胃束带调整导管脱位及结肠穿孔1例。

IF 0.7 Q3 MEDICINE, GENERAL & INTERNAL
AME Case Reports Pub Date : 2025-06-19 eCollection Date: 2025-01-01 DOI:10.21037/acr-24-240
György Gyimesi, Stefan Kormann, Markus Müller, Dominik Müller, Michael Christian Sulz
{"title":"胃束带调整导管脱位及结肠穿孔1例。","authors":"György Gyimesi, Stefan Kormann, Markus Müller, Dominik Müller, Michael Christian Sulz","doi":"10.21037/acr-24-240","DOIUrl":null,"url":null,"abstract":"<p><strong>Background: </strong>Laparoscopic adjustable gastric banding is a safe and effective method in bariatric surgery. Complications, which are relatively rare (10-20%), are related either to the band such as band slippage, pouch dilation, band erosion, intraluminal band migration or to the port-adjustment-tube system such as infection, tube disconnection and dislocation. Dislocation of the adjustment catheter perforating into the colon is extremely rare, our present case is the third publication on this complication.</p><p><strong>Case description: </strong>In our present case, we report on an asymptomatic patient with intraluminal penetration of the dislodged adjustment tube into the colon 26 years after implantation of a gastric banding system. We revealed the complication randomly by positron emission tomography-computed tomography (PET-CT) in the course of a tumor staging of a newly diagnosed lung cancer. The gastric band was removed laparoscopically, the adjustment tube however, had to be cut through due to extended adhesions and could only partially be removed. The rest of the catheter passed spontaneously via rectum on the following day.</p><p><strong>Conclusions: </strong>Intraluminal penetration of the dislodged adjustment tube into the colon is extremely rare and may be asymptomatic such as in case of our patient. Other relevant complications after gastric band implantation may also remain undetected. During long-term follow up, occasionally performed imaging should be considered also in asymptomatic patients with implanted gastric banding system.</p>","PeriodicalId":29752,"journal":{"name":"AME Case Reports","volume":"9 ","pages":"78"},"PeriodicalIF":0.7000,"publicationDate":"2025-06-19","publicationTypes":"Journal Article","fieldsOfStudy":null,"isOpenAccess":false,"openAccessPdf":"https://www.ncbi.nlm.nih.gov/pmc/articles/PMC12319585/pdf/","citationCount":"0","resultStr":"{\"title\":\"Gastric banding adjustment catheter dislodgement and perforation into the colon: case report.\",\"authors\":\"György Gyimesi, Stefan Kormann, Markus Müller, Dominik Müller, Michael Christian Sulz\",\"doi\":\"10.21037/acr-24-240\",\"DOIUrl\":null,\"url\":null,\"abstract\":\"<p><strong>Background: </strong>Laparoscopic adjustable gastric banding is a safe and effective method in bariatric surgery. Complications, which are relatively rare (10-20%), are related either to the band such as band slippage, pouch dilation, band erosion, intraluminal band migration or to the port-adjustment-tube system such as infection, tube disconnection and dislocation. Dislocation of the adjustment catheter perforating into the colon is extremely rare, our present case is the third publication on this complication.</p><p><strong>Case description: </strong>In our present case, we report on an asymptomatic patient with intraluminal penetration of the dislodged adjustment tube into the colon 26 years after implantation of a gastric banding system. We revealed the complication randomly by positron emission tomography-computed tomography (PET-CT) in the course of a tumor staging of a newly diagnosed lung cancer. The gastric band was removed laparoscopically, the adjustment tube however, had to be cut through due to extended adhesions and could only partially be removed. The rest of the catheter passed spontaneously via rectum on the following day.</p><p><strong>Conclusions: </strong>Intraluminal penetration of the dislodged adjustment tube into the colon is extremely rare and may be asymptomatic such as in case of our patient. Other relevant complications after gastric band implantation may also remain undetected. During long-term follow up, occasionally performed imaging should be considered also in asymptomatic patients with implanted gastric banding system.</p>\",\"PeriodicalId\":29752,\"journal\":{\"name\":\"AME Case Reports\",\"volume\":\"9 \",\"pages\":\"78\"},\"PeriodicalIF\":0.7000,\"publicationDate\":\"2025-06-19\",\"publicationTypes\":\"Journal Article\",\"fieldsOfStudy\":null,\"isOpenAccess\":false,\"openAccessPdf\":\"https://www.ncbi.nlm.nih.gov/pmc/articles/PMC12319585/pdf/\",\"citationCount\":\"0\",\"resultStr\":null,\"platform\":\"Semanticscholar\",\"paperid\":null,\"PeriodicalName\":\"AME Case Reports\",\"FirstCategoryId\":\"1085\",\"ListUrlMain\":\"https://doi.org/10.21037/acr-24-240\",\"RegionNum\":0,\"RegionCategory\":null,\"ArticlePicture\":[],\"TitleCN\":null,\"AbstractTextCN\":null,\"PMCID\":null,\"EPubDate\":\"2025/1/1 0:00:00\",\"PubModel\":\"eCollection\",\"JCR\":\"Q3\",\"JCRName\":\"MEDICINE, GENERAL & INTERNAL\",\"Score\":null,\"Total\":0}","platform":"Semanticscholar","paperid":null,"PeriodicalName":"AME Case Reports","FirstCategoryId":"1085","ListUrlMain":"https://doi.org/10.21037/acr-24-240","RegionNum":0,"RegionCategory":null,"ArticlePicture":[],"TitleCN":null,"AbstractTextCN":null,"PMCID":null,"EPubDate":"2025/1/1 0:00:00","PubModel":"eCollection","JCR":"Q3","JCRName":"MEDICINE, GENERAL & INTERNAL","Score":null,"Total":0}
引用次数: 0

