新辅助化疗联合靶向治疗后IIIb (N2)、ROS1(+)非小细胞肺癌的手术治疗1例

IF 0.7 Q3 MEDICINE, GENERAL & INTERNAL
AME Case Reports Pub Date : 2025-06-19 eCollection Date: 2025-01-01 DOI:10.21037/acr-24-151
Shuai Xiao, Yiting Shi, Rui Li
{"title":"新辅助化疗联合靶向治疗后IIIb (N2)、ROS1(+)非小细胞肺癌的手术治疗1例","authors":"Shuai Xiao, Yiting Shi, Rui Li","doi":"10.21037/acr-24-151","DOIUrl":null,"url":null,"abstract":"<p><strong>Background: </strong>Non-small cell lung cancer accounts for more than 85% of lung malignancies. Preoperative neoadjuvant therapy is considered to be a method that can improve the long-term prognosis of locally advanced non-small cell lung cancer, and radiotherapy and chemotherapy are the main treatment options. With the continuous discovery of different targets, more and more targeted drugs benefit more patients, but there are few reports on the treatment mode of targeted neoadjuvant combined chemotherapy. In this study, we report a case of targeted combination chemotherapy as a new adjuvant option for locally advanced lung adenocarcinoma, with a view to providing more treatment references for similar patients. ROS proto-oncogene 1 (<i>ROS1</i>) rearrangements are observed in 1-2% of patients with non-small cell lung cancer (NSCLC). It is a clinically rare mutation, and patients with <i>ROS1</i> fusions have been shown to be highly sensitive to treatment with crizotinib. However, the efficacy and safety of crizotinib combined with neoadjuvant chemotherapy in patients with locally advanced NSCLC remain to be elucidated.</p><p><strong>Case description: </strong>We report the case of a 49-year-old male who was diagnosed with stage IIIb (N2) lung adenocarcinoma. Next-generation sequencing revealed <i>ROS1</i> fusions, and crizotinib was given simultaneously with targeted therapy during neoadjuvant chemotherapy. After 3 cycles of chemotherapy, surgery was performed, and the pathological results revealed major pathological response (MPR). Two years later, local and general examinations revealed no evidence of tumour recurrence.</p><p><strong>Conclusions: </strong>This study highlights the effective exploration of the combination of targeted therapy and chemotherapy in the neoadjuvant treatment mode of locally advanced non-small cell lung cancer. For patients with sensitive genetic mutations, early use may benefit the patient more, just as the most effective time to use a fire extinguisher is when the flame starts.</p>","PeriodicalId":29752,"journal":{"name":"AME Case Reports","volume":"9 ","pages":"83"},"PeriodicalIF":0.7000,"publicationDate":"2025-06-19","publicationTypes":"Journal Article","fieldsOfStudy":null,"isOpenAccess":false,"openAccessPdf":"https://www.ncbi.nlm.nih.gov/pmc/articles/PMC12319613/pdf/","citationCount":"0","resultStr":"{\"title\":\"Surgical treatment of IIIb (N2), ROS1(+) non-small cell lung cancer after neoadjuvant chemotherapy combined with targeted therapy: a case report.\",\"authors\":\"Shuai Xiao, Yiting Shi, Rui Li\",\"doi\":\"10.21037/acr-24-151\",\"DOIUrl\":null,\"url\":null,\"abstract\":\"<p><strong>Background: </strong>Non-small cell lung cancer accounts for more than 85% of lung malignancies. Preoperative neoadjuvant therapy is considered to be a method that can improve the long-term prognosis of locally advanced non-small cell lung cancer, and radiotherapy and chemotherapy are the main treatment options. With the continuous discovery of different targets, more and more targeted drugs benefit more patients, but there are few reports on the treatment mode of targeted neoadjuvant combined chemotherapy. In this study, we report a case of targeted combination chemotherapy as a new adjuvant option for locally advanced lung adenocarcinoma, with a view to providing more treatment references for similar patients. ROS proto-oncogene 1 (<i>ROS1</i>) rearrangements are observed in 1-2% of patients with non-small cell lung cancer (NSCLC). It is a clinically rare mutation, and patients with <i>ROS1</i> fusions have been shown to be highly sensitive to treatment with crizotinib. However, the efficacy and safety of crizotinib combined with neoadjuvant chemotherapy in patients with locally advanced NSCLC remain to be elucidated.</p><p><strong>Case description: </strong>We report the case of a 49-year-old male who was diagnosed with stage IIIb (N2) lung adenocarcinoma. Next-generation sequencing revealed <i>ROS1</i> fusions, and crizotinib was given simultaneously with targeted therapy during neoadjuvant chemotherapy. After 3 cycles of chemotherapy, surgery was performed, and the pathological results revealed major pathological response (MPR). Two years later, local and general examinations revealed no evidence of tumour recurrence.</p><p><strong>Conclusions: </strong>This study highlights the effective exploration of the combination of targeted therapy and chemotherapy in the neoadjuvant treatment mode of locally advanced non-small cell lung cancer. For patients with sensitive genetic mutations, early use may benefit the patient more, just as the most effective time to use a fire extinguisher is when the flame starts.</p>\",\"PeriodicalId\":29752,\"journal\":{\"name\":\"AME Case Reports\",\"volume\":\"9 \",\"pages\":\"83\"},\"PeriodicalIF\":0.7000,\"publicationDate\":\"2025-06-19\",\"publicationTypes\":\"Journal Article\",\"fieldsOfStudy\":null,\"isOpenAccess\":false,\"openAccessPdf\":\"https://www.ncbi.nlm.nih.gov/pmc/articles/PMC12319613/pdf/\",\"citationCount\":\"0\",\"resultStr\":null,\"platform\":\"Semanticscholar\",\"paperid\":null,\"PeriodicalName\":\"AME Case Reports\",\"FirstCategoryId\":\"1085\",\"ListUrlMain\":\"https://doi.org/10.21037/acr-24-151\",\"RegionNum\":0,\"RegionCategory\":null,\"ArticlePicture\":[],\"TitleCN\":null,\"AbstractTextCN\":null,\"PMCID\":null,\"EPubDate\":\"2025/1/1 0:00:00\",\"PubModel\":\"eCollection\",\"JCR\":\"Q3\",\"JCRName\":\"MEDICINE, GENERAL & INTERNAL\",\"Score\":null,\"Total\":0}","platform":"Semanticscholar","paperid":null,"PeriodicalName":"AME Case Reports","FirstCategoryId":"1085","ListUrlMain":"https://doi.org/10.21037/acr-24-151","RegionNum":0,"RegionCategory":null,"ArticlePicture":[],"TitleCN":null,"AbstractTextCN":null,"PMCID":null,"EPubDate":"2025/1/1 0:00:00","PubModel":"eCollection","JCR":"Q3","JCRName":"MEDICINE, GENERAL & INTERNAL","Score":null,"Total":0}
引用次数: 0

