egfr - tki诱导的NSCLC向SCLC转化的异质性和耐药机制的共现性:1例报告

IF 0.7 Q3 MEDICINE, GENERAL & INTERNAL
AME Case Reports Pub Date : 2025-06-18 eCollection Date: 2025-01-01 DOI:10.21037/acr-24-67
Xiaoli Liu, Lijuan Zhang, Guohui Cao, Ke Xu, Juan Wang, Hongtao Zhang
{"title":"egfr - tki诱导的NSCLC向SCLC转化的异质性和耐药机制的共现性:1例报告","authors":"Xiaoli Liu, Lijuan Zhang, Guohui Cao, Ke Xu, Juan Wang, Hongtao Zhang","doi":"10.21037/acr-24-67","DOIUrl":null,"url":null,"abstract":"<p><strong>Background: </strong>Transformation into small-cell lung carcinoma (SCLC) is a common acquired resistance mechanism to epidermal growth factor receptor (EGFR) tyrosine kinase inhibitors (TKIs). Re-tumor biopsy is crucial for identifying the definite tumor resistance mechanism. However, multiple mechanisms may occur simultaneously during TKI treatment. A single biopsy specimen is insufficient to accurately represent all resistance mechanisms at progressive sites.</p><p><strong>Case description: </strong>In this case, we present a 58-year-old male with metastatic pulmonary adenocarcinoma (ADC) who had an EGFR exon 19 mutation and received first-line gefitinib and second-line osimertinib. Biopsy results from different progressive sites confirmed the presence of SCLC in pleural metastatic specimens, while the primary tumor had the EGFR exon 19 mutation and mutations ofPhosphatidylinositol-4,5-bisphosphate 3-kinase catalytic subunit alpha (PIK3CA) andv-Ki-ras2-Kirsten rat sarcoma viral oncogene homolog (KRAS). We utilized an effective combination therapy of permanent radioactive iodine-125 seed implantation (PRISI) as local consolidative therapy (LCT), along with the standard carboplatin-etoposide regimen for SCLC and continued osimertinib. Extracranial tumors were successfully controlled. The patient succumbed to intracranial disease progression without radiotherapy, with an overall survival (OS) of 15 months after SCLC transformation.</p><p><strong>Conclusions: </strong>Confirming SCLC transformation from a single site alone through biopsy may not provide a comprehensive understanding of the resistance mechanisms underlying progression at all sites. This highlights the significance of combined treatment strategies, particularly with LCT, for heterogeneous tumors in SCLC transformation.</p>","PeriodicalId":29752,"journal":{"name":"AME Case Reports","volume":"9 ","pages":"85"},"PeriodicalIF":0.7000,"publicationDate":"2025-06-18","publicationTypes":"Journal Article","fieldsOfStudy":null,"isOpenAccess":false,"openAccessPdf":"https://www.ncbi.nlm.nih.gov/pmc/articles/PMC12319610/pdf/","citationCount":"0","resultStr":"{\"title\":\"Heterogeneity and co-occurrence of resistance mechanisms in EGFR-TKI-induced NSCLC to SCLC transformation: a case report.\",\"authors\":\"Xiaoli Liu, Lijuan Zhang, Guohui Cao, Ke Xu, Juan Wang, Hongtao Zhang\",\"doi\":\"10.21037/acr-24-67\",\"DOIUrl\":null,\"url\":null,\"abstract\":\"<p><strong>Background: </strong>Transformation into small-cell lung carcinoma (SCLC) is a common acquired resistance mechanism to epidermal growth factor receptor (EGFR) tyrosine kinase inhibitors (TKIs). Re-tumor biopsy is crucial for identifying the definite tumor resistance mechanism. However, multiple mechanisms may occur simultaneously during TKI treatment. A single biopsy specimen is insufficient to accurately represent all resistance mechanisms at progressive sites.</p><p><strong>Case description: </strong>In this case, we present a 58-year-old male with metastatic pulmonary adenocarcinoma (ADC) who had an EGFR exon 19 mutation and received first-line gefitinib and second-line osimertinib. Biopsy results from different progressive sites confirmed the presence of SCLC in pleural metastatic specimens, while the primary tumor had the EGFR exon 19 mutation and mutations ofPhosphatidylinositol-4,5-bisphosphate 3-kinase catalytic subunit alpha (PIK3CA) andv-Ki-ras2-Kirsten rat sarcoma viral oncogene homolog (KRAS). We utilized an effective combination therapy of permanent radioactive iodine-125 seed implantation (PRISI) as local consolidative therapy (LCT), along with the standard carboplatin-etoposide regimen for SCLC and continued osimertinib. Extracranial tumors were successfully controlled. The patient succumbed to intracranial disease progression without radiotherapy, with an overall survival (OS) of 15 months after SCLC transformation.</p><p><strong>Conclusions: </strong>Confirming SCLC transformation from a single site alone through biopsy may not provide a comprehensive understanding of the resistance mechanisms underlying progression at all sites. This highlights the significance of combined treatment strategies, particularly with LCT, for heterogeneous tumors in SCLC transformation.</p>\",\"PeriodicalId\":29752,\"journal\":{\"name\":\"AME Case Reports\",\"volume\":\"9 \",\"pages\":\"85\"},\"PeriodicalIF\":0.7000,\"publicationDate\":\"2025-06-18\",\"publicationTypes\":\"Journal Article\",\"fieldsOfStudy\":null,\"isOpenAccess\":false,\"openAccessPdf\":\"https://www.ncbi.nlm.nih.gov/pmc/articles/PMC12319610/pdf/\",\"citationCount\":\"0\",\"resultStr\":null,\"platform\":\"Semanticscholar\",\"paperid\":null,\"PeriodicalName\":\"AME Case Reports\",\"FirstCategoryId\":\"1085\",\"ListUrlMain\":\"https://doi.org/10.21037/acr-24-67\",\"RegionNum\":0,\"RegionCategory\":null,\"ArticlePicture\":[],\"TitleCN\":null,\"AbstractTextCN\":null,\"PMCID\":null,\"EPubDate\":\"2025/1/1 0:00:00\",\"PubModel\":\"eCollection\",\"JCR\":\"Q3\",\"JCRName\":\"MEDICINE, GENERAL & INTERNAL\",\"Score\":null,\"Total\":0}","platform":"Semanticscholar","paperid":null,"PeriodicalName":"AME Case Reports","FirstCategoryId":"1085","ListUrlMain":"https://doi.org/10.21037/acr-24-67","RegionNum":0,"RegionCategory":null,"ArticlePicture":[],"TitleCN":null,"AbstractTextCN":null,"PMCID":null,"EPubDate":"2025/1/1 0:00:00","PubModel":"eCollection","JCR":"Q3","JCRName":"MEDICINE, GENERAL & INTERNAL","Score":null,"Total":0}
引用次数: 0

