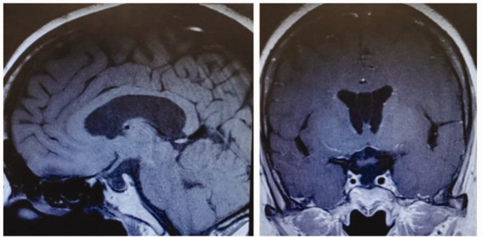
希恩综合征合并格雷夫斯病的妇女有20年的甲状腺功能减退病史。

IF 1.5 4区 医学 Q4 MEDICINE, RESEARCH & EXPERIMENTAL
Journal of International Medical Research Pub Date : 2025-08-01 Epub Date: 2025-08-06 DOI:10.1177/03000605251363777
ManLi Yan, Jingyun Zhang, Yiting Wang, Hua Wei
{"title":"希恩综合征合并格雷夫斯病的妇女有20年的甲状腺功能减退病史。","authors":"ManLi Yan, Jingyun Zhang, Yiting Wang, Hua Wei","doi":"10.1177/03000605251363777","DOIUrl":null,"url":null,"abstract":"<p><p>Sheehan's syndrome is a disorder caused by ischemic necrosis of the pituitary gland following postpartum hemorrhage, typically resulting in pituitary dysfunction that can affect the adrenal, thyroid, and gonadal axes. Clinically, patients may present with dysfunction of a single axis or multiple axes. The co-occurrence of Sheehan's syndrome and Graves' disease is extremely rare, posing a significant diagnostic challenge. Herein, we report the case of a woman in her early 50s with a 28-year history of Sheehan's syndrome, which had led to complete pituitary dysfunction, who had been managing hypothyroidism for the past 20 years. However, over a 6-month period, she developed chronic diarrhea and showed progressive weight loss and laboratory results indicating hyperthyroidism. Based on further imaging and laboratory findings, along with her medical history, a diagnosis of Sheehan's syndrome complicated with Graves' disease was established, as evidenced by elevated levels of thyrotropin receptor antibodies. Treatment included adrenocorticotropic hormone replacement, antithyroid therapy, and other supportive measures. Although her gastrointestinal symptoms and weight loss resolved initially, the patient continued to experience persistent hyperthyroidism and elevated thyrotropin receptor antibody levels at the 20-month follow-up. This case highlights the need for regular endocrine monitoring in patients with Sheehan's syndrome, particularly those with long-standing hypothyroidism, to promptly identify and address the potential overlap of autoimmune thyroid diseases.</p>","PeriodicalId":16129,"journal":{"name":"Journal of International Medical Research","volume":"53 8","pages":"3000605251363777"},"PeriodicalIF":1.5000,"publicationDate":"2025-08-01","publicationTypes":"Journal Article","fieldsOfStudy":null,"isOpenAccess":false,"openAccessPdf":"https://www.ncbi.nlm.nih.gov/pmc/articles/PMC12329263/pdf/","citationCount":"0","resultStr":"{\"title\":\"Sheehan's syndrome complicated with Graves' disease in a woman with a 20-year history of hypothyroidism.\",\"authors\":\"ManLi Yan, Jingyun Zhang, Yiting Wang, Hua Wei\",\"doi\":\"10.1177/03000605251363777\",\"DOIUrl\":null,\"url\":null,\"abstract\":\"<p><p>Sheehan's syndrome is a disorder caused by ischemic necrosis of the pituitary gland following postpartum hemorrhage, typically resulting in pituitary dysfunction that can affect the adrenal, thyroid, and gonadal axes. Clinically, patients may present with dysfunction of a single axis or multiple axes. The co-occurrence of Sheehan's syndrome and Graves' disease is extremely rare, posing a significant diagnostic challenge. Herein, we report the case of a woman in her early 50s with a 28-year history of Sheehan's syndrome, which had led to complete pituitary dysfunction, who had been managing hypothyroidism for the past 20 years. However, over a 6-month period, she developed chronic diarrhea and showed progressive weight loss and laboratory results indicating hyperthyroidism. Based on further imaging and laboratory findings, along with her medical history, a diagnosis of Sheehan's syndrome complicated with Graves' disease was established, as evidenced by elevated levels of thyrotropin receptor antibodies. Treatment included adrenocorticotropic hormone replacement, antithyroid therapy, and other supportive measures. Although her gastrointestinal symptoms and weight loss resolved initially, the patient continued to experience persistent hyperthyroidism and elevated thyrotropin receptor antibody levels at the 20-month follow-up. This case highlights the need for regular endocrine monitoring in patients with Sheehan's syndrome, particularly those with long-standing hypothyroidism, to promptly identify and address the potential overlap of autoimmune thyroid diseases.</p>\",\"PeriodicalId\":16129,\"journal\":{\"name\":\"Journal of International Medical Research\",\"volume\":\"53 8\",\"pages\":\"3000605251363777\"},\"PeriodicalIF\":1.5000,\"publicationDate\":\"2025-08-01\",\"publicationTypes\":\"Journal Article\",\"fieldsOfStudy\":null,\"isOpenAccess\":false,\"openAccessPdf\":\"https://www.ncbi.nlm.nih.gov/pmc/articles/PMC12329263/pdf/\",\"citationCount\":\"0\",\"resultStr\":null,\"platform\":\"Semanticscholar\",\"paperid\":null,\"PeriodicalName\":\"Journal of International Medical Research\",\"FirstCategoryId\":\"3\",\"ListUrlMain\":\"https://doi.org/10.1177/03000605251363777\",\"RegionNum\":4,\"RegionCategory\":\"医学\",\"ArticlePicture\":[],\"TitleCN\":null,\"AbstractTextCN\":null,\"PMCID\":null,\"EPubDate\":\"2025/8/6 0:00:00\",\"PubModel\":\"Epub\",\"JCR\":\"Q4\",\"JCRName\":\"MEDICINE, RESEARCH & EXPERIMENTAL\",\"Score\":null,\"Total\":0}","platform":"Semanticscholar","paperid":null,"PeriodicalName":"Journal of International Medical Research","FirstCategoryId":"3","ListUrlMain":"https://doi.org/10.1177/03000605251363777","RegionNum":4,"RegionCategory":"医学","ArticlePicture":[],"TitleCN":null,"AbstractTextCN":null,"PMCID":null,"EPubDate":"2025/8/6 0:00:00","PubModel":"Epub","JCR":"Q4","JCRName":"MEDICINE, RESEARCH & EXPERIMENTAL","Score":null,"Total":0}
引用次数: 0

