无听诊“扑通”声的心房肿块:肾细胞癌伴心脏晕厥1例。

IF 0.7 Q3 MEDICINE, GENERAL & INTERNAL
AME Case Reports Pub Date : 2025-07-11 eCollection Date: 2025-01-01 DOI:10.21037/acr-25-6
Leena Jamal, Raisa Syeda, Fares Jamal, Zaid Kasmikha, Joan Crawford
{"title":"无听诊“扑通”声的心房肿块:肾细胞癌伴心脏晕厥1例。","authors":"Leena Jamal, Raisa Syeda, Fares Jamal, Zaid Kasmikha, Joan Crawford","doi":"10.21037/acr-25-6","DOIUrl":null,"url":null,"abstract":"<p><strong>Background: </strong>Renal cell carcinoma (RCC) presenting with extension of tumor thrombus into the inferior vena cava (IVC) and right atrium is a rare, life-threatening condition that requires surgical treatment with the simultaneous involvement of multiple surgical subspecialties.</p><p><strong>Case description: </strong>We present a case of a 65-year-old male who presented to the hospital with syncope, and was subsequently diagnosed with a level four cavoatrial sinus tumor thrombus extending from a primary renal mass. The patient had no concerning physical exam and electrocardiogram (EKG) findings, however, transthoracic and transesophageal echocardiography revealed severely reduced systolic function with a hyperechoic, vascular, and cystic mass extending from the IVC into the right atrial cavity that originated from a renal mass that involved the right renal vein and IVC.</p><p><strong>Conclusions: </strong>The purpose of this case is to highlight the critical importance of early recognition and timely intervention in patients who present with nonspecific symptoms, such as syncope, which may signal underlying fatal conditions. This case illustrates RCC with tumor thrombus extending into the IVC and right atrium. This rare but serious manifestation highlights the need for a high index of suspicion and comprehensive evaluation when faced with vague clinical presentations. Early recognition not only facilitates appropriate management but can also alter the patient's prognosis and survival outcomes.</p>","PeriodicalId":29752,"journal":{"name":"AME Case Reports","volume":"9 ","pages":"95"},"PeriodicalIF":0.7000,"publicationDate":"2025-07-11","publicationTypes":"Journal Article","fieldsOfStudy":null,"isOpenAccess":false,"openAccessPdf":"https://www.ncbi.nlm.nih.gov/pmc/articles/PMC12319596/pdf/","citationCount":"0","resultStr":"{\"title\":\"The atrial mass without an auscultatory \\\"plop\\\": renal cell carcinoma presenting with cardiac syncope-a case report.\",\"authors\":\"Leena Jamal, Raisa Syeda, Fares Jamal, Zaid Kasmikha, Joan Crawford\",\"doi\":\"10.21037/acr-25-6\",\"DOIUrl\":null,\"url\":null,\"abstract\":\"<p><strong>Background: </strong>Renal cell carcinoma (RCC) presenting with extension of tumor thrombus into the inferior vena cava (IVC) and right atrium is a rare, life-threatening condition that requires surgical treatment with the simultaneous involvement of multiple surgical subspecialties.</p><p><strong>Case description: </strong>We present a case of a 65-year-old male who presented to the hospital with syncope, and was subsequently diagnosed with a level four cavoatrial sinus tumor thrombus extending from a primary renal mass. The patient had no concerning physical exam and electrocardiogram (EKG) findings, however, transthoracic and transesophageal echocardiography revealed severely reduced systolic function with a hyperechoic, vascular, and cystic mass extending from the IVC into the right atrial cavity that originated from a renal mass that involved the right renal vein and IVC.</p><p><strong>Conclusions: </strong>The purpose of this case is to highlight the critical importance of early recognition and timely intervention in patients who present with nonspecific symptoms, such as syncope, which may signal underlying fatal conditions. This case illustrates RCC with tumor thrombus extending into the IVC and right atrium. This rare but serious manifestation highlights the need for a high index of suspicion and comprehensive evaluation when faced with vague clinical presentations. Early recognition not only facilitates appropriate management but can also alter the patient's prognosis and survival outcomes.</p>\",\"PeriodicalId\":29752,\"journal\":{\"name\":\"AME Case Reports\",\"volume\":\"9 \",\"pages\":\"95\"},\"PeriodicalIF\":0.7000,\"publicationDate\":\"2025-07-11\",\"publicationTypes\":\"Journal Article\",\"fieldsOfStudy\":null,\"isOpenAccess\":false,\"openAccessPdf\":\"https://www.ncbi.nlm.nih.gov/pmc/articles/PMC12319596/pdf/\",\"citationCount\":\"0\",\"resultStr\":null,\"platform\":\"Semanticscholar\",\"paperid\":null,\"PeriodicalName\":\"AME Case Reports\",\"FirstCategoryId\":\"1085\",\"ListUrlMain\":\"https://doi.org/10.21037/acr-25-6\",\"RegionNum\":0,\"RegionCategory\":null,\"ArticlePicture\":[],\"TitleCN\":null,\"AbstractTextCN\":null,\"PMCID\":null,\"EPubDate\":\"2025/1/1 0:00:00\",\"PubModel\":\"eCollection\",\"JCR\":\"Q3\",\"JCRName\":\"MEDICINE, GENERAL & INTERNAL\",\"Score\":null,\"Total\":0}","platform":"Semanticscholar","paperid":null,"PeriodicalName":"AME Case Reports","FirstCategoryId":"1085","ListUrlMain":"https://doi.org/10.21037/acr-25-6","RegionNum":0,"RegionCategory":null,"ArticlePicture":[],"TitleCN":null,"AbstractTextCN":null,"PMCID":null,"EPubDate":"2025/1/1 0:00:00","PubModel":"eCollection","JCR":"Q3","JCRName":"MEDICINE, GENERAL & INTERNAL","Score":null,"Total":0}
引用次数: 0

