凹陷性额骨骨折的初步重建包括额窦颅骨化和前额皮肤修复:1例报告并文献复习。

IF 0.7 Q3 MEDICINE, GENERAL & INTERNAL
AME Case Reports Pub Date : 2025-07-11 eCollection Date: 2025-01-01 DOI:10.21037/acr-2025-85
Ghada A AlAnsari, Amira AlOlyani, Shaymaa Al-Umran, Anwar AlDhamen
{"title":"凹陷性额骨骨折的初步重建包括额窦颅骨化和前额皮肤修复:1例报告并文献复习。","authors":"Ghada A AlAnsari, Amira AlOlyani, Shaymaa Al-Umran, Anwar AlDhamen","doi":"10.21037/acr-2025-85","DOIUrl":null,"url":null,"abstract":"<p><strong>Background: </strong>Traumatic brain injuries (TBIs) are significant causes of morbidity and mortality worldwide. A compound depressed skull fracture (DSF) occurs when a laceration over the fracture exposes the internal cranial cavity to the external environment. DSFs are considered surgical emergencies that require prompt intervention to reduce morbidity and mortality. Currently, the literature lacks comprehensive information regarding the risks of intracranial infection and seizures, surgical indications, and the impact of surgical management on the functional and neurological outcomes of penetrating craniocerebral injuries (PCCIs). Our case report aims to enhance the existing literature by providing an overview of the management of frontal bone and frontal sinus fractures. We will emphasize key aspects such as the timing of surgery (early <i>vs.</i> delayed), the risks of infection and seizures, and the selection of prophylactic antibiotics. We present a case of PCCI with DSF that resulted in a favorable functional outcome.</p><p><strong>Case description: </strong>We present a 21-year-old male who was involved in an MVA with an unknown mechanism and was brought by ambulance to our emergency department at Dammam Medical Complex. Initially, the patient was vitally stable, conscious, alert, and oriented. He had multiple scalp lacerations, including a mid-forehead open wound laceration with bone fragments and some brain tissue protruding out of the lacerated wound defect. After clinical deterioration, the patient underwent an urgent surgical exploration and elevation of skull fracture along with primary skull reconstruction. The mid-forehead wound defect was repaired in collaboration with the plastic surgery team.</p><p><strong>Conclusions: </strong>Although a depressed frontal skull fracture involving both the outer and inner tables of the frontal sinus needs to be addressed on a case-by-case basis, cranialization of the inner table is preferred. Titanium mesh is a satisfactory alternative in case of inapplicable use of the patient's own bone fragments and chips. Collaborating with the plastic surgery team when dealing with complex mid-forehead wounds is also advisable to ensure optimal cosmetic outcomes. It is advisable to use anti-seizure medications (ASMs) prophylactically to prevent early, but not late, post-traumatic seizures (PTSs). A short course of broad-spectrum antibiotics is recommended in cases of open (compound) depressed fractures.</p>","PeriodicalId":29752,"journal":{"name":"AME Case Reports","volume":"9 ","pages":"92"},"PeriodicalIF":0.7000,"publicationDate":"2025-07-11","publicationTypes":"Journal Article","fieldsOfStudy":null,"isOpenAccess":false,"openAccessPdf":"https://www.ncbi.nlm.nih.gov/pmc/articles/PMC12319591/pdf/","citationCount":"0","resultStr":"{\"title\":\"Primary reconstruction of depressed frontal bone fracture including cranialization of frontal sinus and repair of forehead skin: a case report and literature review.\",\"authors\":\"Ghada A AlAnsari, Amira AlOlyani, Shaymaa Al-Umran, Anwar AlDhamen\",\"doi\":\"10.21037/acr-2025-85\",\"DOIUrl\":null,\"url\":null,\"abstract\":\"<p><strong>Background: </strong>Traumatic brain injuries (TBIs) are significant causes of morbidity and mortality worldwide. A compound depressed skull fracture (DSF) occurs when a laceration over the fracture exposes the internal cranial cavity to the external environment. DSFs are considered surgical emergencies that require prompt intervention to reduce morbidity and mortality. Currently, the literature lacks comprehensive information regarding the risks of intracranial infection and seizures, surgical indications, and the impact of surgical management on the functional and neurological outcomes of penetrating craniocerebral injuries (PCCIs). Our case report aims to enhance the existing literature by providing an overview of the management of frontal bone and frontal sinus fractures. We will emphasize key aspects such as the timing of surgery (early <i>vs.</i> delayed), the risks of infection and seizures, and the selection of prophylactic antibiotics. We present a case of PCCI with DSF that resulted in a favorable functional outcome.</p><p><strong>Case description: </strong>We present a 21-year-old male who was involved in an MVA with an unknown mechanism and was brought by ambulance to our emergency department at Dammam Medical Complex. Initially, the patient was vitally stable, conscious, alert, and oriented. He had multiple scalp lacerations, including a mid-forehead open wound laceration with bone fragments and some brain tissue protruding out of the lacerated wound defect. After clinical deterioration, the patient underwent an urgent surgical exploration and elevation of skull fracture along with primary skull reconstruction. The mid-forehead wound defect was repaired in collaboration with the plastic surgery team.</p><p><strong>Conclusions: </strong>Although a depressed frontal skull fracture involving both the outer and inner tables of the frontal sinus needs to be addressed on a case-by-case basis, cranialization of the inner table is preferred. Titanium mesh is a satisfactory alternative in case of inapplicable use of the patient's own bone fragments and chips. Collaborating with the plastic surgery team when dealing with complex mid-forehead wounds is also advisable to ensure optimal cosmetic outcomes. It is advisable to use anti-seizure medications (ASMs) prophylactically to prevent early, but not late, post-traumatic seizures (PTSs). A short course of broad-spectrum antibiotics is recommended in cases of open (compound) depressed fractures.</p>\",\"PeriodicalId\":29752,\"journal\":{\"name\":\"AME Case Reports\",\"volume\":\"9 \",\"pages\":\"92\"},\"PeriodicalIF\":0.7000,\"publicationDate\":\"2025-07-11\",\"publicationTypes\":\"Journal Article\",\"fieldsOfStudy\":null,\"isOpenAccess\":false,\"openAccessPdf\":\"https://www.ncbi.nlm.nih.gov/pmc/articles/PMC12319591/pdf/\",\"citationCount\":\"0\",\"resultStr\":null,\"platform\":\"Semanticscholar\",\"paperid\":null,\"PeriodicalName\":\"AME Case Reports\",\"FirstCategoryId\":\"1085\",\"ListUrlMain\":\"https://doi.org/10.21037/acr-2025-85\",\"RegionNum\":0,\"RegionCategory\":null,\"ArticlePicture\":[],\"TitleCN\":null,\"AbstractTextCN\":null,\"PMCID\":null,\"EPubDate\":\"2025/1/1 0:00:00\",\"PubModel\":\"eCollection\",\"JCR\":\"Q3\",\"JCRName\":\"MEDICINE, GENERAL & INTERNAL\",\"Score\":null,\"Total\":0}","platform":"Semanticscholar","paperid":null,"PeriodicalName":"AME Case Reports","FirstCategoryId":"1085","ListUrlMain":"https://doi.org/10.21037/acr-2025-85","RegionNum":0,"RegionCategory":null,"ArticlePicture":[],"TitleCN":null,"AbstractTextCN":null,"PMCID":null,"EPubDate":"2025/1/1 0:00:00","PubModel":"eCollection","JCR":"Q3","JCRName":"MEDICINE, GENERAL & INTERNAL","Score":null,"Total":0}
引用次数: 0

