在成年人的一生中,内感受和睡眠之间的联系因素。

IF 2.8 2区 心理学 Q2 NEUROSCIENCES
Ahhyun Seo, Risako Nishiyama, Kyoungeun Lee, Audrey Duarte
{"title":"在成年人的一生中,内感受和睡眠之间的联系因素。","authors":"Ahhyun Seo, Risako Nishiyama, Kyoungeun Lee, Audrey Duarte","doi":"10.1111/psyp.70120","DOIUrl":null,"url":null,"abstract":"<p><p>Sleep patterns change with age, and interoception-a multifaceted concept referring to the perception of internal body sensations-may be one of the underlying mechanisms of these changes. The insula cortex, a key region for both interoception and sleep, might be a shared neural link. In this study, we examined the role of the insula in linking multiple interoceptive constructs with objectively measured sleep. We also investigated how interoception relates to sleep quality across the adult lifespan at different levels of anxiety. We measured interoceptive accuracy (the objective ability to detect internal signals), interoceptive sensibility (the self-perceived ability to detect these signals), insular volume (using structural MRI), objectively assessed sleep quality (via actigraphy), and trait anxiety in 70 participants aged 18-79. The results indicated that both interoceptive constructs were associated with poorer sleep quality across age, particularly in individuals with higher anxiety levels. We also found that greater insula volume was associated with a stronger subjective belief in one's interoceptive abilities (interoceptive sensibility). Although there was no direct link between insula volume and sleep quality, insula integrity may indirectly influence sleep quality through its association with interoceptive sensibility. These findings highlight the negative relationship between interoception and sleep quality across the adult lifespan. Sleep interventions using mindfulness- or interoception-focused strategies should be implemented with caution, particularly for anxious individuals or those with heightened interoceptive sensibility. Further research should include poor sleepers and individuals with a wide range of health conditions for better understanding.</p>","PeriodicalId":20913,"journal":{"name":"Psychophysiology","volume":"62 8","pages":"e70120"},"PeriodicalIF":2.8000,"publicationDate":"2025-08-01","publicationTypes":"Journal Article","fieldsOfStudy":null,"isOpenAccess":false,"openAccessPdf":"https://www.ncbi.nlm.nih.gov/pmc/articles/PMC12326225/pdf/","citationCount":"0","resultStr":"{\"title\":\"Factors Linking Interoception and Sleep Across the Adult Lifespan.\",\"authors\":\"Ahhyun Seo, Risako Nishiyama, Kyoungeun Lee, Audrey Duarte\",\"doi\":\"10.1111/psyp.70120\",\"DOIUrl\":null,\"url\":null,\"abstract\":\"<p><p>Sleep patterns change with age, and interoception-a multifaceted concept referring to the perception of internal body sensations-may be one of the underlying mechanisms of these changes. The insula cortex, a key region for both interoception and sleep, might be a shared neural link. In this study, we examined the role of the insula in linking multiple interoceptive constructs with objectively measured sleep. We also investigated how interoception relates to sleep quality across the adult lifespan at different levels of anxiety. We measured interoceptive accuracy (the objective ability to detect internal signals), interoceptive sensibility (the self-perceived ability to detect these signals), insular volume (using structural MRI), objectively assessed sleep quality (via actigraphy), and trait anxiety in 70 participants aged 18-79. The results indicated that both interoceptive constructs were associated with poorer sleep quality across age, particularly in individuals with higher anxiety levels. We also found that greater insula volume was associated with a stronger subjective belief in one's interoceptive abilities (interoceptive sensibility). Although there was no direct link between insula volume and sleep quality, insula integrity may indirectly influence sleep quality through its association with interoceptive sensibility. These findings highlight the negative relationship between interoception and sleep quality across the adult lifespan. Sleep interventions using mindfulness- or interoception-focused strategies should be implemented with caution, particularly for anxious individuals or those with heightened interoceptive sensibility. Further research should include poor sleepers and individuals with a wide range of health conditions for better understanding.</p>\",\"PeriodicalId\":20913,\"journal\":{\"name\":\"Psychophysiology\",\"volume\":\"62 8\",\"pages\":\"e70120\"},\"PeriodicalIF\":2.8000,\"publicationDate\":\"2025-08-01\",\"publicationTypes\":\"Journal Article\",\"fieldsOfStudy\":null,\"isOpenAccess\":false,\"openAccessPdf\":\"https://www.ncbi.nlm.nih.gov/pmc/articles/PMC12326225/pdf/\",\"citationCount\":\"0\",\"resultStr\":null,\"platform\":\"Semanticscholar\",\"paperid\":null,\"PeriodicalName\":\"Psychophysiology\",\"FirstCategoryId\":\"102\",\"ListUrlMain\":\"https://doi.org/10.1111/psyp.70120\",\"RegionNum\":2,\"RegionCategory\":\"心理学\",\"ArticlePicture\":[],\"TitleCN\":null,\"AbstractTextCN\":null,\"PMCID\":null,\"EPubDate\":\"\",\"PubModel\":\"\",\"JCR\":\"Q2\",\"JCRName\":\"NEUROSCIENCES\",\"Score\":null,\"Total\":0}","platform":"Semanticscholar","paperid":null,"PeriodicalName":"Psychophysiology","FirstCategoryId":"102","ListUrlMain":"https://doi.org/10.1111/psyp.70120","RegionNum":2,"RegionCategory":"心理学","ArticlePicture":[],"TitleCN":null,"AbstractTextCN":null,"PMCID":null,"EPubDate":"","PubModel":"","JCR":"Q2","JCRName":"NEUROSCIENCES","Score":null,"Total":0}
引用次数: 0