摘要

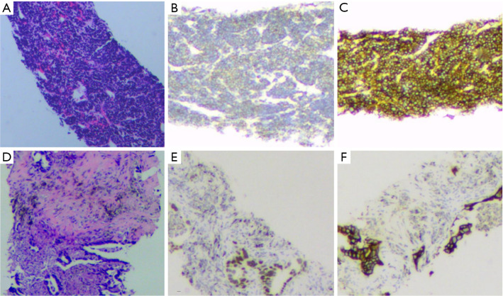
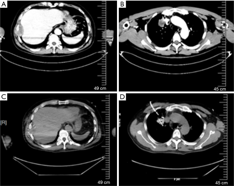
背景:转化为小细胞肺癌(SCLC)是对表皮生长因子受体(EGFR)酪氨酸激酶抑制剂(TKIs)的常见获得性耐药机制。肿瘤再活检对于明确肿瘤耐药机制至关重要。然而,在TKI治疗期间,多种机制可能同时发生。单个活检标本不足以准确反映进展部位的所有耐药机制。病例描述:在本病例中,我们报告了一位58岁的男性转移性肺腺癌(ADC)患者,他有EGFR外显子19突变,并接受了一线吉非替尼和二线奥西替尼治疗。来自不同进展部位的活检结果证实胸膜转移标本中存在SCLC,而原发肿瘤具有EGFR外显子19突变和磷脂酰肌醇-4,5-二磷酸3-激酶催化亚基α (PIK3CA)和v- ki -ras2- kirsten大鼠肉瘤病毒癌基因同源物(KRAS)突变。我们使用永久性放射性碘125粒子植入(PRISI)作为局部巩固治疗(LCT)的有效联合治疗,以及SCLC的标准卡铂-依托泊苷方案和持续的奥西替尼。颅外肿瘤得到成功控制。患者在没有放疗的情况下死于颅内疾病进展,SCLC转化后的总生存期(OS)为15个月。结论:通过活检确认单个部位的SCLC转化可能无法全面了解所有部位进展的耐药机制。这突出了联合治疗策略的重要性,特别是与LCT,异质性肿瘤的SCLC转化。
本文章由计算机程序翻译,如有差异,请以英文原文为准。

