腹股沟肿瘤切除后外阴肌上皮瘤样肿瘤1例。

IF 0.7 Q4 SURGERY
Surgical Case Reports Pub Date : 2025-01-01 Epub Date: 2025-08-05 DOI:10.70352/scrj.cr.25-0237
Kei Urakami, Hiroaki Saito, Akimitsu Tanio, Yoichiro Tada, Yoshinori Yamada, Yutaka Yamashiro, Yumi Yamaguchi
{"title":"腹股沟肿瘤切除后外阴肌上皮瘤样肿瘤1例。","authors":"Kei Urakami, Hiroaki Saito, Akimitsu Tanio, Yoichiro Tada, Yoshinori Yamada, Yutaka Yamashiro, Yumi Yamaguchi","doi":"10.70352/scrj.cr.25-0237","DOIUrl":null,"url":null,"abstract":"<p><strong>Introduction: </strong>Myoepithelioma-like tumor of the vulvar region (MELTVR) is a mesenchymal neoplasm first reported in 2015 and typically develops from the inguinal to the vulvar regions of adult women.</p><p><strong>Case presentation: </strong>Here we report the case of a 42-year-old woman who presented with right inguinal tumor. The tumor had recently increased in size continuously. Computed tomography (CT) showed a homogeneous neoplastic lesion along the uterine cord in the right inguinal region and marginal resection was performed. Pathological examination revealed a well-defined tumor. And there were areas of epithelial-like tumor cells arranged in a reticular or cord-like pattern against a background of mucinous stroma, and areas of spindle-shaped cells growing in mucinous substrate with transition from epithelial cells. The nucleus was irregular in size and shape. Necrotic nests were scattered in the tumor. Immunohistological examination showed that the tumor cells were positive for epithelial membrane antigen (EMA), estrogen receptor (ER), and progesterone receptor (PgR). Alpha-smooth muscle actin (α-SMA) was slightly positive. The tumor was negative for cytokeratin AE1/AE3, p63, desmin, CD34, S100, glial fibrillary acidic protein (GFAP), and SOX10. Loss of INI1 protein expression was also confirmed. The patient was suspected of having high-grade myoepithelioma on pathological diagnosis at our hospital. However, immunohistological findings led to the diagnosis of MELTVR. The patient underwent additional wide excision and has been alive 10 months postoperatively without recurrence.</p><p><strong>Conclusions: </strong>Due to its rarity, it is difficult to make preoperative diagnosis of MELTVR. Awareness of this condition can contribute to accurate diagnosis and appropriate management in adult female patients presenting with swelling extending from the inguinal to the vulvar regions.</p>","PeriodicalId":22096,"journal":{"name":"Surgical Case Reports","volume":"11 1","pages":""},"PeriodicalIF":0.7000,"publicationDate":"2025-01-01","publicationTypes":"Journal Article","fieldsOfStudy":null,"isOpenAccess":false,"openAccessPdf":"https://www.ncbi.nlm.nih.gov/pmc/articles/PMC12324924/pdf/","citationCount":"0","resultStr":"{\"title\":\"A Case of Myoepithelioma-Like Tumor of the Vulvar Region after Removal of an Inguinal Tumor.\",\"authors\":\"Kei Urakami, Hiroaki Saito, Akimitsu Tanio, Yoichiro Tada, Yoshinori Yamada, Yutaka Yamashiro, Yumi Yamaguchi\",\"doi\":\"10.70352/scrj.cr.25-0237\",\"DOIUrl\":null,\"url\":null,\"abstract\":\"<p><strong>Introduction: </strong>Myoepithelioma-like tumor of the vulvar region (MELTVR) is a mesenchymal neoplasm first reported in 2015 and typically develops from the inguinal to the vulvar regions of adult women.</p><p><strong>Case presentation: </strong>Here we report the case of a 42-year-old woman who presented with right inguinal tumor. The tumor had recently increased in size continuously. Computed tomography (CT) showed a homogeneous neoplastic lesion along the uterine cord in the right inguinal region and marginal resection was performed. Pathological examination revealed a well-defined tumor. And there were areas of epithelial-like tumor cells arranged in a reticular or cord-like pattern against a background of mucinous stroma, and areas of spindle-shaped cells growing in mucinous substrate with transition from epithelial cells. The nucleus was irregular in size and shape. Necrotic nests were scattered in the tumor. Immunohistological examination showed that the tumor cells were positive for epithelial membrane antigen (EMA), estrogen receptor (ER), and progesterone receptor (PgR). Alpha-smooth muscle actin (α-SMA) was slightly positive. The tumor was negative for cytokeratin AE1/AE3, p63, desmin, CD34, S100, glial fibrillary acidic protein (GFAP), and SOX10. Loss of INI1 protein expression was also confirmed. The patient was suspected of having high-grade myoepithelioma on pathological diagnosis at our hospital. However, immunohistological findings led to the diagnosis of MELTVR. The patient underwent additional wide excision and has been alive 10 months postoperatively without recurrence.</p><p><strong>Conclusions: </strong>Due to its rarity, it is difficult to make preoperative diagnosis of MELTVR. Awareness of this condition can contribute to accurate diagnosis and appropriate management in adult female patients presenting with swelling extending from the inguinal to the vulvar regions.</p>\",\"PeriodicalId\":22096,\"journal\":{\"name\":\"Surgical Case Reports\",\"volume\":\"11 1\",\"pages\":\"\"},\"PeriodicalIF\":0.7000,\"publicationDate\":\"2025-01-01\",\"publicationTypes\":\"Journal Article\",\"fieldsOfStudy\":null,\"isOpenAccess\":false,\"openAccessPdf\":\"https://www.ncbi.nlm.nih.gov/pmc/articles/PMC12324924/pdf/\",\"citationCount\":\"0\",\"resultStr\":null,\"platform\":\"Semanticscholar\",\"paperid\":null,\"PeriodicalName\":\"Surgical Case Reports\",\"FirstCategoryId\":\"1085\",\"ListUrlMain\":\"https://doi.org/10.70352/scrj.cr.25-0237\",\"RegionNum\":0,\"RegionCategory\":null,\"ArticlePicture\":[],\"TitleCN\":null,\"AbstractTextCN\":null,\"PMCID\":null,\"EPubDate\":\"2025/8/5 0:00:00\",\"PubModel\":\"Epub\",\"JCR\":\"Q4\",\"JCRName\":\"SURGERY\",\"Score\":null,\"Total\":0}","platform":"Semanticscholar","paperid":null,"PeriodicalName":"Surgical Case Reports","FirstCategoryId":"1085","ListUrlMain":"https://doi.org/10.70352/scrj.cr.25-0237","RegionNum":0,"RegionCategory":null,"ArticlePicture":[],"TitleCN":null,"AbstractTextCN":null,"PMCID":null,"EPubDate":"2025/8/5 0:00:00","PubModel":"Epub","JCR":"Q4","JCRName":"SURGERY","Score":null,"Total":0}
引用次数: 0

