contralateral striatal lesions on neuroimaging. However, cases of unilateral movement disorders with predominant ipsilateral striatal lesions are rare.</p><p><strong>Case presentation: </strong>We present a case of DS in a 62-year-old woman from rural India with poorly controlled diabetes mellitus who developed acute-onset right hemichoreoballism. Neuroimaging revealed a predominantly right-sided striatal lesion, illustrating a clinicoradiological discordance-a mismatch between the clinical symptoms and radiological findings. Despite achieving tight glycemic control and administering neuroleptic medications, the involuntary movements demonstrated only partial improvement. Neurological changes persisted on the ipsilateral side of the affected limbs even after 1 year of follow-up. Notably, perioral dyskinesias developed during subsequent follow-up visits.</p><p><strong>Discussion: </strong>This report highlights the clinical and neuroradiological discordance observed in DS. The potential underlying mechanisms contributing to this paradox are explored and discussed.</p><p><strong>Conclusion: </strong>The clinical and radiological discordance in DS is a frequent yet under-reported phenomenon. However, the actual mechanistic underpinnings need to be addressed by advanced functional and structural neuroimaging.</p>","PeriodicalId":53667,"journal":{"name":"Qatar Medical Journal","volume":"2025 2","pages":"60"},"PeriodicalIF":0.0000,"publicationDate":"2025-06-09","publicationTypes":"Journal Article","fieldsOfStudy":null,"isOpenAccess":false,"openAccessPdf":"https://www.ncbi.nlm.nih.gov/pmc/articles/PMC12322594/pdf/","citationCount":"0","resultStr":"{\"title\":\"Ipsilateral diabetic striatopathy: A case of clinicoradiological discordance and evolving movement disorders.\",\"authors\":\"Subhankar Chatterjee, Payel Biswas, Samya Sengupta, Shambaditya Das, Ritwik Ghosh, Rana Bhattacharjee, Julián Benito-León, Souvik Dubey\",\"doi\":\"10.5339/qmj.2025.60\",\"DOIUrl\":null,\"url\":null,\"abstract\":\"<p><strong>Background: </strong>Diabetic striatopathy (DS) typically presents with hemichoreoballism and contralateral striatal lesions on neuroimaging. However, cases of unilateral movement disorders with predominant ipsilateral striatal lesions are rare.</p><p><strong>Case presentation: </strong>We present a case of DS in a 62-year-old woman from rural India with poorly controlled diabetes mellitus who developed acute-onset right hemichoreoballism. Neuroimaging revealed a predominantly right-sided striatal lesion, illustrating a clinicoradiological discordance-a mismatch between the clinical symptoms and radiological findings. Despite achieving tight glycemic control and administering neuroleptic medications, the involuntary movements demonstrated only partial improvement. Neurological changes persisted on the ipsilateral side of the affected limbs even after 1 year of follow-up. Notably, perioral dyskinesias developed during subsequent follow-up visits.</p><p><strong>Discussion: </strong>This report highlights the clinical and neuroradiological discordance observed in DS. The potential underlying mechanisms contributing to this paradox are explored and discussed.</p><p><strong>Conclusion: </strong>The clinical and radiological discordance in DS is a frequent yet under-reported phenomenon. However, the actual mechanistic underpinnings need to be addressed by advanced functional and structural neuroimaging.</p>\",\"PeriodicalId\":53667,\"journal\":{\"name\":\"Qatar Medical Journal\",\"volume\":\"2025 2\",\"pages\":\"60\"},\"PeriodicalIF\":0.0000,\"publicationDate\":\"2025-06-09\",\"publicationTypes\":\"Journal Article\",\"fieldsOfStudy\":null,\"isOpenAccess\":false,\"openAccessPdf\":\"https://www.ncbi.nlm.nih.gov/pmc/articles/PMC12322594/pdf/\",\"citationCount\":\"0\",\"resultStr\":null,\"platform\":\"Semanticscholar\",\"paperid\":null,\"PeriodicalName\":\"Qatar Medical Journal\",\"FirstCategoryId\":\"1085\",\"ListUrlMain\":\"https://doi.org/10.5339/qmj.2025.60\",\"RegionNum\":0,\"RegionCategory\":null,\"ArticlePicture\":[],\"TitleCN\":null,\"AbstractTextCN\":null,\"PMCID\":null,\"EPubDate\":\"2025/1/1 0:00:00\",\"PubModel\":\"eCollection\",\"JCR\":\"Q3\",\"JCRName\":\"Medicine\",\"Score\":null,\"Total\":0}","platform":"Semanticscholar","paperid":null,"PeriodicalName":"Qatar Medical Journal","FirstCategoryId":"1085","ListUrlMain":"https://doi.org/10.5339/qmj.2025.60","RegionNum":0,"RegionCategory":null,"ArticlePicture":[],"TitleCN":null,"AbstractTextCN":null,"PMCID":null,"EPubDate":"2025/1/1 0:00:00","PubModel":"eCollection","JCR":"Q3","JCRName":"Medicine","Score":null,"Total":0}
引用次数: 0