摘要

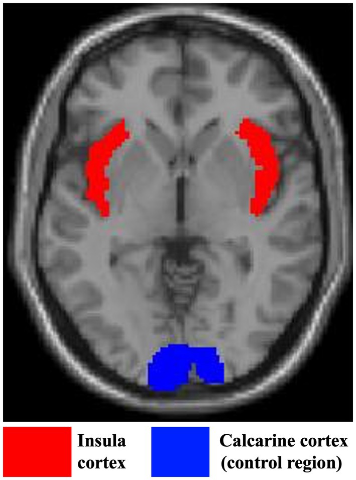
睡眠模式会随着年龄的增长而改变,而内感受——一个涉及身体内部感觉的多层面概念——可能是这些变化的潜在机制之一。脑岛皮层是控制内感受和睡眠的关键区域,可能是一个共享的神经链接。在这项研究中,我们研究了脑岛在将多重内感受性结构与客观测量的睡眠联系起来方面的作用。我们还研究了在不同焦虑水平下,内感受与成人一生中睡眠质量的关系。我们测量了70名年龄在18-79岁的参与者的内感受准确性(检测内部信号的客观能力)、内感受敏感性(检测这些信号的自我感知能力)、岛岛体积(使用结构MRI)、客观评估睡眠质量(通过活动描记术)和特质焦虑。结果表明,这两种内感受性结构都与各年龄段较差的睡眠质量有关,尤其是在焦虑水平较高的个体中。我们还发现,更大的脑岛体积与一个人对内感受能力(内感受敏感性)的更强的主观信念有关。虽然脑岛体积和睡眠质量之间没有直接联系,但脑岛完整性可能通过其与内感受性的关联间接影响睡眠质量。这些发现强调了在整个成人生活中,内感受和睡眠质量之间的负相关关系。使用以正念或内感受为中心的策略进行睡眠干预应谨慎实施,特别是对于焦虑的个体或内感受敏感性较高的个体。进一步的研究应该包括睡眠不良者和有各种健康状况的人,以便更好地了解。
本文章由计算机程序翻译,如有差异,请以英文原文为准。

Factors Linking Interoception and Sleep Across the Adult Lifespan.

