猫全身反应性血管内皮瘤病伴高钙血症。

IF 0.7 Q3 VETERINARY SCIENCES
Journal of Feline Medicine and Surgery Open Reports Pub Date : 2025-08-04 eCollection Date: 2025-07-01 DOI:10.1177/20551169251347078
Stefano Espenica, Edward Bellamy, Shauna Hilton, Carlo Bianco, Gail Leeming, Hanna Procter, Ferran Valls Sanchez
{"title":"猫全身反应性血管内皮瘤病伴高钙血症。","authors":"Stefano Espenica, Edward Bellamy, Shauna Hilton, Carlo Bianco, Gail Leeming, Hanna Procter, Ferran Valls Sanchez","doi":"10.1177/20551169251347078","DOIUrl":null,"url":null,"abstract":"<p><strong>Case summary: </strong>A 3-year 10-month-old spayed female domestic shorthair cat was presented for subacute progressive hyporexia, vomiting and lethargy. On presentation, the cat was dyspnoeic, and venous blood gas analysis revealed metabolic acidosis, hypercalcaemia (both total and ionised), hyperlactaemia and hyperglycaemia. Physical examination identified a 2 × 3 cm crusted cutaneous lesion on the cranium, reduced mentation, mild tachycardia, harsh bronchovesicular sounds and approximately 5% dehydration. Owing to welfare concerns, the owners elected euthanasia. Post-mortem examination revealed moderate autolytic changes. The organs most affected by vascular lesions included the heart, brain, kidneys, liver and pancreas. Histopathology revealed mild to severe multifocal intraluminal and mural proliferations of atypical endothelial cells, accompanied by multifocal thrombosis and mild perivascular oedema. Immunohistochemistry showed that the proliferating cells were negative for alpha-smooth muscle actin, and quantitative PCR for <i>Bartonella</i> species was also negative. However, 50% of the proliferating cells were positive for factor VIII. These findings supported a diagnosis of feline systemic reactive angioendotheliomatosis.</p><p><strong>Relevance and novel information: </strong>In the authors' opinion, this case contributes to the growing body of literature on this rare condition and raises the possibility of an association with hypercalcaemia.</p>","PeriodicalId":36588,"journal":{"name":"Journal of Feline Medicine and Surgery Open Reports","volume":"11 2","pages":"20551169251347078"},"PeriodicalIF":0.7000,"publicationDate":"2025-08-04","publicationTypes":"Journal Article","fieldsOfStudy":null,"isOpenAccess":false,"openAccessPdf":"https://www.ncbi.nlm.nih.gov/pmc/articles/PMC12322373/pdf/","citationCount":"0","resultStr":"{\"title\":\"Feline systemic reactive angioendotheliomatosis with hypercalcaemia.\",\"authors\":\"Stefano Espenica, Edward Bellamy, Shauna Hilton, Carlo Bianco, Gail Leeming, Hanna Procter, Ferran Valls Sanchez\",\"doi\":\"10.1177/20551169251347078\",\"DOIUrl\":null,\"url\":null,\"abstract\":\"<p><strong>Case summary: </strong>A 3-year 10-month-old spayed female domestic shorthair cat was presented for subacute progressive hyporexia, vomiting and lethargy. On presentation, the cat was dyspnoeic, and venous blood gas analysis revealed metabolic acidosis, hypercalcaemia (both total and ionised), hyperlactaemia and hyperglycaemia. Physical examination identified a 2 × 3 cm crusted cutaneous lesion on the cranium, reduced mentation, mild tachycardia, harsh bronchovesicular sounds and approximately 5% dehydration. Owing to welfare concerns, the owners elected euthanasia. Post-mortem examination revealed moderate autolytic changes. The organs most affected by vascular lesions included the heart, brain, kidneys, liver and pancreas. Histopathology revealed mild to severe multifocal intraluminal and mural proliferations of atypical endothelial cells, accompanied by multifocal thrombosis and mild perivascular oedema. Immunohistochemistry showed that the proliferating cells were negative for alpha-smooth muscle actin, and quantitative PCR for <i>Bartonella</i> species was also negative. However, 50% of the proliferating cells were positive for factor VIII. These findings supported a diagnosis of feline systemic reactive angioendotheliomatosis.</p><p><strong>Relevance and novel information: </strong>In the authors' opinion, this case contributes to the growing body of literature on this rare condition and raises the possibility of an association with hypercalcaemia.</p>\",\"PeriodicalId\":36588,\"journal\":{\"name\":\"Journal of Feline Medicine and Surgery Open Reports\",\"volume\":\"11 2\",\"pages\":\"20551169251347078\"},\"PeriodicalIF\":0.7000,\"publicationDate\":\"2025-08-04\",\"publicationTypes\":\"Journal Article\",\"fieldsOfStudy\":null,\"isOpenAccess\":false,\"openAccessPdf\":\"https://www.ncbi.nlm.nih.gov/pmc/articles/PMC12322373/pdf/\",\"citationCount\":\"0\",\"resultStr\":null,\"platform\":\"Semanticscholar\",\"paperid\":null,\"PeriodicalName\":\"Journal of Feline Medicine and Surgery Open Reports\",\"FirstCategoryId\":\"1085\",\"ListUrlMain\":\"https://doi.org/10.1177/20551169251347078\",\"RegionNum\":0,\"RegionCategory\":null,\"ArticlePicture\":[],\"TitleCN\":null,\"AbstractTextCN\":null,\"PMCID\":null,\"EPubDate\":\"2025/7/1 0:00:00\",\"PubModel\":\"eCollection\",\"JCR\":\"Q3\",\"JCRName\":\"VETERINARY SCIENCES\",\"Score\":null,\"Total\":0}","platform":"Semanticscholar","paperid":null,"PeriodicalName":"Journal of Feline Medicine and Surgery Open Reports","FirstCategoryId":"1085","ListUrlMain":"https://doi.org/10.1177/20551169251347078","RegionNum":0,"RegionCategory":null,"ArticlePicture":[],"TitleCN":null,"AbstractTextCN":null,"PMCID":null,"EPubDate":"2025/7/1 0:00:00","PubModel":"eCollection","JCR":"Q3","JCRName":"VETERINARY SCIENCES","Score":null,"Total":0}
引用次数: 0