摘要

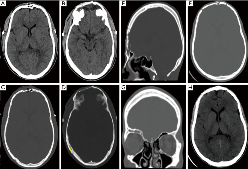
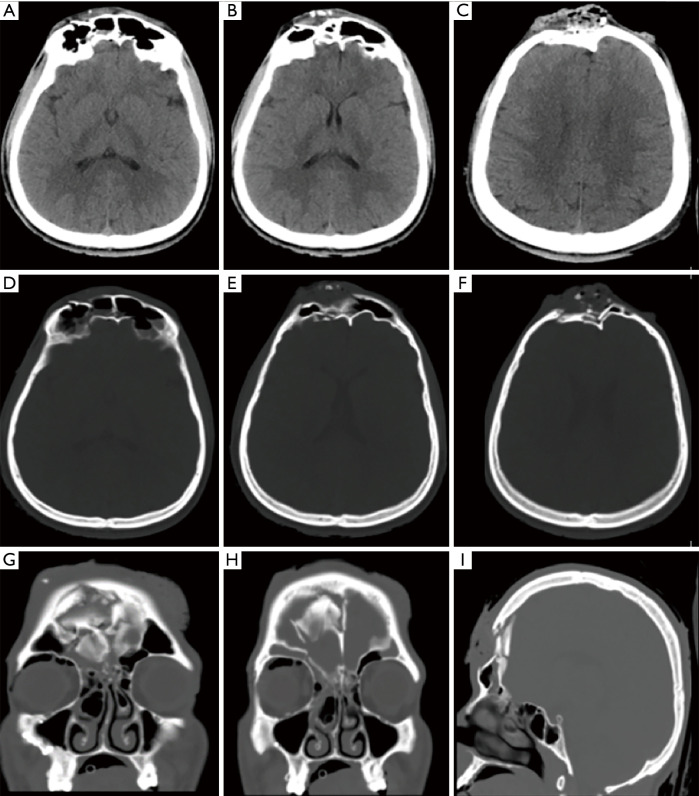
背景:创伤性脑损伤(tbi)是世界范围内发病率和死亡率的重要原因。复合性凹陷性颅骨骨折(DSF)发生时,骨折上的撕裂伤使内颅腔暴露于外部环境。dsf被认为是外科急诊,需要及时干预以降低发病率和死亡率。目前,文献缺乏关于颅内感染和癫痫发作的风险、手术指征以及手术处理对穿透性颅脑损伤(pcci)功能和神经预后的影响的全面信息。我们的病例报告旨在通过提供额骨和额窦骨折治疗的概述来加强现有文献。我们将强调关键方面,如手术的时机(早期与延迟),感染和癫痫发作的风险,以及预防性抗生素的选择。我们提出一个病例的PCCI与DSF,导致良好的功能结果。病例描述:我们报告一名21岁男性,发生机制不明的MVA,由救护车送到达曼医疗中心的急诊科。最初,患者生命稳定,意识清醒,警觉,定向。他有多处头皮撕裂伤,包括前额中部的开放性伤口撕裂伤,骨碎片和一些脑组织从撕裂的伤口缺陷中突出。在临床恶化后,患者接受了紧急手术探查和颅骨骨折提升,并进行了初次颅骨重建。与整形外科团队合作修复了前额中部伤口缺损。结论:虽然累及额窦外表和内表的额颅骨凹陷骨折需要根据具体情况进行治疗,但内表颅骨开颅是首选。钛网是一个令人满意的选择,在不适用的情况下使用患者自己的骨碎片和芯片。在处理复杂的前额中伤口时,与整形外科团队合作也是明智的,以确保最佳的美容效果。建议预防性地使用抗癫痫药物(asm)来预防早期,而不是晚期的创伤后癫痫发作(pts)。对于开放性(复合性)凹陷性骨折,建议短期使用广谱抗生素。
本文章由计算机程序翻译,如有差异,请以英文原文为准。

