青少年钝性胸主动脉损伤的血管内治疗一例报告。

IF 0.7 Q3 MEDICINE, GENERAL & INTERNAL
AME Case Reports Pub Date : 2025-07-15 eCollection Date: 2025-01-01 DOI:10.21037/acr-24-233
Xue Luo, Feng Ni, Xiao-Dong Wang, Jin-Jin Qin, Xing-Xing Bie
{"title":"青少年钝性胸主动脉损伤的血管内治疗一例报告。","authors":"Xue Luo, Feng Ni, Xiao-Dong Wang, Jin-Jin Qin, Xing-Xing Bie","doi":"10.21037/acr-24-233","DOIUrl":null,"url":null,"abstract":"<p><strong>Background: </strong>Blunt thoracic aortic injury (BTAI) in adolescents is a rare but life-threatening condition associated with a high mortality rate. Patients with BTAI often present with multiple severe injuries, which can complicate the use of traditional surgical approaches. While thoracic endovascular aortic repair (TEVAR) has become a standard treatment for traumatic aortic injuries in adults, its application in pediatric cases remains relatively uncommon and is primarily supported by limited case reports. Furthermore, medium- and long-term follow-up data are lacking. We report the case of a 16-year-old male with BTAI and multiple organ injuries who was successfully treated with TEVAR and remained complication-free during a 69-month follow-up period.</p><p><strong>Case description: </strong>A 16-year-old male sustained severe multisystem organ injuries after a fall from a five-story building. The patient was critically ill and required intubation during transport. Emergency computed tomography (CT) revealed extensive injuries, including: a descending aorta injury with pseudoaneurysm, bilateral pulmonary contusions with moderate left hemothorax, right pneumothorax, retroperitoneal effusion, right renal contusion with perirenal hematoma, Fractures of the skull base, upper and lower jaw, lumbar spine, sacrum fractures, and severe open wounds in the mouth, right knee joint, and bilateral heels. A multidisciplinary team determined that aortic injury repair should be prioritized. We ultimately performed an unconventional endovascular aortic repair in this adolescent patient. The procedure was completed efficiently without complications, and subsequent interventions successfully addressed the remaining injuries. The patient required a total hospital stay of 733 days and underwent 13 surgical procedures before being successfully discharged following rehabilitation. As of September 2024, the patient remains alive with no complications related to the arterial injury.</p><p><strong>Conclusions: </strong>TEVAR represents a safe and viable short-term treatment option for adolescents with multiple traumatic injuries. The 69-month follow-up in this case confirms procedural success and suggests the effectiveness of TEVAR in this patient population.</p>","PeriodicalId":29752,"journal":{"name":"AME Case Reports","volume":"9 ","pages":"104"},"PeriodicalIF":0.7000,"publicationDate":"2025-07-15","publicationTypes":"Journal Article","fieldsOfStudy":null,"isOpenAccess":false,"openAccessPdf":"https://www.ncbi.nlm.nih.gov/pmc/articles/PMC12319602/pdf/","citationCount":"0","resultStr":"{\"title\":\"Endovascular treatment of a blunt thoracic aortic injury in adolescents: a case report.\",\"authors\":\"Xue Luo, Feng Ni, Xiao-Dong Wang, Jin-Jin Qin, Xing-Xing Bie\",\"doi\":\"10.21037/acr-24-233\",\"DOIUrl\":null,\"url\":null,\"abstract\":\"<p><strong>Background: </strong>Blunt thoracic aortic injury (BTAI) in adolescents is a rare but life-threatening condition associated with a high mortality rate. Patients with BTAI often present with multiple severe injuries, which can complicate the use of traditional surgical approaches. While thoracic endovascular aortic repair (TEVAR) has become a standard treatment for traumatic aortic injuries in adults, its application in pediatric cases remains relatively uncommon and is primarily supported by limited case reports. Furthermore, medium- and long-term follow-up data are lacking. We report the case of a 16-year-old male with BTAI and multiple organ injuries who was successfully treated with TEVAR and remained complication-free during a 69-month follow-up period.</p><p><strong>Case description: </strong>A 16-year-old male sustained severe multisystem organ injuries after a fall from a five-story building. The patient was critically ill and required intubation during transport. Emergency computed tomography (CT) revealed extensive injuries, including: a descending aorta injury with pseudoaneurysm, bilateral pulmonary contusions with moderate left hemothorax, right pneumothorax, retroperitoneal effusion, right renal contusion with perirenal hematoma, Fractures of the skull base, upper and lower jaw, lumbar spine, sacrum fractures, and severe open wounds in the mouth, right knee joint, and bilateral heels. A multidisciplinary team determined that aortic injury repair should be prioritized. We ultimately performed an unconventional endovascular aortic repair in this adolescent patient. The procedure was completed efficiently without complications, and subsequent interventions successfully addressed the remaining injuries. The patient required a total hospital stay of 733 days and underwent 13 surgical procedures before being successfully discharged following rehabilitation. As of September 2024, the patient remains alive with no complications related to the arterial injury.</p><p><strong>Conclusions: </strong>TEVAR represents a safe and viable short-term treatment option for adolescents with multiple traumatic injuries. The 69-month follow-up in this case confirms procedural success and suggests the effectiveness of TEVAR in this patient population.</p>\",\"PeriodicalId\":29752,\"journal\":{\"name\":\"AME Case Reports\",\"volume\":\"9 \",\"pages\":\"104\"},\"PeriodicalIF\":0.7000,\"publicationDate\":\"2025-07-15\",\"publicationTypes\":\"Journal Article\",\"fieldsOfStudy\":null,\"isOpenAccess\":false,\"openAccessPdf\":\"https://www.ncbi.nlm.nih.gov/pmc/articles/PMC12319602/pdf/\",\"citationCount\":\"0\",\"resultStr\":null,\"platform\":\"Semanticscholar\",\"paperid\":null,\"PeriodicalName\":\"AME Case Reports\",\"FirstCategoryId\":\"1085\",\"ListUrlMain\":\"https://doi.org/10.21037/acr-24-233\",\"RegionNum\":0,\"RegionCategory\":null,\"ArticlePicture\":[],\"TitleCN\":null,\"AbstractTextCN\":null,\"PMCID\":null,\"EPubDate\":\"2025/1/1 0:00:00\",\"PubModel\":\"eCollection\",\"JCR\":\"Q3\",\"JCRName\":\"MEDICINE, GENERAL & INTERNAL\",\"Score\":null,\"Total\":0}","platform":"Semanticscholar","paperid":null,"PeriodicalName":"AME Case Reports","FirstCategoryId":"1085","ListUrlMain":"https://doi.org/10.21037/acr-24-233","RegionNum":0,"RegionCategory":null,"ArticlePicture":[],"TitleCN":null,"AbstractTextCN":null,"PMCID":null,"EPubDate":"2025/1/1 0:00:00","PubModel":"eCollection","JCR":"Q3","JCRName":"MEDICINE, GENERAL & INTERNAL","Score":null,"Total":0}
引用次数: 0

