非手术指征支气管镜下曲菌瘤切除1例。

IF 0.8 Q4 RESPIRATORY SYSTEM
Respirology Case Reports Pub Date : 2025-08-04 eCollection Date: 2025-08-01 DOI:10.1002/rcr2.70310
Takatoshi Tetsuka, Yusuke Nakamura, Yuto Goto, Sunao Mikura, Nana Yazawa, Hiromichi Suzuki, Yasuo Shimizu, Seiji Niho
{"title":"非手术指征支气管镜下曲菌瘤切除1例。","authors":"Takatoshi Tetsuka, Yusuke Nakamura, Yuto Goto, Sunao Mikura, Nana Yazawa, Hiromichi Suzuki, Yasuo Shimizu, Seiji Niho","doi":"10.1002/rcr2.70310","DOIUrl":null,"url":null,"abstract":"<p><p>A 76-year-old man was diagnosed with aspergilloma in the left upper lobe. Due to advanced age and recurring colon cancer, surgery was not an option. The aspergilloma was removed with biopsy forceps. Then, the lesion and sputum were decreased. Bronchoscopic removal can be considered, particularly for patients without surgical indications.</p>","PeriodicalId":45846,"journal":{"name":"Respirology Case Reports","volume":"13 8","pages":"e70310"},"PeriodicalIF":0.8000,"publicationDate":"2025-08-04","publicationTypes":"Journal Article","fieldsOfStudy":null,"isOpenAccess":false,"openAccessPdf":"https://www.ncbi.nlm.nih.gov/pmc/articles/PMC12322320/pdf/","citationCount":"0","resultStr":"{\"title\":\"A Case of Bronchoscopic Removal of Aspergilloma in Patients With Non-Surgical Indications.\",\"authors\":\"Takatoshi Tetsuka, Yusuke Nakamura, Yuto Goto, Sunao Mikura, Nana Yazawa, Hiromichi Suzuki, Yasuo Shimizu, Seiji Niho\",\"doi\":\"10.1002/rcr2.70310\",\"DOIUrl\":null,\"url\":null,\"abstract\":\"<p><p>A 76-year-old man was diagnosed with aspergilloma in the left upper lobe. Due to advanced age and recurring colon cancer, surgery was not an option. The aspergilloma was removed with biopsy forceps. Then, the lesion and sputum were decreased. Bronchoscopic removal can be considered, particularly for patients without surgical indications.</p>\",\"PeriodicalId\":45846,\"journal\":{\"name\":\"Respirology Case Reports\",\"volume\":\"13 8\",\"pages\":\"e70310\"},\"PeriodicalIF\":0.8000,\"publicationDate\":\"2025-08-04\",\"publicationTypes\":\"Journal Article\",\"fieldsOfStudy\":null,\"isOpenAccess\":false,\"openAccessPdf\":\"https://www.ncbi.nlm.nih.gov/pmc/articles/PMC12322320/pdf/\",\"citationCount\":\"0\",\"resultStr\":null,\"platform\":\"Semanticscholar\",\"paperid\":null,\"PeriodicalName\":\"Respirology Case Reports\",\"FirstCategoryId\":\"1085\",\"ListUrlMain\":\"https://doi.org/10.1002/rcr2.70310\",\"RegionNum\":0,\"RegionCategory\":null,\"ArticlePicture\":[],\"TitleCN\":null,\"AbstractTextCN\":null,\"PMCID\":null,\"EPubDate\":\"2025/8/1 0:00:00\",\"PubModel\":\"eCollection\",\"JCR\":\"Q4\",\"JCRName\":\"RESPIRATORY SYSTEM\",\"Score\":null,\"Total\":0}","platform":"Semanticscholar","paperid":null,"PeriodicalName":"Respirology Case Reports","FirstCategoryId":"1085","ListUrlMain":"https://doi.org/10.1002/rcr2.70310","RegionNum":0,"RegionCategory":null,"ArticlePicture":[],"TitleCN":null,"AbstractTextCN":null,"PMCID":null,"EPubDate":"2025/8/1 0:00:00","PubModel":"eCollection","JCR":"Q4","JCRName":"RESPIRATORY SYSTEM","Score":null,"Total":0}
引用次数: 0

摘要

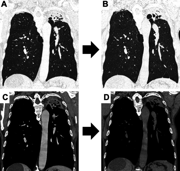
一位76岁的男性被诊断为左上肺叶曲菌瘤。由于高龄和结肠癌复发,手术不是一个选择。用活检钳切除曲菌瘤。然后,病变和痰液减少。可以考虑支气管镜切除,特别是对于没有手术指征的患者。
本文章由计算机程序翻译,如有差异,请以英文原文为准。

A Case of Bronchoscopic Removal of Aspergilloma in Patients With Non-Surgical Indications.

A Case of Bronchoscopic Removal of Aspergilloma in Patients With Non-Surgical Indications.

A Case of Bronchoscopic Removal of Aspergilloma in Patients With Non-Surgical Indications.

A Case of Bronchoscopic Removal of Aspergilloma in Patients With Non-Surgical Indications.

A 76-year-old man was diagnosed with aspergilloma in the left upper lobe. Due to advanced age and recurring colon cancer, surgery was not an option. The aspergilloma was removed with biopsy forceps. Then, the lesion and sputum were decreased. Bronchoscopic removal can be considered, particularly for patients without surgical indications.

求助全文
通过发布文献求助,成功后即可免费获取论文全文。 去求助
来源期刊
Respirology Case Reports
Respirology Case Reports RESPIRATORY SYSTEM-
CiteScore
1.40
自引率
0.00%
发文量
178
审稿时长
8 weeks
期刊介绍: Respirology Case Reports is an open-access online journal dedicated to the publication of original clinical case reports, case series, clinical images and clinical videos in all fields of respiratory medicine. The Journal encourages the international exchange between clinicians and researchers of experiences in diagnosing and treating uncommon diseases or diseases with unusual presentations. All manuscripts are peer-reviewed through a streamlined process that aims at providing a rapid turnaround time from submission to publication.
×
引用
GB/T 7714-2015
复制
MLA
复制
APA
复制
导出至
BibTeX EndNote RefMan NoteFirst NoteExpress
×
提示
您的信息不完整,为了账户安全,请先补充。
现在去补充
×
提示
您因"违规操作"
具体请查看互助需知
我知道了
×
提示
确定
请完成安全验证×
copy
已复制链接
快去分享给好友吧!
我知道了
右上角分享
点击右上角分享
0
联系我们:info@booksci.cn Book学术提供免费学术资源搜索服务,方便国内外学者检索中英文文献。致力于提供最便捷和优质的服务体验。 Copyright © 2023 布克学术 All rights reserved.
京ICP备2023020795号-1
ghs 京公网安备 11010802042870号
Book学术文献互助
Book学术文献互助群
群 号:604180095
Book学术官方微信