一例婴儿巨大未成熟畸胎瘤处理的临床见解。

IF 0.7 Q3 MEDICINE, GENERAL & INTERNAL
AME Case Reports Pub Date : 2025-07-15 eCollection Date: 2025-01-01 DOI:10.21037/acr-24-249
Yixiang Song, Junjie Ge, Jingfu Wang
{"title":"一例婴儿巨大未成熟畸胎瘤处理的临床见解。","authors":"Yixiang Song, Junjie Ge, Jingfu Wang","doi":"10.21037/acr-24-249","DOIUrl":null,"url":null,"abstract":"<p><strong>Background: </strong>The article discusses a rare case of a giant immature teratoma (IMT) in an infant, highlighting the challenges in diagnosing and managing this type of germ cell tumor that arises from abnormal embryonic cell development. Teratoma growth syndrome represents a rare clinical manifestation, posing significant challenges in differential diagnosis, particularly when distinguishing it from peritoneal gliomatosis or progressive germinoma. In essence, growing teratoma syndrome (GTS) constitutes a distinct and intricate clinical entity that requires meticulous monitoring and management to enhance patient outcomes.</p><p><strong>Case description: </strong>The patient was a male infant, presented with a palpable mass in the upper abdomen at 4 months of age. Initial ultrasound and elevated serum alpha-fetoprotein (AFP) levels suggested a retroperitoneal teratoma. After surgery, the diagnosis was confirmed as an IMT [World Health Organization (WHO) grade III]. Despite initial chemotherapy with BEP (bleomycin, etoposide, and cisplatin) and TIC (nab-paclitaxel, ifosfamide, and carboplatin) regimens, the tumor continued to grow, and the patient experienced GTS. A second surgery was performed, and the patient was subsequently treated with TCAV (nab-paclitaxel, cyclophosphamide, epirubicin and vincristine) and TIC chemotherapy, leading to normalization of AFP levels and no evidence of disease over a 4-year follow-up.</p><p><strong>Conclusions: </strong>GTS is a rare clinical manifestation that presents substantial challenges in differential diagnosis, particularly in distinguishing it from conditions such as peritoneal gliomatosis or progressive germinoma. Fundamentally, this syndrome represents a unique and complex clinical entity necessitating careful monitoring and management to improve patient outcomes.</p>","PeriodicalId":29752,"journal":{"name":"AME Case Reports","volume":"9 ","pages":"101"},"PeriodicalIF":0.7000,"publicationDate":"2025-07-15","publicationTypes":"Journal Article","fieldsOfStudy":null,"isOpenAccess":false,"openAccessPdf":"https://www.ncbi.nlm.nih.gov/pmc/articles/PMC12319614/pdf/","citationCount":"0","resultStr":"{\"title\":\"Clinical insights from the management of a giant immature teratoma in an infant-a case report.\",\"authors\":\"Yixiang Song, Junjie Ge, Jingfu Wang\",\"doi\":\"10.21037/acr-24-249\",\"DOIUrl\":null,\"url\":null,\"abstract\":\"<p><strong>Background: </strong>The article discusses a rare case of a giant immature teratoma (IMT) in an infant, highlighting the challenges in diagnosing and managing this type of germ cell tumor that arises from abnormal embryonic cell development. Teratoma growth syndrome represents a rare clinical manifestation, posing significant challenges in differential diagnosis, particularly when distinguishing it from peritoneal gliomatosis or progressive germinoma. In essence, growing teratoma syndrome (GTS) constitutes a distinct and intricate clinical entity that requires meticulous monitoring and management to enhance patient outcomes.</p><p><strong>Case description: </strong>The patient was a male infant, presented with a palpable mass in the upper abdomen at 4 months of age. Initial ultrasound and elevated serum alpha-fetoprotein (AFP) levels suggested a retroperitoneal teratoma. After surgery, the diagnosis was confirmed as an IMT [World Health Organization (WHO) grade III]. Despite initial chemotherapy with BEP (bleomycin, etoposide, and cisplatin) and TIC (nab-paclitaxel, ifosfamide, and carboplatin) regimens, the tumor continued to grow, and the patient experienced GTS. A second surgery was performed, and the patient was subsequently treated with TCAV (nab-paclitaxel, cyclophosphamide, epirubicin and vincristine) and TIC chemotherapy, leading to normalization of AFP levels and no evidence of disease over a 4-year follow-up.</p><p><strong>Conclusions: </strong>GTS is a rare clinical manifestation that presents substantial challenges in differential diagnosis, particularly in distinguishing it from conditions such as peritoneal gliomatosis or progressive germinoma. Fundamentally, this syndrome represents a unique and complex clinical entity necessitating careful monitoring and management to improve patient outcomes.</p>\",\"PeriodicalId\":29752,\"journal\":{\"name\":\"AME Case Reports\",\"volume\":\"9 \",\"pages\":\"101\"},\"PeriodicalIF\":0.7000,\"publicationDate\":\"2025-07-15\",\"publicationTypes\":\"Journal Article\",\"fieldsOfStudy\":null,\"isOpenAccess\":false,\"openAccessPdf\":\"https://www.ncbi.nlm.nih.gov/pmc/articles/PMC12319614/pdf/\",\"citationCount\":\"0\",\"resultStr\":null,\"platform\":\"Semanticscholar\",\"paperid\":null,\"PeriodicalName\":\"AME Case Reports\",\"FirstCategoryId\":\"1085\",\"ListUrlMain\":\"https://doi.org/10.21037/acr-24-249\",\"RegionNum\":0,\"RegionCategory\":null,\"ArticlePicture\":[],\"TitleCN\":null,\"AbstractTextCN\":null,\"PMCID\":null,\"EPubDate\":\"2025/1/1 0:00:00\",\"PubModel\":\"eCollection\",\"JCR\":\"Q3\",\"JCRName\":\"MEDICINE, GENERAL & INTERNAL\",\"Score\":null,\"Total\":0}","platform":"Semanticscholar","paperid":null,"PeriodicalName":"AME Case Reports","FirstCategoryId":"1085","ListUrlMain":"https://doi.org/10.21037/acr-24-249","RegionNum":0,"RegionCategory":null,"ArticlePicture":[],"TitleCN":null,"AbstractTextCN":null,"PMCID":null,"EPubDate":"2025/1/1 0:00:00","PubModel":"eCollection","JCR":"Q3","JCRName":"MEDICINE, GENERAL & INTERNAL","Score":null,"Total":0}
引用次数: 0

