韩国本土犬种SLC2A9、BTBD17和NECAP1基因遗传突变的pcr检测

IF 1.5 3区 农林科学 Q2 VETERINARY SCIENCES
Mingue Kang, Byeongyong Ahn, Jaeyeol Shin, Chankyu Park
{"title":"韩国本土犬种SLC2A9、BTBD17和NECAP1基因遗传突变的pcr检测","authors":"Mingue Kang, Byeongyong Ahn, Jaeyeol Shin, Chankyu Park","doi":"10.4142/jvs.25047","DOIUrl":null,"url":null,"abstract":"<p><strong>Importance: </strong>Understanding the susceptibility of native Korean dogs to genetic diseases is important for animal welfare and breeding. However, little is known regarding the segregation of genetic variations associated with genetic diseases among native Korean dog breeds, highlighting the need for further research in this area.</p><p><strong>Objective: </strong>A genome-wide analysis was conducted using the available whole genome sequencing (WGS) results of DongGyeongi, Sapsaree, and Jindo dogs to evaluate the presence of disease-associated mutations and develop polymerase chain reaction (PCR)-based typing methods.</p><p><strong>Methods: </strong>Using WGS data from 32 individuals of DongGyeongi, Sapsaree, and Jindo dogs, variant calling was used to identify variants associated with canine genetic diseases in Online Mendelian Inheritance in Animals. Additionally, allele-specific PCR-based typing methods for the identified mutations were developed.</p><p><strong>Results: </strong>Four different variants were identified: NC_006583.3:g.54192143C>G in the <i>T</i> gene associated with the bobtail phenotype, NC_006585.3:g.69456869G>T in <i>SLC2A9</i> associated with urolithiasis, NC_006591.3:g.6048201_6048202insG in <i>BTBD17</i> associated with abortion, and NC_006607.3:g.48121642G>A in <i>MLPH</i> associated with coat color dilution. The <i>BTBD17</i> mutant allele was present in all breeds (frequency = 0.33), whereas the <i>MLPH</i> mutant allele was found only in DongGyeongi (0.18) and Sapsaree breeds (0.20). The <i>T</i> and <i>SLC2A9</i> mutant alleles were specific to DongGyeongi (0.20 and 0.18, respectively).</p><p><strong>Conclusions and relevance: </strong>Genome-wide analysis was conducted to identify the causative mutations of genetic diseases in native Korean dogs. The observed frequencies of the identified variants differed among native Korean dog breeds. The typing methods used to detect variant alleles in this study will contribute to improving the genetic robustness of native Korean dog breeds.</p>","PeriodicalId":17557,"journal":{"name":"Journal of Veterinary Science","volume":"26 4","pages":"e48"},"PeriodicalIF":1.5000,"publicationDate":"2025-07-01","publicationTypes":"Journal Article","fieldsOfStudy":null,"isOpenAccess":false,"openAccessPdf":"https://www.ncbi.nlm.nih.gov/pmc/articles/PMC12329054/pdf/","citationCount":"0","resultStr":"{\"title\":\"PCR-based detection of hereditary mutations in <i>SLC2A9</i>, <i>BTBD17</i>, and <i>NECAP1</i> among native Korean dog breeds.\",\"authors\":\"Mingue Kang, Byeongyong Ahn, Jaeyeol Shin, Chankyu Park\",\"doi\":\"10.4142/jvs.25047\",\"DOIUrl\":null,\"url\":null,\"abstract\":\"<p><strong>Importance: </strong>Understanding the susceptibility of native Korean dogs to genetic diseases is important for animal welfare and breeding. However, little is known regarding the segregation of genetic variations associated with genetic diseases among native Korean dog breeds, highlighting the need for further research in this area.</p><p><strong>Objective: </strong>A genome-wide analysis was conducted using the available whole genome sequencing (WGS) results of DongGyeongi, Sapsaree, and Jindo dogs to evaluate the presence of disease-associated mutations and develop polymerase chain reaction (PCR)-based typing methods.</p><p><strong>Methods: </strong>Using WGS data from 32 individuals of DongGyeongi, Sapsaree, and Jindo dogs, variant calling was used to identify variants associated with canine genetic diseases in Online Mendelian Inheritance in Animals. Additionally, allele-specific PCR-based typing methods for the identified mutations were developed.</p><p><strong>Results: </strong>Four different variants were identified: NC_006583.3:g.54192143C>G in the <i>T</i> gene associated with the bobtail phenotype, NC_006585.3:g.69456869G>T in <i>SLC2A9</i> associated with urolithiasis, NC_006591.3:g.6048201_6048202insG in <i>BTBD17</i> associated with abortion, and NC_006607.3:g.48121642G>A in <i>MLPH</i> associated with coat color dilution. The <i>BTBD17</i> mutant allele was present in all breeds (frequency = 0.33), whereas the <i>MLPH</i> mutant allele was found only in DongGyeongi (0.18) and Sapsaree breeds (0.20). The <i>T</i> and <i>SLC2A9</i> mutant alleles were specific to DongGyeongi (0.20 and 0.18, respectively).</p><p><strong>Conclusions and relevance: </strong>Genome-wide analysis was conducted to identify the causative mutations of genetic diseases in native Korean dogs. The observed frequencies of the identified variants differed among native Korean dog breeds. The typing methods used to detect variant alleles in this study will contribute to improving the genetic robustness of native Korean dog breeds.</p>\",\"PeriodicalId\":17557,\"journal\":{\"name\":\"Journal of Veterinary Science\",\"volume\":\"26 4\",\"pages\":\"e48\"},\"PeriodicalIF\":1.5000,\"publicationDate\":\"2025-07-01\",\"publicationTypes\":\"Journal Article\",\"fieldsOfStudy\":null,\"isOpenAccess\":false,\"openAccessPdf\":\"https://www.ncbi.nlm.nih.gov/pmc/articles/PMC12329054/pdf/\",\"citationCount\":\"0\",\"resultStr\":null,\"platform\":\"Semanticscholar\",\"paperid\":null,\"PeriodicalName\":\"Journal of Veterinary Science\",\"FirstCategoryId\":\"97\",\"ListUrlMain\":\"https://doi.org/10.4142/jvs.25047\",\"RegionNum\":3,\"RegionCategory\":\"农林科学\",\"ArticlePicture\":[],\"TitleCN\":null,\"AbstractTextCN\":null,\"PMCID\":null,\"EPubDate\":\"\",\"PubModel\":\"\",\"JCR\":\"Q2\",\"JCRName\":\"VETERINARY SCIENCES\",\"Score\":null,\"Total\":0}","platform":"Semanticscholar","paperid":null,"PeriodicalName":"Journal of Veterinary Science","FirstCategoryId":"97","ListUrlMain":"https://doi.org/10.4142/jvs.25047","RegionNum":3,"RegionCategory":"农林科学","ArticlePicture":[],"TitleCN":null,"AbstractTextCN":null,"PMCID":null,"EPubDate":"","PubModel":"","JCR":"Q2","JCRName":"VETERINARY SCIENCES","Score":null,"Total":0}
引用次数: 0

