阴道瘘:一个独特的病例报告。

IF 0.5 Q4 SURGERY
Case Reports in Surgery Pub Date : 2025-07-29 eCollection Date: 2025-01-01 DOI:10.1155/cris/8818123
Stephen Vining, Brett M Chapman
{"title":"阴道瘘:一个独特的病例报告。","authors":"Stephen Vining, Brett M Chapman","doi":"10.1155/cris/8818123","DOIUrl":null,"url":null,"abstract":"<p><p>Fistula formation is a connection between anatomic locations that is intrinsically abnormal. A variety of causative etiologies and involved structures exist for these anomalous developments. Fistulas between vasculature and the enteric system are rare. When present, anatomical proximity is the dominant factor in determining which structures are involved. Aortoenteric fistulas involving the esophagus, duodenum, and small bowel are well-known with the stomach also being involved in rare instances. Fistulas involving the inferior vena cava (IVC) and enteric system have also been seen with the stomach, small bowel, and intrathoracic colon following an interposition each represented in reported cases. We present a case of an 82-year-old female with multiple medical comorbidities including opioid dependence, chronic constipation, recurrent lower extremity deep venous thrombosis, recurrent upper gastrointestinal (GI) bleeding, and IVC filter dependence who developed a unique problem. Her presenting complaints were nonspecific, but ultimately a diagnosis of fistula formation between the IVC and sigmoid colon was made. The colocaval fistula described here is the first intraperitoneal case to be reported in the body of literature.</p>","PeriodicalId":9600,"journal":{"name":"Case Reports in Surgery","volume":"2025 ","pages":"8818123"},"PeriodicalIF":0.5000,"publicationDate":"2025-07-29","publicationTypes":"Journal Article","fieldsOfStudy":null,"isOpenAccess":false,"openAccessPdf":"https://www.ncbi.nlm.nih.gov/pmc/articles/PMC12324921/pdf/","citationCount":"0","resultStr":"{\"title\":\"Colocaval Fistula: A Unique Case Report.\",\"authors\":\"Stephen Vining, Brett M Chapman\",\"doi\":\"10.1155/cris/8818123\",\"DOIUrl\":null,\"url\":null,\"abstract\":\"<p><p>Fistula formation is a connection between anatomic locations that is intrinsically abnormal. A variety of causative etiologies and involved structures exist for these anomalous developments. Fistulas between vasculature and the enteric system are rare. When present, anatomical proximity is the dominant factor in determining which structures are involved. Aortoenteric fistulas involving the esophagus, duodenum, and small bowel are well-known with the stomach also being involved in rare instances. Fistulas involving the inferior vena cava (IVC) and enteric system have also been seen with the stomach, small bowel, and intrathoracic colon following an interposition each represented in reported cases. We present a case of an 82-year-old female with multiple medical comorbidities including opioid dependence, chronic constipation, recurrent lower extremity deep venous thrombosis, recurrent upper gastrointestinal (GI) bleeding, and IVC filter dependence who developed a unique problem. Her presenting complaints were nonspecific, but ultimately a diagnosis of fistula formation between the IVC and sigmoid colon was made. The colocaval fistula described here is the first intraperitoneal case to be reported in the body of literature.</p>\",\"PeriodicalId\":9600,\"journal\":{\"name\":\"Case Reports in Surgery\",\"volume\":\"2025 \",\"pages\":\"8818123\"},\"PeriodicalIF\":0.5000,\"publicationDate\":\"2025-07-29\",\"publicationTypes\":\"Journal Article\",\"fieldsOfStudy\":null,\"isOpenAccess\":false,\"openAccessPdf\":\"https://www.ncbi.nlm.nih.gov/pmc/articles/PMC12324921/pdf/\",\"citationCount\":\"0\",\"resultStr\":null,\"platform\":\"Semanticscholar\",\"paperid\":null,\"PeriodicalName\":\"Case Reports in Surgery\",\"FirstCategoryId\":\"1085\",\"ListUrlMain\":\"https://doi.org/10.1155/cris/8818123\",\"RegionNum\":0,\"RegionCategory\":null,\"ArticlePicture\":[],\"TitleCN\":null,\"AbstractTextCN\":null,\"PMCID\":null,\"EPubDate\":\"2025/1/1 0:00:00\",\"PubModel\":\"eCollection\",\"JCR\":\"Q4\",\"JCRName\":\"SURGERY\",\"Score\":null,\"Total\":0}","platform":"Semanticscholar","paperid":null,"PeriodicalName":"Case Reports in Surgery","FirstCategoryId":"1085","ListUrlMain":"https://doi.org/10.1155/cris/8818123","RegionNum":0,"RegionCategory":null,"ArticlePicture":[],"TitleCN":null,"AbstractTextCN":null,"PMCID":null,"EPubDate":"2025/1/1 0:00:00","PubModel":"eCollection","JCR":"Q4","JCRName":"SURGERY","Score":null,"Total":0}
引用次数: 0

