pembrolizumab诱导的脐带血移植后肺腺癌患者严重肺炎1例。

IF 0.8 Q4 RESPIRATORY SYSTEM
Respirology Case Reports Pub Date : 2025-08-04 eCollection Date: 2025-08-01 DOI:10.1002/rcr2.70307
Shunta Yamamoto, Hiroki Kabata, Yuri Fukasawa, Kohei Fukuzawa, Masahito Mizobe, Risako Suzuki, Akira Miyakawa, Keiko Ohgino, Hideki Terai, Jun Kato, Hiroyuki Yasuda, Koichi Fukunaga
{"title":"pembrolizumab诱导的脐带血移植后肺腺癌患者严重肺炎1例。","authors":"Shunta Yamamoto, Hiroki Kabata, Yuri Fukasawa, Kohei Fukuzawa, Masahito Mizobe, Risako Suzuki, Akira Miyakawa, Keiko Ohgino, Hideki Terai, Jun Kato, Hiroyuki Yasuda, Koichi Fukunaga","doi":"10.1002/rcr2.70307","DOIUrl":null,"url":null,"abstract":"<p><p>Immune checkpoint inhibitors (ICIs) are essential treatments for lung cancer, but their safety following allogeneic haematopoietic stem cell transplantation (allo-HSCT) remains unclear. We report a case of a 66-year-old man who underwent umbilical cord blood transplantation for acute lymphoblastic leukaemia and later developed lung adenocarcinoma. Pembrolizumab monotherapy was initiated, but the patient developed severe steroid-refractory immune-related pneumonitis, leading to mortality 56 days after treatment initiation. Given the scarcity of reports on ICI use in lung cancer patients with prior HSCT, this case highlights critical safety considerations.</p>","PeriodicalId":45846,"journal":{"name":"Respirology Case Reports","volume":"13 8","pages":"e70307"},"PeriodicalIF":0.8000,"publicationDate":"2025-08-04","publicationTypes":"Journal Article","fieldsOfStudy":null,"isOpenAccess":false,"openAccessPdf":"https://www.ncbi.nlm.nih.gov/pmc/articles/PMC12322316/pdf/","citationCount":"0","resultStr":"{\"title\":\"Pembrolizumab-Induced Severe Pneumonitis in a Patient With Lung Adenocarcinoma After Umbilical Cord Blood Transplantation: A Case Report.\",\"authors\":\"Shunta Yamamoto, Hiroki Kabata, Yuri Fukasawa, Kohei Fukuzawa, Masahito Mizobe, Risako Suzuki, Akira Miyakawa, Keiko Ohgino, Hideki Terai, Jun Kato, Hiroyuki Yasuda, Koichi Fukunaga\",\"doi\":\"10.1002/rcr2.70307\",\"DOIUrl\":null,\"url\":null,\"abstract\":\"<p><p>Immune checkpoint inhibitors (ICIs) are essential treatments for lung cancer, but their safety following allogeneic haematopoietic stem cell transplantation (allo-HSCT) remains unclear. We report a case of a 66-year-old man who underwent umbilical cord blood transplantation for acute lymphoblastic leukaemia and later developed lung adenocarcinoma. Pembrolizumab monotherapy was initiated, but the patient developed severe steroid-refractory immune-related pneumonitis, leading to mortality 56 days after treatment initiation. Given the scarcity of reports on ICI use in lung cancer patients with prior HSCT, this case highlights critical safety considerations.</p>\",\"PeriodicalId\":45846,\"journal\":{\"name\":\"Respirology Case Reports\",\"volume\":\"13 8\",\"pages\":\"e70307\"},\"PeriodicalIF\":0.8000,\"publicationDate\":\"2025-08-04\",\"publicationTypes\":\"Journal Article\",\"fieldsOfStudy\":null,\"isOpenAccess\":false,\"openAccessPdf\":\"https://www.ncbi.nlm.nih.gov/pmc/articles/PMC12322316/pdf/\",\"citationCount\":\"0\",\"resultStr\":null,\"platform\":\"Semanticscholar\",\"paperid\":null,\"PeriodicalName\":\"Respirology Case Reports\",\"FirstCategoryId\":\"1085\",\"ListUrlMain\":\"https://doi.org/10.1002/rcr2.70307\",\"RegionNum\":0,\"RegionCategory\":null,\"ArticlePicture\":[],\"TitleCN\":null,\"AbstractTextCN\":null,\"PMCID\":null,\"EPubDate\":\"2025/8/1 0:00:00\",\"PubModel\":\"eCollection\",\"JCR\":\"Q4\",\"JCRName\":\"RESPIRATORY SYSTEM\",\"Score\":null,\"Total\":0}","platform":"Semanticscholar","paperid":null,"PeriodicalName":"Respirology Case Reports","FirstCategoryId":"1085","ListUrlMain":"https://doi.org/10.1002/rcr2.70307","RegionNum":0,"RegionCategory":null,"ArticlePicture":[],"TitleCN":null,"AbstractTextCN":null,"PMCID":null,"EPubDate":"2025/8/1 0:00:00","PubModel":"eCollection","JCR":"Q4","JCRName":"RESPIRATORY SYSTEM","Score":null,"Total":0}
引用次数: 0