摘要

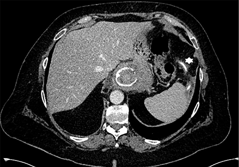
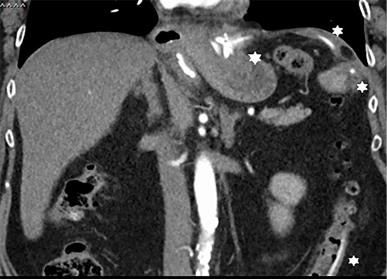
背景:腹腔镜可调节胃束带是一种安全有效的减肥手术方法。并发症相对罕见(10-20%),与带滑脱、眼袋扩张、带糜烂、腔内带移位或与口-调节管系统有关,如感染、管断开和脱位。调整导管穿入结肠的脱位是极为罕见的,我们的病例是第三次发表这种并发症。病例描述:在我们的病例中,我们报告了一位无症状的患者,在胃束带系统植入26年后,腔内插入移位的调整管进入结肠。我们通过正电子发射断层扫描-计算机断层扫描(PET-CT)随机揭示了新诊断的肺癌在肿瘤分期过程中的并发症。腹腔镜下切除胃带,但由于粘连延长,调整管必须切开,只能部分切除。其余导尿管于次日自行经直肠排出。结论:移位的调整管在腔内穿透进入结肠是极为罕见的,可能是无症状的,如我们的病例。胃束植入术后的其他相关并发症也可能未被发现。在长期随访中,对于植入胃束带系统的无症状患者,也应考虑偶尔进行影像学检查。
本文章由计算机程序翻译,如有差异,请以英文原文为准。

Gastric banding adjustment catheter dislodgement and perforation into the colon: case report.

Gastric banding adjustment catheter dislodgement and perforation into the colon: case report.

Gastric banding adjustment catheter dislodgement and perforation into the colon: case report.

Gastric banding adjustment catheter dislodgement and perforation into the colon: case report.

Background: Laparoscopic adjustable gastric banding is a safe and effective method in bariatric surgery. Complications, which are relatively rare (10-20%), are related either to the band such as band slippage, pouch dilation, band erosion, intraluminal band migration or to the port-adjustment-tube system such as infection, tube disconnection and dislocation. Dislocation of the adjustment catheter perforating into the colon is extremely rare, our present case is the third publication on this complication.

Case description: In our present case, we report on an asymptomatic patient with intraluminal penetration of the dislodged adjustment tube into the colon 26 years after implantation of a gastric banding system. We revealed the complication randomly by positron emission tomography-computed tomography (PET-CT) in the course of a tumor staging of a newly diagnosed lung cancer. The gastric band was removed laparoscopically, the adjustment tube however, had to be cut through due to extended adhesions and could only partially be removed. The rest of the catheter passed spontaneously via rectum on the following day.

Conclusions: Intraluminal penetration of the dislodged adjustment tube into the colon is extremely rare and may be asymptomatic such as in case of our patient. Other relevant complications after gastric band implantation may also remain undetected. During long-term follow up, occasionally performed imaging should be considered also in asymptomatic patients with implanted gastric banding system.

求助全文
通过发布文献求助,成功后即可免费获取论文全文。 去求助
来源期刊
自引率
0.00%
发文量
0
×
引用
GB/T 7714-2015
复制
MLA
复制
APA
复制
导出至
BibTeX EndNote RefMan NoteFirst NoteExpress
×
提示
您的信息不完整,为了账户安全,请先补充。
现在去补充
×
提示
您因"违规操作"
具体请查看互助需知
我知道了
×
提示
确定
请完成安全验证×
copy
已复制链接
快去分享给好友吧!
我知道了
右上角分享
点击右上角分享
0
联系我们:info@booksci.cn Book学术提供免费学术资源搜索服务,方便国内外学者检索中英文文献。致力于提供最便捷和优质的服务体验。 Copyright © 2023 布克学术 All rights reserved.
京ICP备2023020795号-1
ghs 京公网安备 11010802042870号
Book学术文献互助
Book学术文献互助群
群 号:604180095
Book学术官方微信