Factors Linking Interoception and Sleep Across the Adult Lifespan.

Factors Linking Interoception and Sleep Across the Adult Lifespan.

Factors Linking Interoception and Sleep Across the Adult Lifespan.

Factors Linking Interoception and Sleep Across the Adult Lifespan.

Factors Linking Interoception and Sleep Across the Adult Lifespan.

Factors Linking Interoception and Sleep Across the Adult Lifespan.

Sleep patterns change with age, and interoception-a multifaceted concept referring to the perception of internal body sensations-may be one of the underlying mechanisms of these changes. The insula cortex, a key region for both interoception and sleep, might be a shared neural link. In this study, we examined the role of the insula in linking multiple interoceptive constructs with objectively measured sleep. We also investigated how interoception relates to sleep quality across the adult lifespan at different levels of anxiety. We measured interoceptive accuracy (the objective ability to detect internal signals), interoceptive sensibility (the self-perceived ability to detect these signals), insular volume (using structural MRI), objectively assessed sleep quality (via actigraphy), and trait anxiety in 70 participants aged 18-79. The results indicated that both interoceptive constructs were associated with poorer sleep quality across age, particularly in individuals with higher anxiety levels. We also found that greater insula volume was associated with a stronger subjective belief in one's interoceptive abilities (interoceptive sensibility). Although there was no direct link between insula volume and sleep quality, insula integrity may indirectly influence sleep quality through its association with interoceptive sensibility. These findings highlight the negative relationship between interoception and sleep quality across the adult lifespan. Sleep interventions using mindfulness- or interoception-focused strategies should be implemented with caution, particularly for anxious individuals or those with heightened interoceptive sensibility. Further research should include poor sleepers and individuals with a wide range of health conditions for better understanding.

求助全文
通过发布文献求助,成功后即可免费获取论文全文。 去求助
来源期刊
Psychophysiology
Psychophysiology 医学-神经科学
CiteScore
6.80
自引率
8.10%
发文量
225
审稿时长
2 months
期刊介绍: Founded in 1964, Psychophysiology is the most established journal in the world specifically dedicated to the dissemination of psychophysiological science. The journal continues to play a key role in advancing human neuroscience in its many forms and methodologies (including central and peripheral measures), covering research on the interrelationships between the physiological and psychological aspects of brain and behavior. Typically, studies published in Psychophysiology include psychological independent variables and noninvasive physiological dependent variables (hemodynamic, optical, and electromagnetic brain imaging and/or peripheral measures such as respiratory sinus arrhythmia, electromyography, pupillography, and many others). The majority of studies published in the journal involve human participants, but work using animal models of such phenomena is occasionally published. Psychophysiology welcomes submissions on new theoretical, empirical, and methodological advances in: cognitive, affective, clinical and social neuroscience, psychopathology and psychiatry, health science and behavioral medicine, and biomedical engineering. The journal publishes theoretical papers, evaluative reviews of literature, empirical papers, and methodological papers, with submissions welcome from scientists in any fields mentioned above.
×
引用
GB/T 7714-2015
复制
MLA
复制
APA
复制
导出至
BibTeX EndNote RefMan NoteFirst NoteExpress
×
提示
您的信息不完整,为了账户安全,请先补充。
现在去补充
×
提示
您因"违规操作"
具体请查看互助需知
我知道了
×
提示
确定
请完成安全验证×
copy
已复制链接
快去分享给好友吧!
我知道了
右上角分享
点击右上角分享
0
联系我们:info@booksci.cn Book学术提供免费学术资源搜索服务,方便国内外学者检索中英文文献。致力于提供最便捷和优质的服务体验。 Copyright © 2023 布克学术 All rights reserved.
京ICP备2023020795号-1
ghs 京公网安备 11010802042870号
Book学术文献互助
Book学术文献互助群
群 号:604180095
Book学术官方微信