摘要

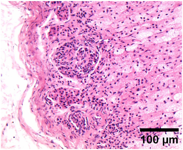
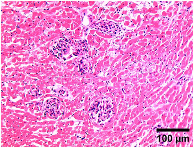
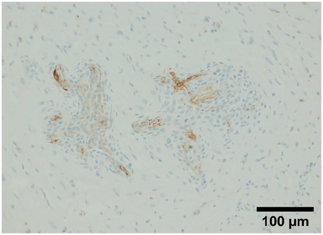
病例总结:一只3岁10月龄的雌性家短毛猫因亚急性进行性缺氧、呕吐和嗜睡而被报道。猫出现呼吸困难,静脉血气分析显示代谢性酸中毒、高钙血症(总钙血症和离子血)、高乳酸血症和高血糖。体格检查发现颅骨有2 × 3厘米的皮肤痂状病变,精神状态降低,轻度心动过速,支气管水泡声,约5%脱水。出于对福利的考虑,主人选择了安乐死。尸检显示中度自溶改变。受血管病变影响最大的器官包括心脏、大脑、肾脏、肝脏和胰腺。组织病理学显示轻度至重度多灶性腔内和壁内非典型内皮细胞增生,伴多灶性血栓形成和轻度血管周围水肿。免疫组化显示增殖细胞α -平滑肌肌动蛋白呈阴性,巴尔通体的定量PCR也呈阴性。然而,50%的增殖细胞对因子VIII呈阳性。这些发现支持猫全身性反应性血管内皮瘤病的诊断。相关性和新信息:在作者看来,该病例有助于增加关于这种罕见疾病的文献,并提出了与高钙血症相关的可能性。
本文章由计算机程序翻译,如有差异,请以英文原文为准。

Feline systemic reactive angioendotheliomatosis with hypercalcaemia.

Feline systemic reactive angioendotheliomatosis with hypercalcaemia.

Feline systemic reactive angioendotheliomatosis with hypercalcaemia.

Feline systemic reactive angioendotheliomatosis with hypercalcaemia.

Case summary: A 3-year 10-month-old spayed female domestic shorthair cat was presented for subacute progressive hyporexia, vomiting and lethargy. On presentation, the cat was dyspnoeic, and venous blood gas analysis revealed metabolic acidosis, hypercalcaemia (both total and ionised), hyperlactaemia and hyperglycaemia. Physical examination identified a 2 × 3 cm crusted cutaneous lesion on the cranium, reduced mentation, mild tachycardia, harsh bronchovesicular sounds and approximately 5% dehydration. Owing to welfare concerns, the owners elected euthanasia. Post-mortem examination revealed moderate autolytic changes. The organs most affected by vascular lesions included the heart, brain, kidneys, liver and pancreas. Histopathology revealed mild to severe multifocal intraluminal and mural proliferations of atypical endothelial cells, accompanied by multifocal thrombosis and mild perivascular oedema. Immunohistochemistry showed that the proliferating cells were negative for alpha-smooth muscle actin, and quantitative PCR for Bartonella species was also negative. However, 50% of the proliferating cells were positive for factor VIII. These findings supported a diagnosis of feline systemic reactive angioendotheliomatosis.

Relevance and novel information: In the authors' opinion, this case contributes to the growing body of literature on this rare condition and raises the possibility of an association with hypercalcaemia.

求助全文
通过发布文献求助,成功后即可免费获取论文全文。 去求助
来源期刊
CiteScore
1.30
自引率
14.30%
发文量
57
审稿时长
15 weeks
×
引用
GB/T 7714-2015
复制
MLA
复制
APA
复制
导出至
BibTeX EndNote RefMan NoteFirst NoteExpress
×
提示
您的信息不完整,为了账户安全,请先补充。
现在去补充
×
提示
您因"违规操作"
具体请查看互助需知
我知道了
×
提示
确定
请完成安全验证×
copy
已复制链接
快去分享给好友吧!
我知道了
右上角分享
点击右上角分享
0
联系我们:info@booksci.cn Book学术提供免费学术资源搜索服务,方便国内外学者检索中英文文献。致力于提供最便捷和优质的服务体验。 Copyright © 2023 布克学术 All rights reserved.
京ICP备2023020795号-1
ghs 京公网安备 11010802042870号
Book学术文献互助
Book学术文献互助群
群 号:604180095
Book学术官方微信