摘要

希恩综合征是一种由产后出血后垂体缺血性坏死引起的疾病,通常导致垂体功能障碍,可影响肾上腺、甲状腺和性腺轴。临床上,患者可表现为单轴或多轴功能障碍。希恩氏综合征和格雷夫斯病同时发生是极其罕见的,这给诊断带来了重大挑战。在此,我们报告一位50岁出头的女性,有28年的希恩综合征病史,导致完全的垂体功能障碍,在过去的20年里一直在治疗甲状腺功能减退。然而,在6个月的时间里,她出现慢性腹泻,并表现出进行性体重减轻,实验室结果显示甲状腺功能亢进。根据进一步的影像学和实验室检查结果,以及她的病史,根据促甲状腺激素受体抗体水平升高,诊断为希恩综合征合并格雷夫斯病。治疗包括促肾上腺皮质激素替代、抗甲状腺治疗和其他支持措施。虽然她的胃肠道症状和体重减轻最初得到解决,但在20个月的随访中,患者继续经历持续的甲状腺功能亢进和促甲状腺素受体抗体水平升高。本病例强调需要定期监测希恩综合征患者的内分泌,特别是那些长期甲状腺功能减退的患者,以及时识别和解决自身免疫性甲状腺疾病的潜在重叠。
本文章由计算机程序翻译,如有差异,请以英文原文为准。

Sheehan's syndrome complicated with Graves' disease in a woman with a 20-year history of hypothyroidism.

