原发性肺NUT中线癌快速进展1例报告及文献复习。

IF 0.8 Q4 RESPIRATORY SYSTEM
Respirology Case Reports Pub Date : 2025-08-04 eCollection Date: 2025-08-01 DOI:10.1002/rcr2.70293
Rong Gao, Jinyan Yu, Xuejiao Lv, Chunling Dong
{"title":"原发性肺NUT中线癌快速进展1例报告及文献复习。","authors":"Rong Gao, Jinyan Yu, Xuejiao Lv, Chunling Dong","doi":"10.1002/rcr2.70293","DOIUrl":null,"url":null,"abstract":"<p><p>Primary pulmonary nuclear protein in testis (NUT) midline carcinoma (NMC) is a rare malignancy with characteristics that resemble those of squamous cell carcinoma, thus making it prone to both misdiagnosis and missed diagnosis. Primary pulmonary NMC is highly malignant and associated with poor prognosis, with no standardised effective treatments for patients who cannot undergo surgery. Concurrent or sequential chemoradiotherapy is considered an effective approach, and some targeted drugs have been clinically tested and demonstrated favourable results. We present a case of primary pulmonary NMC with cervical lymph node metastasis, in which the patient experienced temporary symptom relief after receiving anlotinib and chemotherapy combined with immunotherapy. However, the condition rapidly worsened, and the patient died within 1 month of diagnosis. We believe that combining anlotinib with chemotherapy as well as reducing the chemotherapy interval can be effective in the treatment of primary pulmonary NMC.</p>","PeriodicalId":45846,"journal":{"name":"Respirology Case Reports","volume":"13 8","pages":"e70293"},"PeriodicalIF":0.8000,"publicationDate":"2025-08-04","publicationTypes":"Journal Article","fieldsOfStudy":null,"isOpenAccess":false,"openAccessPdf":"https://www.ncbi.nlm.nih.gov/pmc/articles/PMC12322321/pdf/","citationCount":"0","resultStr":"{\"title\":\"Rapid Progression of Primary Pulmonary NUT Midline Carcinoma: A Case Report and Literature Review.\",\"authors\":\"Rong Gao, Jinyan Yu, Xuejiao Lv, Chunling Dong\",\"doi\":\"10.1002/rcr2.70293\",\"DOIUrl\":null,\"url\":null,\"abstract\":\"<p><p>Primary pulmonary nuclear protein in testis (NUT) midline carcinoma (NMC) is a rare malignancy with characteristics that resemble those of squamous cell carcinoma, thus making it prone to both misdiagnosis and missed diagnosis. Primary pulmonary NMC is highly malignant and associated with poor prognosis, with no standardised effective treatments for patients who cannot undergo surgery. Concurrent or sequential chemoradiotherapy is considered an effective approach, and some targeted drugs have been clinically tested and demonstrated favourable results. We present a case of primary pulmonary NMC with cervical lymph node metastasis, in which the patient experienced temporary symptom relief after receiving anlotinib and chemotherapy combined with immunotherapy. However, the condition rapidly worsened, and the patient died within 1 month of diagnosis. We believe that combining anlotinib with chemotherapy as well as reducing the chemotherapy interval can be effective in the treatment of primary pulmonary NMC.</p>\",\"PeriodicalId\":45846,\"journal\":{\"name\":\"Respirology Case Reports\",\"volume\":\"13 8\",\"pages\":\"e70293\"},\"PeriodicalIF\":0.8000,\"publicationDate\":\"2025-08-04\",\"publicationTypes\":\"Journal Article\",\"fieldsOfStudy\":null,\"isOpenAccess\":false,\"openAccessPdf\":\"https://www.ncbi.nlm.nih.gov/pmc/articles/PMC12322321/pdf/\",\"citationCount\":\"0\",\"resultStr\":null,\"platform\":\"Semanticscholar\",\"paperid\":null,\"PeriodicalName\":\"Respirology Case Reports\",\"FirstCategoryId\":\"1085\",\"ListUrlMain\":\"https://doi.org/10.1002/rcr2.70293\",\"RegionNum\":0,\"RegionCategory\":null,\"ArticlePicture\":[],\"TitleCN\":null,\"AbstractTextCN\":null,\"PMCID\":null,\"EPubDate\":\"2025/8/1 0:00:00\",\"PubModel\":\"eCollection\",\"JCR\":\"Q4\",\"JCRName\":\"RESPIRATORY SYSTEM\",\"Score\":null,\"Total\":0}","platform":"Semanticscholar","paperid":null,"PeriodicalName":"Respirology Case Reports","FirstCategoryId":"1085","ListUrlMain":"https://doi.org/10.1002/rcr2.70293","RegionNum":0,"RegionCategory":null,"ArticlePicture":[],"TitleCN":null,"AbstractTextCN":null,"PMCID":null,"EPubDate":"2025/8/1 0:00:00","PubModel":"eCollection","JCR":"Q4","JCRName":"RESPIRATORY SYSTEM","Score":null,"Total":0}
引用次数: 0