Heterogeneity and co-occurrence of resistance mechanisms in EGFR-TKI-induced NSCLC to SCLC transformation: a case report.

Heterogeneity and co-occurrence of resistance mechanisms in EGFR-TKI-induced NSCLC to SCLC transformation: a case report.

Heterogeneity and co-occurrence of resistance mechanisms in EGFR-TKI-induced NSCLC to SCLC transformation: a case report.

Heterogeneity and co-occurrence of resistance mechanisms in EGFR-TKI-induced NSCLC to SCLC transformation: a case report.

Background: Transformation into small-cell lung carcinoma (SCLC) is a common acquired resistance mechanism to epidermal growth factor receptor (EGFR) tyrosine kinase inhibitors (TKIs). Re-tumor biopsy is crucial for identifying the definite tumor resistance mechanism. However, multiple mechanisms may occur simultaneously during TKI treatment. A single biopsy specimen is insufficient to accurately represent all resistance mechanisms at progressive sites.

Case description: In this case, we present a 58-year-old male with metastatic pulmonary adenocarcinoma (ADC) who had an EGFR exon 19 mutation and received first-line gefitinib and second-line osimertinib. Biopsy results from different progressive sites confirmed the presence of SCLC in pleural metastatic specimens, while the primary tumor had the EGFR exon 19 mutation and mutations ofPhosphatidylinositol-4,5-bisphosphate 3-kinase catalytic subunit alpha (PIK3CA) andv-Ki-ras2-Kirsten rat sarcoma viral oncogene homolog (KRAS). We utilized an effective combination therapy of permanent radioactive iodine-125 seed implantation (PRISI) as local consolidative therapy (LCT), along with the standard carboplatin-etoposide regimen for SCLC and continued osimertinib. Extracranial tumors were successfully controlled. The patient succumbed to intracranial disease progression without radiotherapy, with an overall survival (OS) of 15 months after SCLC transformation.

Conclusions: Confirming SCLC transformation from a single site alone through biopsy may not provide a comprehensive understanding of the resistance mechanisms underlying progression at all sites. This highlights the significance of combined treatment strategies, particularly with LCT, for heterogeneous tumors in SCLC transformation.

求助全文
通过发布文献求助,成功后即可免费获取论文全文。 去求助
来源期刊
自引率
0.00%
发文量
0
×
引用
GB/T 7714-2015
复制
MLA
复制
APA
复制
导出至
BibTeX EndNote RefMan NoteFirst NoteExpress
×
提示
您的信息不完整,为了账户安全,请先补充。
现在去补充
×
提示
您因"违规操作"
具体请查看互助需知
我知道了
×
提示
确定
请完成安全验证×
copy
已复制链接
快去分享给好友吧!
我知道了
右上角分享
点击右上角分享
0
联系我们:info@booksci.cn Book学术提供免费学术资源搜索服务,方便国内外学者检索中英文文献。致力于提供最便捷和优质的服务体验。 Copyright © 2023 布克学术 All rights reserved.
京ICP备2023020795号-1
ghs 京公网安备 11010802042870号
Book学术文献互助
Book学术文献互助群
群 号:604180095
Book学术官方微信