α -比abolol通过抑制气道炎症信号来预防新生儿哮喘。

IF 3.2 3区 医学 Q1 MEDICINE, GENERAL & INTERNAL
International Journal of Medical Sciences Pub Date : 2025-07-24 eCollection Date: 2025-01-01 DOI:10.7150/ijms.96371
Rekha Thiruvengadam, Mydhili Govindarasu, Jamal Mohammed Ali Khaled, Seungho Lee, Jin Hee Kim
{"title":"α -比abolol通过抑制气道炎症信号来预防新生儿哮喘。","authors":"Rekha Thiruvengadam, Mydhili Govindarasu, Jamal Mohammed Ali Khaled, Seungho Lee, Jin Hee Kim","doi":"10.7150/ijms.96371","DOIUrl":null,"url":null,"abstract":"<p><p><b>Objective:</b> This study aimed to evaluate the anti-inflammatory effects of alpha-bisabolol (AB) in allergic airway inflammation-induced rat pups. <b>Methods:</b> We evaluated the anti-adverse effects of AB against allergic airway inflammation-induced male Wistar rat pups, with four categorized groups including vehicle-controls (group 1), controls treated with 25 mg/kg of AB (group 2), allergic airway inflammation-induced cases (group 3), and cases treated with 25 mg/kg of AB before allergic airway inflammation induction (group 4). Lung histopathology, bronchoalveolar lavage fluid eosinophils, and several inflammatory markers were also examined in each group. <b>Results:</b> AB significantly decreased mucous gland hypertrophy, eosinophil infiltration, and oxidative stress marker levels in the allergic airway inflammation-induced AB-pretreated rats. Moreover, AB pretreatment significantly reduced the levels of proinflammatory cytokines, such as interleukin (IL)-1β, IL-6, IL-8, IL-17, monocyte chemoattractant protein-1, C-X-C chemokine receptor type 4 (CXCR4), and thymic stromal lymphopoietin, which were increased in allergic airway inflammation-induced cases. Furthermore, transcription of <i>cyclooxygenase-2</i>, <i>tumor necrosis factor-α</i>, <i>CXCR4</i>, <i>toll-like receptor 4</i>, <i>Eotaxin-1</i>, and <i>regulated upon activation normal T cell expressed and secreted</i> were significantly suppressed in allergic airway inflammation-induced AB-pretreated rats. <b>Conclusions:</b> These results indicate that AB can protect against neonatal asthma by inhibiting acute or chronic inflammation induced during disease onset.</p>","PeriodicalId":14031,"journal":{"name":"International Journal of Medical Sciences","volume":"22 13","pages":"3429-3438"},"PeriodicalIF":3.2000,"publicationDate":"2025-07-24","publicationTypes":"Journal Article","fieldsOfStudy":null,"isOpenAccess":false,"openAccessPdf":"https://www.ncbi.nlm.nih.gov/pmc/articles/PMC12320792/pdf/","citationCount":"0","resultStr":"{\"title\":\"Alpha-bisabolol protects against neonatal asthma by suppressing airway inflammatory signaling.\",\"authors\":\"Rekha Thiruvengadam, Mydhili Govindarasu, Jamal Mohammed Ali Khaled, Seungho Lee, Jin Hee Kim\",\"doi\":\"10.7150/ijms.96371\",\"DOIUrl\":null,\"url\":null,\"abstract\":\"<p><p><b>Objective:</b> This study aimed to evaluate the anti-inflammatory effects of alpha-bisabolol (AB) in allergic airway inflammation-induced rat pups. <b>Methods:</b> We evaluated the anti-adverse effects of AB against allergic airway inflammation-induced male Wistar rat pups, with four categorized groups including vehicle-controls (group 1), controls treated with 25 mg/kg of AB (group 2), allergic airway inflammation-induced cases (group 3), and cases treated with 25 mg/kg of AB before allergic airway inflammation induction (group 4). Lung histopathology, bronchoalveolar lavage fluid eosinophils, and several inflammatory markers were also examined in each group. <b>Results:</b> AB significantly decreased mucous gland hypertrophy, eosinophil infiltration, and oxidative stress marker levels in the allergic airway inflammation-induced AB-pretreated rats. Moreover, AB pretreatment significantly reduced the levels of proinflammatory cytokines, such as interleukin (IL)-1β, IL-6, IL-8, IL-17, monocyte chemoattractant protein-1, C-X-C chemokine receptor type 4 (CXCR4), and thymic stromal lymphopoietin, which were increased in allergic airway inflammation-induced cases. Furthermore, transcription of <i>cyclooxygenase-2</i>, <i>tumor necrosis factor-α</i>, <i>CXCR4</i>, <i>toll-like receptor 4</i>, <i>Eotaxin-1</i>, and <i>regulated upon activation normal T cell expressed and secreted</i> were significantly suppressed in allergic airway inflammation-induced AB-pretreated rats. <b>Conclusions:</b> These results indicate that AB can protect against neonatal asthma by inhibiting acute or chronic inflammation induced during disease onset.</p>\",\"PeriodicalId\":14031,\"journal\":{\"name\":\"International Journal of Medical Sciences\",\"volume\":\"22 13\",\"pages\":\"3429-3438\"},\"PeriodicalIF\":3.2000,\"publicationDate\":\"2025-07-24\",\"publicationTypes\":\"Journal Article\",\"fieldsOfStudy\":null,\"isOpenAccess\":false,\"openAccessPdf\":\"https://www.ncbi.nlm.nih.gov/pmc/articles/PMC12320792/pdf/\",\"citationCount\":\"0\",\"resultStr\":null,\"platform\":\"Semanticscholar\",\"paperid\":null,\"PeriodicalName\":\"International Journal of Medical Sciences\",\"FirstCategoryId\":\"3\",\"ListUrlMain\":\"https://doi.org/10.7150/ijms.96371\",\"RegionNum\":3,\"RegionCategory\":\"医学\",\"ArticlePicture\":[],\"TitleCN\":null,\"AbstractTextCN\":null,\"PMCID\":null,\"EPubDate\":\"2025/1/1 0:00:00\",\"PubModel\":\"eCollection\",\"JCR\":\"Q1\",\"JCRName\":\"MEDICINE, GENERAL & INTERNAL\",\"Score\":null,\"Total\":0}","platform":"Semanticscholar","paperid":null,"PeriodicalName":"International Journal of Medical Sciences","FirstCategoryId":"3","ListUrlMain":"https://doi.org/10.7150/ijms.96371","RegionNum":3,"RegionCategory":"医学","ArticlePicture":[],"TitleCN":null,"AbstractTextCN":null,"PMCID":null,"EPubDate":"2025/1/1 0:00:00","PubModel":"eCollection","JCR":"Q1","JCRName":"MEDICINE, GENERAL & INTERNAL","Score":null,"Total":0}
引用次数: 0

