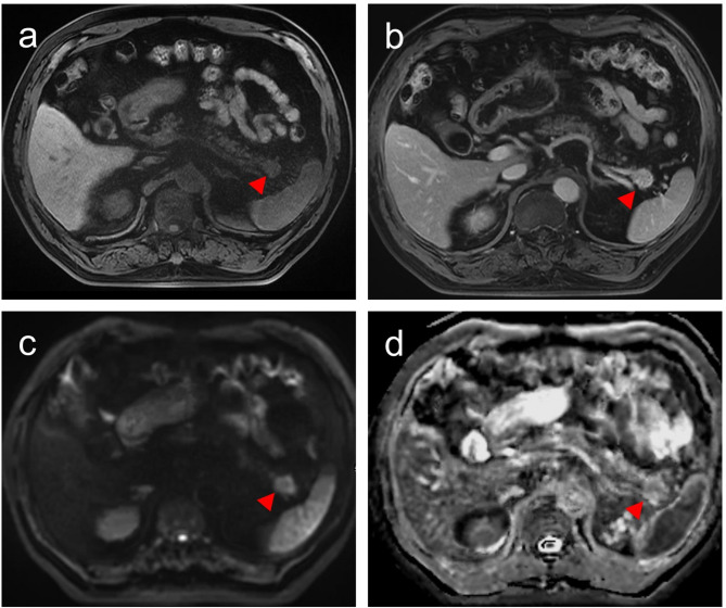
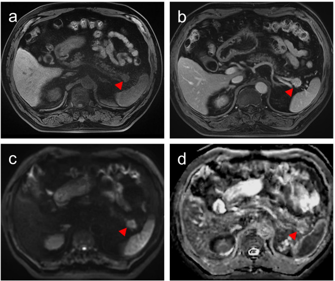
术前MRI和CA19-9预测小胰腺导管腺癌(≤2 cm)隐匿淋巴结转移。