摘要

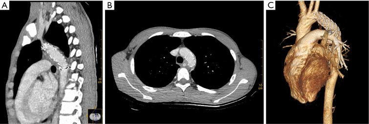
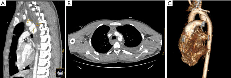
背景:青少年钝性胸主动脉损伤(BTAI)是一种罕见但危及生命的疾病,死亡率高。BTAI患者通常伴有多处严重损伤,这使传统手术方法的使用复杂化。虽然胸椎血管内主动脉修复术(TEVAR)已成为成人外伤性主动脉损伤的标准治疗方法,但其在儿科病例中的应用仍然相对罕见,并且主要由有限的病例报告支持。此外,缺乏中长期随访数据。我们报告一例16岁的男性BTAI和多器官损伤,他成功地接受了TEVAR治疗,并在69个月的随访期间保持无并发症。病例描述:一名16岁男性从五层楼坠下后,多系统器官严重损伤。患者病情危重,在转运过程中需要插管。急诊计算机断层扫描(CT)显示广泛的损伤,包括:降主动脉损伤伴假性动脉瘤,双侧肺挫伤伴中度左血胸,右气胸,腹膜后积液,右侧肾挫伤伴肾周血肿,颅底骨折,上下颌骨骨折,腰椎骨折,骶骨骨折,以及口腔,右膝关节和双侧脚跟的严重开放性伤口。一个多学科的团队确定主动脉损伤修复应优先考虑。我们最终对这名青少年患者进行了非常规的血管内主动脉修复。手术顺利完成,无并发症,后续干预措施成功解决了剩余损伤。患者总共住院733天,接受了13次外科手术,在康复后成功出院。截至2024年9月,患者仍然存活,没有与动脉损伤相关的并发症。结论:TEVAR是青少年多发创伤的一种安全可行的短期治疗选择。该病例69个月的随访证实了手术成功,并表明TEVAR在该患者群体中的有效性。
本文章由计算机程序翻译,如有差异,请以英文原文为准。

