在囊肿之外导航:Gorlin - Goltz综合征的复杂世界-一个病例报告。

Q2 Dentistry
Annals of Maxillofacial Surgery Pub Date : 2025-01-01 Epub Date: 2025-03-18 DOI:10.4103/ams.ams_2_24
Aksha Bhargava, Vikas Kunwar Singh, Ruchika Tiwari, Prashansa Gaikwad, Lovely Bharti
{"title":"在囊肿之外导航:Gorlin - Goltz综合征的复杂世界-一个病例报告。","authors":"Aksha Bhargava, Vikas Kunwar Singh, Ruchika Tiwari, Prashansa Gaikwad, Lovely Bharti","doi":"10.4103/ams.ams_2_24","DOIUrl":null,"url":null,"abstract":"<p><strong>Rationale: </strong>The importance of a comprehensive and interdisciplinary approach in early diagnosis and managing patients with rare genetic disorders must be highlighted appropriately. This case report delves into the complex clinical presentation of a patient with Gorlin-Goltz Syndrome, emphasizing the multifaceted challenges encountered during diagnosis, treatment, and long-term management and involves a detailed exploration of the patient's clinical history, encompassing cutaneous manifestations, skeletal anomalies, and neurological findings radiological imaging also plays a pivotal role in guiding towards the diagnostic process and forming the basis for a multidisciplinary approach for management of the patient.</p><p><strong>Patient concerns: </strong>A previously treated case for pain in lower left tooth region, patient concerns for pain and pus discharge from same region.</p><p><strong>Diagnosis: </strong>After thorough clinical and radiographic findings patient was diagnosed with Gorlin goltz syndrome having multiple cysts.</p><p><strong>Treatment: </strong>Cyst enucleation of all cysts done under General Anaesthesia along with application of carnoy's solution.</p><p><strong>Outcomes: </strong>Postoperatively regular follow-up revealed satisfactory bone healing with no signs of recurrence and patient was educated concerning the syndrome.</p><p><strong>Take-away lessons: </strong>Gorlin-Goltz Syndrome, also known as nevoid basal cell carcinoma syndrome (NBCCS), is a rare autosomal dominant disorder characterized by a constellation of developmental abnormalities and an elevated predisposition to specific malignancies, particularly basal cell carcinoma. This case report describes the way of navigating the complexities of this syndrome and helps inform future diagnostic strategies, treatment modalities, and genetic counseling practices for individuals affected by it.</p>","PeriodicalId":7972,"journal":{"name":"Annals of Maxillofacial Surgery","volume":"15 1","pages":"98-101"},"PeriodicalIF":0.0000,"publicationDate":"2025-01-01","publicationTypes":"Journal Article","fieldsOfStudy":null,"isOpenAccess":false,"openAccessPdf":"https://www.ncbi.nlm.nih.gov/pmc/articles/PMC12321167/pdf/","citationCount":"0","resultStr":"{\"title\":\"Navigating Beyond a Cyst: The Intricate World of Gorlin Goltz Syndrome - A Case Report.\",\"authors\":\"Aksha Bhargava, Vikas Kunwar Singh, Ruchika Tiwari, Prashansa Gaikwad, Lovely Bharti\",\"doi\":\"10.4103/ams.ams_2_24\",\"DOIUrl\":null,\"url\":null,\"abstract\":\"<p><strong>Rationale: </strong>The importance of a comprehensive and interdisciplinary approach in early diagnosis and managing patients with rare genetic disorders must be highlighted appropriately. This case report delves into the complex clinical presentation of a patient with Gorlin-Goltz Syndrome, emphasizing the multifaceted challenges encountered during diagnosis, treatment, and long-term management and involves a detailed exploration of the patient's clinical history, encompassing cutaneous manifestations, skeletal anomalies, and neurological findings radiological imaging also plays a pivotal role in guiding towards the diagnostic process and forming the basis for a multidisciplinary approach for management of the patient.</p><p><strong>Patient concerns: </strong>A previously treated case for pain in lower left tooth region, patient concerns for pain and pus discharge from same region.</p><p><strong>Diagnosis: </strong>After thorough clinical and radiographic findings patient was diagnosed with Gorlin goltz syndrome having multiple cysts.</p><p><strong>Treatment: </strong>Cyst enucleation of all cysts done under General Anaesthesia along with application of carnoy's solution.</p><p><strong>Outcomes: </strong>Postoperatively regular follow-up revealed satisfactory bone healing with no signs of recurrence and patient was educated concerning the syndrome.</p><p><strong>Take-away lessons: </strong>Gorlin-Goltz Syndrome, also known as nevoid basal cell carcinoma syndrome (NBCCS), is a rare autosomal dominant disorder characterized by a constellation of developmental abnormalities and an elevated predisposition to specific malignancies, particularly basal cell carcinoma. This case report describes the way of navigating the complexities of this syndrome and helps inform future diagnostic strategies, treatment modalities, and genetic counseling practices for individuals affected by it.</p>\",\"PeriodicalId\":7972,\"journal\":{\"name\":\"Annals of Maxillofacial Surgery\",\"volume\":\"15 1\",\"pages\":\"98-101\"},\"PeriodicalIF\":0.0000,\"publicationDate\":\"2025-01-01\",\"publicationTypes\":\"Journal Article\",\"fieldsOfStudy\":null,\"isOpenAccess\":false,\"openAccessPdf\":\"https://www.ncbi.nlm.nih.gov/pmc/articles/PMC12321167/pdf/\",\"citationCount\":\"0\",\"resultStr\":null,\"platform\":\"Semanticscholar\",\"paperid\":null,\"PeriodicalName\":\"Annals of Maxillofacial Surgery\",\"FirstCategoryId\":\"1085\",\"ListUrlMain\":\"https://doi.org/10.4103/ams.ams_2_24\",\"RegionNum\":0,\"RegionCategory\":null,\"ArticlePicture\":[],\"TitleCN\":null,\"AbstractTextCN\":null,\"PMCID\":null,\"EPubDate\":\"2025/3/18 0:00:00\",\"PubModel\":\"Epub\",\"JCR\":\"Q2\",\"JCRName\":\"Dentistry\",\"Score\":null,\"Total\":0}","platform":"Semanticscholar","paperid":null,"PeriodicalName":"Annals of Maxillofacial Surgery","FirstCategoryId":"1085","ListUrlMain":"https://doi.org/10.4103/ams.ams_2_24","RegionNum":0,"RegionCategory":null,"ArticlePicture":[],"TitleCN":null,"AbstractTextCN":null,"PMCID":null,"EPubDate":"2025/3/18 0:00:00","PubModel":"Epub","JCR":"Q2","JCRName":"Dentistry","Score":null,"Total":0}
引用次数: 0

