NvIBDV vp2 -铁蛋白纳米颗粒的制备及免疫原性研究。

IF 2.6 2区 农林科学 Q1 VETERINARY SCIENCES
Shimin Gao, Xinrui Zhou, Xinya Li, Liezhu Luo, Kun Yang, Yunzhen Huang, Yun Bao, Xingchen Wu, Yanna Guo, Junping Li, Yuanmeng Shao, Longlong Wang, Zhe Liu, Minhua Sun, Libin Liang
{"title":"NvIBDV vp2 -铁蛋白纳米颗粒的制备及免疫原性研究。","authors":"Shimin Gao, Xinrui Zhou, Xinya Li, Liezhu Luo, Kun Yang, Yunzhen Huang, Yun Bao, Xingchen Wu, Yanna Guo, Junping Li, Yuanmeng Shao, Longlong Wang, Zhe Liu, Minhua Sun, Libin Liang","doi":"10.1186/s12917-025-04914-6","DOIUrl":null,"url":null,"abstract":"<p><strong>Background: </strong>Infectious bursal disease (IBD), caused by infectious bursal disease virus (IBDV), is a highly contagious disease that is prevalent worldwide and poses a significant threat to the poultry industry. While commercially available vaccines are used for prevention, IBD outbreaks remain frequent.</p><p><strong>Objective: </strong>The continuous mutation of virulent strains and their ability to evade traditional vaccine protection complicate IBD control, which necessitates the development of novel vaccines and a deeper understanding of viral mutation mechanisms.</p><p><strong>Method: </strong>Utilizing the self-assembly capability of ferritin (Fe), the hypervariable region (HVR) protein of a novel variant IBDV (NvIBDV) VP2 was displayed on the ferritin shell, forming regular nanoparticles. The full-length NvIBDV VP2 protein and the NvIBDV VP2-HVR-Fe fusion protein were prokaryotically expressed in E. coli and purified to prepare a VP2 protein vaccine and a VP2-Fe nanoparticle vaccine. An inactivated NvIBDV vaccine served as a control for evaluating immunogenicity and protection.</p><p><strong>Results: </strong>Recombinant prokaryotic expression vectors pET-VP2-Fe (encoding VP2-HVR-Fe) and pET-VP2 (encoding full-length VP2) were successfully constructed. Soluble VP2-Fe and VP2 proteins were expressed and purified. Electron microscopy confirmed the formation of a cage-like nanoparticle structure for VP2-Fe. Immunization of SPF chickens with NvIBDV VP2-Fe nanoparticles induced a robust immune response characterized by high antibody titers and a significantly high protection rate against viral challenge.</p><p><strong>Conclusion: </strong>The successfully constructed recombinant subunit nanoparticle vaccine, which displays the NvIBDV VP2 HVR on ferritin, effectively increased the antibody titer and provided superior immune protection. This approach offers a feasible strategy for developing novel IBDV subunit vaccines.</p>","PeriodicalId":9041,"journal":{"name":"BMC Veterinary Research","volume":"21 1","pages":"506"},"PeriodicalIF":2.6000,"publicationDate":"2025-08-06","publicationTypes":"Journal Article","fieldsOfStudy":null,"isOpenAccess":false,"openAccessPdf":"https://www.ncbi.nlm.nih.gov/pmc/articles/PMC12326652/pdf/","citationCount":"0","resultStr":"{\"title\":\"Preparation and immunogenicity studies of NvIBDV VP2-ferritin nanoparticles.\",\"authors\":\"Shimin Gao, Xinrui Zhou, Xinya Li, Liezhu Luo, Kun Yang, Yunzhen Huang, Yun Bao, Xingchen Wu, Yanna Guo, Junping Li, Yuanmeng Shao, Longlong Wang, Zhe Liu, Minhua Sun, Libin Liang\",\"doi\":\"10.1186/s12917-025-04914-6\",\"DOIUrl\":null,\"url\":null,\"abstract\":\"<p><strong>Background: </strong>Infectious bursal disease (IBD), caused by infectious bursal disease virus (IBDV), is a highly contagious disease that is prevalent worldwide and poses a significant threat to the poultry industry. While commercially available vaccines are used for prevention, IBD outbreaks remain frequent.</p><p><strong>Objective: </strong>The continuous mutation of virulent strains and their ability to evade traditional vaccine protection complicate IBD control, which necessitates the development of novel vaccines and a deeper understanding of viral mutation mechanisms.</p><p><strong>Method: </strong>Utilizing the self-assembly capability of ferritin (Fe), the hypervariable region (HVR) protein of a novel variant IBDV (NvIBDV) VP2 was displayed on the ferritin shell, forming regular nanoparticles. The full-length NvIBDV VP2 protein and the NvIBDV VP2-HVR-Fe fusion protein were prokaryotically expressed in E. coli and purified to prepare a VP2 protein vaccine and a VP2-Fe nanoparticle vaccine. An inactivated NvIBDV vaccine served as a control for evaluating immunogenicity and protection.</p><p><strong>Results: </strong>Recombinant prokaryotic expression vectors pET-VP2-Fe (encoding VP2-HVR-Fe) and pET-VP2 (encoding full-length VP2) were successfully constructed. Soluble VP2-Fe and VP2 proteins were expressed and purified. Electron microscopy confirmed the formation of a cage-like nanoparticle structure for VP2-Fe. Immunization of SPF chickens with NvIBDV VP2-Fe nanoparticles induced a robust immune response characterized by high antibody titers and a significantly high protection rate against viral challenge.</p><p><strong>Conclusion: </strong>The successfully constructed recombinant subunit nanoparticle vaccine, which displays the NvIBDV VP2 HVR on ferritin, effectively increased the antibody titer and provided superior immune protection. This approach offers a feasible strategy for developing novel IBDV subunit vaccines.</p>\",\"PeriodicalId\":9041,\"journal\":{\"name\":\"BMC Veterinary Research\",\"volume\":\"21 1\",\"pages\":\"506\"},\"PeriodicalIF\":2.6000,\"publicationDate\":\"2025-08-06\",\"publicationTypes\":\"Journal Article\",\"fieldsOfStudy\":null,\"isOpenAccess\":false,\"openAccessPdf\":\"https://www.ncbi.nlm.nih.gov/pmc/articles/PMC12326652/pdf/\",\"citationCount\":\"0\",\"resultStr\":null,\"platform\":\"Semanticscholar\",\"paperid\":null,\"PeriodicalName\":\"BMC Veterinary Research\",\"FirstCategoryId\":\"97\",\"ListUrlMain\":\"https://doi.org/10.1186/s12917-025-04914-6\",\"RegionNum\":2,\"RegionCategory\":\"农林科学\",\"ArticlePicture\":[],\"TitleCN\":null,\"AbstractTextCN\":null,\"PMCID\":null,\"EPubDate\":\"\",\"PubModel\":\"\",\"JCR\":\"Q1\",\"JCRName\":\"VETERINARY SCIENCES\",\"Score\":null,\"Total\":0}","platform":"Semanticscholar","paperid":null,"PeriodicalName":"BMC Veterinary Research","FirstCategoryId":"97","ListUrlMain":"https://doi.org/10.1186/s12917-025-04914-6","RegionNum":2,"RegionCategory":"农林科学","ArticlePicture":[],"TitleCN":null,"AbstractTextCN":null,"PMCID":null,"EPubDate":"","PubModel":"","JCR":"Q1","JCRName":"VETERINARY SCIENCES","Score":null,"Total":0}
引用次数: 0