摘要

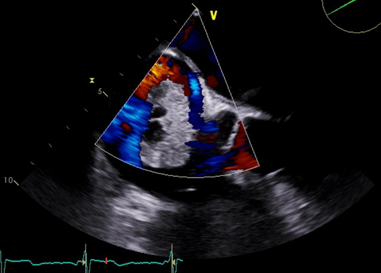
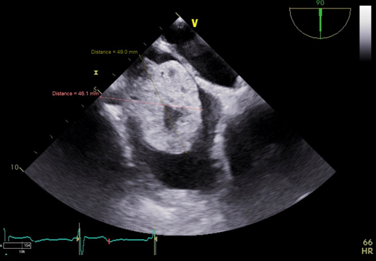
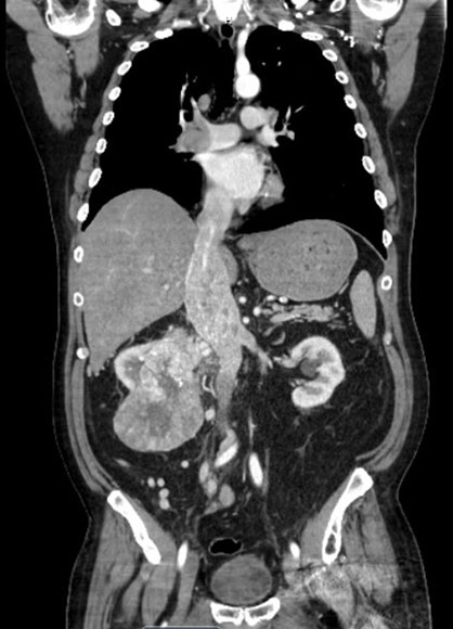
背景:肾细胞癌(RCC)表现为肿瘤血栓延伸至下腔静脉(IVC)和右心房,是一种罕见的危及生命的疾病,需要手术治疗,同时涉及多个手术亚专科。病例描述:我们报告了一个65岁男性的病例,他以晕厥就诊,随后被诊断为原发性肾肿块延伸的4级腔房窦肿瘤血栓。患者未见相关体格检查和心电图(EKG)结果,但经胸和经食管超声心动图显示收缩功能严重减退,伴有高回声、血管性和囊性肿块,从下腔静脉延伸至右心房腔,起源于累及右肾静脉和下腔静脉的肾肿块。结论:本病例的目的是强调早期识别和及时干预出现非特异性症状的患者的重要性,如晕厥,这可能预示着潜在的致命疾病。本病例显示肿瘤血栓延伸至下腔静脉和右心房的RCC。这种罕见但严重的表现强调了在面对模糊的临床表现时需要高度的怀疑和全面的评估。早期识别不仅有助于适当的管理,而且可以改变患者的预后和生存结果。
本文章由计算机程序翻译,如有差异,请以英文原文为准。

The atrial mass without an auscultatory "plop": renal cell carcinoma presenting with cardiac syncope-a case report.

The atrial mass without an auscultatory "plop": renal cell carcinoma presenting with cardiac syncope-a case report.

The atrial mass without an auscultatory "plop": renal cell carcinoma presenting with cardiac syncope-a case report.

The atrial mass without an auscultatory "plop": renal cell carcinoma presenting with cardiac syncope-a case report.

Background: Renal cell carcinoma (RCC) presenting with extension of tumor thrombus into the inferior vena cava (IVC) and right atrium is a rare, life-threatening condition that requires surgical treatment with the simultaneous involvement of multiple surgical subspecialties.

Case description: We present a case of a 65-year-old male who presented to the hospital with syncope, and was subsequently diagnosed with a level four cavoatrial sinus tumor thrombus extending from a primary renal mass. The patient had no concerning physical exam and electrocardiogram (EKG) findings, however, transthoracic and transesophageal echocardiography revealed severely reduced systolic function with a hyperechoic, vascular, and cystic mass extending from the IVC into the right atrial cavity that originated from a renal mass that involved the right renal vein and IVC.

Conclusions: The purpose of this case is to highlight the critical importance of early recognition and timely intervention in patients who present with nonspecific symptoms, such as syncope, which may signal underlying fatal conditions. This case illustrates RCC with tumor thrombus extending into the IVC and right atrium. This rare but serious manifestation highlights the need for a high index of suspicion and comprehensive evaluation when faced with vague clinical presentations. Early recognition not only facilitates appropriate management but can also alter the patient's prognosis and survival outcomes.

求助全文
通过发布文献求助,成功后即可免费获取论文全文。 去求助
来源期刊
自引率
0.00%
发文量
0
×
引用
GB/T 7714-2015
复制
MLA
复制
APA
复制
导出至
BibTeX EndNote RefMan NoteFirst NoteExpress
×
提示
您的信息不完整,为了账户安全,请先补充。
现在去补充
×
提示
您因"违规操作"
具体请查看互助需知
我知道了
×
提示
确定
请完成安全验证×
copy
已复制链接
快去分享给好友吧!
我知道了
右上角分享
点击右上角分享
0
联系我们:info@booksci.cn Book学术提供免费学术资源搜索服务,方便国内外学者检索中英文文献。致力于提供最便捷和优质的服务体验。 Copyright © 2023 布克学术 All rights reserved.
京ICP备2023020795号-1
ghs 京公网安备 11010802042870号
Book学术文献互助
Book学术文献互助群
群 号:604180095
Book学术官方微信