摘要

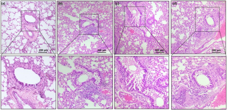
目的:研究α -双abolol (AB)对变应性气道炎症大鼠幼鼠的抗炎作用。方法:观察AB对变应性气道炎症诱导的雄性Wistar大鼠幼鼠的抗不良反应,分为4组,分别为载药对照组(1组)、25 mg/kg AB组(2组)、过敏性气道炎症诱导组(3组)和变应性气道炎症诱导前25 mg/kg AB组(4组)。检测各组肺组织病理学、支气管肺泡灌洗液嗜酸性粒细胞及几种炎症标志物。结果:AB显著降低了变应性气道炎症诱导大鼠的黏液腺肥大、嗜酸性粒细胞浸润和氧化应激标志物水平。此外,AB预处理显著降低了促炎细胞因子的水平,如白细胞介素(IL)-1β、IL-6、IL-8、IL-17、单核细胞趋化蛋白-1、C-X-C趋化因子受体4型(CXCR4)和胸腺基质淋巴生成素,这些因子在过敏性气道炎症诱导病例中升高。此外,在变应性气道炎症诱导的ab预处理大鼠中,环氧化酶-2、肿瘤坏死因子-α、CXCR4、toll样受体4、Eotaxin-1和活化后调节的正常T细胞的表达和分泌均受到显著抑制。结论:AB可通过抑制发病时引起的急性或慢性炎症来预防新生儿哮喘。
本文章由计算机程序翻译,如有差异,请以英文原文为准。