摘要

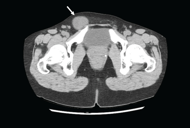
外阴区肌上皮瘤样肿瘤(myo上皮瘤样肿瘤,MELTVR)是一种间质肿瘤,于2015年首次报道,通常发生于成年女性的腹股沟至外阴区域。病例介绍:在这里我们报告一个42岁的妇女谁提出了右腹股沟肿瘤的情况。肿瘤最近不断增大。计算机断层扫描(CT)显示一均匀的肿瘤病变沿子宫脐部右腹股沟区和边缘切除。病理检查显示肿瘤界限分明。上皮样肿瘤细胞在黏液基质背景下呈网状或索状排列,梭形细胞在黏液基质中生长,由上皮细胞过渡而来。核的大小和形状不规则。坏死巢散在肿瘤中。免疫组织学检查显示肿瘤细胞上皮膜抗原(EMA)、雌激素受体(ER)、孕激素受体(PgR)阳性。α-平滑肌肌动蛋白(α-SMA)微阳性。肿瘤细胞角蛋白AE1/AE3、p63、desmin、CD34、S100、胶质纤维酸性蛋白(GFAP)、SOX10均阴性。INI1蛋白表达缺失也得到证实。本院病理诊断怀疑为高级别肌上皮瘤。然而,免疫组织学检查结果导致MELTVR的诊断。患者接受了额外的广泛切除,术后存活10个月,无复发。结论:MELTVR少见,术前诊断困难。意识到这种情况有助于准确的诊断和适当的处理成年女性患者肿胀从腹股沟延伸到外阴区域。
本文章由计算机程序翻译,如有差异,请以英文原文为准。