摘要

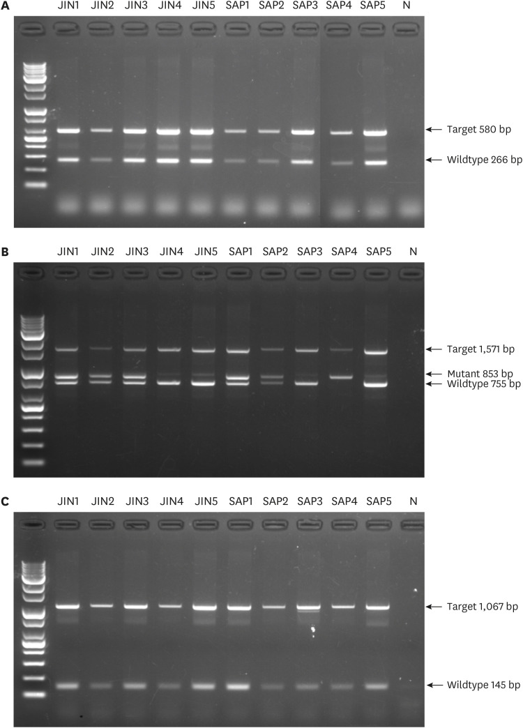
重要性:了解韩国本土犬对遗传疾病的易感性对动物福利和育种非常重要。然而,关于与遗传疾病相关的遗传变异在韩国本土犬种之间的分离,我们所知甚少,这突出了在这一领域进一步研究的必要性。目的:利用现有的东京犬、Sapsaree犬和珍岛犬的全基因组测序(WGS)结果进行全基因组分析,以评估疾病相关突变的存在,并开发基于聚合酶链反应(PCR)的分型方法。方法:利用32只东京犬、Sapsaree犬和珍岛犬的WGS数据,利用变异召唤法在动物在线孟德尔遗传中识别与犬类遗传疾病相关的变异。此外,还开发了基于等位基因特异性pcr的鉴定突变分型方法。结果:鉴定出4种不同的变异:NC_006583.3:g。与短尾表型相关的T基因中的54192143C>G, NC_006585.3: G。与尿石症相关的SLC2A9中的T, NC_006591.3:g。与流产相关的BTBD17中的6048201_6048202insG和NC_006607.3:g。MLPH中的48121642G>A与毛色稀释有关。BTBD17突变等位基因在所有品种中均存在(频率为0.33),而MLPH突变等位基因仅在东庆(频率为0.18)和Sapsaree品种中存在(频率为0.20)。T和SLC2A9突变等位基因为东京伊特有(分别为0.20和0.18)。结论和相关性:进行了全基因组分析,以确定韩国本土犬遗传疾病的致病突变。观察到的变异频率在韩国本土犬种之间有所不同。本研究中用于检测变异等位基因的分型方法将有助于提高韩国本土犬种的遗传稳健性。
本文章由计算机程序翻译,如有差异,请以英文原文为准。

PCR-based detection of hereditary mutations in <i>SLC2A9</i>, <i>BTBD17</i>, and <i>NECAP1</i> among native Korean dog breeds.