Alpha-bisabolol protects against neonatal asthma by suppressing airway inflammatory signaling.

Alpha-bisabolol protects against neonatal asthma by suppressing airway inflammatory signaling.

Alpha-bisabolol protects against neonatal asthma by suppressing airway inflammatory signaling.

Alpha-bisabolol protects against neonatal asthma by suppressing airway inflammatory signaling.

Objective: This study aimed to evaluate the anti-inflammatory effects of alpha-bisabolol (AB) in allergic airway inflammation-induced rat pups. Methods: We evaluated the anti-adverse effects of AB against allergic airway inflammation-induced male Wistar rat pups, with four categorized groups including vehicle-controls (group 1), controls treated with 25 mg/kg of AB (group 2), allergic airway inflammation-induced cases (group 3), and cases treated with 25 mg/kg of AB before allergic airway inflammation induction (group 4). Lung histopathology, bronchoalveolar lavage fluid eosinophils, and several inflammatory markers were also examined in each group. Results: AB significantly decreased mucous gland hypertrophy, eosinophil infiltration, and oxidative stress marker levels in the allergic airway inflammation-induced AB-pretreated rats. Moreover, AB pretreatment significantly reduced the levels of proinflammatory cytokines, such as interleukin (IL)-1β, IL-6, IL-8, IL-17, monocyte chemoattractant protein-1, C-X-C chemokine receptor type 4 (CXCR4), and thymic stromal lymphopoietin, which were increased in allergic airway inflammation-induced cases. Furthermore, transcription of cyclooxygenase-2, tumor necrosis factor-α, CXCR4, toll-like receptor 4, Eotaxin-1, and regulated upon activation normal T cell expressed and secreted were significantly suppressed in allergic airway inflammation-induced AB-pretreated rats. Conclusions: These results indicate that AB can protect against neonatal asthma by inhibiting acute or chronic inflammation induced during disease onset.

求助全文
通过发布文献求助,成功后即可免费获取论文全文。 去求助
来源期刊
International Journal of Medical Sciences
International Journal of Medical Sciences MEDICINE, GENERAL & INTERNAL-
CiteScore
7.20
自引率
0.00%
发文量
185
审稿时长
2.7 months
期刊介绍: Original research papers, reviews, and short research communications in any medical related area can be submitted to the Journal on the understanding that the work has not been published previously in whole or part and is not under consideration for publication elsewhere. Manuscripts in basic science and clinical medicine are both considered. There is no restriction on the length of research papers and reviews, although authors are encouraged to be concise. Short research communication is limited to be under 2500 words.
×
引用
GB/T 7714-2015
复制
MLA
复制
APA
复制
导出至
BibTeX EndNote RefMan NoteFirst NoteExpress
×
提示
您的信息不完整,为了账户安全,请先补充。
现在去补充
×
提示
您因"违规操作"
具体请查看互助需知
我知道了
×
提示
确定
请完成安全验证×
copy
已复制链接
快去分享给好友吧!
我知道了
右上角分享
点击右上角分享
0
联系我们:info@booksci.cn Book学术提供免费学术资源搜索服务,方便国内外学者检索中英文文献。致力于提供最便捷和优质的服务体验。 Copyright © 2023 布克学术 All rights reserved.
京ICP备2023020795号-1
ghs 京公网安备 11010802042870号
Book学术文献互助
Book学术文献互助群
群 号:604180095
Book学术官方微信