IF 3.2 3区 医学 Q2 RADIOLOGY, NUCLEAR MEDICINE & MEDICAL IMAGING
Qiying Tang, Lei Li, Zhiwei Pan, Jianbo Li, Xiaolan Huang, Mengsu Zeng, Haitao Sun, Jianjun Zhou
{"title":"术前MRI和CA19-9预测小胰腺导管腺癌(≤2 cm)隐匿淋巴结转移。","authors":"Qiying Tang, Lei Li, Zhiwei Pan, Jianbo Li, Xiaolan Huang, Mengsu Zeng, Haitao Sun, Jianjun Zhou","doi":"10.1186/s12880-025-01854-3","DOIUrl":null,"url":null,"abstract":"<p><strong>Aim: </strong>Accurate prediction of occult lymph node metastasis (OLNM) in small pancreatic ductal adenocarcinoma (sPDAC) (≤ 2 cm) is crucial for curative management. This study aims to explore clinical and MRI features associated with OLNM in sPDAC and their pathological and prognostic implications.</p><p><strong>Materials and methods: </strong>This retrospective study included 135 patients with pathologically confirmed sPDAC who underwent surgery between September 2014 and September 2023. Preoperative multi-sequence MRI, clinical data, and pathological features were analyzed. Univariate and multivariate logistic regression models were used to identify risk predictors of OLNM in sPDAC. Receiver operating characteristic (ROC) analysis was performed to assess diagnostic performance and Kaplan-Meier survival analysis was used to evaluate prognostic outcomes.</p><p><strong>Results: </strong>OLNM was present in 43 (31.9%) sPDAC patients. Univariate and multivariate analysis identified elevated CA19-9 (> 100 U/mL) (OR = 2.404, P = 0.040) and low apparent diffusion coefficient (ADC) values (OR = 0.243, P = 0.031) as independent predictors of OLNM. The combined clinical-radiological model demonstrated an AUC of 0.740, significantly higher than CA19-9 (AUC = 0.653, P = 0.021) or ADC alone (AUC = 0.635, P = 0.035). sPDAC patients with OLNM exhibited higher rates of lymphovascular invasion (44.2%, P = 0.013) and pathological fat invasion (86.0%, P = 0.030). OLNM was associated with significantly worse OS and DFS (P = 0.034 and 0.043).</p><p><strong>Conclusions: </strong>OLNM is associated with adverse pathological features and poorer prognosis. The combination of preoperative MRI assessment of ADC and CA19-9 may aid in identifying sPDAC patients at high risk for OLNM.</p><p><strong>Clinical trial number: </strong>Not applicable.</p>","PeriodicalId":9020,"journal":{"name":"BMC Medical Imaging","volume":"25 1","pages":"318"},"PeriodicalIF":3.2000,"publicationDate":"2025-08-06","publicationTypes":"Journal Article","fieldsOfStudy":null,"isOpenAccess":false,"openAccessPdf":"https://www.ncbi.nlm.nih.gov/pmc/articles/PMC12326715/pdf/","citationCount":"0","resultStr":"{\"title\":\"Preoperative MRI and CA19-9 for predicting occult lymph node metastasis in small pancreatic ductal adenocarcinoma (≤ 2 cm).\",\"authors\":\"Qiying Tang, Lei Li, Zhiwei Pan, Jianbo Li, Xiaolan Huang, Mengsu Zeng, Haitao Sun, Jianjun Zhou\",\"doi\":\"10.1186/s12880-025-01854-3\",\"DOIUrl\":null,\"url\":null,\"abstract\":\"<p><strong>Aim: </strong>Accurate prediction of occult lymph node metastasis (OLNM) in small pancreatic ductal adenocarcinoma (sPDAC) (≤ 2 cm) is crucial for curative management. This study aims to explore clinical and MRI features associated with OLNM in sPDAC and their pathological and prognostic implications.</p><p><strong>Materials and methods: </strong>This retrospective study included 135 patients with pathologically confirmed sPDAC who underwent surgery between September 2014 and September 2023. Preoperative multi-sequence MRI, clinical data, and pathological features were analyzed. Univariate and multivariate logistic regression models were used to identify risk predictors of OLNM in sPDAC. Receiver operating characteristic (ROC) analysis was performed to assess diagnostic performance and Kaplan-Meier survival analysis was used to evaluate prognostic outcomes.</p><p><strong>Results: </strong>OLNM was present in 43 (31.9%) sPDAC patients. Univariate and multivariate analysis identified elevated CA19-9 (> 100 U/mL) (OR = 2.404, P = 0.040) and low apparent diffusion coefficient (ADC) values (OR = 0.243, P = 0.031) as independent predictors of OLNM. The combined clinical-radiological model demonstrated an AUC of 0.740, significantly higher than CA19-9 (AUC = 0.653, P = 0.021) or ADC alone (AUC = 0.635, P = 0.035). sPDAC patients with OLNM exhibited higher rates of lymphovascular invasion (44.2%, P = 0.013) and pathological fat invasion (86.0%, P = 0.030). OLNM was associated with significantly worse OS and DFS (P = 0.034 and 0.043).</p><p><strong>Conclusions: </strong>OLNM is associated with adverse pathological features and poorer prognosis. The combination of preoperative MRI assessment of ADC and CA19-9 may aid in identifying sPDAC patients at high risk for OLNM.</p><p><strong>Clinical trial number: </strong>Not applicable.</p>\",\"PeriodicalId\":9020,\"journal\":{\"name\":\"BMC Medical Imaging\",\"volume\":\"25 1\",\"pages\":\"318\"},\"PeriodicalIF\":3.2000,\"publicationDate\":\"2025-08-06\",\"publicationTypes\":\"Journal Article\",\"fieldsOfStudy\":null,\"isOpenAccess\":false,\"openAccessPdf\":\"https://www.ncbi.nlm.nih.gov/pmc/articles/PMC12326715/pdf/\",\"citationCount\":\"0\",\"resultStr\":null,\"platform\":\"Semanticscholar\",\"paperid\":null,\"PeriodicalName\":\"BMC Medical Imaging\",\"FirstCategoryId\":\"3\",\"ListUrlMain\":\"https://doi.org/10.1186/s12880-025-01854-3\",\"RegionNum\":3,\"RegionCategory\":\"医学\",\"ArticlePicture\":[],\"TitleCN\":null,\"AbstractTextCN\":null,\"PMCID\":null,\"EPubDate\":\"\",\"PubModel\":\"\",\"JCR\":\"Q2\",\"JCRName\":\"RADIOLOGY, NUCLEAR MEDICINE & MEDICAL IMAGING\",\"Score\":null,\"Total\":0}","platform":"Semanticscholar","paperid":null,"PeriodicalName":"BMC Medical Imaging","FirstCategoryId":"3","ListUrlMain":"https://doi.org/10.1186/s12880-025-01854-3","RegionNum":3,"RegionCategory":"医学","ArticlePicture":[],"TitleCN":null,"AbstractTextCN":null,"PMCID":null,"EPubDate":"","PubModel":"","JCR":"Q2","JCRName":"RADIOLOGY, NUCLEAR MEDICINE & MEDICAL IMAGING","Score":null,"Total":0}
引用次数: 0