Endovascular treatment of a blunt thoracic aortic injury in adolescents: a case report.

Endovascular treatment of a blunt thoracic aortic injury in adolescents: a case report.

Endovascular treatment of a blunt thoracic aortic injury in adolescents: a case report.

Endovascular treatment of a blunt thoracic aortic injury in adolescents: a case report.

Background: Blunt thoracic aortic injury (BTAI) in adolescents is a rare but life-threatening condition associated with a high mortality rate. Patients with BTAI often present with multiple severe injuries, which can complicate the use of traditional surgical approaches. While thoracic endovascular aortic repair (TEVAR) has become a standard treatment for traumatic aortic injuries in adults, its application in pediatric cases remains relatively uncommon and is primarily supported by limited case reports. Furthermore, medium- and long-term follow-up data are lacking. We report the case of a 16-year-old male with BTAI and multiple organ injuries who was successfully treated with TEVAR and remained complication-free during a 69-month follow-up period.

Case description: A 16-year-old male sustained severe multisystem organ injuries after a fall from a five-story building. The patient was critically ill and required intubation during transport. Emergency computed tomography (CT) revealed extensive injuries, including: a descending aorta injury with pseudoaneurysm, bilateral pulmonary contusions with moderate left hemothorax, right pneumothorax, retroperitoneal effusion, right renal contusion with perirenal hematoma, Fractures of the skull base, upper and lower jaw, lumbar spine, sacrum fractures, and severe open wounds in the mouth, right knee joint, and bilateral heels. A multidisciplinary team determined that aortic injury repair should be prioritized. We ultimately performed an unconventional endovascular aortic repair in this adolescent patient. The procedure was completed efficiently without complications, and subsequent interventions successfully addressed the remaining injuries. The patient required a total hospital stay of 733 days and underwent 13 surgical procedures before being successfully discharged following rehabilitation. As of September 2024, the patient remains alive with no complications related to the arterial injury.

Conclusions: TEVAR represents a safe and viable short-term treatment option for adolescents with multiple traumatic injuries. The 69-month follow-up in this case confirms procedural success and suggests the effectiveness of TEVAR in this patient population.

求助全文
通过发布文献求助,成功后即可免费获取论文全文。 去求助
来源期刊
自引率
0.00%
发文量
0
×
引用
GB/T 7714-2015
复制
MLA
复制
APA
复制
导出至
BibTeX EndNote RefMan NoteFirst NoteExpress
×
提示
您的信息不完整,为了账户安全,请先补充。
现在去补充
×
提示
您因"违规操作"
具体请查看互助需知
我知道了
×
提示
确定
请完成安全验证×
copy
已复制链接
快去分享给好友吧!
我知道了
右上角分享
点击右上角分享
0
联系我们:info@booksci.cn Book学术提供免费学术资源搜索服务,方便国内外学者检索中英文文献。致力于提供最便捷和优质的服务体验。 Copyright © 2023 布克学术 All rights reserved.
京ICP备2023020795号-1
ghs 京公网安备 11010802042870号
Book学术文献互助
Book学术文献互助群
群 号:604180095
Book学术官方微信