A Case of Myoepithelioma-Like Tumor of the Vulvar Region after Removal of an Inguinal Tumor.

A Case of Myoepithelioma-Like Tumor of the Vulvar Region after Removal of an Inguinal Tumor.

A Case of Myoepithelioma-Like Tumor of the Vulvar Region after Removal of an Inguinal Tumor.

A Case of Myoepithelioma-Like Tumor of the Vulvar Region after Removal of an Inguinal Tumor.

Introduction: Myoepithelioma-like tumor of the vulvar region (MELTVR) is a mesenchymal neoplasm first reported in 2015 and typically develops from the inguinal to the vulvar regions of adult women.

Case presentation: Here we report the case of a 42-year-old woman who presented with right inguinal tumor. The tumor had recently increased in size continuously. Computed tomography (CT) showed a homogeneous neoplastic lesion along the uterine cord in the right inguinal region and marginal resection was performed. Pathological examination revealed a well-defined tumor. And there were areas of epithelial-like tumor cells arranged in a reticular or cord-like pattern against a background of mucinous stroma, and areas of spindle-shaped cells growing in mucinous substrate with transition from epithelial cells. The nucleus was irregular in size and shape. Necrotic nests were scattered in the tumor. Immunohistological examination showed that the tumor cells were positive for epithelial membrane antigen (EMA), estrogen receptor (ER), and progesterone receptor (PgR). Alpha-smooth muscle actin (α-SMA) was slightly positive. The tumor was negative for cytokeratin AE1/AE3, p63, desmin, CD34, S100, glial fibrillary acidic protein (GFAP), and SOX10. Loss of INI1 protein expression was also confirmed. The patient was suspected of having high-grade myoepithelioma on pathological diagnosis at our hospital. However, immunohistological findings led to the diagnosis of MELTVR. The patient underwent additional wide excision and has been alive 10 months postoperatively without recurrence.

Conclusions: Due to its rarity, it is difficult to make preoperative diagnosis of MELTVR. Awareness of this condition can contribute to accurate diagnosis and appropriate management in adult female patients presenting with swelling extending from the inguinal to the vulvar regions.

求助全文
通过发布文献求助,成功后即可免费获取论文全文。 去求助
来源期刊
自引率
0.00%
发文量
218
审稿时长
13 weeks
×
引用
GB/T 7714-2015
复制
MLA
复制
APA
复制
导出至
BibTeX EndNote RefMan NoteFirst NoteExpress
×
提示
您的信息不完整,为了账户安全,请先补充。
现在去补充
×
提示
您因"违规操作"
具体请查看互助需知
我知道了
×
提示
确定
请完成安全验证×
copy
已复制链接
快去分享给好友吧!
我知道了
右上角分享
点击右上角分享
0
联系我们:info@booksci.cn Book学术提供免费学术资源搜索服务,方便国内外学者检索中英文文献。致力于提供最便捷和优质的服务体验。 Copyright © 2023 布克学术 All rights reserved.
京ICP备2023020795号-1
ghs 京公网安备 11010802042870号
Book学术文献互助
Book学术文献互助群
群 号:604180095
Book学术官方微信