霍奇金淋巴瘤幸存者第二次乳腺癌化疗引起的罕见血栓性微血管病变并发症:1例报告。

IF 0.7 Q3 MEDICINE, GENERAL & INTERNAL
AME Case Reports Pub Date : 2025-07-15 eCollection Date: 2025-01-01 DOI:10.21037/acr-24-247
Song Wang, Huan Liu, Wei Wei, Yu-Lu Zhang, Lei Huang
{"title":"霍奇金淋巴瘤幸存者第二次乳腺癌化疗引起的罕见血栓性微血管病变并发症:1例报告。","authors":"Song Wang, Huan Liu, Wei Wei, Yu-Lu Zhang, Lei Huang","doi":"10.21037/acr-24-247","DOIUrl":null,"url":null,"abstract":"<p><strong>Background: </strong>Thrombotic microangiopathy (TMA) is a rare, life-threatening syndrome characterized by microvascular thrombosis, hemolytic anemia, thrombocytopenia, and organ dysfunction. While it can be induced by infections, drugs, malignancies, autoimmune disorders, or genetic defects, TMA is particularly uncommon in second breast cancer (SBC) patients with a history of Hodgkin lymphoma (HL).</p><p><strong>Case description: </strong>We describe a 45-year-old female who developed metastatic SBC 18 years after curative HL treatment. The diagnosis of TMA was established on the basis of thrombocytopenia, hemolytic anemia (elevated lactate dehydrogenase, low haptoglobin, and a reticulocyte count of 5.72%), and multi-organ dysfunction, following the exclusion of thrombotic thrombocytopenic purpura and Shiga toxin-producing <i>Escherichia coli</i> (STEC)-hemolytic uremic syndrome. In this case, the multifactorial etiology-stemming from both paraneoplastic endothelial injury and chemotherapy-induced toxicity-complicated the clinical picture. Despite aggressive supportive measures, including plasma exchange and antibiotics, the patient's condition rapidly deteriorated, culminating in fatal cerebral hemorrhage.</p><p><strong>Conclusions: </strong>This case highlights the diagnostic and therapeutic challenges of TMA in patients with complex oncologic histories, as exemplified by its rare occurrence in a patient with SBC post-HL. Although supportive care remains paramount, our findings suggest that complement inhibition with eculizumab may offer benefits in select cases, such as chemotherapy-induced and paraneoplastic TMA. Early detection and targeted intervention are crucial, warranting further research into eculizumab's potential role in high-risk settings.</p>","PeriodicalId":29752,"journal":{"name":"AME Case Reports","volume":"9 ","pages":"94"},"PeriodicalIF":0.7000,"publicationDate":"2025-07-15","publicationTypes":"Journal Article","fieldsOfStudy":null,"isOpenAccess":false,"openAccessPdf":"https://www.ncbi.nlm.nih.gov/pmc/articles/PMC12319590/pdf/","citationCount":"0","resultStr":"{\"title\":\"A rare complication of thrombotic microangiopathy induced by chemotherapy for second breast cancer in a Hodgkin lymphoma survivor: a case report.\",\"authors\":\"Song Wang, Huan Liu, Wei Wei, Yu-Lu Zhang, Lei Huang\",\"doi\":\"10.21037/acr-24-247\",\"DOIUrl\":null,\"url\":null,\"abstract\":\"<p><strong>Background: </strong>Thrombotic microangiopathy (TMA) is a rare, life-threatening syndrome characterized by microvascular thrombosis, hemolytic anemia, thrombocytopenia, and organ dysfunction. While it can be induced by infections, drugs, malignancies, autoimmune disorders, or genetic defects, TMA is particularly uncommon in second breast cancer (SBC) patients with a history of Hodgkin lymphoma (HL).</p><p><strong>Case description: </strong>We describe a 45-year-old female who developed metastatic SBC 18 years after curative HL treatment. The diagnosis of TMA was established on the basis of thrombocytopenia, hemolytic anemia (elevated lactate dehydrogenase, low haptoglobin, and a reticulocyte count of 5.72%), and multi-organ dysfunction, following the exclusion of thrombotic thrombocytopenic purpura and Shiga toxin-producing <i>Escherichia coli</i> (STEC)-hemolytic uremic syndrome. In this case, the multifactorial etiology-stemming from both paraneoplastic endothelial injury and chemotherapy-induced toxicity-complicated the clinical picture. Despite aggressive supportive measures, including plasma exchange and antibiotics, the patient's condition rapidly deteriorated, culminating in fatal cerebral hemorrhage.</p><p><strong>Conclusions: </strong>This case highlights the diagnostic and therapeutic challenges of TMA in patients with complex oncologic histories, as exemplified by its rare occurrence in a patient with SBC post-HL. Although supportive care remains paramount, our findings suggest that complement inhibition with eculizumab may offer benefits in select cases, such as chemotherapy-induced and paraneoplastic TMA. Early detection and targeted intervention are crucial, warranting further research into eculizumab's potential role in high-risk settings.</p>\",\"PeriodicalId\":29752,\"journal\":{\"name\":\"AME Case Reports\",\"volume\":\"9 \",\"pages\":\"94\"},\"PeriodicalIF\":0.7000,\"publicationDate\":\"2025-07-15\",\"publicationTypes\":\"Journal Article\",\"fieldsOfStudy\":null,\"isOpenAccess\":false,\"openAccessPdf\":\"https://www.ncbi.nlm.nih.gov/pmc/articles/PMC12319590/pdf/\",\"citationCount\":\"0\",\"resultStr\":null,\"platform\":\"Semanticscholar\",\"paperid\":null,\"PeriodicalName\":\"AME Case Reports\",\"FirstCategoryId\":\"1085\",\"ListUrlMain\":\"https://doi.org/10.21037/acr-24-247\",\"RegionNum\":0,\"RegionCategory\":null,\"ArticlePicture\":[],\"TitleCN\":null,\"AbstractTextCN\":null,\"PMCID\":null,\"EPubDate\":\"2025/1/1 0:00:00\",\"PubModel\":\"eCollection\",\"JCR\":\"Q3\",\"JCRName\":\"MEDICINE, GENERAL & INTERNAL\",\"Score\":null,\"Total\":0}","platform":"Semanticscholar","paperid":null,"PeriodicalName":"AME Case Reports","FirstCategoryId":"1085","ListUrlMain":"https://doi.org/10.21037/acr-24-247","RegionNum":0,"RegionCategory":null,"ArticlePicture":[],"TitleCN":null,"AbstractTextCN":null,"PMCID":null,"EPubDate":"2025/1/1 0:00:00","PubModel":"eCollection","JCR":"Q3","JCRName":"MEDICINE, GENERAL & INTERNAL","Score":null,"Total":0}
引用次数: 0

