中耳缺损致脑脊液漏入咽鼓管致危及生命的脑气脑病:说明性病例。

Hailey Mattheisen, Abigail Peterson, Brandon Laing, Nathan T Zwagerman, Michael S Harris, Stephanie Cheok
{"title":"中耳缺损致脑脊液漏入咽鼓管致危及生命的脑气脑病:说明性病例。","authors":"Hailey Mattheisen, Abigail Peterson, Brandon Laing, Nathan T Zwagerman, Michael S Harris, Stephanie Cheok","doi":"10.3171/CASE24834","DOIUrl":null,"url":null,"abstract":"<p><strong>Background: </strong>Spontaneous pneumocephalus is a rare, but potentially serious condition often secondary to a CSF leak. This egress of CSF causes an inward movement of air to replace the lost volume. CSF leaks are typically posttraumatic and present as rhinorrhea or otorrhea. Locating the bony defect and herniating contents through imaging is crucial for planned surgical intervention. In this report, the author present the case of a patient with progressive spontaneous pneumocephalus with an apparent but unidentifiable CSF leak.</p><p><strong>Observations: </strong>A 76-year-old female presented to the authors' institution with rapidly progressing spontaneous pneumocephalus. This case is unique in that the patient's pneumocephalus continued to expand without any radiological indication of extracranial CSF, leading us to believe that the CSF was intermittently leaking through the eustachian tube and passing down the patient's oropharynx. Given the presumed pathway, an initial conservative surgical approach was chosen for this patient's spontaneous pneumocephalus instead of the traditional middle cranial fossa or transmastoid approach.</p><p><strong>Lessons: </strong>To repair the leak, the authors attempted a more conservative approach involving closure of the external acoustic meatus and obliteration of the eustachian tube. A few studies using a similar procedure reported a lower risk of complications and reduction in postoperative CSF leaks. https://thejns.org/doi/10.3171/CASE24834.</p>","PeriodicalId":94098,"journal":{"name":"Journal of neurosurgery. Case lessons","volume":"10 5","pages":""},"PeriodicalIF":0.0000,"publicationDate":"2025-08-04","publicationTypes":"Journal Article","fieldsOfStudy":null,"isOpenAccess":false,"openAccessPdf":"https://www.ncbi.nlm.nih.gov/pmc/articles/PMC12320727/pdf/","citationCount":"0","resultStr":"{\"title\":\"Life-threatening pneumocephalus from middle ear defect causing cerebrospinal fluid leakage into the eustachian tube: illustrative case.\",\"authors\":\"Hailey Mattheisen, Abigail Peterson, Brandon Laing, Nathan T Zwagerman, Michael S Harris, Stephanie Cheok\",\"doi\":\"10.3171/CASE24834\",\"DOIUrl\":null,\"url\":null,\"abstract\":\"<p><strong>Background: </strong>Spontaneous pneumocephalus is a rare, but potentially serious condition often secondary to a CSF leak. This egress of CSF causes an inward movement of air to replace the lost volume. CSF leaks are typically posttraumatic and present as rhinorrhea or otorrhea. Locating the bony defect and herniating contents through imaging is crucial for planned surgical intervention. In this report, the author present the case of a patient with progressive spontaneous pneumocephalus with an apparent but unidentifiable CSF leak.</p><p><strong>Observations: </strong>A 76-year-old female presented to the authors' institution with rapidly progressing spontaneous pneumocephalus. This case is unique in that the patient's pneumocephalus continued to expand without any radiological indication of extracranial CSF, leading us to believe that the CSF was intermittently leaking through the eustachian tube and passing down the patient's oropharynx. Given the presumed pathway, an initial conservative surgical approach was chosen for this patient's spontaneous pneumocephalus instead of the traditional middle cranial fossa or transmastoid approach.</p><p><strong>Lessons: </strong>To repair the leak, the authors attempted a more conservative approach involving closure of the external acoustic meatus and obliteration of the eustachian tube. A few studies using a similar procedure reported a lower risk of complications and reduction in postoperative CSF leaks. https://thejns.org/doi/10.3171/CASE24834.</p>\",\"PeriodicalId\":94098,\"journal\":{\"name\":\"Journal of neurosurgery. Case lessons\",\"volume\":\"10 5\",\"pages\":\"\"},\"PeriodicalIF\":0.0000,\"publicationDate\":\"2025-08-04\",\"publicationTypes\":\"Journal Article\",\"fieldsOfStudy\":null,\"isOpenAccess\":false,\"openAccessPdf\":\"https://www.ncbi.nlm.nih.gov/pmc/articles/PMC12320727/pdf/\",\"citationCount\":\"0\",\"resultStr\":null,\"platform\":\"Semanticscholar\",\"paperid\":null,\"PeriodicalName\":\"Journal of neurosurgery. Case lessons\",\"FirstCategoryId\":\"1085\",\"ListUrlMain\":\"https://doi.org/10.3171/CASE24834\",\"RegionNum\":0,\"RegionCategory\":null,\"ArticlePicture\":[],\"TitleCN\":null,\"AbstractTextCN\":null,\"PMCID\":null,\"EPubDate\":\"\",\"PubModel\":\"\",\"JCR\":\"\",\"JCRName\":\"\",\"Score\":null,\"Total\":0}","platform":"Semanticscholar","paperid":null,"PeriodicalName":"Journal of neurosurgery. Case lessons","FirstCategoryId":"1085","ListUrlMain":"https://doi.org/10.3171/CASE24834","RegionNum":0,"RegionCategory":null,"ArticlePicture":[],"TitleCN":null,"AbstractTextCN":null,"PMCID":null,"EPubDate":"","PubModel":"","JCR":"","JCRName":"","Score":null,"Total":0}
引用次数: 0