摘要

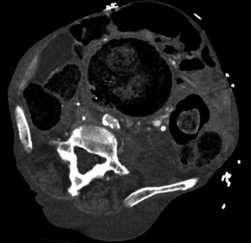
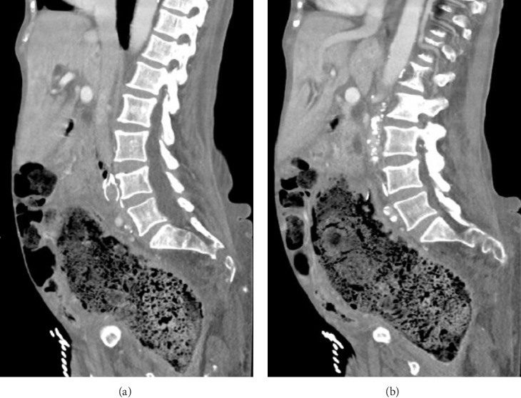
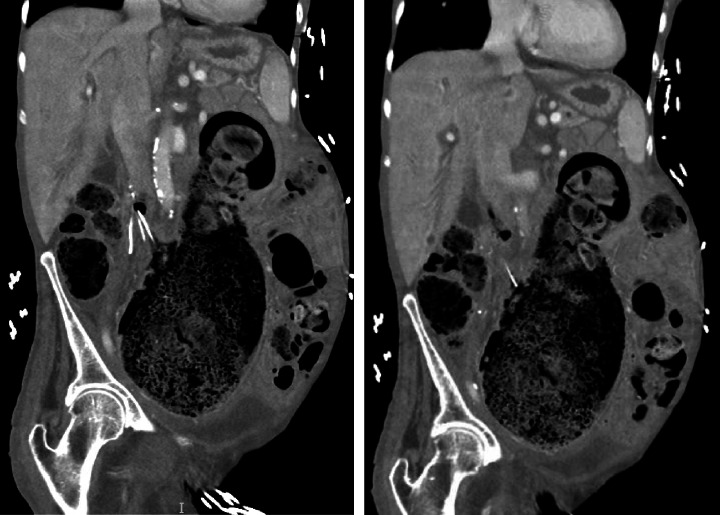
瘘管形成是解剖部位之间的连接,本质上是异常的。各种病因和相关结构存在这些异常发展。血管和肠系统之间的瘘管是罕见的。当存在时,解剖上的接近是决定涉及哪些结构的主要因素。主动脉肠瘘累及食道、十二指肠和小肠是众所周知的,胃也在罕见的情况下累及。瘘累及下腔静脉(IVC)和肠系统,也见过胃、小肠和胸内结肠介入手术后的瘘。我们报告了一位82岁的女性,她患有多种合并症,包括阿片类药物依赖、慢性便秘、下肢深静脉血栓形成、上消化道出血和下腔静脉滤器依赖,她出现了一个独特的问题。她的主诉是非特异性的,但最终诊断为下颌骨和乙状结肠之间的瘘管形成。本文所述的结肠瘘是文献中报道的第一例腹腔内瘘。
本文章由计算机程序翻译,如有差异,请以英文原文为准。

Colocaval Fistula: A Unique Case Report.

Colocaval Fistula: A Unique Case Report.

Colocaval Fistula: A Unique Case Report.

Colocaval Fistula: A Unique Case Report.

Fistula formation is a connection between anatomic locations that is intrinsically abnormal. A variety of causative etiologies and involved structures exist for these anomalous developments. Fistulas between vasculature and the enteric system are rare. When present, anatomical proximity is the dominant factor in determining which structures are involved. Aortoenteric fistulas involving the esophagus, duodenum, and small bowel are well-known with the stomach also being involved in rare instances. Fistulas involving the inferior vena cava (IVC) and enteric system have also been seen with the stomach, small bowel, and intrathoracic colon following an interposition each represented in reported cases. We present a case of an 82-year-old female with multiple medical comorbidities including opioid dependence, chronic constipation, recurrent lower extremity deep venous thrombosis, recurrent upper gastrointestinal (GI) bleeding, and IVC filter dependence who developed a unique problem. Her presenting complaints were nonspecific, but ultimately a diagnosis of fistula formation between the IVC and sigmoid colon was made. The colocaval fistula described here is the first intraperitoneal case to be reported in the body of literature.

求助全文
通过发布文献求助,成功后即可免费获取论文全文。 去求助
来源期刊
自引率
0.00%
发文量
60
审稿时长
13 weeks
×
引用
GB/T 7714-2015
复制
MLA
复制
APA
复制
导出至
BibTeX EndNote RefMan NoteFirst NoteExpress
×
提示
您的信息不完整,为了账户安全,请先补充。
现在去补充
×
提示
您因"违规操作"
具体请查看互助需知
我知道了
×
提示
确定
请完成安全验证×
copy
已复制链接
快去分享给好友吧!
我知道了
右上角分享
点击右上角分享
0
联系我们:info@booksci.cn Book学术提供免费学术资源搜索服务,方便国内外学者检索中英文文献。致力于提供最便捷和优质的服务体验。 Copyright © 2023 布克学术 All rights reserved.
京ICP备2023020795号-1
ghs 京公网安备 11010802042870号
Book学术文献互助
Book学术文献互助群
群 号:604180095
Book学术官方微信