超高海拔地区转移的外伤性脑损伤患者的临床特征和预后:患者系列。

Wenyan Li, Chuan Lan, Yi Zheng, Yi Yin, Binbin Tan, Jishu Xian, Rong Hu, Hua Feng, Tunan Chen, Fei Li
{"title":"超高海拔地区转移的外伤性脑损伤患者的临床特征和预后:患者系列。","authors":"Wenyan Li, Chuan Lan, Yi Zheng, Yi Yin, Binbin Tan, Jishu Xian, Rong Hu, Hua Feng, Tunan Chen, Fei Li","doi":"10.3171/CASE24823","DOIUrl":null,"url":null,"abstract":"<p><strong>Background: </strong>Traumatic brain injury (TBI) patients transferred from high-altitude areas present with unique challenges that complicate the treatment of these patients. This study aims to summarize the clinical characteristics and treatment experience of TBI patients transferred to the authors' center from ultra-high-altitude areas.</p><p><strong>Observations: </strong>The authors conducted a retrospective case series analysis of 10 TBI cases admitted to their center between January 2021 and December 2023. These patients were airlifted from areas > 3500 m above sea level. On admission and at specified intervals up to 30 days postadmission, patients underwent head CT scans, laboratory tests, and posttraumatic stress disorder (PTSD) assessments. Self-care ability scores and psychological assessments were obtained at various time points postdischarge. With a precise and proactive treatment strategy, there was a significant reduction in intracranial hematoma volume, hemoglobin levels, D-dimer, procalcitonin, and serum sodium by the 30th day. The incidence of PTSD was markedly reduced at 6 months postdischarge compared with initial assessments within the 1st week.</p><p><strong>Lessons: </strong>TBI patients transferred from high-altitude areas exhibited persistent intracerebral hematoma, elevated intracranial pressure, relative anemia, hypercoagulation, etc., and thus a precise and proactive treatment would benefit these patients. https://thejns.org/doi/10.3171/CASE24823.</p>","PeriodicalId":94098,"journal":{"name":"Journal of neurosurgery. Case lessons","volume":"10 5","pages":""},"PeriodicalIF":0.0000,"publicationDate":"2025-08-04","publicationTypes":"Journal Article","fieldsOfStudy":null,"isOpenAccess":false,"openAccessPdf":"https://www.ncbi.nlm.nih.gov/pmc/articles/PMC12320725/pdf/","citationCount":"0","resultStr":"{\"title\":\"Clinical characteristics and outcomes of patients with traumatic brain injury transferred from ultra-high-altitude areas: patient series.\",\"authors\":\"Wenyan Li, Chuan Lan, Yi Zheng, Yi Yin, Binbin Tan, Jishu Xian, Rong Hu, Hua Feng, Tunan Chen, Fei Li\",\"doi\":\"10.3171/CASE24823\",\"DOIUrl\":null,\"url\":null,\"abstract\":\"<p><strong>Background: </strong>Traumatic brain injury (TBI) patients transferred from high-altitude areas present with unique challenges that complicate the treatment of these patients. This study aims to summarize the clinical characteristics and treatment experience of TBI patients transferred to the authors' center from ultra-high-altitude areas.</p><p><strong>Observations: </strong>The authors conducted a retrospective case series analysis of 10 TBI cases admitted to their center between January 2021 and December 2023. These patients were airlifted from areas > 3500 m above sea level. On admission and at specified intervals up to 30 days postadmission, patients underwent head CT scans, laboratory tests, and posttraumatic stress disorder (PTSD) assessments. Self-care ability scores and psychological assessments were obtained at various time points postdischarge. With a precise and proactive treatment strategy, there was a significant reduction in intracranial hematoma volume, hemoglobin levels, D-dimer, procalcitonin, and serum sodium by the 30th day. The incidence of PTSD was markedly reduced at 6 months postdischarge compared with initial assessments within the 1st week.</p><p><strong>Lessons: </strong>TBI patients transferred from high-altitude areas exhibited persistent intracerebral hematoma, elevated intracranial pressure, relative anemia, hypercoagulation, etc., and thus a precise and proactive treatment would benefit these patients. https://thejns.org/doi/10.3171/CASE24823.</p>\",\"PeriodicalId\":94098,\"journal\":{\"name\":\"Journal of neurosurgery. Case lessons\",\"volume\":\"10 5\",\"pages\":\"\"},\"PeriodicalIF\":0.0000,\"publicationDate\":\"2025-08-04\",\"publicationTypes\":\"Journal Article\",\"fieldsOfStudy\":null,\"isOpenAccess\":false,\"openAccessPdf\":\"https://www.ncbi.nlm.nih.gov/pmc/articles/PMC12320725/pdf/\",\"citationCount\":\"0\",\"resultStr\":null,\"platform\":\"Semanticscholar\",\"paperid\":null,\"PeriodicalName\":\"Journal of neurosurgery. Case lessons\",\"FirstCategoryId\":\"1085\",\"ListUrlMain\":\"https://doi.org/10.3171/CASE24823\",\"RegionNum\":0,\"RegionCategory\":null,\"ArticlePicture\":[],\"TitleCN\":null,\"AbstractTextCN\":null,\"PMCID\":null,\"EPubDate\":\"\",\"PubModel\":\"\",\"JCR\":\"\",\"JCRName\":\"\",\"Score\":null,\"Total\":0}","platform":"Semanticscholar","paperid":null,"PeriodicalName":"Journal of neurosurgery. Case lessons","FirstCategoryId":"1085","ListUrlMain":"https://doi.org/10.3171/CASE24823","RegionNum":0,"RegionCategory":null,"ArticlePicture":[],"TitleCN":null,"AbstractTextCN":null,"PMCID":null,"EPubDate":"","PubModel":"","JCR":"","JCRName":"","Score":null,"Total":0}
引用次数: 0

