重点讨论与良性前列腺增生相关的包埋性包膜增生结节的处理。

IF 1.3 4区 医学 Q4 UROLOGY & NEPHROLOGY
Current Urology Pub Date : 2025-07-01 Epub Date: 2025-05-27 DOI:10.1097/CU9.0000000000000287
Chenghao Zheng, Yiping Zhu, Yifeng Jing, Shujie Xia
{"title":"重点讨论与良性前列腺增生相关的包埋性包膜增生结节的处理。","authors":"Chenghao Zheng, Yiping Zhu, Yifeng Jing, Shujie Xia","doi":"10.1097/CU9.0000000000000287","DOIUrl":null,"url":null,"abstract":"<p><p>Benign prostatic hyperplasia is commonly observed in older men, and surgery is the primary treatment. Management of prostatic hyperplasia nodules, especially embedded capsular hyperplasia nodules, is crucial for reducing the incidence of postoperative complications and the need for repeat surgery. We summarize the sources of prostatic hyperplasia nodules, relationship between the nodules and the surgical capsule of the prostate, advantages and disadvantages of various surgical procedures for hyperplasia nodules, and impact of surgery on the incidence of postoperative complications. Additionally, we share our experience with the management of embedded capsular hyperplasia nodules using thulium laser enucleation of the prostate. We hope that doctors will pay attention to the management of embedded capsular hyperplasia nodules during prostate surgery in their clinical practice.</p>","PeriodicalId":39147,"journal":{"name":"Current Urology","volume":"19 4","pages":"247-252"},"PeriodicalIF":1.3000,"publicationDate":"2025-07-01","publicationTypes":"Journal Article","fieldsOfStudy":null,"isOpenAccess":false,"openAccessPdf":"https://www.ncbi.nlm.nih.gov/pmc/articles/PMC12321479/pdf/","citationCount":"0","resultStr":"{\"title\":\"Emphasis on the management of embedded capsular hyperplasia nodules associated with benign prostatic hyperplasia.\",\"authors\":\"Chenghao Zheng, Yiping Zhu, Yifeng Jing, Shujie Xia\",\"doi\":\"10.1097/CU9.0000000000000287\",\"DOIUrl\":null,\"url\":null,\"abstract\":\"<p><p>Benign prostatic hyperplasia is commonly observed in older men, and surgery is the primary treatment. Management of prostatic hyperplasia nodules, especially embedded capsular hyperplasia nodules, is crucial for reducing the incidence of postoperative complications and the need for repeat surgery. We summarize the sources of prostatic hyperplasia nodules, relationship between the nodules and the surgical capsule of the prostate, advantages and disadvantages of various surgical procedures for hyperplasia nodules, and impact of surgery on the incidence of postoperative complications. Additionally, we share our experience with the management of embedded capsular hyperplasia nodules using thulium laser enucleation of the prostate. We hope that doctors will pay attention to the management of embedded capsular hyperplasia nodules during prostate surgery in their clinical practice.</p>\",\"PeriodicalId\":39147,\"journal\":{\"name\":\"Current Urology\",\"volume\":\"19 4\",\"pages\":\"247-252\"},\"PeriodicalIF\":1.3000,\"publicationDate\":\"2025-07-01\",\"publicationTypes\":\"Journal Article\",\"fieldsOfStudy\":null,\"isOpenAccess\":false,\"openAccessPdf\":\"https://www.ncbi.nlm.nih.gov/pmc/articles/PMC12321479/pdf/\",\"citationCount\":\"0\",\"resultStr\":null,\"platform\":\"Semanticscholar\",\"paperid\":null,\"PeriodicalName\":\"Current Urology\",\"FirstCategoryId\":\"1085\",\"ListUrlMain\":\"https://doi.org/10.1097/CU9.0000000000000287\",\"RegionNum\":4,\"RegionCategory\":\"医学\",\"ArticlePicture\":[],\"TitleCN\":null,\"AbstractTextCN\":null,\"PMCID\":null,\"EPubDate\":\"2025/5/27 0:00:00\",\"PubModel\":\"Epub\",\"JCR\":\"Q4\",\"JCRName\":\"UROLOGY & NEPHROLOGY\",\"Score\":null,\"Total\":0}","platform":"Semanticscholar","paperid":null,"PeriodicalName":"Current Urology","FirstCategoryId":"1085","ListUrlMain":"https://doi.org/10.1097/CU9.0000000000000287","RegionNum":4,"RegionCategory":"医学","ArticlePicture":[],"TitleCN":null,"AbstractTextCN":null,"PMCID":null,"EPubDate":"2025/5/27 0:00:00","PubModel":"Epub","JCR":"Q4","JCRName":"UROLOGY & NEPHROLOGY","Score":null,"Total":0}
引用次数: 0