摘要

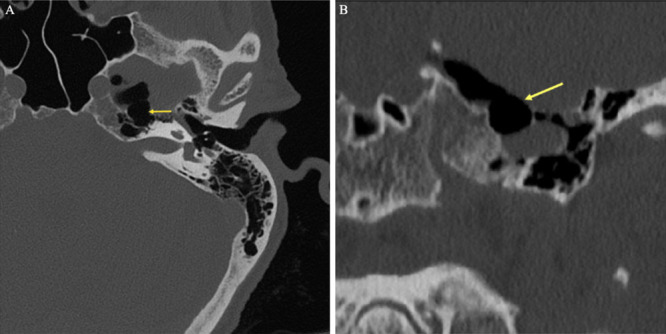
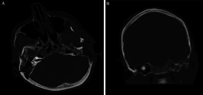
背景:自发性脑气是一种罕见但潜在的严重疾病,通常继发于脑脊液泄漏。脑脊液的流出导致空气向内流动,以弥补损失的体积。脑脊液渗漏通常发生在创伤后,表现为鼻漏或耳漏。通过影像学定位骨缺损和突出内容物是计划手术干预的关键。在本报告中,作者提出的情况下,患者进行性自发性气脑与一个明显的,但无法识别的脑脊液泄漏。观察结果:一位76岁的女性,因进展迅速的自发性气脑而来到笔者所在的医院。该病例的独特之处在于,患者的气颅持续扩大,没有任何颅外脑脊液的影像学指征,这使我们认为脑脊液间歇性地通过咽鼓管漏出并沿患者口咽部向下。考虑到假定的途径,我们选择了保守手术入路来治疗该患者的自发性脑积水,而不是传统的颅中窝或经乳突入路。经验教训:为了修复泄漏,作者尝试了一种更保守的方法,包括关闭外耳道和封堵咽鼓管。一些使用类似手术的研究报告并发症风险较低,术后脑脊液泄漏减少。https://thejns.org/doi/10.3171/CASE24834。
本文章由计算机程序翻译,如有差异,请以英文原文为准。

Life-threatening pneumocephalus from middle ear defect causing cerebrospinal fluid leakage into the eustachian tube: illustrative case.

Life-threatening pneumocephalus from middle ear defect causing cerebrospinal fluid leakage into the eustachian tube: illustrative case.

Life-threatening pneumocephalus from middle ear defect causing cerebrospinal fluid leakage into the eustachian tube: illustrative case.

Life-threatening pneumocephalus from middle ear defect causing cerebrospinal fluid leakage into the eustachian tube: illustrative case.

Background: Spontaneous pneumocephalus is a rare, but potentially serious condition often secondary to a CSF leak. This egress of CSF causes an inward movement of air to replace the lost volume. CSF leaks are typically posttraumatic and present as rhinorrhea or otorrhea. Locating the bony defect and herniating contents through imaging is crucial for planned surgical intervention. In this report, the author present the case of a patient with progressive spontaneous pneumocephalus with an apparent but unidentifiable CSF leak.

Observations: A 76-year-old female presented to the authors' institution with rapidly progressing spontaneous pneumocephalus. This case is unique in that the patient's pneumocephalus continued to expand without any radiological indication of extracranial CSF, leading us to believe that the CSF was intermittently leaking through the eustachian tube and passing down the patient's oropharynx. Given the presumed pathway, an initial conservative surgical approach was chosen for this patient's spontaneous pneumocephalus instead of the traditional middle cranial fossa or transmastoid approach.

Lessons: To repair the leak, the authors attempted a more conservative approach involving closure of the external acoustic meatus and obliteration of the eustachian tube. A few studies using a similar procedure reported a lower risk of complications and reduction in postoperative CSF leaks. https://thejns.org/doi/10.3171/CASE24834.

求助全文
通过发布文献求助,成功后即可免费获取论文全文。 去求助
来源期刊
CiteScore
0.40
自引率
0.00%
发文量
0
×
引用
GB/T 7714-2015
复制
MLA
复制
APA
复制
导出至
BibTeX EndNote RefMan NoteFirst NoteExpress
×
提示
您的信息不完整,为了账户安全,请先补充。
现在去补充
×
提示
您因"违规操作"
具体请查看互助需知
我知道了
×
提示
确定
请完成安全验证×
copy
已复制链接
快去分享给好友吧!
我知道了
右上角分享
点击右上角分享
0
联系我们:info@booksci.cn Book学术提供免费学术资源搜索服务,方便国内外学者检索中英文文献。致力于提供最便捷和优质的服务体验。 Copyright © 2023 布克学术 All rights reserved.
京ICP备2023020795号-1
ghs 京公网安备 11010802042870号
Book学术文献互助
Book学术文献互助群
群 号:604180095
Book学术官方微信