摘要

背景:传染性法氏囊病(IBD)由传染性法氏囊病病毒(IBDV)引起,是一种在世界范围内流行的高度传染性疾病,对家禽业构成重大威胁。虽然市售疫苗用于预防,但肠病暴发仍然频繁。目的:毒力毒株的持续突变及其逃避传统疫苗保护的能力使IBD的控制复杂化,这就需要开发新型疫苗并更深入地了解病毒突变机制。方法:利用铁蛋白(Fe)的自组装能力,将新型IBDV (NvIBDV) VP2的高变区(HVR)蛋白展示在铁蛋白外壳上,形成规则的纳米颗粒。在大肠杆菌中原核表达了NvIBDV VP2全长蛋白和NvIBDV VP2- hvr - fe融合蛋白,并纯化制备了VP2蛋白疫苗和VP2- fe纳米颗粒疫苗。以NvIBDV灭活疫苗作为对照,评价免疫原性和保护作用。结果:成功构建了原核表达载体pET-VP2- fe(编码VP2- hvr - fe)和pET-VP2(编码全长VP2)。可溶性VP2- fe和VP2蛋白得到表达和纯化。电子显微镜证实VP2-Fe形成笼状纳米颗粒结构。用NvIBDV - VP2-Fe纳米颗粒免疫SPF鸡可诱导高抗体效价和高病毒防御率的免疫应答。结论:成功构建的重组亚单位纳米疫苗在铁蛋白上显示NvIBDV VP2 HVR,有效提高了抗体效价,具有良好的免疫保护作用。该方法为开发新型IBDV亚单位疫苗提供了一种可行的策略。
本文章由计算机程序翻译,如有差异,请以英文原文为准。

Preparation and immunogenicity studies of NvIBDV VP2-ferritin nanoparticles.

