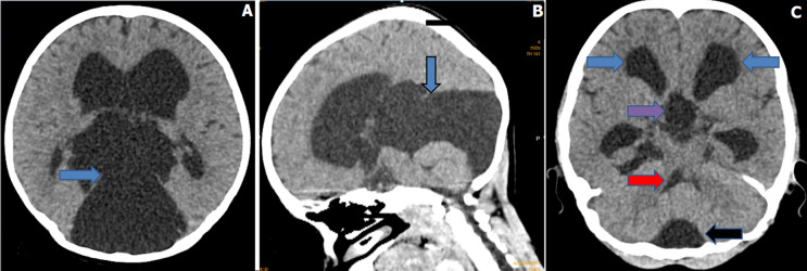
小脑后蛛网膜囊肿引起的异常脑积水保留第四脑室。

IF 1 Q4 PUBLIC, ENVIRONMENTAL & OCCUPATIONAL HEALTH
Pan African Medical Journal Pub Date : 2025-06-04 eCollection Date: 2025-01-01 DOI:10.11604/pamj.2025.51.30.45626
Devyansh Nimodia, Sakshi Dudhe
{"title":"小脑后蛛网膜囊肿引起的异常脑积水保留第四脑室。","authors":"Devyansh Nimodia, Sakshi Dudhe","doi":"10.11604/pamj.2025.51.30.45626","DOIUrl":null,"url":null,"abstract":"","PeriodicalId":48190,"journal":{"name":"Pan African Medical Journal","volume":"51 ","pages":"30"},"PeriodicalIF":1.0000,"publicationDate":"2025-06-04","publicationTypes":"Journal Article","fieldsOfStudy":null,"isOpenAccess":false,"openAccessPdf":"https://www.ncbi.nlm.nih.gov/pmc/articles/PMC12318876/pdf/","citationCount":"0","resultStr":"{\"title\":\"Unusual hydrocephalus from retrocerebellar arachnoid cyst sparing the fourth ventricle.\",\"authors\":\"Devyansh Nimodia, Sakshi Dudhe\",\"doi\":\"10.11604/pamj.2025.51.30.45626\",\"DOIUrl\":null,\"url\":null,\"abstract\":\"\",\"PeriodicalId\":48190,\"journal\":{\"name\":\"Pan African Medical Journal\",\"volume\":\"51 \",\"pages\":\"30\"},\"PeriodicalIF\":1.0000,\"publicationDate\":\"2025-06-04\",\"publicationTypes\":\"Journal Article\",\"fieldsOfStudy\":null,\"isOpenAccess\":false,\"openAccessPdf\":\"https://www.ncbi.nlm.nih.gov/pmc/articles/PMC12318876/pdf/\",\"citationCount\":\"0\",\"resultStr\":null,\"platform\":\"Semanticscholar\",\"paperid\":null,\"PeriodicalName\":\"Pan African Medical Journal\",\"FirstCategoryId\":\"1085\",\"ListUrlMain\":\"https://doi.org/10.11604/pamj.2025.51.30.45626\",\"RegionNum\":0,\"RegionCategory\":null,\"ArticlePicture\":[],\"TitleCN\":null,\"AbstractTextCN\":null,\"PMCID\":null,\"EPubDate\":\"2025/1/1 0:00:00\",\"PubModel\":\"eCollection\",\"JCR\":\"Q4\",\"JCRName\":\"PUBLIC, ENVIRONMENTAL & OCCUPATIONAL HEALTH\",\"Score\":null,\"Total\":0}","platform":"Semanticscholar","paperid":null,"PeriodicalName":"Pan African Medical Journal","FirstCategoryId":"1085","ListUrlMain":"https://doi.org/10.11604/pamj.2025.51.30.45626","RegionNum":0,"RegionCategory":null,"ArticlePicture":[],"TitleCN":null,"AbstractTextCN":null,"PMCID":null,"EPubDate":"2025/1/1 0:00:00","PubModel":"eCollection","JCR":"Q4","JCRName":"PUBLIC, ENVIRONMENTAL & OCCUPATIONAL HEALTH","Score":null,"Total":0}
引用次数: 0

摘要

本文章由计算机程序翻译,如有差异,请以英文原文为准。

Unusual hydrocephalus from retrocerebellar arachnoid cyst sparing the fourth ventricle.

Unusual hydrocephalus from retrocerebellar arachnoid cyst sparing the fourth ventricle.
求助全文
通过发布文献求助,成功后即可免费获取论文全文。 去求助
来源期刊
Pan African Medical Journal
Pan African Medical Journal PUBLIC, ENVIRONMENTAL & OCCUPATIONAL HEALTH-
CiteScore
1.80
自引率
0.00%
发文量
691
×
引用
GB/T 7714-2015
复制
MLA
复制
APA
复制
导出至
BibTeX EndNote RefMan NoteFirst NoteExpress
×
提示
您的信息不完整,为了账户安全,请先补充。
现在去补充
×
提示
您因"违规操作"
具体请查看互助需知
我知道了
×
提示
确定
请完成安全验证×
copy
已复制链接
快去分享给好友吧!
我知道了
右上角分享
点击右上角分享
0
联系我们:info@booksci.cn Book学术提供免费学术资源搜索服务,方便国内外学者检索中英文文献。致力于提供最便捷和优质的服务体验。 Copyright © 2023 布克学术 All rights reserved.
京ICP备2023020795号-1
ghs 京公网安备 11010802042870号
Book学术文献互助
Book学术文献互助群
群 号:604180095
Book学术官方微信