摘要

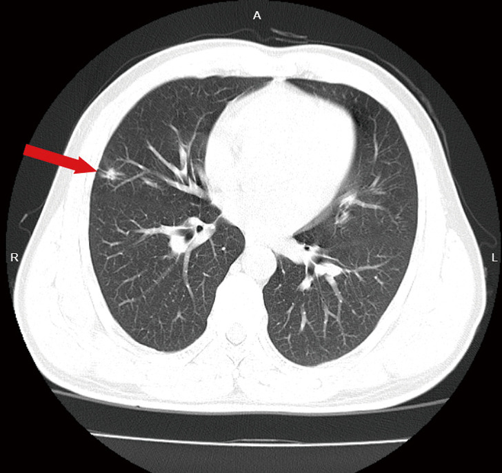
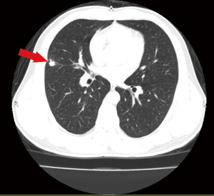
背景:非小细胞肺癌占肺恶性肿瘤的85%以上。术前新辅助治疗被认为是改善局部晚期非小细胞肺癌远期预后的一种方法,放疗和化疗是主要的治疗选择。随着不同靶点的不断发现,越来越多的靶向药物使更多的患者受益,但靶向新辅助联合化疗的治疗模式鲜有报道。本研究报告1例靶向联合化疗作为局部晚期肺腺癌新的辅助治疗方案,以期为类似患者提供更多的治疗参考。1-2%的非小细胞肺癌(NSCLC)患者存在ROS原癌基因1 (ROS1)重排。这是一种临床上罕见的突变,ROS1融合的患者已被证明对克唑替尼治疗高度敏感。然而,克唑替尼联合新辅助化疗在局部晚期NSCLC患者中的疗效和安全性仍有待阐明。病例描述:我们报告一例49岁男性被诊断为IIIb (N2)期肺腺癌。新一代测序显示ROS1融合,在新辅助化疗期间同时给予克唑替尼和靶向治疗。化疗3个周期后行手术治疗,病理结果显示有重大病理反应(major pathological response, MPR)。两年后,局部和全身检查均未发现肿瘤复发的迹象。结论:本研究突出了局部晚期非小细胞肺癌新辅助治疗模式中靶向治疗与化疗联合治疗的有效探索。对于具有敏感基因突变的患者,尽早使用可能对患者更有好处,就像灭火器最有效的使用时间是在火焰开始时一样。
本文章由计算机程序翻译,如有差异,请以英文原文为准。

