多司达单抗治疗老年多重合并症及过敏体质患者的疗效和安全性:1例报告。

IF 0.7 Q3 MEDICINE, GENERAL & INTERNAL
AME Case Reports Pub Date : 2025-06-16 eCollection Date: 2025-01-01 DOI:10.21037/acr-24-239
Katia Lanzafame, Giusi Blanco, Marco D'Asta, Mirella Sapienza, Giulia Maria Bonanno, Carla Ettore, Eliana Giurato, Sabrina Paratore, Angela Russo, Antonino Vallone, Roberto Bordonaro, Giuseppe Ettore
{"title":"多司达单抗治疗老年多重合并症及过敏体质患者的疗效和安全性:1例报告。","authors":"Katia Lanzafame, Giusi Blanco, Marco D'Asta, Mirella Sapienza, Giulia Maria Bonanno, Carla Ettore, Eliana Giurato, Sabrina Paratore, Angela Russo, Antonino Vallone, Roberto Bordonaro, Giuseppe Ettore","doi":"10.21037/acr-24-239","DOIUrl":null,"url":null,"abstract":"<p><strong>Background: </strong>Several studies have demonstrated the effectiveness of anti-programmed death-1 (PD-1) drugs in patients suffering from deficient mismatch repair/microsatellite instability (dMMR/MSI) endometrial cancer (EC). The phase III Ruby study, showed benefit in progression-free survival (PFS) for patients with stage III-IV EC, both MSI-high/dMMR (MSI-H/dMMR) and mismatch repair proficient/microsatellite stable (pMMR/MSS), treated upfront with chemotherapy in combination with dostarlimab. Even earlier, the GARNET trial, which enrolled patients with advanced or relapsed EC with dMMR and/or MSI progressing on prior platinum therapy to receive dostarlimab, reported overall response rate (ORR) of 43.5% with a manageable safety profile. We report on the case of an elderly patient with many pathologies treated with dostarlimab.</p><p><strong>Case description: </strong>A 75-year-old woman with EC (MSI-H) with pulmonary and bone metastasis progressed on first line chemotherapy platinum-containing, was treated with dostarlimab as monotherapy. Medical history was positive for arterial hypertension, autoimmune thrombocytopenia and allergy to amoxicillin and levofloxacin. After the second administration of dostarlimab, our patient showed a dramatic improvement of her clinical conditions. The clinical response was confirmed by radiological response on the basis of the results of a computed tomography (CT) scan performed in March 2023 that showed a reduction of the pelvic mass and pulmonary secondaries. No toxicities related to autoimmune thrombocytopenia occurred. The experienced grade 2 infusion reaction, resolved with the suspension of the drug and the administration of an antihistaminic drug; then we resumed dostarlimab doubling the administration time.</p><p><strong>Conclusions: </strong>The administration of dostarlimab is safe and feasible in elderly people with multiple pathologies and multiple allergies with recurrent dMMR/MSI EC. The drug is well tolerated and able to give a good quality of life to patients.</p>","PeriodicalId":29752,"journal":{"name":"AME Case Reports","volume":"9 ","pages":"82"},"PeriodicalIF":0.7000,"publicationDate":"2025-06-16","publicationTypes":"Journal Article","fieldsOfStudy":null,"isOpenAccess":false,"openAccessPdf":"https://www.ncbi.nlm.nih.gov/pmc/articles/PMC12319612/pdf/","citationCount":"0","resultStr":"{\"title\":\"Efficacy and safety of dostarlimab in elderly patients with multiple comorbidities and allergic diathesis: case report.