后上颌骨中央巨细胞肉芽肿1例。

Q2 Dentistry
Annals of Maxillofacial Surgery Pub Date : 2025-01-01 Epub Date: 2025-03-18 DOI:10.4103/ams.ams_130_24
M Madhuvandhi, K Sankar, Latha Asokan, S Duraimurugan
{"title":"后上颌骨中央巨细胞肉芽肿1例。","authors":"M Madhuvandhi, K Sankar, Latha Asokan, S Duraimurugan","doi":"10.4103/ams.ams_130_24","DOIUrl":null,"url":null,"abstract":"<p><strong>Rationale: </strong>Central giant cell granuloma (CGCG) is a non-neoplastic proliferative lesion that clinically and radiologically mimics various lesions without any unique pathognomic features.</p><p><strong>Patient concerns: </strong>A 14-year-old male patient reported with a chief complaint of swelling in the right upper back tooth region for four months.</p><p><strong>Diagnosis: </strong>Incisional biopsy of the lesion shows numerous dilated and thin-walled blood vessels and focal areas of chronic inflammatory cell infiltrate beneath the epithelium suggestive of angiofibroma.</p><p><strong>Treatment: </strong>Surgical excision of the lesion along with curettage was done under general anaesthesia. On histopathologic examination, the lesion revealed loose connective tissue stroma with mesenchymal cells and multinucleated giant cells suggestive of CGCG.</p><p><strong>Outcomes: </strong>The patient was followed up for one year without any evidence of recurrences.</p><p><strong>Take-away lessons: </strong>Presentation of CGCG of the oral cavity is rare and mimics a wide variety of lesions clinically and radiologically. Histopathology remains the only diagnostic modality.</p>","PeriodicalId":7972,"journal":{"name":"Annals of Maxillofacial Surgery","volume":"15 1","pages":"95-97"},"PeriodicalIF":0.0000,"publicationDate":"2025-01-01","publicationTypes":"Journal Article","fieldsOfStudy":null,"isOpenAccess":false,"openAccessPdf":"https://www.ncbi.nlm.nih.gov/pmc/articles/PMC12321165/pdf/","citationCount":"0","resultStr":"{\"title\":\"Central Giant Cell Granuloma of Posterior Maxilla - A Case Report.\",\"authors\":\"M Madhuvandhi, K Sankar, Latha Asokan, S Duraimurugan\",\"doi\":\"10.4103/ams.ams_130_24\",\"DOIUrl\":null,\"url\":null,\"abstract\":\"<p><strong>Rationale: </strong>Central giant cell granuloma (CGCG) is a non-neoplastic proliferative lesion that clinically and radiologically mimics various lesions without any unique pathognomic features.</p><p><strong>Patient concerns: </strong>A 14-year-old male patient reported with a chief complaint of swelling in the right upper back tooth region for four months.</p><p><strong>Diagnosis: </strong>Incisional biopsy of the lesion shows numerous dilated and thin-walled blood vessels and focal areas of chronic inflammatory cell infiltrate beneath the epithelium suggestive of angiofibroma.</p><p><strong>Treatment: </strong>Surgical excision of the lesion along with curettage was done under general anaesthesia. On histopathologic examination, the lesion revealed loose connective tissue stroma with mesenchymal cells and multinucleated giant cells suggestive of CGCG.</p><p><strong>Outcomes: </strong>The patient was followed up for one year without any evidence of recurrences.</p><p><strong>Take-away lessons: </strong>Presentation of CGCG of the oral cavity is rare and mimics a wide variety of lesions clinically and radiologically. Histopathology remains the only diagnostic modality.</p>\",\"PeriodicalId\":7972,\"journal\":{\"name\":\"Annals of Maxillofacial Surgery\",\"volume\":\"15 1\",\"pages\":\"95-97\"},\"PeriodicalIF\":0.0000,\"publicationDate\":\"2025-01-01\",\"publicationTypes\":\"Journal Article\",\"fieldsOfStudy\":null,\"isOpenAccess\":false,\"openAccessPdf\":\"https://www.ncbi.nlm.nih.gov/pmc/articles/PMC12321165/pdf/\",\"citationCount\":\"0\",\"resultStr\":null,\"platform\":\"Semanticscholar\",\"paperid\":null,\"PeriodicalName\":\"Annals of Maxillofacial Surgery\",\"FirstCategoryId\":\"1085\",\"ListUrlMain\":\"https://doi.org/10.4103/ams.ams_130_24\",\"RegionNum\":0,\"RegionCategory\":null,\"ArticlePicture\":[],\"TitleCN\":null,\"AbstractTextCN\":null,\"PMCID\":null,\"EPubDate\":\"2025/3/18 0:00:00\",\"PubModel\":\"Epub\",\"JCR\":\"Q2\",\"JCRName\":\"Dentistry\",\"Score\":null,\"Total\":0}","platform":"Semanticscholar","paperid":null,"PeriodicalName":"Annals of Maxillofacial Surgery","FirstCategoryId":"1085","ListUrlMain":"https://doi.org/10.4103/ams.ams_130_24","RegionNum":0,"RegionCategory":null,"ArticlePicture":[],"TitleCN":null,"AbstractTextCN":null,"PMCID":null,"EPubDate":"2025/3/18 0:00:00","PubModel":"Epub","JCR":"Q2","JCRName":"Dentistry","Score":null,"Total":0}
引用次数: 0

