心肺复苏后连枷胸应用Nuss程序1例报告。

IF 0.7 Q3 MEDICINE, GENERAL & INTERNAL
AME Case Reports Pub Date : 2025-07-15 eCollection Date: 2025-01-01 DOI:10.21037/acr-25-23
Yoshinobu Ichiki, Nako Saito, Ei Yamaki, Tomokazu Ito
{"title":"心肺复苏后连枷胸应用Nuss程序1例报告。","authors":"Yoshinobu Ichiki, Nako Saito, Ei Yamaki, Tomokazu Ito","doi":"10.21037/acr-25-23","DOIUrl":null,"url":null,"abstract":"<p><strong>Background: </strong>The Nuss procedure is a minimally invasive surgical procedure for treating pectus excavatum. Recently, its application has been extended to flail chest.</p><p><strong>Case description: </strong>A 72-year-old woman presented to the emergency department with ventricular fibrillation caused by acute myocardial infarction. The patient underwent cardiac catheterization and coronary artery stenting following cardiopulmonary resuscitation (CPR). The patient was referred to Fukaya Red Cross Hospital owing to dyspnea caused by a flail chest following CPR. Being an elderly woman, the supporting tissues of the thorax had weakened, and she had a pronounced flail chest, a labored breathing pattern, and severe respiratory distress. Although there is the disadvantage that cardiac massage would become difficult, the cardiologist determined that cardiac function had stabilized after stent placement and that the likelihood of cardiac massage being necessary was extremely low, and therefore it was determined that repair using the Nuss method would be preferable. Two Nuss bars were inserted. Following the procedure, her respiratory condition improved, and she was discharged. Eight months later, the collapse of the anterior chest wall had resolved, and the Nuss bars were removed. However, the patient developed bilateral pneumothoraces post-removal. Thoracic drainage was performed, leading to improvement, and she was subsequently discharged.</p><p><strong>Conclusions: </strong>This is a rare case of using the Nuss procedure to treat flail chest following CPR. Despite the occurrence of bilateral pneumothorax after Nuss bar removal, the patient's respiratory condition significantly improved, and she had a favorable prognosis.</p>","PeriodicalId":29752,"journal":{"name":"AME Case Reports","volume":"9 ","pages":"97"},"PeriodicalIF":0.7000,"publicationDate":"2025-07-15","publicationTypes":"Journal Article","fieldsOfStudy":null,"isOpenAccess":false,"openAccessPdf":"https://www.ncbi.nlm.nih.gov/pmc/articles/PMC12319589/pdf/","citationCount":"0","resultStr":"{\"title\":\"Application of the Nuss procedure for flail chest following cardiopulmonary resuscitation: a case report.\",\"authors\":\"Yoshinobu Ichiki, Nako Saito, Ei Yamaki, Tomokazu Ito\",\"doi\":\"10.21037/acr-25-23\",\"DOIUrl\":null,\"url\":null,\"abstract\":\"<p><strong>Background: </strong>The Nuss procedure is a minimally invasive surgical procedure for treating pectus excavatum. Recently, its application has been extended to flail chest.</p><p><strong>Case description: </strong>A 72-year-old woman presented to the emergency department with ventricular fibrillation caused by acute myocardial infarction. The patient underwent cardiac catheterization and coronary artery stenting following cardiopulmonary resuscitation (CPR). The patient was referred to Fukaya Red Cross Hospital owing to dyspnea caused by a flail chest following CPR. Being an elderly woman, the supporting tissues of the thorax had weakened, and she had a pronounced flail chest, a labored breathing pattern, and severe respiratory distress. Although there is the disadvantage that cardiac massage would become difficult, the cardiologist determined that cardiac function had stabilized after stent placement and that the likelihood of cardiac massage being necessary was extremely low, and therefore it was determined that repair using the Nuss method would be preferable. Two Nuss bars were inserted. Following the procedure, her respiratory condition improved, and she was discharged. Eight months later, the collapse of the anterior chest wall had resolved, and the Nuss bars were removed. However, the patient developed bilateral pneumothoraces post-removal. Thoracic drainage was performed, leading to improvement, and she was subsequently discharged.</p><p><strong>Conclusions: </strong>This is a rare case of using the Nuss procedure to treat flail chest following CPR. Despite the occurrence of bilateral pneumothorax after Nuss bar removal, the patient's respiratory condition significantly improved, and she had a favorable prognosis.</p>\",\"PeriodicalId\":29752,\"journal\":{\"name\":\"AME Case Reports\",\"volume\":\"9 \",\"pages\":\"97\"},\"PeriodicalIF\":0.7000,\"publicationDate\":\"2025-07-15\",\"publicationTypes\":\"Journal Article\",\"fieldsOfStudy\":null,\"isOpenAccess\":false,\"openAccessPdf\":\"https://www.ncbi.nlm.nih.gov/pmc/articles/PMC12319589/pdf/\",\"citationCount\":\"0\",\"resultStr\":null,\"platform\":\"Semanticscholar\",\"paperid\":null,\"PeriodicalName\":\"AME Case Reports\",\"FirstCategoryId\":\"1085\",\"ListUrlMain\":\"https://doi.org/10.21037/acr-25-23\",\"RegionNum\":0,\"RegionCategory\":null,\"ArticlePicture\":[],\"TitleCN\":null,\"AbstractTextCN\":null,\"PMCID\":null,\"EPubDate\":\"2025/1/1 0:00:00\",\"PubModel\":\"eCollection\",\"JCR\":\"Q3\",\"JCRName\":\"MEDICINE, GENERAL & INTERNAL\",\"Score\":null,\"Total\":0}","platform":"Semanticscholar","paperid":null,"PeriodicalName":"AME Case Reports","FirstCategoryId":"1085","ListUrlMain":"https://doi.org/10.21037/acr-25-23","RegionNum":0,"RegionCategory":null,"ArticlePicture":[],"TitleCN":null,"AbstractTextCN":null,"PMCID":null,"EPubDate":"2025/1/1 0:00:00","PubModel":"eCollection","JCR":"Q3","JCRName":"MEDICINE, GENERAL & INTERNAL","Score":null,"Total":0}
引用次数: 0