\",\"authors\":\"Katia Lanzafame, Giusi Blanco, Marco D'Asta, Mirella Sapienza, Giulia Maria Bonanno, Carla Ettore, Eliana Giurato, Sabrina Paratore, Angela Russo, Antonino Vallone, Roberto Bordonaro, Giuseppe Ettore\",\"doi\":\"10.21037/acr-24-239\",\"DOIUrl\":null,\"url\":null,\"abstract\":\"<p><strong>Background: </strong>Several studies have demonstrated the effectiveness of anti-programmed death-1 (PD-1) drugs in patients suffering from deficient mismatch repair/microsatellite instability (dMMR/MSI) endometrial cancer (EC). The phase III Ruby study, showed benefit in progression-free survival (PFS) for patients with stage III-IV EC, both MSI-high/dMMR (MSI-H/dMMR) and mismatch repair proficient/microsatellite stable (pMMR/MSS), treated upfront with chemotherapy in combination with dostarlimab. Even earlier, the GARNET trial, which enrolled patients with advanced or relapsed EC with dMMR and/or MSI progressing on prior platinum therapy to receive dostarlimab, reported overall response rate (ORR) of 43.5% with a manageable safety profile. We report on the case of an elderly patient with many pathologies treated with dostarlimab.</p><p><strong>Case description: </strong>A 75-year-old woman with EC (MSI-H) with pulmonary and bone metastasis progressed on first line chemotherapy platinum-containing, was treated with dostarlimab as monotherapy. Medical history was positive for arterial hypertension, autoimmune thrombocytopenia and allergy to amoxicillin and levofloxacin. After the second administration of dostarlimab, our patient showed a dramatic improvement of her clinical conditions. The clinical response was confirmed by radiological response on the basis of the results of a computed tomography (CT) scan performed in March 2023 that showed a reduction of the pelvic mass and pulmonary secondaries. No toxicities related to autoimmune thrombocytopenia occurred. The experienced grade 2 infusion reaction, resolved with the suspension of the drug and the administration of an antihistaminic drug; then we resumed dostarlimab doubling the administration time.</p><p><strong>Conclusions: </strong>The administration of dostarlimab is safe and feasible in elderly people with multiple pathologies and multiple allergies with recurrent dMMR/MSI EC. The drug is well tolerated and able to give a good quality of life to patients.</p>\",\"PeriodicalId\":29752,\"journal\":{\"name\":\"AME Case Reports\",\"volume\":\"9 \",\"pages\":\"82\"},\"PeriodicalIF\":0.7000,\"publicationDate\":\"2025-06-16\",\"publicationTypes\":\"Journal Article\",\"fieldsOfStudy\":null,\"isOpenAccess\":false,\"openAccessPdf\":\"https://www.ncbi.nlm.nih.gov/pmc/articles/PMC12319612/pdf/\",\"citationCount\":\"0\",\"resultStr\":null,\"platform\":\"Semanticscholar\",\"paperid\":null,\"PeriodicalName\":\"AME Case Reports\",\"FirstCategoryId\":\"1085\",\"ListUrlMain\":\"https://doi.org/10.21037/acr-24-239\",\"RegionNum\":0,\"RegionCategory\":null,\"ArticlePicture\":[],\"TitleCN\":null,\"AbstractTextCN\":null,\"PMCID\":null,\"EPubDate\":\"2025/1/1 0:00:00\",\"PubModel\":\"eCollection\",\"JCR\":\"Q3\",\"JCRName\":\"MEDICINE, GENERAL & INTERNAL\",\"Score\":null,\"Total\":0}","platform":"Semanticscholar","paperid":null,"PeriodicalName":"AME Case Reports","FirstCategoryId":"1085","ListUrlMain":"https://doi.org/10.21037/acr-24-239","RegionNum":0,"RegionCategory":null,"ArticlePicture":[],"TitleCN":null,"AbstractTextCN":null,"PMCID":null,"EPubDate":"2025/1/1 0:00:00","PubModel":"eCollection","JCR":"Q3","JCRName":"MEDICINE, GENERAL & INTERNAL","Score":null,"Total":0}
引用次数: 0