Surgical treatment of IIIb (N2), ROS1(+) non-small cell lung cancer after neoadjuvant chemotherapy combined with targeted therapy: a case report.

Surgical treatment of IIIb (N2), ROS1(+) non-small cell lung cancer after neoadjuvant chemotherapy combined with targeted therapy: a case report.

Surgical treatment of IIIb (N2), ROS1(+) non-small cell lung cancer after neoadjuvant chemotherapy combined with targeted therapy: a case report.

Surgical treatment of IIIb (N2), ROS1(+) non-small cell lung cancer after neoadjuvant chemotherapy combined with targeted therapy: a case report.

Background: Non-small cell lung cancer accounts for more than 85% of lung malignancies. Preoperative neoadjuvant therapy is considered to be a method that can improve the long-term prognosis of locally advanced non-small cell lung cancer, and radiotherapy and chemotherapy are the main treatment options. With the continuous discovery of different targets, more and more targeted drugs benefit more patients, but there are few reports on the treatment mode of targeted neoadjuvant combined chemotherapy. In this study, we report a case of targeted combination chemotherapy as a new adjuvant option for locally advanced lung adenocarcinoma, with a view to providing more treatment references for similar patients. ROS proto-oncogene 1 (ROS1) rearrangements are observed in 1-2% of patients with non-small cell lung cancer (NSCLC). It is a clinically rare mutation, and patients with ROS1 fusions have been shown to be highly sensitive to treatment with crizotinib. However, the efficacy and safety of crizotinib combined with neoadjuvant chemotherapy in patients with locally advanced NSCLC remain to be elucidated.

Case description: We report the case of a 49-year-old male who was diagnosed with stage IIIb (N2) lung adenocarcinoma. Next-generation sequencing revealed ROS1 fusions, and crizotinib was given simultaneously with targeted therapy during neoadjuvant chemotherapy. After 3 cycles of chemotherapy, surgery was performed, and the pathological results revealed major pathological response (MPR). Two years later, local and general examinations revealed no evidence of tumour recurrence.

Conclusions: This study highlights the effective exploration of the combination of targeted therapy and chemotherapy in the neoadjuvant treatment mode of locally advanced non-small cell lung cancer. For patients with sensitive genetic mutations, early use may benefit the patient more, just as the most effective time to use a fire extinguisher is when the flame starts.

求助全文
通过发布文献求助,成功后即可免费获取论文全文。 去求助
来源期刊
自引率
0.00%
发文量
0
×
引用
GB/T 7714-2015
复制
MLA
复制
APA
复制
导出至
BibTeX EndNote RefMan NoteFirst NoteExpress
×
提示
您的信息不完整,为了账户安全,请先补充。
现在去补充
×
提示
您因"违规操作"
具体请查看互助需知
我知道了
×
提示
确定
请完成安全验证×
copy
已复制链接
快去分享给好友吧!
我知道了
右上角分享
点击右上角分享
0
联系我们:info@booksci.cn Book学术提供免费学术资源搜索服务,方便国内外学者检索中英文文献。致力于提供最便捷和优质的服务体验。 Copyright © 2023 布克学术 All rights reserved.
京ICP备2023020795号-1
ghs 京公网安备 11010802042870号
Book学术文献互助
Book学术文献互助群
群 号:604180095
Book学术官方微信