摘要

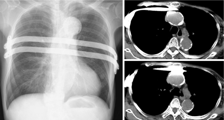
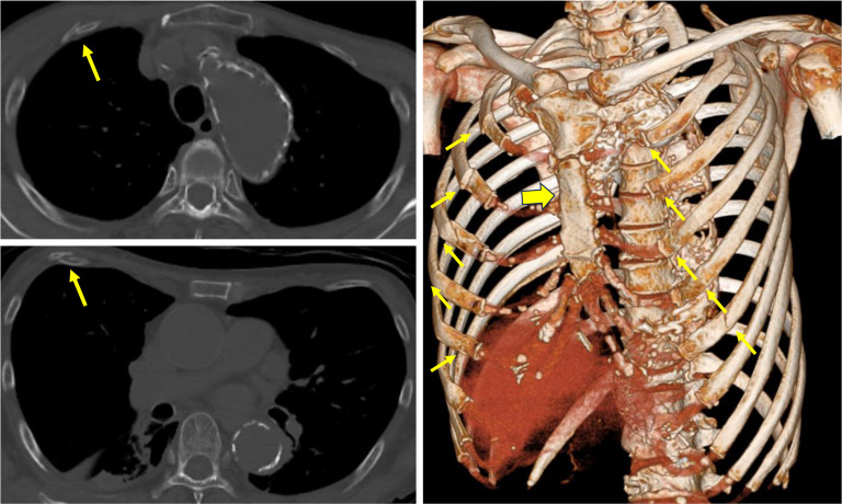
背景:Nuss手术是一种治疗漏斗胸的微创手术。近年来,其应用范围已扩展到连枷胸。病例描述:一名72岁的女性因急性心肌梗死引起的心室颤动而被送到急诊科。患者在心肺复苏(CPR)后接受了心导管插入术和冠状动脉支架植入术。病人因心肺复苏术后连枷胸造成呼吸困难而被转介到深谷红十字医院。作为一名上了年纪的妇女,胸部的支撑组织已经衰弱,她有明显的连枷胸,呼吸困难,严重的呼吸窘迫。尽管存在心脏按摩变得困难的缺点,但心脏病专家认为支架放置后心功能稳定,需要心脏按摩的可能性极低,因此确定使用Nuss方法进行修复是可取的。插入两根纳斯棒。手术后,她的呼吸状况有所改善,并出院了。8个月后,前胸壁塌陷得到解决,Nuss棒被移除。然而,患者在手术后出现双侧气胸。行胸腔引流术,病情好转,随后出院。结论:这是一个罕见的病例使用Nuss程序治疗连枷胸心肺复苏术后。Nuss bar拔除后虽出现双侧气胸,但患者呼吸状况明显改善,预后良好。
本文章由计算机程序翻译,如有差异,请以英文原文为准。