摘要

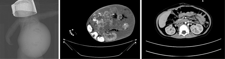
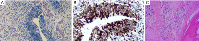
背景:本文讨论了一例罕见的婴儿巨大未成熟畸胎瘤(IMT),强调了诊断和治疗这种由胚胎细胞异常发育引起的生殖细胞肿瘤的挑战。畸胎瘤生长综合征是一种罕见的临床表现,对鉴别诊断提出了重大挑战,特别是在与腹膜胶质瘤病或进行性生殖细胞瘤区分时。从本质上讲,生长畸胎瘤综合征(GTS)构成了一个独特而复杂的临床实体,需要细致的监测和管理,以提高患者的预后。病例描述:患者是一名男婴,在4个月大时出现可触及的上腹部肿块。初始超声和血清甲胎蛋白(AFP)水平升高提示腹膜后畸胎瘤。手术后确诊为IMT[世界卫生组织(WHO) III级]。尽管最初使用BEP(博莱霉素、依托泊苷和顺铂)和TIC (nab-紫杉醇、异环磷酰胺和卡铂)方案进行化疗,但肿瘤继续生长,患者经历了GTS。第二次手术后,患者接受TCAV (nab-紫杉醇、环磷酰胺、表柔比星和长春新碱)治疗和TIC化疗,使AFP水平恢复正常,4年随访期间无疾病迹象。结论:GTS是一种罕见的临床表现,在鉴别诊断方面存在很大的挑战,特别是在与腹膜胶质瘤病或进行性生殖细胞瘤等疾病区分时。从根本上说,这种综合征代表了一种独特而复杂的临床实体,需要仔细监测和管理以改善患者的预后。
本文章由计算机程序翻译,如有差异,请以英文原文为准。

Clinical insights from the management of a giant immature teratoma in an infant-a case report.

Clinical insights from the management of a giant immature teratoma in an infant-a case report.

Clinical insights from the management of a giant immature teratoma in an infant-a case report.

Clinical insights from the management of a giant immature teratoma in an infant-a case report.

Background: The article discusses a rare case of a giant immature teratoma (IMT) in an infant, highlighting the challenges in diagnosing and managing this type of germ cell tumor that arises from abnormal embryonic cell development. Teratoma growth syndrome represents a rare clinical manifestation, posing significant challenges in differential diagnosis, particularly when distinguishing it from peritoneal gliomatosis or progressive germinoma. In essence, growing teratoma syndrome (GTS) constitutes a distinct and intricate clinical entity that requires meticulous monitoring and management to enhance patient outcomes.

Case description: The patient was a male infant, presented with a palpable mass in the upper abdomen at 4 months of age. Initial ultrasound and elevated serum alpha-fetoprotein (AFP) levels suggested a retroperitoneal teratoma. After surgery, the diagnosis was confirmed as an IMT [World Health Organization (WHO) grade III]. Despite initial chemotherapy with BEP (bleomycin, etoposide, and cisplatin) and TIC (nab-paclitaxel, ifosfamide, and carboplatin) regimens, the tumor continued to grow, and the patient experienced GTS. A second surgery was performed, and the patient was subsequently treated with TCAV (nab-paclitaxel, cyclophosphamide, epirubicin and vincristine) and TIC chemotherapy, leading to normalization of AFP levels and no evidence of disease over a 4-year follow-up.

Conclusions: GTS is a rare clinical manifestation that presents substantial challenges in differential diagnosis, particularly in distinguishing it from conditions such as peritoneal gliomatosis or progressive germinoma. Fundamentally, this syndrome represents a unique and complex clinical entity necessitating careful monitoring and management to improve patient outcomes.

求助全文
通过发布文献求助,成功后即可免费获取论文全文。 去求助
来源期刊
自引率
0.00%
发文量
0
×
引用
GB/T 7714-2015
复制
MLA
复制
APA
复制
导出至
BibTeX EndNote RefMan NoteFirst NoteExpress
×
提示
您的信息不完整,为了账户安全,请先补充。
现在去补充
×
提示
您因"违规操作"
具体请查看互助需知
我知道了
×
提示
确定
请完成安全验证×
copy
已复制链接
快去分享给好友吧!
我知道了
右上角分享
点击右上角分享
0
联系我们:info@booksci.cn Book学术提供免费学术资源搜索服务,方便国内外学者检索中英文文献。致力于提供最便捷和优质的服务体验。 Copyright © 2023 布克学术 All rights reserved.
京ICP备2023020795号-1
ghs 京公网安备 11010802042870号
Book学术文献互助
Book学术文献互助群
群 号:604180095
Book学术官方微信