上颌及下颌骨朗格汉斯细胞组织细胞增多症1例报告。

Q2 Dentistry
Annals of Maxillofacial Surgery Pub Date : 2025-01-01 Epub Date: 2025-05-09 DOI:10.4103/ams.ams_136_24
Ramita V Sood, Ragini Ramendra Tiwari, Hu Weihsin, Anupama B Chauhan, Nisarg R Trivedi, Bansarim B Gadhiya
{"title":"上颌及下颌骨朗格汉斯细胞组织细胞增多症1例报告。","authors":"Ramita V Sood, Ragini Ramendra Tiwari, Hu Weihsin, Anupama B Chauhan, Nisarg R Trivedi, Bansarim B Gadhiya","doi":"10.4103/ams.ams_136_24","DOIUrl":null,"url":null,"abstract":"<p><strong>Rationale: </strong>Langerhans cell histiocytosis (LCH) is a rare disease involving neoplastic proliferation of myeloid precursor cells, primarily affecting bones such as ribs, pelvis, femur, and mandible with rare simultaneous involvement of the maxilla and mandible.</p><p><strong>Patient concerns and diagnosis: </strong>A 48-year-old male presented with swelling and tooth mobility since 6 months. Orthopantomogram revealed extensive destruction in the mandible and right maxillary posterior region. Histological examination confirmed LCH using immunohistochemical staining with S-100, CD1a.</p><p><strong>Treatment: </strong>As patient refused of surgery, intralesional methylprednisolone injections were selected as non-invasive treatment approach for localized LCH.</p><p><strong>Outcome: </strong>Three months post-treatment, remission was observed, though some residual lesion remained. Follow-up at six months showed no further disease progression, supporting the efficacy of corticosteroid injections.</p><p><strong>Take-away lessons: </strong>Treatment should be based on the diagnosis of LCH along with the extent of involvement of bones. Based on review of the literature and our own findings, intralesional corticosteroids were found to be effective for localized LCH.</p>","PeriodicalId":7972,"journal":{"name":"Annals of Maxillofacial Surgery","volume":"15 1","pages":"102-105"},"PeriodicalIF":0.0000,"publicationDate":"2025-01-01","publicationTypes":"Journal Article","fieldsOfStudy":null,"isOpenAccess":false,"openAccessPdf":"https://www.ncbi.nlm.nih.gov/pmc/articles/PMC12321178/pdf/","citationCount":"0","resultStr":"{\"title\":\"Langerhans Cell Histiocytosis Involving the Maxilla and Mandible - A Case Report.\",\"authors\":\"Ramita V Sood, Ragini Ramendra Tiwari, Hu Weihsin, Anupama B Chauhan, Nisarg R Trivedi, Bansarim B Gadhiya\",\"doi\":\"10.4103/ams.ams_136_24\",\"DOIUrl\":null,\"url\":null,\"abstract\":\"<p><strong>Rationale: </strong>Langerhans cell histiocytosis (LCH) is a rare disease involving neoplastic proliferation of myeloid precursor cells, primarily affecting bones such as ribs, pelvis, femur, and mandible with rare simultaneous involvement of the maxilla and mandible.</p><p><strong>Patient concerns and diagnosis: </strong>A 48-year-old male presented with swelling and tooth mobility since 6 months. Orthopantomogram revealed extensive destruction in the mandible and right maxillary posterior region. Histological examination confirmed LCH using immunohistochemical staining with S-100, CD1a.</p><p><strong>Treatment: </strong>As patient refused of surgery, intralesional methylprednisolone injections were selected as non-invasive treatment approach for localized LCH.</p><p><strong>Outcome: </strong>Three months post-treatment, remission was observed, though some residual lesion remained. Follow-up at six months showed no further disease progression, supporting the efficacy of corticosteroid injections.</p><p><strong>Take-away lessons: </strong>Treatment should be based on the diagnosis of LCH along with the extent of involvement of bones. Based on review of the literature and our own findings, intralesional corticosteroids were found to be effective for localized LCH.</p>\",\"PeriodicalId\":7972,\"journal\":{\"name\":\"Annals of Maxillofacial Surgery\",\"volume\":\"15 1\",\"pages\":\"102-105\"},\"PeriodicalIF\":0.0000,\"publicationDate\":\"2025-01-01\",\"publicationTypes\":\"Journal Article\",\"fieldsOfStudy\":null,\"isOpenAccess\":false,\"openAccessPdf\":\"https://www.ncbi.nlm.nih.gov/pmc/articles/PMC12321178/pdf/\",\"citationCount\":\"0\",\"resultStr\":null,\"platform\":\"Semanticscholar\",\"paperid\":null,\"PeriodicalName\":\"Annals of Maxillofacial Surgery\",\"FirstCategoryId\":\"1085\",\"ListUrlMain\":\"https://doi.org/10.4103/ams.ams_136_24\",\"RegionNum\":0,\"RegionCategory\":null,\"ArticlePicture\":[],\"TitleCN\":null,\"AbstractTextCN\":null,\"PMCID\":null,\"EPubDate\":\"2025/5/9 0:00:00\",\"PubModel\":\"Epub\",\"JCR\":\"Q2\",\"JCRName\":\"Dentistry\",\"Score\":null,\"Total\":0}","platform":"Semanticscholar","paperid":null,"PeriodicalName":"Annals of Maxillofacial Surgery","FirstCategoryId":"1085","ListUrlMain":"https://doi.org/10.4103/ams.ams_136_24","RegionNum":0,"RegionCategory":null,"ArticlePicture":[],"TitleCN":null,"AbstractTextCN":null,"PMCID":null,"EPubDate":"2025/5/9 0:00:00","PubModel":"Epub","JCR":"Q2","JCRName":"Dentistry","Score":null,"Total":0}
引用次数: 0