摘要

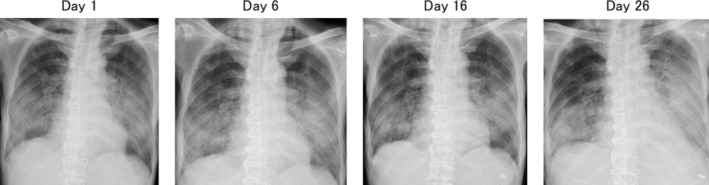
免疫检查点抑制剂(ICIs)是肺癌的基本治疗方法,但其在同种异体造血干细胞移植(alloo - hsct)后的安全性尚不清楚。我们报告一例66岁的男性,因急性淋巴细胞白血病而接受脐带血移植,后来发展为肺腺癌。开始了派姆单抗单药治疗,但患者出现了严重的类固醇难治性免疫相关肺炎,导致治疗开始56天后死亡。鉴于既往HSCT的肺癌患者使用ICI的报道很少,本病例强调了关键的安全性考虑。
本文章由计算机程序翻译,如有差异,请以英文原文为准。

Pembrolizumab-Induced Severe Pneumonitis in a Patient With Lung Adenocarcinoma After Umbilical Cord Blood Transplantation: A Case Report.

Pembrolizumab-Induced Severe Pneumonitis in a Patient With Lung Adenocarcinoma After Umbilical Cord Blood Transplantation: A Case Report.

Pembrolizumab-Induced Severe Pneumonitis in a Patient With Lung Adenocarcinoma After Umbilical Cord Blood Transplantation: A Case Report.

Pembrolizumab-Induced Severe Pneumonitis in a Patient With Lung Adenocarcinoma After Umbilical Cord Blood Transplantation: A Case Report.

Immune checkpoint inhibitors (ICIs) are essential treatments for lung cancer, but their safety following allogeneic haematopoietic stem cell transplantation (allo-HSCT) remains unclear. We report a case of a 66-year-old man who underwent umbilical cord blood transplantation for acute lymphoblastic leukaemia and later developed lung adenocarcinoma. Pembrolizumab monotherapy was initiated, but the patient developed severe steroid-refractory immune-related pneumonitis, leading to mortality 56 days after treatment initiation. Given the scarcity of reports on ICI use in lung cancer patients with prior HSCT, this case highlights critical safety considerations.

求助全文
通过发布文献求助,成功后即可免费获取论文全文。 去求助
来源期刊
Respirology Case Reports
Respirology Case Reports RESPIRATORY SYSTEM-
CiteScore
1.40
自引率
0.00%
发文量
178
审稿时长
8 weeks
期刊介绍: Respirology Case Reports is an open-access online journal dedicated to the publication of original clinical case reports, case series, clinical images and clinical videos in all fields of respiratory medicine. The Journal encourages the international exchange between clinicians and researchers of experiences in diagnosing and treating uncommon diseases or diseases with unusual presentations. All manuscripts are peer-reviewed through a streamlined process that aims at providing a rapid turnaround time from submission to publication.
×
引用
GB/T 7714-2015
复制
MLA
复制
APA
复制
导出至
BibTeX EndNote RefMan NoteFirst NoteExpress
×
提示
您的信息不完整,为了账户安全,请先补充。
现在去补充
×
提示
您因"违规操作"
具体请查看互助需知
我知道了
×
提示
确定
请完成安全验证×
copy
已复制链接
快去分享给好友吧!
我知道了
右上角分享
点击右上角分享
0
联系我们:info@booksci.cn Book学术提供免费学术资源搜索服务,方便国内外学者检索中英文文献。致力于提供最便捷和优质的服务体验。 Copyright © 2023 布克学术 All rights reserved.
京ICP备2023020795号-1
ghs 京公网安备 11010802042870号
Book学术文献互助
Book学术文献互助群
群 号:604180095
Book学术官方微信