摘要

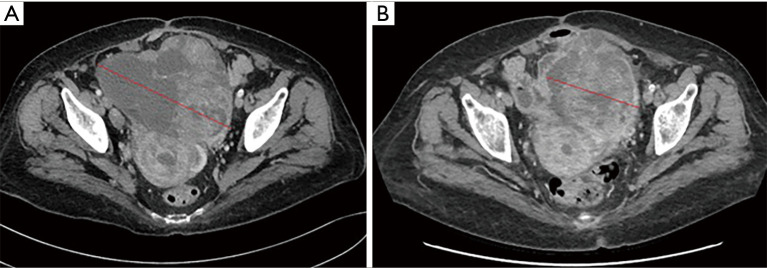
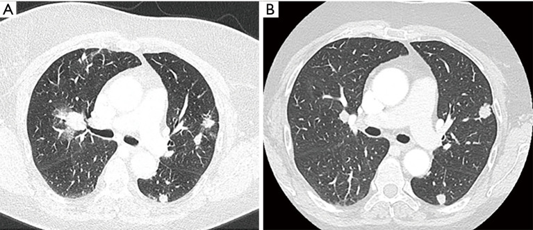
背景:一些研究已经证明了抗程序性死亡-1 (PD-1)药物对患有缺陷错配修复/微卫星不稳定(dMMR/MSI)子宫内膜癌(EC)患者的有效性。III期Ruby研究显示,msi -高/dMMR (MSI-H/dMMR)和错配修复精通/微卫星稳定(pMMR/MSS) III- iv期EC患者的无进展生存期(PFS)受益,前期化疗联合多司达单抗。甚至在更早的GARNET试验中,纳入了dMMR和/或MSI进展的晚期或复发EC患者,既往铂类治疗接受多司他单抗,总体缓解率(ORR)为43.5%,安全性可控。我们报告一例老年患者与许多病理治疗多司达单抗。病例描述:一名75岁的女性EC (MSI-H)伴肺和骨转移,在一线含铂化疗中进展进展,接受多斯塔利单抗单药治疗。病史为动脉高血压、自身免疫性血小板减少症和对阿莫西林和左氧氟沙星过敏。在第二次给药后,我们的病人的临床状况有了显著的改善。基于2023年3月进行的计算机断层扫描(CT)结果的放射学反应证实了临床反应,该结果显示盆腔肿块和肺部继发性病变减少。未发生与自身免疫性血小板减少症相关的毒性。2级输液反应,停药后给予抗组胺药解决;然后我们恢复了dostarlimab,使给药时间增加了一倍。结论:对于多发病变、多发过敏并复发性dMMR/MSI EC的老年人,应用多司达单抗是安全可行的。该药物耐受性良好,能够给患者带来良好的生活质量。
本文章由计算机程序翻译,如有差异,请以英文原文为准。

Efficacy and safety of dostarlimab in elderly patients with multiple comorbidities and allergic diathesis: case report.

Efficacy and safety of dostarlimab in elderly patients with multiple comorbidities and allergic diathesis: case report.

Efficacy and safety of dostarlimab in elderly patients with multiple comorbidities and allergic diathesis: case report.

Background: Several studies have demonstrated the effectiveness of anti-programmed death-1 (PD-1) drugs in patients suffering from deficient mismatch repair/microsatellite instability (dMMR/MSI) endometrial cancer (EC). The phase III Ruby study, showed benefit in progression-free survival (PFS) for patients with stage III-IV EC, both MSI-high/dMMR (MSI-H/dMMR) and mismatch repair proficient/microsatellite stable (pMMR/MSS), treated upfront with chemotherapy in combination with dostarlimab. Even earlier, the GARNET trial, which enrolled patients with advanced or relapsed EC with dMMR and/or MSI progressing on prior platinum therapy to receive dostarlimab, reported overall response rate (ORR) of 43.5% with a manageable safety profile. We report on the case of an elderly patient with many pathologies treated with dostarlimab.

Case description: A 75-year-old woman with EC (MSI-H) with pulmonary and bone metastasis progressed on first line chemotherapy platinum-containing, was treated with dostarlimab as monotherapy. Medical history was positive for arterial hypertension, autoimmune thrombocytopenia and allergy to amoxicillin and levofloxacin. After the second administration of dostarlimab, our patient showed a dramatic improvement of her clinical conditions. The clinical response was confirmed by radiological response on the basis of the results of a computed tomography (CT) scan performed in March 2023 that showed a reduction of the pelvic mass and pulmonary secondaries. No toxicities related to autoimmune thrombocytopenia occurred. The experienced grade 2 infusion reaction, resolved with the suspension of the drug and the administration of an antihistaminic drug; then we resumed dostarlimab doubling the administration time.

Conclusions: The administration of dostarlimab is safe and feasible in elderly people with multiple pathologies and multiple allergies with recurrent dMMR/MSI EC. The drug is well tolerated and able to give a good quality of life to patients.

求助全文
通过发布文献求助,成功后即可免费获取论文全文。 去求助
来源期刊
自引率
0.00%
发文量
0
×
引用
GB/T 7714-2015
复制
MLA
复制
APA
复制
导出至
BibTeX EndNote RefMan NoteFirst NoteExpress
×
提示
您的信息不完整,为了账户安全,请先补充。
现在去补充
×
提示
您因"违规操作"
具体请查看互助需知
我知道了
×
提示
确定
请完成安全验证×
copy
已复制链接
快去分享给好友吧!
我知道了
右上角分享
点击右上角分享
0
联系我们:info@booksci.cn Book学术提供免费学术资源搜索服务,方便国内外学者检索中英文文献。致力于提供最便捷和优质的服务体验。 Copyright © 2023 布克学术 All rights reserved.
京ICP备2023020795号-1
ghs 京公网安备 11010802042870号
Book学术文献互助
Book学术文献互助群
群 号:604180095
Book学术官方微信