摘要

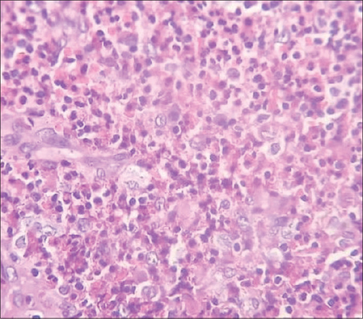
理由:朗格汉斯细胞组织细胞增生症(LCH)是一种罕见的疾病,涉及骨髓前体细胞的肿瘤增生,主要影响骨骼,如肋骨、骨盆、股骨和下颌骨,很少同时累及上颌骨和下颌骨。患者关注和诊断:48岁男性,6个月以来出现肿胀和牙齿活动。正骨断层扫描显示在下颌骨和右上颌后区广泛的破坏。免疫组化S-100、CD1a染色证实LCH。治疗方法:因患者拒绝手术,选择病灶内注射甲基强的松龙作为局部LCH的无创治疗方法。结果:治疗后3个月,观察到缓解,但仍有一些残余病变。6个月的随访显示没有进一步的疾病进展,支持皮质类固醇注射的疗效。经验教训:治疗应基于LCH的诊断以及骨骼的受累程度。基于文献回顾和我们自己的发现,局灶内皮质类固醇被发现对局部LCH有效。
本文章由计算机程序翻译,如有差异,请以英文原文为准。

Langerhans Cell Histiocytosis Involving the Maxilla and Mandible - A Case Report.

Langerhans Cell Histiocytosis Involving the Maxilla and Mandible - A Case Report.

Langerhans Cell Histiocytosis Involving the Maxilla and Mandible - A Case Report.

Langerhans Cell Histiocytosis Involving the Maxilla and Mandible - A Case Report.

Rationale: Langerhans cell histiocytosis (LCH) is a rare disease involving neoplastic proliferation of myeloid precursor cells, primarily affecting bones such as ribs, pelvis, femur, and mandible with rare simultaneous involvement of the maxilla and mandible.

Patient concerns and diagnosis: A 48-year-old male presented with swelling and tooth mobility since 6 months. Orthopantomogram revealed extensive destruction in the mandible and right maxillary posterior region. Histological examination confirmed LCH using immunohistochemical staining with S-100, CD1a.

Treatment: As patient refused of surgery, intralesional methylprednisolone injections were selected as non-invasive treatment approach for localized LCH.

Outcome: Three months post-treatment, remission was observed, though some residual lesion remained. Follow-up at six months showed no further disease progression, supporting the efficacy of corticosteroid injections.

Take-away lessons: Treatment should be based on the diagnosis of LCH along with the extent of involvement of bones. Based on review of the literature and our own findings, intralesional corticosteroids were found to be effective for localized LCH.

求助全文
通过发布文献求助,成功后即可免费获取论文全文。 去求助
来源期刊
CiteScore
1.20
自引率
0.00%
发文量
26
×
引用
GB/T 7714-2015
复制
MLA
复制
APA
复制
导出至
BibTeX EndNote RefMan NoteFirst NoteExpress
×
提示
您的信息不完整,为了账户安全,请先补充。
现在去补充
×
提示
您因"违规操作"
具体请查看互助需知
我知道了
×
提示
确定
请完成安全验证×
copy
已复制链接
快去分享给好友吧!
我知道了
右上角分享
点击右上角分享
0
联系我们:info@booksci.cn Book学术提供免费学术资源搜索服务,方便国内外学者检索中英文文献。致力于提供最便捷和优质的服务体验。 Copyright © 2023 布克学术 All rights reserved.
京ICP备2023020795号-1
ghs 京公网安备 11010802042870号
Book学术文献互助
Book学术文献互助群
群 号:604180095
Book学术官方微信