摘要

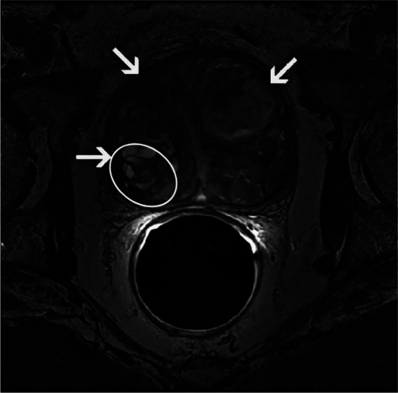
良性前列腺增生常见于老年男性,手术是主要治疗方法。前列腺增生结节,尤其是包埋性包膜增生结节的处理,对于减少术后并发症的发生率和减少重复手术的需要至关重要。我们就前列腺增生结节的来源、结节与前列腺手术包膜的关系、各种手术方式治疗增生结节的优缺点以及手术对术后并发症发生率的影响进行综述。此外,我们也将分享我们使用铥激光切除前列腺内埋包膜增生结节的治疗经验。我们希望医生在临床实践中重视前列腺手术中浸润性囊膜增生结节的处理。
本文章由计算机程序翻译,如有差异,请以英文原文为准。

Emphasis on the management of embedded capsular hyperplasia nodules associated with benign prostatic hyperplasia.

Emphasis on the management of embedded capsular hyperplasia nodules associated with benign prostatic hyperplasia.

Emphasis on the management of embedded capsular hyperplasia nodules associated with benign prostatic hyperplasia.

Emphasis on the management of embedded capsular hyperplasia nodules associated with benign prostatic hyperplasia.

Benign prostatic hyperplasia is commonly observed in older men, and surgery is the primary treatment. Management of prostatic hyperplasia nodules, especially embedded capsular hyperplasia nodules, is crucial for reducing the incidence of postoperative complications and the need for repeat surgery. We summarize the sources of prostatic hyperplasia nodules, relationship between the nodules and the surgical capsule of the prostate, advantages and disadvantages of various surgical procedures for hyperplasia nodules, and impact of surgery on the incidence of postoperative complications. Additionally, we share our experience with the management of embedded capsular hyperplasia nodules using thulium laser enucleation of the prostate. We hope that doctors will pay attention to the management of embedded capsular hyperplasia nodules during prostate surgery in their clinical practice.

求助全文
通过发布文献求助,成功后即可免费获取论文全文。 去求助
来源期刊
Current Urology
Current Urology Medicine-Urology
CiteScore
2.30
自引率
0.00%
发文量
96
×
引用
GB/T 7714-2015
复制
MLA
复制
APA
复制
导出至
BibTeX EndNote RefMan NoteFirst NoteExpress
×
提示
您的信息不完整,为了账户安全,请先补充。
现在去补充
×
提示
您因"违规操作"
具体请查看互助需知
我知道了
×
提示
确定
请完成安全验证×
copy
已复制链接
快去分享给好友吧!
我知道了
右上角分享
点击右上角分享
0
联系我们:info@booksci.cn Book学术提供免费学术资源搜索服务,方便国内外学者检索中英文文献。致力于提供最便捷和优质的服务体验。 Copyright © 2023 布克学术 All rights reserved.
京ICP备2023020795号-1
ghs 京公网安备 11010802042870号
Book学术文献互助
Book学术文献互助群
群 号:604180095
Book学术官方微信