急性胰腺炎的临床- ct错配:新概念及两例报告。

IF 0.7 Q3 MEDICINE, GENERAL & INTERNAL
AME Case Reports Pub Date : 2025-07-08 eCollection Date: 2025-01-01 DOI:10.21037/acr-25-12
Yingjie Wu, Xiaolei Yi, Maoyong Xu, Hao Liang
{"title":"急性胰腺炎的临床- ct错配:新概念及两例报告。","authors":"Yingjie Wu, Xiaolei Yi, Maoyong Xu, Hao Liang","doi":"10.21037/acr-25-12","DOIUrl":null,"url":null,"abstract":"<p><strong>Background: </strong>Acute pancreatitis (AP) is a condition with varying severity, ranging from mild to severe, each presenting different prognostic outcomes. Accurate and early assessment of AP severity is crucial for determining appropriate treatment and management. Traditionally, the severity of AP has been evaluated using clinical criteria or imaging, but discrepancies between these assessments can complicate clinical decision-making.</p><p><strong>Case description: </strong>This case report presents two patients with AP, where a mismatch was observed between clinical and imaging severity assessments. In the first case, laboratory tests suggested mild AP, while computed tomography (CT) imaging indicated severe pathology. In contrast, the second case showed severe AP according to the Acute Physiology and Chronic Health Evaluation II (APACHE II) score, but the CT imaging only revealed mild findings. This clinical-CT mismatch highlights the need for a comprehensive approach to evaluating AP severity, rather than relying on a single assessment method.</p><p><strong>Conclusions: </strong>The report introduces the concept of clinical-CT mismatch in the assessment of AP. It emphasizes the importance of integrating clinical scores, such as APACHE II, with imaging findings to provide a more accurate and reliable evaluation of severity. By doing so, clinicians can enhance decision-making and improve management strategies for AP.</p>","PeriodicalId":29752,"journal":{"name":"AME Case Reports","volume":"9 ","pages":"100"},"PeriodicalIF":0.7000,"publicationDate":"2025-07-08","publicationTypes":"Journal Article","fieldsOfStudy":null,"isOpenAccess":false,"openAccessPdf":"https://www.ncbi.nlm.nih.gov/pmc/articles/PMC12319587/pdf/","citationCount":"0","resultStr":"{\"title\":\"Clinical-CT mismatch in acute pancreatitis: a new concept and report of two cases.\",\"authors\":\"Yingjie Wu, Xiaolei Yi, Maoyong Xu, Hao Liang\",\"doi\":\"10.21037/acr-25-12\",\"DOIUrl\":null,\"url\":null,\"abstract\":\"<p><strong>Background: </strong>Acute pancreatitis (AP) is a condition with varying severity, ranging from mild to severe, each presenting different prognostic outcomes. Accurate and early assessment of AP severity is crucial for determining appropriate treatment and management. Traditionally, the severity of AP has been evaluated using clinical criteria or imaging, but discrepancies between these assessments can complicate clinical decision-making.</p><p><strong>Case description: </strong>This case report presents two patients with AP, where a mismatch was observed between clinical and imaging severity assessments. In the first case, laboratory tests suggested mild AP, while computed tomography (CT) imaging indicated severe pathology. In contrast, the second case showed severe AP according to the Acute Physiology and Chronic Health Evaluation II (APACHE II) score, but the CT imaging only revealed mild findings. This clinical-CT mismatch highlights the need for a comprehensive approach to evaluating AP severity, rather than relying on a single assessment method.</p><p><strong>Conclusions: </strong>The report introduces the concept of clinical-CT mismatch in the assessment of AP. It emphasizes the importance of integrating clinical scores, such as APACHE II, with imaging findings to provide a more accurate and reliable evaluation of severity. By doing so, clinicians can enhance decision-making and improve management strategies for AP.</p>\",\"PeriodicalId\":29752,\"journal\":{\"name\":\"AME Case Reports\",\"volume\":\"9 \",\"pages\":\"100\"},\"PeriodicalIF\":0.7000,\"publicationDate\":\"2025-07-08\",\"publicationTypes\":\"Journal Article\",\"fieldsOfStudy\":null,\"isOpenAccess\":false,\"openAccessPdf\":\"https://www.ncbi.nlm.nih.gov/pmc/articles/PMC12319587/pdf/\",\"citationCount\":\"0\",\"resultStr\":null,\"platform\":\"Semanticscholar\",\"paperid\":null,\"PeriodicalName\":\"AME Case Reports\",\"FirstCategoryId\":\"1085\",\"ListUrlMain\":\"https://doi.org/10.21037/acr-25-12\",\"RegionNum\":0,\"RegionCategory\":null,\"ArticlePicture\":[],\"TitleCN\":null,\"AbstractTextCN\":null,\"PMCID\":null,\"EPubDate\":\"2025/1/1 0:00:00\",\"PubModel\":\"eCollection\",\"JCR\":\"Q3\",\"JCRName\":\"MEDICINE, GENERAL & INTERNAL\",\"Score\":null,\"Total\":0}","platform":"Semanticscholar","paperid":null,"PeriodicalName":"AME Case Reports","FirstCategoryId":"1085","ListUrlMain":"https://doi.org/10.21037/acr-25-12","RegionNum":0,"RegionCategory":null,"ArticlePicture":[],"TitleCN":null,"AbstractTextCN":null,"PMCID":null,"EPubDate":"2025/1/1 0:00:00","PubModel":"eCollection","JCR":"Q3","JCRName":"MEDICINE, GENERAL & INTERNAL","Score":null,"Total":0}
引用次数: 0