摘要

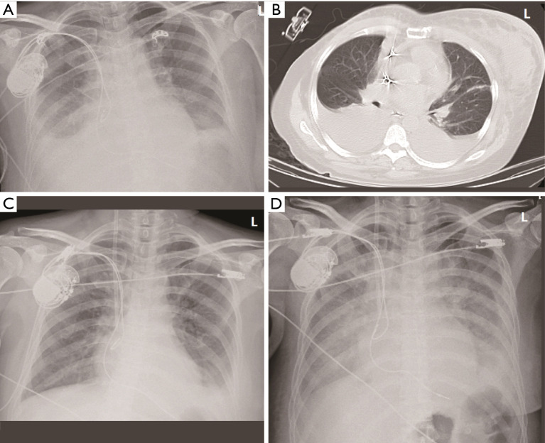
背景:血栓性微血管病(TMA)是一种罕见的危及生命的综合征,以微血管血栓形成、溶血性贫血、血小板减少和器官功能障碍为特征。虽然TMA可由感染、药物、恶性肿瘤、自身免疫性疾病或遗传缺陷引起,但在有霍奇金淋巴瘤(HL)病史的第二例乳腺癌(SBC)患者中尤其罕见。病例描述:我们描述了一位45岁的女性,在HL治疗18年后发生转移性SBC。TMA的诊断基于血小板减少、溶血性贫血(乳酸脱氢酶升高、接触珠蛋白低、网状红细胞计数5.72%)和多器官功能障碍,排除了血栓性血小板减少性紫癜和产志贺毒素大肠杆菌(STEC)-溶血性尿毒症综合征。在这种情况下,多因素的病因-源于副肿瘤内皮损伤和化疗引起的毒性-使临床情况复杂化。尽管采取了积极的支持措施,包括血浆置换和抗生素,但患者的病情迅速恶化,最终导致致命的脑出血。结论:该病例强调了TMA在复杂肿瘤病史患者中的诊断和治疗挑战,因为它很少发生在hl后SBC患者中。尽管支持性治疗仍然是最重要的,但我们的研究结果表明,eculizumab的补体抑制可能在某些情况下提供益处,例如化疗诱导的和副肿瘤TMA。早期发现和有针对性的干预是至关重要的,需要进一步研究eculizumab在高风险环境中的潜在作用。
本文章由计算机程序翻译,如有差异,请以英文原文为准。

