维莫替吉治疗复发性口内基底细胞癌2年随访的长期疾病控制1例。

IF 0.7 Q3 MEDICINE, GENERAL & INTERNAL
AME Case Reports Pub Date : 2025-07-07 eCollection Date: 2025-01-01 DOI:10.21037/acr-24-235
Hsing Hwa Lee, Mireille Hardie, Bella Nguyen
{"title":"维莫替吉治疗复发性口内基底细胞癌2年随访的长期疾病控制1例。","authors":"Hsing Hwa Lee, Mireille Hardie, Bella Nguyen","doi":"10.21037/acr-24-235","DOIUrl":null,"url":null,"abstract":"<p><strong>Background: </strong>Intraoral basal cell carcinoma (IOBCC) is an extremely rare cancer and is usually treated with surgical excision. However, the management of recurrent IOBCC not amenable to resection is unknown. We report a case of effective treatment of recurrent IOBCC with vismodegib with rapid and durable response following only 6 months of treatment.</p><p><strong>Case description: </strong>A 60-year-old female with IOBCC was first diagnosed in August 2016 involving right buccal mucosa and right anterior hard palate. She subsequently underwent wide local excision with involved margins. Her first local recurrence occurred four and a half years after initial diagnosis and went on to have further surgical resection. Her second local recurrence occurred 2 years later, where further surgery and radiotherapy were not amenable. She was then treated with vismodegib 150 mg daily, delivered via her gastrotomy feeding tube and she achieved clinical complete response within 3 months of treatment. Following 6 months of treatment, due to progressive side effects, she ceased treatment. She remains on surveillance and disease-free on clinical examination and repeat biopsy for the past 2 years. To our knowledge, this is the first case of inoperable recurrent IOBCC treated with vismodegib, delivered via gastrotomy tube, leading to a durable complete response. The patient's tumour showed significant regression within 3 months of treatment initiation, with continued improvement over the following year. The rapid and durable response to vismodegib in this case is particularly noteworthy, considering the aggressive nature of recurrent IOBCC and the patient's prior treatment history. The effective administration of vismodegib through a gastrostomy feeding tube is an additional important clinical finding. This approach demonstrates the flexibility of vismodegib treatment and may be applicable to other patients facing feeding or medication administration challenges.</p><p><strong>Conclusions: </strong>Vismodegib can induce rapid, effective, and durable responses in IOBCC. The administration of vismodegib via gastrotomy tube was found to be safe and did not compromise its efficacy. Longer-term and larger cohort follow-up studies are needed to fully evaluate the efficacy and safety of vismodegib in this patient population.</p>","PeriodicalId":29752,"journal":{"name":"AME Case Reports","volume":"9 ","pages":"88"},"PeriodicalIF":0.7000,"publicationDate":"2025-07-07","publicationTypes":"Journal Article","fieldsOfStudy":null,"isOpenAccess":false,"openAccessPdf":"https://www.ncbi.nlm.nih.gov/pmc/articles/PMC12319617/pdf/","citationCount":"0","resultStr":"{\"title\":\"Case report of long-term disease control of recurrent intraoral basal cell carcinoma with vismodegib at two-year follow-up.\",\"authors\":\"Hsing Hwa Lee, Mireille Hardie, Bella Nguyen\",\"doi\":\"10.21037/acr-24-235\",\"DOIUrl\":null,\"url\":null,\"abstract\":\"<p><strong>Background: </strong>Intraoral basal cell carcinoma (IOBCC) is an extremely rare cancer and is usually treated with surgical excision. However, the management of recurrent IOBCC not amenable to resection is unknown. We report a case of effective treatment of recurrent IOBCC with vismodegib with rapid and durable response following only 6 months of treatment.</p><p><strong>Case description: </strong>A 60-year-old female with IOBCC was first diagnosed in August 2016 involving right buccal mucosa and right anterior hard palate. She subsequently underwent wide local excision with involved margins. Her first local recurrence occurred four and a half years after initial diagnosis and went on to have further surgical resection. Her second local recurrence occurred 2 years later, where further surgery and radiotherapy were not amenable. She was then treated with vismodegib 150 mg daily, delivered via her gastrotomy feeding tube and she achieved clinical complete response within 3 months of treatment. Following 6 months of treatment, due to progressive side effects, she ceased treatment. She remains on surveillance and disease-free on clinical examination and repeat biopsy for the past 2 years. To our knowledge, this is the first case of inoperable recurrent IOBCC treated with vismodegib, delivered via gastrotomy tube, leading to a durable complete response. The patient's tumour showed significant regression within 3 months of treatment initiation, with continued improvement over the following year. The rapid and durable response to vismodegib in this case is particularly noteworthy, considering the aggressive nature of recurrent IOBCC and the patient's prior treatment history. The effective administration of vismodegib through a gastrostomy feeding tube is an additional important clinical finding. This approach demonstrates the flexibility of vismodegib treatment and may be applicable to other patients facing feeding or medication administration challenges.</p><p><strong>Conclusions: </strong>Vismodegib can induce rapid, effective, and durable responses in IOBCC. The administration of vismodegib via gastrotomy tube was found to be safe and did not compromise its efficacy. Longer-term and larger cohort follow-up studies are needed to fully evaluate the efficacy and safety of vismodegib in this patient population.</p>\",\"PeriodicalId\":29752,\"journal\":{\"name\":\"AME Case Reports\",\"volume\":\"9 \",\"pages\":\"88\"},\"PeriodicalIF\":0.7000,\"publicationDate\":\"2025-07-07\",\"publicationTypes\":\"Journal Article\",\"fieldsOfStudy\":null,\"isOpenAccess\":false,\"openAccessPdf\":\"https://www.ncbi.nlm.nih.gov/pmc/articles/PMC12319617/pdf/\",\"citationCount\":\"0\",\"resultStr\":null,\"platform\":\"Semanticscholar\",\"paperid\":null,\"PeriodicalName\":\"AME Case Reports\",\"FirstCategoryId\":\"1085\",\"ListUrlMain\":\"https://doi.org/10.21037/acr-24-235\",\"RegionNum\":0,\"RegionCategory\":null,\"ArticlePicture\":[],\"TitleCN\":null,\"AbstractTextCN\":null,\"PMCID\":null,\"EPubDate\":\"2025/1/1 0:00:00\",\"PubModel\":\"eCollection\",\"JCR\":\"Q3\",\"JCRName\":\"MEDICINE, GENERAL & INTERNAL\",\"Score\":null,\"Total\":0}","platform":"Semanticscholar","paperid":null,"PeriodicalName":"AME Case Reports","FirstCategoryId":"1085","ListUrlMain":"https://doi.org/10.21037/acr-24-235","RegionNum":0,"RegionCategory":null,"ArticlePicture":[],"TitleCN":null,"AbstractTextCN":null,"PMCID":null,"EPubDate":"2025/1/1 0:00:00","PubModel":"eCollection","JCR":"Q3","JCRName":"MEDICINE, GENERAL & INTERNAL","Score":null,"Total":0}
引用次数: 0

