会阴子宫内膜异位症的会阴切口疤痕:基于临床,放射学和激素标准的诊断(病例报告)。

IF 1 Q4 PUBLIC, ENVIRONMENTAL & OCCUPATIONAL HEALTH
Pan African Medical Journal Pub Date : 2025-05-28 eCollection Date: 2025-01-01 DOI:10.11604/pamj.2025.51.25.48002
Abdoulrazak Egueh Nour, Chirwa Mahamoud Abdillahi, Samia Bennani, Ahmed Hared Bouh, Bouknani Nawal, Amal Rami
{"title":"会阴子宫内膜异位症的会阴切口疤痕:基于临床,放射学和激素标准的诊断(病例报告)。","authors":"Abdoulrazak Egueh Nour, Chirwa Mahamoud Abdillahi, Samia Bennani, Ahmed Hared Bouh, Bouknani Nawal, Amal Rami","doi":"10.11604/pamj.2025.51.25.48002","DOIUrl":null,"url":null,"abstract":"<p><p>Endometriosis is a chronic, non-cancerous gynecological disorder that is typically observed in women of fertile age. It describes the presence of functional endometrial components, glands and stroma outside the endometrial cavity, most often involving pelvic structures such as the ovaries, peritoneum, and uterine ligaments. Perineal endometriosis is a rare form of extrapelvic endometriosis, with an estimated incidence of between 0.3% and 1%. We report the case of a 36-year-old woman, gravida 1 para 1(G1P1), with a history of vaginal delivery and no known history of endometriosis, who presented with a painful mass located on the right perineal scar two years after undergoing a mediolateral episiotomy. The mass was associated with cyclical pain and significantly impaired quality of life. Clinical examination, combined with ultrasound and Magnetic Resonance Imaging (MRI), suggested the diagnosis of perineal endometriosis in the absence of other endometriotic lesions. As the patient declined surgery, hormonal therapy was initiated, resulting in marked symptom improvement at 8-month follow-up. Although histological confirmation was not obtained, the typical clinical presentation, evocative MRI features, and favorable response to hormonal therapy supported the diagnosis of perineal endometriosis. This under-recognized entity should be systematically considered in women of reproductive age presenting with cyclical perineal pain following episiotomy.</p>","PeriodicalId":48190,"journal":{"name":"Pan African Medical Journal","volume":"51 ","pages":"25"},"PeriodicalIF":1.0000,"publicationDate":"2025-05-28","publicationTypes":"Journal Article","fieldsOfStudy":null,"isOpenAccess":false,"openAccessPdf":"https://www.ncbi.nlm.nih.gov/pmc/articles/PMC12318870/pdf/","citationCount":"0","resultStr":"{\"title\":\"Perineal endometriosis on an episiotomy scar: diagnosis based on clinical, radiological, and hormonal criteria (case report).\",\"authors\":\"Abdoulrazak Egueh Nour, Chirwa Mahamoud Abdillahi, Samia Bennani, Ahmed Hared Bouh, Bouknani Nawal, Amal Rami\",\"doi\":\"10.11604/pamj.2025.51.25.48002\",\"DOIUrl\":null,\"url\":null,\"abstract\":\"<p><p>Endometriosis is a chronic, non-cancerous gynecological disorder that is typically observed in women of fertile age. It describes the presence of functional endometrial components, glands and stroma outside the endometrial cavity, most often involving pelvic structures such as the ovaries, peritoneum, and uterine ligaments. Perineal endometriosis is a rare form of extrapelvic endometriosis, with an estimated incidence of between 0.3% and 1%. We report the case of a 36-year-old woman, gravida 1 para 1(G1P1), with a history of vaginal delivery and no known history of endometriosis, who presented with a painful mass located on the right perineal scar two years after undergoing a mediolateral episiotomy. The mass was associated with cyclical pain and significantly impaired quality of life. Clinical examination, combined with ultrasound and Magnetic Resonance Imaging (MRI), suggested the diagnosis of perineal endometriosis in the absence of other endometriotic lesions. As the patient declined surgery, hormonal therapy was initiated, resulting in marked symptom improvement at 8-month follow-up. Although histological confirmation was not obtained, the typical clinical presentation, evocative MRI features, and favorable response to hormonal therapy supported the diagnosis of perineal endometriosis. This under-recognized entity should be systematically considered in women of reproductive age presenting with cyclical perineal pain following episiotomy.</p>\",\"PeriodicalId\":48190,\"journal\":{\"name\":\"Pan African Medical Journal\",\"volume\":\"51 \",\"pages\":\"25\"},\"PeriodicalIF\":1.0000,\"publicationDate\":\"2025-05-28\",\"publicationTypes\":\"Journal Article\",\"fieldsOfStudy\":null,\"isOpenAccess\":false,\"openAccessPdf\":\"https://www.ncbi.nlm.nih.gov/pmc/articles/PMC12318870/pdf/\",\"citationCount\":\"0\",\"resultStr\":null,\"platform\":\"Semanticscholar\",\"paperid\":null,\"PeriodicalName\":\"Pan African Medical Journal\",\"FirstCategoryId\":\"1085\",\"ListUrlMain\":\"https://doi.org/10.11604/pamj.2025.51.25.48002\",\"RegionNum\":0,\"RegionCategory\":null,\"ArticlePicture\":[],\"TitleCN\":null,\"AbstractTextCN\":null,\"PMCID\":null,\"EPubDate\":\"2025/1/1 0:00:00\",\"PubModel\":\"eCollection\",\"JCR\":\"Q4\",\"JCRName\":\"PUBLIC, ENVIRONMENTAL & OCCUPATIONAL HEALTH\",\"Score\":null,\"Total\":0}","platform":"Semanticscholar","paperid":null,"PeriodicalName":"Pan African Medical Journal","FirstCategoryId":"1085","ListUrlMain":"https://doi.org/10.11604/pamj.2025.51.25.48002","RegionNum":0,"RegionCategory":null,"ArticlePicture":[],"TitleCN":null,"AbstractTextCN":null,"PMCID":null,"EPubDate":"2025/1/1 0:00:00","PubModel":"eCollection","JCR":"Q4","JCRName":"PUBLIC, ENVIRONMENTAL & OCCUPATIONAL HEALTH","Score":null,"Total":0}
引用次数: 0