摘要

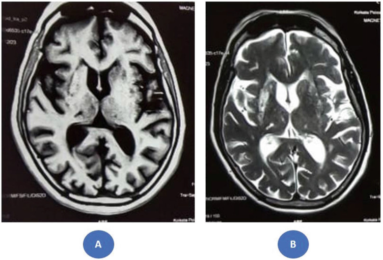
背景:糖尿病性纹状体病(DS)在神经影像学上通常表现为半脑球化和对侧纹状体病变。然而,以同侧纹状体病变为主的单侧运动障碍是罕见的。病例介绍:我们报告了一例来自印度农村的62岁女性退行性椎体滑移,她患有控制不佳的糖尿病,并发急性右半血流。神经影像学显示主要为右侧纹状体病变,说明临床放射学不一致-临床症状与放射学表现不匹配。尽管获得了严格的血糖控制并服用了抗精神病药物,但不自主运动仅显示出部分改善。在1年的随访后,患肢的同侧神经学改变仍然存在。值得注意的是,在随后的随访中出现了口周运动障碍。讨论:本报告强调了在退行性椎体滑移中观察到的临床和神经放射学不一致。潜在的潜在机制有助于这一悖论进行了探索和讨论。结论:退行性椎体滑移的临床与影像学不一致是一种常见但报道不足的现象。然而,实际的机制基础需要通过先进的功能和结构神经成像来解决。
本文章由计算机程序翻译,如有差异,请以英文原文为准。

Ipsilateral diabetic striatopathy: A case of clinicoradiological discordance and evolving movement disorders.

Ipsilateral diabetic striatopathy: A case of clinicoradiological discordance and evolving movement disorders.

Ipsilateral diabetic striatopathy: A case of clinicoradiological discordance and evolving movement disorders.

Ipsilateral diabetic striatopathy: A case of clinicoradiological discordance and evolving movement disorders.

Background: Diabetic striatopathy (DS) typically presents with hemichoreoballism and contralateral striatal lesions on neuroimaging. However, cases of unilateral movement disorders with predominant ipsilateral striatal lesions are rare.

Case presentation: We present a case of DS in a 62-year-old woman from rural India with poorly controlled diabetes mellitus who developed acute-onset right hemichoreoballism. Neuroimaging revealed a predominantly right-sided striatal lesion, illustrating a clinicoradiological discordance-a mismatch between the clinical symptoms and radiological findings. Despite achieving tight glycemic control and administering neuroleptic medications, the involuntary movements demonstrated only partial improvement. Neurological changes persisted on the ipsilateral side of the affected limbs even after 1 year of follow-up. Notably, perioral dyskinesias developed during subsequent follow-up visits.

Discussion: This report highlights the clinical and neuroradiological discordance observed in DS. The potential underlying mechanisms contributing to this paradox are explored and discussed.

Conclusion: The clinical and radiological discordance in DS is a frequent yet under-reported phenomenon. However, the actual mechanistic underpinnings need to be addressed by advanced functional and structural neuroimaging.

求助全文
通过发布文献求助,成功后即可免费获取论文全文。 去求助
来源期刊
Qatar Medical Journal
Qatar Medical Journal Medicine-Medicine (all)
CiteScore
1.80
自引率
0.00%
发文量
77
审稿时长
6 weeks
×
引用
GB/T 7714-2015
复制
MLA
复制
APA
复制
导出至
BibTeX EndNote RefMan NoteFirst NoteExpress
×
提示
您的信息不完整,为了账户安全,请先补充。
现在去补充
×
提示
您因"违规操作"
具体请查看互助需知
我知道了
×
提示
确定
请完成安全验证×
copy
已复制链接
快去分享给好友吧!
我知道了
右上角分享
点击右上角分享
0
联系我们:info@booksci.cn Book学术提供免费学术资源搜索服务,方便国内外学者检索中英文文献。致力于提供最便捷和优质的服务体验。 Copyright © 2023 布克学术 All rights reserved.
京ICP备2023020795号-1
ghs 京公网安备 11010802042870号
Book学术文献互助
Book学术文献互助群
群 号:604180095
Book学术官方微信