摘要

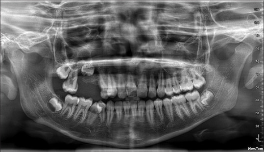
理由:中央巨细胞肉芽肿(CGCG)是一种非肿瘤性增生性病变,临床和放射学上类似于各种病变,没有任何独特的病理特征。患者关注:一名14岁男性患者报告其主诉为右上背部牙齿区域肿胀4个月。诊断:病变的切口活检显示大量扩张的薄壁血管和局灶性慢性炎症细胞浸润在上皮下,提示血管纤维瘤。治疗方法:在全身麻醉下切除病灶并刮痧。组织病理学检查显示结缔组织间质疏松,间充质细胞和多核巨细胞提示CGCG。结果:患者随访一年,无复发迹象。教训:口腔CGCG的表现是罕见的,模仿各种病变的临床和放射学。组织病理学仍然是唯一的诊断方法。
本文章由计算机程序翻译,如有差异,请以英文原文为准。

Central Giant Cell Granuloma of Posterior Maxilla - A Case Report.

Central Giant Cell Granuloma of Posterior Maxilla - A Case Report.

Central Giant Cell Granuloma of Posterior Maxilla - A Case Report.

Central Giant Cell Granuloma of Posterior Maxilla - A Case Report.

Rationale: Central giant cell granuloma (CGCG) is a non-neoplastic proliferative lesion that clinically and radiologically mimics various lesions without any unique pathognomic features.

Patient concerns: A 14-year-old male patient reported with a chief complaint of swelling in the right upper back tooth region for four months.

Diagnosis: Incisional biopsy of the lesion shows numerous dilated and thin-walled blood vessels and focal areas of chronic inflammatory cell infiltrate beneath the epithelium suggestive of angiofibroma.

Treatment: Surgical excision of the lesion along with curettage was done under general anaesthesia. On histopathologic examination, the lesion revealed loose connective tissue stroma with mesenchymal cells and multinucleated giant cells suggestive of CGCG.

Outcomes: The patient was followed up for one year without any evidence of recurrences.

Take-away lessons: Presentation of CGCG of the oral cavity is rare and mimics a wide variety of lesions clinically and radiologically. Histopathology remains the only diagnostic modality.

求助全文
通过发布文献求助,成功后即可免费获取论文全文。 去求助
来源期刊
CiteScore
1.20
自引率
0.00%
发文量
26
×
引用
GB/T 7714-2015
复制
MLA
复制
APA
复制
导出至
BibTeX EndNote RefMan NoteFirst NoteExpress
×
提示
您的信息不完整,为了账户安全,请先补充。
现在去补充
×
提示
您因"违规操作"
具体请查看互助需知
我知道了
×
提示
确定
请完成安全验证×
copy
已复制链接
快去分享给好友吧!
我知道了
右上角分享
点击右上角分享
0
联系我们:info@booksci.cn Book学术提供免费学术资源搜索服务,方便国内外学者检索中英文文献。致力于提供最便捷和优质的服务体验。 Copyright © 2023 布克学术 All rights reserved.
京ICP备2023020795号-1
ghs 京公网安备 11010802042870号
Book学术文献互助
Book学术文献互助群
群 号:604180095
Book学术官方微信