A rare complication of thrombotic microangiopathy induced by chemotherapy for second breast cancer in a Hodgkin lymphoma survivor: a case report.

A rare complication of thrombotic microangiopathy induced by chemotherapy for second breast cancer in a Hodgkin lymphoma survivor: a case report.

Background: Thrombotic microangiopathy (TMA) is a rare, life-threatening syndrome characterized by microvascular thrombosis, hemolytic anemia, thrombocytopenia, and organ dysfunction. While it can be induced by infections, drugs, malignancies, autoimmune disorders, or genetic defects, TMA is particularly uncommon in second breast cancer (SBC) patients with a history of Hodgkin lymphoma (HL).

Case description: We describe a 45-year-old female who developed metastatic SBC 18 years after curative HL treatment. The diagnosis of TMA was established on the basis of thrombocytopenia, hemolytic anemia (elevated lactate dehydrogenase, low haptoglobin, and a reticulocyte count of 5.72%), and multi-organ dysfunction, following the exclusion of thrombotic thrombocytopenic purpura and Shiga toxin-producing Escherichia coli (STEC)-hemolytic uremic syndrome. In this case, the multifactorial etiology-stemming from both paraneoplastic endothelial injury and chemotherapy-induced toxicity-complicated the clinical picture. Despite aggressive supportive measures, including plasma exchange and antibiotics, the patient's condition rapidly deteriorated, culminating in fatal cerebral hemorrhage.

Conclusions: This case highlights the diagnostic and therapeutic challenges of TMA in patients with complex oncologic histories, as exemplified by its rare occurrence in a patient with SBC post-HL. Although supportive care remains paramount, our findings suggest that complement inhibition with eculizumab may offer benefits in select cases, such as chemotherapy-induced and paraneoplastic TMA. Early detection and targeted intervention are crucial, warranting further research into eculizumab's potential role in high-risk settings.

求助全文
通过发布文献求助,成功后即可免费获取论文全文。 去求助
来源期刊
自引率
0.00%
发文量
0
×
引用
GB/T 7714-2015
复制
MLA
复制
APA
复制
导出至
BibTeX EndNote RefMan NoteFirst NoteExpress
×
提示
您的信息不完整,为了账户安全,请先补充。
现在去补充
×
提示
您因"违规操作"
具体请查看互助需知
我知道了
×
提示
确定
请完成安全验证×
copy
已复制链接
快去分享给好友吧!
我知道了
右上角分享
点击右上角分享
0
联系我们:info@booksci.cn Book学术提供免费学术资源搜索服务,方便国内外学者检索中英文文献。致力于提供最便捷和优质的服务体验。 Copyright © 2023 布克学术 All rights reserved.
京ICP备2023020795号-1
ghs 京公网安备 11010802042870号
Book学术文献互助
Book学术文献互助群
群 号:604180095
Book学术官方微信