摘要

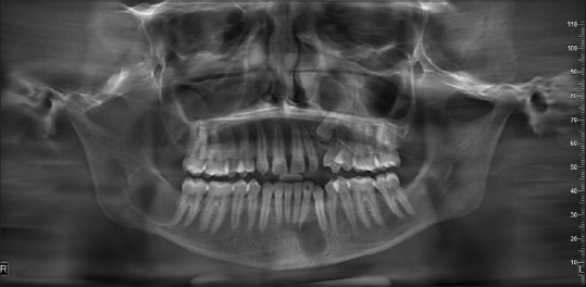
理由:必须适当强调在罕见遗传疾病患者的早期诊断和管理中采用综合和跨学科方法的重要性。本病例报告深入探讨了Gorlin-Goltz综合征患者的复杂临床表现,强调了在诊断、治疗和长期管理过程中遇到的多方面挑战,并详细探讨了患者的临床病史,包括皮肤表现、骨骼异常、神经学方面的发现,放射成像在指导诊断过程中也起着关键作用,并为患者管理的多学科方法奠定基础。患者关注:先前治疗的左下牙区域疼痛病例,患者关注同一区域疼痛和脓流。诊断:经过全面的临床和影像学检查,患者被诊断为多发性囊肿Gorlin - goltz综合征。治疗方法:在全身麻醉下对所有囊肿进行囊肿去核,并应用卡诺伊溶液。结果:术后定期随访显示骨愈合良好,无复发迹象,患者接受了有关该综合征的教育。结论:Gorlin-Goltz综合征,也被称为基底细胞癌综合征(NBCCS),是一种罕见的常染色体显性遗传病,其特征是一系列发育异常和特定恶性肿瘤,特别是基底细胞癌的易感性升高。本病例报告描述了这种综合征的复杂导航方式,并有助于为受其影响的个体提供未来的诊断策略、治疗方式和遗传咨询实践。
本文章由计算机程序翻译,如有差异,请以英文原文为准。