摘要

背景:急性胰腺炎(AP)是一种严重程度不等的疾病,从轻微到严重,每种情况都有不同的预后结果。准确和早期评估急性脑损伤严重程度对于确定适当的治疗和管理至关重要。传统上,AP的严重程度是通过临床标准或影像学来评估的,但这些评估之间的差异会使临床决策复杂化。病例描述:本病例报告介绍了两例AP患者,在临床和影像学严重程度评估之间观察到不匹配。在第一个病例中,实验室检查提示轻度AP,而计算机断层扫描(CT)成像显示严重的病理。根据急性生理和慢性健康评估II (APACHE II)评分,第二例AP表现为严重AP,但CT成像仅显示轻度症状。这种临床- ct不匹配突出了评估AP严重程度的综合方法的必要性,而不是依赖于单一的评估方法。结论:该报告在评估AP时引入了临床- ct不匹配的概念,并强调了将临床评分(如APACHE II)与影像学结果相结合的重要性,以提供更准确、更可靠的严重程度评估。通过这样做,临床医生可以加强决策和改善AP的管理策略。
本文章由计算机程序翻译,如有差异,请以英文原文为准。

Clinical-CT mismatch in acute pancreatitis: a new concept and report of two cases.

Clinical-CT mismatch in acute pancreatitis: a new concept and report of two cases.

Clinical-CT mismatch in acute pancreatitis: a new concept and report of two cases.

Background: Acute pancreatitis (AP) is a condition with varying severity, ranging from mild to severe, each presenting different prognostic outcomes. Accurate and early assessment of AP severity is crucial for determining appropriate treatment and management. Traditionally, the severity of AP has been evaluated using clinical criteria or imaging, but discrepancies between these assessments can complicate clinical decision-making.

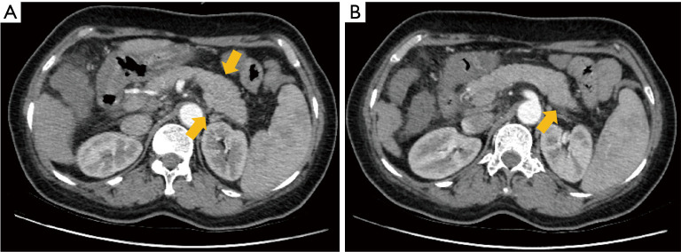
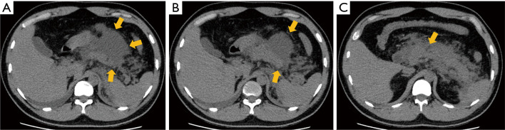
Case description: This case report presents two patients with AP, where a mismatch was observed between clinical and imaging severity assessments. In the first case, laboratory tests suggested mild AP, while computed tomography (CT) imaging indicated severe pathology. In contrast, the second case showed severe AP according to the Acute Physiology and Chronic Health Evaluation II (APACHE II) score, but the CT imaging only revealed mild findings. This clinical-CT mismatch highlights the need for a comprehensive approach to evaluating AP severity, rather than relying on a single assessment method.

Conclusions: The report introduces the concept of clinical-CT mismatch in the assessment of AP. It emphasizes the importance of integrating clinical scores, such as APACHE II, with imaging findings to provide a more accurate and reliable evaluation of severity. By doing so, clinicians can enhance decision-making and improve management strategies for AP.

求助全文
通过发布文献求助,成功后即可免费获取论文全文。 去求助
来源期刊
自引率
0.00%
发文量
0
×
引用
GB/T 7714-2015
复制
MLA
复制
APA
复制
导出至
BibTeX EndNote RefMan NoteFirst NoteExpress
×
提示
您的信息不完整,为了账户安全,请先补充。
现在去补充
×
提示
您因"违规操作"
具体请查看互助需知
我知道了
×
提示
确定
请完成安全验证×
copy
已复制链接
快去分享给好友吧!
我知道了
右上角分享
点击右上角分享
0
联系我们:info@booksci.cn Book学术提供免费学术资源搜索服务,方便国内外学者检索中英文文献。致力于提供最便捷和优质的服务体验。 Copyright © 2023 布克学术 All rights reserved.
京ICP备2023020795号-1
ghs 京公网安备 11010802042870号
Book学术文献互助
Book学术文献互助群
群 号:604180095
Book学术官方微信