摘要

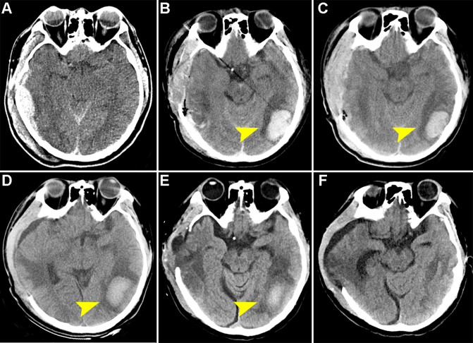
背景:来自高海拔地区的创伤性脑损伤(TBI)患者面临着独特的挑战,使这些患者的治疗复杂化。本研究旨在总结从超高海拔地区转至笔者中心的TBI患者的临床特点及治疗经验。观察:作者对2021年1月至2023年12月期间入院的10例TBI病例进行了回顾性病例系列分析。这些病人是从海拔100 - 3500米的地区空运过来的。在入院时和入院后30天的指定时间间隔内,患者接受头部CT扫描、实验室检查和创伤后应激障碍(PTSD)评估。在出院后各时间点进行自理能力评分和心理评估。通过精确和积极的治疗策略,到第30天,颅内血肿体积、血红蛋白水平、d -二聚体、降钙素原和血清钠显著降低。PTSD的发生率在出院后6个月与第1周内的初始评估相比显著降低。经验教训:高原地区转移的TBI患者表现为持续性脑内血肿、颅内压升高、相对贫血、高凝等,对这些患者进行精准、积极的治疗是有益的。https://thejns.org/doi/10.3171/CASE24823。
本文章由计算机程序翻译,如有差异,请以英文原文为准。

Clinical characteristics and outcomes of patients with traumatic brain injury transferred from ultra-high-altitude areas: patient series.

Clinical characteristics and outcomes of patients with traumatic brain injury transferred from ultra-high-altitude areas: patient series.

Background: Traumatic brain injury (TBI) patients transferred from high-altitude areas present with unique challenges that complicate the treatment of these patients. This study aims to summarize the clinical characteristics and treatment experience of TBI patients transferred to the authors' center from ultra-high-altitude areas.

Observations: The authors conducted a retrospective case series analysis of 10 TBI cases admitted to their center between January 2021 and December 2023. These patients were airlifted from areas > 3500 m above sea level. On admission and at specified intervals up to 30 days postadmission, patients underwent head CT scans, laboratory tests, and posttraumatic stress disorder (PTSD) assessments. Self-care ability scores and psychological assessments were obtained at various time points postdischarge. With a precise and proactive treatment strategy, there was a significant reduction in intracranial hematoma volume, hemoglobin levels, D-dimer, procalcitonin, and serum sodium by the 30th day. The incidence of PTSD was markedly reduced at 6 months postdischarge compared with initial assessments within the 1st week.

Lessons: TBI patients transferred from high-altitude areas exhibited persistent intracerebral hematoma, elevated intracranial pressure, relative anemia, hypercoagulation, etc., and thus a precise and proactive treatment would benefit these patients. https://thejns.org/doi/10.3171/CASE24823.

求助全文
通过发布文献求助,成功后即可免费获取论文全文。 去求助
来源期刊
CiteScore
0.40
自引率
0.00%
发文量
0
×
引用
GB/T 7714-2015
复制
MLA
复制
APA
复制
导出至
BibTeX EndNote RefMan NoteFirst NoteExpress
×
提示
您的信息不完整,为了账户安全,请先补充。
现在去补充
×
提示
您因"违规操作"
具体请查看互助需知
我知道了
×
提示
确定
请完成安全验证×
copy
已复制链接
快去分享给好友吧!
我知道了
右上角分享
点击右上角分享
0
联系我们:info@booksci.cn Book学术提供免费学术资源搜索服务,方便国内外学者检索中英文文献。致力于提供最便捷和优质的服务体验。 Copyright © 2023 布克学术 All rights reserved.
京ICP备2023020795号-1
ghs 京公网安备 11010802042870号
Book学术文献互助
Book学术文献互助群
群 号:604180095
Book学术官方微信