Preparation and immunogenicity studies of NvIBDV VP2-ferritin nanoparticles.

Preparation and immunogenicity studies of NvIBDV VP2-ferritin nanoparticles.

Preparation and immunogenicity studies of NvIBDV VP2-ferritin nanoparticles.

Preparation and immunogenicity studies of NvIBDV VP2-ferritin nanoparticles.

Preparation and immunogenicity studies of NvIBDV VP2-ferritin nanoparticles.

Preparation and immunogenicity studies of NvIBDV VP2-ferritin nanoparticles.

Background: Infectious bursal disease (IBD), caused by infectious bursal disease virus (IBDV), is a highly contagious disease that is prevalent worldwide and poses a significant threat to the poultry industry. While commercially available vaccines are used for prevention, IBD outbreaks remain frequent.

Objective: The continuous mutation of virulent strains and their ability to evade traditional vaccine protection complicate IBD control, which necessitates the development of novel vaccines and a deeper understanding of viral mutation mechanisms.

Method: Utilizing the self-assembly capability of ferritin (Fe), the hypervariable region (HVR) protein of a novel variant IBDV (NvIBDV) VP2 was displayed on the ferritin shell, forming regular nanoparticles. The full-length NvIBDV VP2 protein and the NvIBDV VP2-HVR-Fe fusion protein were prokaryotically expressed in E. coli and purified to prepare a VP2 protein vaccine and a VP2-Fe nanoparticle vaccine. An inactivated NvIBDV vaccine served as a control for evaluating immunogenicity and protection.

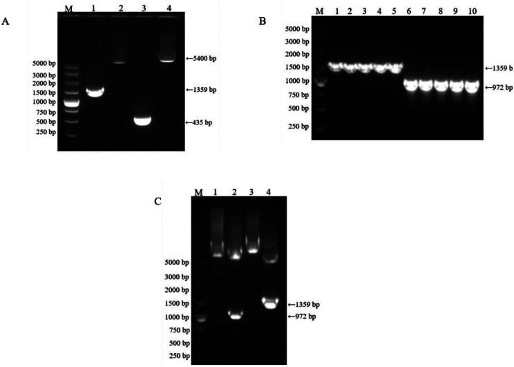
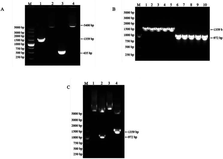
Results: Recombinant prokaryotic expression vectors pET-VP2-Fe (encoding VP2-HVR-Fe) and pET-VP2 (encoding full-length VP2) were successfully constructed. Soluble VP2-Fe and VP2 proteins were expressed and purified. Electron microscopy confirmed the formation of a cage-like nanoparticle structure for VP2-Fe. Immunization of SPF chickens with NvIBDV VP2-Fe nanoparticles induced a robust immune response characterized by high antibody titers and a significantly high protection rate against viral challenge.

Conclusion: The successfully constructed recombinant subunit nanoparticle vaccine, which displays the NvIBDV VP2 HVR on ferritin, effectively increased the antibody titer and provided superior immune protection. This approach offers a feasible strategy for developing novel IBDV subunit vaccines.

求助全文
通过发布文献求助,成功后即可免费获取论文全文。 去求助
来源期刊
BMC Veterinary Research
BMC Veterinary Research VETERINARY SCIENCES-
CiteScore
4.80
自引率
3.80%
发文量
420
审稿时长
3-6 weeks
期刊介绍: BMC Veterinary Research is an open access, peer-reviewed journal that considers articles on all aspects of veterinary science and medicine, including the epidemiology, diagnosis, prevention and treatment of medical conditions of domestic, companion, farm and wild animals, as well as the biomedical processes that underlie their health.
×
引用
GB/T 7714-2015
复制
MLA
复制
APA
复制
导出至
BibTeX EndNote RefMan NoteFirst NoteExpress
×
提示
您的信息不完整,为了账户安全,请先补充。
现在去补充
×
提示
您因"违规操作"
具体请查看互助需知
我知道了
×
提示
确定
请完成安全验证×
copy
已复制链接
快去分享给好友吧!
我知道了
右上角分享
点击右上角分享
0
联系我们:info@booksci.cn Book学术提供免费学术资源搜索服务,方便国内外学者检索中英文文献。致力于提供最便捷和优质的服务体验。 Copyright © 2023 布克学术 All rights reserved.
京ICP备2023020795号-1
ghs 京公网安备 11010802042870号
Book学术文献互助
Book学术文献互助群
群 号:604180095
Book学术官方微信