摘要

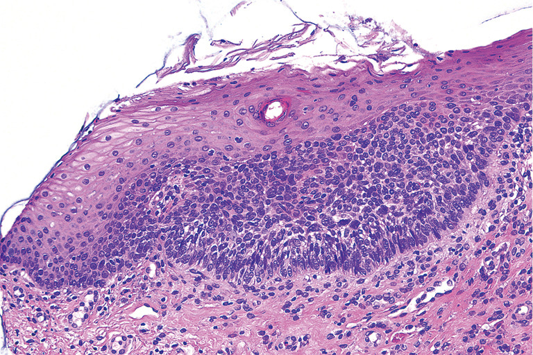
背景:口内基底细胞癌(IOBCC)是一种极其罕见的癌症,通常采用手术切除治疗。然而,无法切除的复发性IOBCC的治疗尚不清楚。我们报告一例复发性IOBCC用vismodegib治疗后仅6个月的快速和持久的反应。病例描述:60岁女性,2016年8月首次诊断为IOBCC,累及右侧颊黏膜和右侧前硬腭。随后,她接受了广泛的局部切除,边缘受累。她的第一次局部复发发生在最初诊断四年半后,并继续进行进一步的手术切除。2年后,她再次局部复发,无法进行进一步的手术和放疗。随后,患者每日给予维莫替吉150mg,通过胃切开饲管给予治疗,治疗3个月内达到临床完全缓解。治疗6个月后,由于副作用逐渐加重,患者停止治疗。在过去2年中,她仍在接受监测,临床检查和重复活检均无病。据我们所知,这是第一例不能手术的复发性IOBCC患者,通过胃切开管给予维莫替吉治疗,导致持久的完全缓解。患者的肿瘤在治疗开始后3个月内明显消退,并在接下来的一年中持续改善。考虑到复发性IOBCC的侵袭性和患者先前的治疗史,本病例对vismodegib的快速和持久的反应尤其值得注意。vismodegib通过胃造口喂养管的有效管理是另一个重要的临床发现。这种方法证明了vismodegib治疗的灵活性,可能适用于其他面临喂养或药物管理挑战的患者。结论:Vismodegib可诱导IOBCC快速、有效和持久的反应。通过胃切开管给药维莫德吉是安全的,而且不影响其疗效。需要更长期和更大规模的队列随访研究来充分评估vismodegib在该患者群体中的有效性和安全性。
本文章由计算机程序翻译,如有差异,请以英文原文为准。