Navigating Beyond a Cyst: The Intricate World of Gorlin Goltz Syndrome - A Case Report.

Navigating Beyond a Cyst: The Intricate World of Gorlin Goltz Syndrome - A Case Report.

Navigating Beyond a Cyst: The Intricate World of Gorlin Goltz Syndrome - A Case Report.

Navigating Beyond a Cyst: The Intricate World of Gorlin Goltz Syndrome - A Case Report.

Rationale: The importance of a comprehensive and interdisciplinary approach in early diagnosis and managing patients with rare genetic disorders must be highlighted appropriately. This case report delves into the complex clinical presentation of a patient with Gorlin-Goltz Syndrome, emphasizing the multifaceted challenges encountered during diagnosis, treatment, and long-term management and involves a detailed exploration of the patient's clinical history, encompassing cutaneous manifestations, skeletal anomalies, and neurological findings radiological imaging also plays a pivotal role in guiding towards the diagnostic process and forming the basis for a multidisciplinary approach for management of the patient.

Patient concerns: A previously treated case for pain in lower left tooth region, patient concerns for pain and pus discharge from same region.

Diagnosis: After thorough clinical and radiographic findings patient was diagnosed with Gorlin goltz syndrome having multiple cysts.

Treatment: Cyst enucleation of all cysts done under General Anaesthesia along with application of carnoy's solution.

Outcomes: Postoperatively regular follow-up revealed satisfactory bone healing with no signs of recurrence and patient was educated concerning the syndrome.

Take-away lessons: Gorlin-Goltz Syndrome, also known as nevoid basal cell carcinoma syndrome (NBCCS), is a rare autosomal dominant disorder characterized by a constellation of developmental abnormalities and an elevated predisposition to specific malignancies, particularly basal cell carcinoma. This case report describes the way of navigating the complexities of this syndrome and helps inform future diagnostic strategies, treatment modalities, and genetic counseling practices for individuals affected by it.

求助全文
通过发布文献求助,成功后即可免费获取论文全文。 去求助
来源期刊
CiteScore
1.20
自引率
0.00%
发文量
26
×
引用
GB/T 7714-2015
复制
MLA
复制
APA
复制
导出至
BibTeX EndNote RefMan NoteFirst NoteExpress
×
提示
您的信息不完整,为了账户安全,请先补充。
现在去补充
×
提示
您因"违规操作"
具体请查看互助需知
我知道了
×
提示
确定
请完成安全验证×
copy
已复制链接
快去分享给好友吧!
我知道了
右上角分享
点击右上角分享
0
联系我们:info@booksci.cn Book学术提供免费学术资源搜索服务,方便国内外学者检索中英文文献。致力于提供最便捷和优质的服务体验。 Copyright © 2023 布克学术 All rights reserved.
京ICP备2023020795号-1
ghs 京公网安备 11010802042870号
Book学术文献互助
Book学术文献互助群
群 号:604180095
Book学术官方微信