Application of the Nuss procedure for flail chest following cardiopulmonary resuscitation: a case report.

Application of the Nuss procedure for flail chest following cardiopulmonary resuscitation: a case report.

Application of the Nuss procedure for flail chest following cardiopulmonary resuscitation: a case report.

Application of the Nuss procedure for flail chest following cardiopulmonary resuscitation: a case report.

Background: The Nuss procedure is a minimally invasive surgical procedure for treating pectus excavatum. Recently, its application has been extended to flail chest.

Case description: A 72-year-old woman presented to the emergency department with ventricular fibrillation caused by acute myocardial infarction. The patient underwent cardiac catheterization and coronary artery stenting following cardiopulmonary resuscitation (CPR). The patient was referred to Fukaya Red Cross Hospital owing to dyspnea caused by a flail chest following CPR. Being an elderly woman, the supporting tissues of the thorax had weakened, and she had a pronounced flail chest, a labored breathing pattern, and severe respiratory distress. Although there is the disadvantage that cardiac massage would become difficult, the cardiologist determined that cardiac function had stabilized after stent placement and that the likelihood of cardiac massage being necessary was extremely low, and therefore it was determined that repair using the Nuss method would be preferable. Two Nuss bars were inserted. Following the procedure, her respiratory condition improved, and she was discharged. Eight months later, the collapse of the anterior chest wall had resolved, and the Nuss bars were removed. However, the patient developed bilateral pneumothoraces post-removal. Thoracic drainage was performed, leading to improvement, and she was subsequently discharged.

Conclusions: This is a rare case of using the Nuss procedure to treat flail chest following CPR. Despite the occurrence of bilateral pneumothorax after Nuss bar removal, the patient's respiratory condition significantly improved, and she had a favorable prognosis.

求助全文
通过发布文献求助,成功后即可免费获取论文全文。 去求助
来源期刊
自引率
0.00%
发文量
0
×
引用
GB/T 7714-2015
复制
MLA
复制
APA
复制
导出至
BibTeX EndNote RefMan NoteFirst NoteExpress
×
提示
您的信息不完整,为了账户安全,请先补充。
现在去补充
×
提示
您因"违规操作"
具体请查看互助需知
我知道了
×
提示
确定
请完成安全验证×
copy
已复制链接
快去分享给好友吧!
我知道了
右上角分享
点击右上角分享
0
联系我们:info@booksci.cn Book学术提供免费学术资源搜索服务,方便国内外学者检索中英文文献。致力于提供最便捷和优质的服务体验。 Copyright © 2023 布克学术 All rights reserved.
京ICP备2023020795号-1
ghs 京公网安备 11010802042870号
Book学术文献互助
Book学术文献互助群
群 号:604180095
Book学术官方微信