Case report of long-term disease control of recurrent intraoral basal cell carcinoma with vismodegib at two-year follow-up.

Case report of long-term disease control of recurrent intraoral basal cell carcinoma with vismodegib at two-year follow-up.

Case report of long-term disease control of recurrent intraoral basal cell carcinoma with vismodegib at two-year follow-up.

Case report of long-term disease control of recurrent intraoral basal cell carcinoma with vismodegib at two-year follow-up.

Background: Intraoral basal cell carcinoma (IOBCC) is an extremely rare cancer and is usually treated with surgical excision. However, the management of recurrent IOBCC not amenable to resection is unknown. We report a case of effective treatment of recurrent IOBCC with vismodegib with rapid and durable response following only 6 months of treatment.

Case description: A 60-year-old female with IOBCC was first diagnosed in August 2016 involving right buccal mucosa and right anterior hard palate. She subsequently underwent wide local excision with involved margins. Her first local recurrence occurred four and a half years after initial diagnosis and went on to have further surgical resection. Her second local recurrence occurred 2 years later, where further surgery and radiotherapy were not amenable. She was then treated with vismodegib 150 mg daily, delivered via her gastrotomy feeding tube and she achieved clinical complete response within 3 months of treatment. Following 6 months of treatment, due to progressive side effects, she ceased treatment. She remains on surveillance and disease-free on clinical examination and repeat biopsy for the past 2 years. To our knowledge, this is the first case of inoperable recurrent IOBCC treated with vismodegib, delivered via gastrotomy tube, leading to a durable complete response. The patient's tumour showed significant regression within 3 months of treatment initiation, with continued improvement over the following year. The rapid and durable response to vismodegib in this case is particularly noteworthy, considering the aggressive nature of recurrent IOBCC and the patient's prior treatment history. The effective administration of vismodegib through a gastrostomy feeding tube is an additional important clinical finding. This approach demonstrates the flexibility of vismodegib treatment and may be applicable to other patients facing feeding or medication administration challenges.

Conclusions: Vismodegib can induce rapid, effective, and durable responses in IOBCC. The administration of vismodegib via gastrotomy tube was found to be safe and did not compromise its efficacy. Longer-term and larger cohort follow-up studies are needed to fully evaluate the efficacy and safety of vismodegib in this patient population.

求助全文
通过发布文献求助,成功后即可免费获取论文全文。 去求助
来源期刊
自引率
0.00%
发文量
0
×
引用
GB/T 7714-2015
复制
MLA
复制
APA
复制
导出至
BibTeX EndNote RefMan NoteFirst NoteExpress
×
提示
您的信息不完整,为了账户安全,请先补充。
现在去补充
×
提示
您因"违规操作"
具体请查看互助需知
我知道了
×
提示
确定
请完成安全验证×
copy
已复制链接
快去分享给好友吧!
我知道了
右上角分享
点击右上角分享
0
联系我们:info@booksci.cn Book学术提供免费学术资源搜索服务,方便国内外学者检索中英文文献。致力于提供最便捷和优质的服务体验。 Copyright © 2023 布克学术 All rights reserved.
京ICP备2023020795号-1
ghs 京公网安备 11010802042870号
Book学术文献互助
Book学术文献互助群
群 号:604180095
Book学术官方微信