摘要

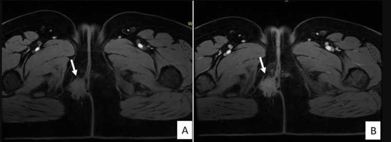
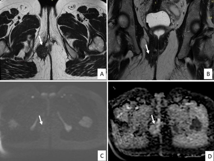
子宫内膜异位症是一种慢性非癌性妇科疾病,通常见于育龄妇女。它描述了子宫内膜腔外存在功能性子宫内膜成分、腺体和间质,最常涉及卵巢、腹膜和子宫韧带等盆腔结构。会阴子宫内膜异位症是一种罕见的盆腔外子宫内膜异位症,估计发病率在0.3%至1%之间。我们报告了一例36岁的孕妇,妊娠1段(G1P1),有阴道分娩史,没有子宫内膜异位症的病史,在接受会阴中外侧切开术两年后,出现了位于右侧会阴疤痕的疼痛肿块。肿块与周期性疼痛和生活质量明显受损有关。临床检查,结合超声和磁共振成像(MRI),建议在没有其他子宫内膜异位症病变的情况下诊断会阴子宫内膜异位症。由于患者拒绝手术,开始激素治疗,在8个月的随访中症状明显改善。虽然没有获得组织学证实,但典型的临床表现,令人回味的MRI特征以及对激素治疗的良好反应支持会阴子宫内膜异位症的诊断。在会阴切开术后出现周期性会阴疼痛的育龄妇女中,应系统地考虑这一未被充分认识的实体。
本文章由计算机程序翻译,如有差异,请以英文原文为准。

Perineal endometriosis on an episiotomy scar: diagnosis based on clinical, radiological, and hormonal criteria (case report).

Perineal endometriosis on an episiotomy scar: diagnosis based on clinical, radiological, and hormonal criteria (case report).

Perineal endometriosis on an episiotomy scar: diagnosis based on clinical, radiological, and hormonal criteria (case report).

Perineal endometriosis on an episiotomy scar: diagnosis based on clinical, radiological, and hormonal criteria (case report).

Endometriosis is a chronic, non-cancerous gynecological disorder that is typically observed in women of fertile age. It describes the presence of functional endometrial components, glands and stroma outside the endometrial cavity, most often involving pelvic structures such as the ovaries, peritoneum, and uterine ligaments. Perineal endometriosis is a rare form of extrapelvic endometriosis, with an estimated incidence of between 0.3% and 1%. We report the case of a 36-year-old woman, gravida 1 para 1(G1P1), with a history of vaginal delivery and no known history of endometriosis, who presented with a painful mass located on the right perineal scar two years after undergoing a mediolateral episiotomy. The mass was associated with cyclical pain and significantly impaired quality of life. Clinical examination, combined with ultrasound and Magnetic Resonance Imaging (MRI), suggested the diagnosis of perineal endometriosis in the absence of other endometriotic lesions. As the patient declined surgery, hormonal therapy was initiated, resulting in marked symptom improvement at 8-month follow-up. Although histological confirmation was not obtained, the typical clinical presentation, evocative MRI features, and favorable response to hormonal therapy supported the diagnosis of perineal endometriosis. This under-recognized entity should be systematically considered in women of reproductive age presenting with cyclical perineal pain following episiotomy.

求助全文
通过发布文献求助,成功后即可免费获取论文全文。 去求助
来源期刊
Pan African Medical Journal
Pan African Medical Journal PUBLIC, ENVIRONMENTAL & OCCUPATIONAL HEALTH-
CiteScore
1.80
自引率
0.00%
发文量
691
×
引用
GB/T 7714-2015
复制
MLA
复制
APA
复制
导出至
BibTeX EndNote RefMan NoteFirst NoteExpress
×
提示
您的信息不完整,为了账户安全,请先补充。
现在去补充
×
提示
您因"违规操作"
具体请查看互助需知
我知道了
×
提示
确定
请完成安全验证×
copy
已复制链接
快去分享给好友吧!
我知道了
右上角分享
点击右上角分享
0
联系我们:info@booksci.cn Book学术提供免费学术资源搜索服务,方便国内外学者检索中英文文献。致力于提供最便捷和优质的服务体验。 Copyright © 2023 布克学术 All rights reserved.
京ICP备2023020795号-1
ghs 京公网安备 11010802042870号
Book学术文献互助
Book学术文献互助群
群 号:604180095
Book学术官方微信