摘要

目的:准确预测小胰腺导管腺癌(sPDAC)(≤2 cm)隐匿淋巴结转移(OLNM)对治疗至关重要。本研究旨在探讨sPDAC中与OLNM相关的临床和MRI特征及其病理和预后意义。材料和方法:本回顾性研究纳入了2014年9月至2023年9月间接受手术的135例病理证实的sPDAC患者。分析术前多序列MRI、临床资料及病理特征。采用单因素和多因素logistic回归模型确定sPDAC患者发生OLNM的风险预测因素。采用受试者工作特征(ROC)分析评估诊断表现,采用Kaplan-Meier生存分析评估预后结果。结果:43例(31.9%)sPDAC患者存在OLNM。单因素和多因素分析表明,CA19-9升高(100 U/mL) (OR = 2.404, P = 0.040)和低表观扩散系数(ADC)值(OR = 0.243, P = 0.031)是OLNM的独立预测因子。临床-放射联合模型的AUC为0.740,显著高于CA19-9 (AUC = 0.653, P = 0.021)或ADC单独(AUC = 0.635, P = 0.035)。sPDAC合并OLNM患者淋巴血管浸润率(44.2%,P = 0.013)和病理性脂肪浸润率(86.0%,P = 0.030)较高。OLNM与较差的OS和DFS相关(P = 0.034和0.043)。结论:OLNM具有不良病理特征和较差的预后。术前MRI评估ADC和CA19-9可能有助于识别有OLNM高风险的sPDAC患者。临床试验号:不适用。
本文章由计算机程序翻译,如有差异,请以英文原文为准。

Preoperative MRI and CA19-9 for predicting occult lymph node metastasis in small pancreatic ductal adenocarcinoma (≤ 2 cm).

Preoperative MRI and CA19-9 for predicting occult lymph node metastasis in small pancreatic ductal adenocarcinoma (≤ 2 cm).

Preoperative MRI and CA19-9 for predicting occult lymph node metastasis in small pancreatic ductal adenocarcinoma (≤ 2 cm).

Preoperative MRI and CA19-9 for predicting occult lymph node metastasis in small pancreatic ductal adenocarcinoma (≤ 2 cm).

Preoperative MRI and CA19-9 for predicting occult lymph node metastasis in small pancreatic ductal adenocarcinoma (≤ 2 cm).

Preoperative MRI and CA19-9 for predicting occult lymph node metastasis in small pancreatic ductal adenocarcinoma (≤ 2 cm).

Preoperative MRI and CA19-9 for predicting occult lymph node metastasis in small pancreatic ductal adenocarcinoma (≤ 2 cm).

Aim: Accurate prediction of occult lymph node metastasis (OLNM) in small pancreatic ductal adenocarcinoma (sPDAC) (≤ 2 cm) is crucial for curative management. This study aims to explore clinical and MRI features associated with OLNM in sPDAC and their pathological and prognostic implications.

Materials and methods: This retrospective study included 135 patients with pathologically confirmed sPDAC who underwent surgery between September 2014 and September 2023. Preoperative multi-sequence MRI, clinical data, and pathological features were analyzed. Univariate and multivariate logistic regression models were used to identify risk predictors of OLNM in sPDAC. Receiver operating characteristic (ROC) analysis was performed to assess diagnostic performance and Kaplan-Meier survival analysis was used to evaluate prognostic outcomes.

Results: OLNM was present in 43 (31.9%) sPDAC patients. Univariate and multivariate analysis identified elevated CA19-9 (> 100 U/mL) (OR = 2.404, P = 0.040) and low apparent diffusion coefficient (ADC) values (OR = 0.243, P = 0.031) as independent predictors of OLNM. The combined clinical-radiological model demonstrated an AUC of 0.740, significantly higher than CA19-9 (AUC = 0.653, P = 0.021) or ADC alone (AUC = 0.635, P = 0.035). sPDAC patients with OLNM exhibited higher rates of lymphovascular invasion (44.2%, P = 0.013) and pathological fat invasion (86.0%, P = 0.030). OLNM was associated with significantly worse OS and DFS (P = 0.034 and 0.043).

Conclusions: OLNM is associated with adverse pathological features and poorer prognosis. The combination of preoperative MRI assessment of ADC and CA19-9 may aid in identifying sPDAC patients at high risk for OLNM.

Clinical trial number: Not applicable.

求助全文
通过发布文献求助,成功后即可免费获取论文全文。 去求助
来源期刊
BMC Medical Imaging
BMC Medical Imaging RADIOLOGY, NUCLEAR MEDICINE & MEDICAL IMAGING-
CiteScore
4.60
自引率
3.70%
发文量
198
审稿时长
27 weeks
期刊介绍: BMC Medical Imaging is an open access journal publishing original peer-reviewed research articles in the development, evaluation, and use of imaging techniques and image processing tools to diagnose and manage disease.
×
引用
GB/T 7714-2015
复制
MLA
复制
APA
复制
导出至
BibTeX EndNote RefMan NoteFirst NoteExpress
×
提示
您的信息不完整,为了账户安全,请先补充。
现在去补充
×
提示
您因"违规操作"
具体请查看互助需知
我知道了
×
提示
确定
请完成安全验证×
copy
已复制链接
快去分享给好友吧!
我知道了
右上角分享
点击右上角分享
0
联系我们:info@booksci.cn Book学术提供免费学术资源搜索服务,方便国内外学者检索中英文文献。致力于提供最便捷和优质的服务体验。 Copyright © 2023 布克学术 All rights reserved.
京ICP备2023020795号-1
ghs 京公网安备 11010802042870号
Book学术文献互助
Book学术文献互助群
群 号:604180095
Book学术官方微信