摘要

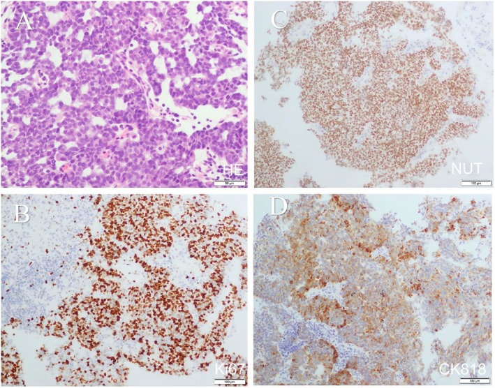
原发性睾丸肺核蛋白(NUT)中线癌(NMC)是一种罕见的恶性肿瘤,其特征与鳞状细胞癌相似,因此容易误诊和漏诊。原发性肺NMC是高度恶性的,与预后差有关,对于不能接受手术的患者没有标准化的有效治疗。同步或顺序放化疗被认为是一种有效的方法,一些靶向药物已经过临床试验并显示出良好的效果。我们报告一例原发性肺部NMC伴颈部淋巴结转移,患者在接受安洛替尼和化疗联合免疫治疗后症状暂时缓解。然而,病情迅速恶化,患者在诊断后1个月内死亡。我们认为,安洛替尼联合化疗以及缩短化疗间隔可有效治疗原发性肺NMC。
本文章由计算机程序翻译,如有差异,请以英文原文为准。

Rapid Progression of Primary Pulmonary NUT Midline Carcinoma: A Case Report and Literature Review.

Rapid Progression of Primary Pulmonary NUT Midline Carcinoma: A Case Report and Literature Review.

Rapid Progression of Primary Pulmonary NUT Midline Carcinoma: A Case Report and Literature Review.

Rapid Progression of Primary Pulmonary NUT Midline Carcinoma: A Case Report and Literature Review.

Primary pulmonary nuclear protein in testis (NUT) midline carcinoma (NMC) is a rare malignancy with characteristics that resemble those of squamous cell carcinoma, thus making it prone to both misdiagnosis and missed diagnosis. Primary pulmonary NMC is highly malignant and associated with poor prognosis, with no standardised effective treatments for patients who cannot undergo surgery. Concurrent or sequential chemoradiotherapy is considered an effective approach, and some targeted drugs have been clinically tested and demonstrated favourable results. We present a case of primary pulmonary NMC with cervical lymph node metastasis, in which the patient experienced temporary symptom relief after receiving anlotinib and chemotherapy combined with immunotherapy. However, the condition rapidly worsened, and the patient died within 1 month of diagnosis. We believe that combining anlotinib with chemotherapy as well as reducing the chemotherapy interval can be effective in the treatment of primary pulmonary NMC.

求助全文
通过发布文献求助,成功后即可免费获取论文全文。 去求助
来源期刊
Respirology Case Reports
Respirology Case Reports RESPIRATORY SYSTEM-
CiteScore
1.40
自引率
0.00%
发文量
178
审稿时长
8 weeks
期刊介绍: Respirology Case Reports is an open-access online journal dedicated to the publication of original clinical case reports, case series, clinical images and clinical videos in all fields of respiratory medicine. The Journal encourages the international exchange between clinicians and researchers of experiences in diagnosing and treating uncommon diseases or diseases with unusual presentations. All manuscripts are peer-reviewed through a streamlined process that aims at providing a rapid turnaround time from submission to publication.
×
引用
GB/T 7714-2015
复制
MLA
复制
APA
复制
导出至
BibTeX EndNote RefMan NoteFirst NoteExpress
×
提示
您的信息不完整,为了账户安全,请先补充。
现在去补充
×
提示
您因"违规操作"
具体请查看互助需知
我知道了
×
提示
确定
请完成安全验证×
copy
已复制链接
快去分享给好友吧!
我知道了
右上角分享
点击右上角分享
0
联系我们:info@booksci.cn Book学术提供免费学术资源搜索服务,方便国内外学者检索中英文文献。致力于提供最便捷和优质的服务体验。 Copyright © 2023 布克学术 All rights reserved.
京ICP备2023020795号-1
ghs 京公网安备 11010802042870号
Book学术文献互助
Book学术文献互助群
群 号:604180095
Book学术官方微信