PCR-based detection of hereditary mutations in <i>SLC2A9</i>, <i>BTBD17</i>, and <i>NECAP1</i> among native Korean dog breeds.

PCR-based detection of hereditary mutations in <i>SLC2A9</i>, <i>BTBD17</i>, and <i>NECAP1</i> among native Korean dog breeds.

PCR-based detection of hereditary mutations in <i>SLC2A9</i>, <i>BTBD17</i>, and <i>NECAP1</i> among native Korean dog breeds.

PCR-based detection of hereditary mutations in <i>SLC2A9</i>, <i>BTBD17</i>, and <i>NECAP1</i> among native Korean dog breeds.

PCR-based detection of hereditary mutations in <i>SLC2A9</i>, <i>BTBD17</i>, and <i>NECAP1</i> among native Korean dog breeds.

PCR-based detection of hereditary mutations in SLC2A9, BTBD17, and NECAP1 among native Korean dog breeds.

Importance: Understanding the susceptibility of native Korean dogs to genetic diseases is important for animal welfare and breeding. However, little is known regarding the segregation of genetic variations associated with genetic diseases among native Korean dog breeds, highlighting the need for further research in this area.

Objective: A genome-wide analysis was conducted using the available whole genome sequencing (WGS) results of DongGyeongi, Sapsaree, and Jindo dogs to evaluate the presence of disease-associated mutations and develop polymerase chain reaction (PCR)-based typing methods.

Methods: Using WGS data from 32 individuals of DongGyeongi, Sapsaree, and Jindo dogs, variant calling was used to identify variants associated with canine genetic diseases in Online Mendelian Inheritance in Animals. Additionally, allele-specific PCR-based typing methods for the identified mutations were developed.

Results: Four different variants were identified: NC_006583.3:g.54192143C>G in the T gene associated with the bobtail phenotype, NC_006585.3:g.69456869G>T in SLC2A9 associated with urolithiasis, NC_006591.3:g.6048201_6048202insG in BTBD17 associated with abortion, and NC_006607.3:g.48121642G>A in MLPH associated with coat color dilution. The BTBD17 mutant allele was present in all breeds (frequency = 0.33), whereas the MLPH mutant allele was found only in DongGyeongi (0.18) and Sapsaree breeds (0.20). The T and SLC2A9 mutant alleles were specific to DongGyeongi (0.20 and 0.18, respectively).

Conclusions and relevance: Genome-wide analysis was conducted to identify the causative mutations of genetic diseases in native Korean dogs. The observed frequencies of the identified variants differed among native Korean dog breeds. The typing methods used to detect variant alleles in this study will contribute to improving the genetic robustness of native Korean dog breeds.

求助全文
通过发布文献求助,成功后即可免费获取论文全文。 去求助
来源期刊
Journal of Veterinary Science
Journal of Veterinary Science 农林科学-兽医学
CiteScore
3.10
自引率
5.60%
发文量
86
审稿时长
1.3 months
期刊介绍: The Journal of Veterinary Science (J Vet Sci) is devoted to the advancement and dissemination of scientific knowledge concerning veterinary sciences and related academic disciplines. It is an international journal indexed in the Thomson Scientific Web of Science, SCI-EXPANDED, Sci Search, BIOSIS Previews, Biological Abstracts, Focus on: Veterinary Science & Medicine, Zoological Record, PubMed /MEDLINE, Index Medicus, Pubmed Central, CAB Abstracts / Index Veterinarius, EBSCO, AGRIS and AGRICOLA. This journal published in English by the Korean Society of Veterinary Science (KSVS) being distributed worldwide.
×
引用
GB/T 7714-2015
复制
MLA
复制
APA
复制
导出至
BibTeX EndNote RefMan NoteFirst NoteExpress
×
提示
您的信息不完整,为了账户安全,请先补充。
现在去补充
×
提示
您因"违规操作"
具体请查看互助需知
我知道了
×
提示
确定
请完成安全验证×
copy
已复制链接
快去分享给好友吧!
我知道了
右上角分享
点击右上角分享
0
联系我们:info@booksci.cn Book学术提供免费学术资源搜索服务,方便国内外学者检索中英文文献。致力于提供最便捷和优质的服务体验。 Copyright © 2023 布克学术 All rights reserved.
京ICP备2023020795号-1
ghs 京公网安备 11010802042870号
Book学术文献互助
Book学术文献互助群
群 号:604180095
Book学术官方微信