Sheehan's syndrome complicated with Graves' disease in a woman with a 20-year history of hypothyroidism.

Sheehan's syndrome complicated with Graves' disease in a woman with a 20-year history of hypothyroidism.

Sheehan's syndrome complicated with Graves' disease in a woman with a 20-year history of hypothyroidism.

Sheehan's syndrome complicated with Graves' disease in a woman with a 20-year history of hypothyroidism.

Sheehan's syndrome complicated with Graves' disease in a woman with a 20-year history of hypothyroidism.

Sheehan's syndrome complicated with Graves' disease in a woman with a 20-year history of hypothyroidism.

Sheehan's syndrome is a disorder caused by ischemic necrosis of the pituitary gland following postpartum hemorrhage, typically resulting in pituitary dysfunction that can affect the adrenal, thyroid, and gonadal axes. Clinically, patients may present with dysfunction of a single axis or multiple axes. The co-occurrence of Sheehan's syndrome and Graves' disease is extremely rare, posing a significant diagnostic challenge. Herein, we report the case of a woman in her early 50s with a 28-year history of Sheehan's syndrome, which had led to complete pituitary dysfunction, who had been managing hypothyroidism for the past 20 years. However, over a 6-month period, she developed chronic diarrhea and showed progressive weight loss and laboratory results indicating hyperthyroidism. Based on further imaging and laboratory findings, along with her medical history, a diagnosis of Sheehan's syndrome complicated with Graves' disease was established, as evidenced by elevated levels of thyrotropin receptor antibodies. Treatment included adrenocorticotropic hormone replacement, antithyroid therapy, and other supportive measures. Although her gastrointestinal symptoms and weight loss resolved initially, the patient continued to experience persistent hyperthyroidism and elevated thyrotropin receptor antibody levels at the 20-month follow-up. This case highlights the need for regular endocrine monitoring in patients with Sheehan's syndrome, particularly those with long-standing hypothyroidism, to promptly identify and address the potential overlap of autoimmune thyroid diseases.

求助全文
通过发布文献求助,成功后即可免费获取论文全文。 去求助
来源期刊
CiteScore
3.20
自引率
0.00%
发文量
555
审稿时长
1 months
期刊介绍: _Journal of International Medical Research_ is a leading international journal for rapid publication of original medical, pre-clinical and clinical research, reviews, preliminary and pilot studies on a page charge basis. As a service to authors, every article accepted by peer review will be given a full technical edit to make papers as accessible and readable to the international medical community as rapidly as possible. Once the technical edit queries have been answered to the satisfaction of the journal, the paper will be published and made available freely to everyone under a creative commons licence. Symposium proceedings, summaries of presentations or collections of medical, pre-clinical or clinical data on a specific topic are welcome for publication as supplements. Print ISSN: 0300-0605
×
引用
GB/T 7714-2015
复制
MLA
复制
APA
复制
导出至
BibTeX EndNote RefMan NoteFirst NoteExpress
×
提示
您的信息不完整,为了账户安全,请先补充。
现在去补充
×
提示
您因"违规操作"
具体请查看互助需知
我知道了
×
提示
确定
请完成安全验证×
copy
已复制链接
快去分享给好友吧!
我知道了
右上角分享
点击右上角分享
0
联系我们:info@booksci.cn Book学术提供免费学术资源搜索服务,方便国内外学者检索中英文文献。致力于提供最便捷和优质的服务体验。 Copyright © 2023 布克学术 All rights reserved.
京ICP备2023020795号-1
ghs 京公网安备 11010802042870号
Book学术文献互助
Book学术文献互助群
群 号:604180095
Book学术官方微信