Primary reconstruction of depressed frontal bone fracture including cranialization of frontal sinus and repair of forehead skin: a case report and literature review.

Primary reconstruction of depressed frontal bone fracture including cranialization of frontal sinus and repair of forehead skin: a case report and literature review.

Primary reconstruction of depressed frontal bone fracture including cranialization of frontal sinus and repair of forehead skin: a case report and literature review.

Primary reconstruction of depressed frontal bone fracture including cranialization of frontal sinus and repair of forehead skin: a case report and literature review.

Background: Traumatic brain injuries (TBIs) are significant causes of morbidity and mortality worldwide. A compound depressed skull fracture (DSF) occurs when a laceration over the fracture exposes the internal cranial cavity to the external environment. DSFs are considered surgical emergencies that require prompt intervention to reduce morbidity and mortality. Currently, the literature lacks comprehensive information regarding the risks of intracranial infection and seizures, surgical indications, and the impact of surgical management on the functional and neurological outcomes of penetrating craniocerebral injuries (PCCIs). Our case report aims to enhance the existing literature by providing an overview of the management of frontal bone and frontal sinus fractures. We will emphasize key aspects such as the timing of surgery (early vs. delayed), the risks of infection and seizures, and the selection of prophylactic antibiotics. We present a case of PCCI with DSF that resulted in a favorable functional outcome.

Case description: We present a 21-year-old male who was involved in an MVA with an unknown mechanism and was brought by ambulance to our emergency department at Dammam Medical Complex. Initially, the patient was vitally stable, conscious, alert, and oriented. He had multiple scalp lacerations, including a mid-forehead open wound laceration with bone fragments and some brain tissue protruding out of the lacerated wound defect. After clinical deterioration, the patient underwent an urgent surgical exploration and elevation of skull fracture along with primary skull reconstruction. The mid-forehead wound defect was repaired in collaboration with the plastic surgery team.

Conclusions: Although a depressed frontal skull fracture involving both the outer and inner tables of the frontal sinus needs to be addressed on a case-by-case basis, cranialization of the inner table is preferred. Titanium mesh is a satisfactory alternative in case of inapplicable use of the patient's own bone fragments and chips. Collaborating with the plastic surgery team when dealing with complex mid-forehead wounds is also advisable to ensure optimal cosmetic outcomes. It is advisable to use anti-seizure medications (ASMs) prophylactically to prevent early, but not late, post-traumatic seizures (PTSs). A short course of broad-spectrum antibiotics is recommended in cases of open (compound) depressed fractures.

求助全文
通过发布文献求助,成功后即可免费获取论文全文。 去求助
来源期刊
自引率
0.00%
发文量
0
×
引用
GB/T 7714-2015
复制
MLA
复制
APA
复制
导出至
BibTeX EndNote RefMan NoteFirst NoteExpress
×
提示
您的信息不完整,为了账户安全,请先补充。
现在去补充
×
提示
您因"违规操作"
具体请查看互助需知
我知道了
×
提示
确定
请完成安全验证×
copy
已复制链接
快去分享给好友吧!
我知道了
右上角分享
点击右上角分享
0
联系我们:info@booksci.cn Book学术提供免费学术资源搜索服务,方便国内外学者检索中英文文献。致力于提供最便捷和优质的服务体验。 Copyright © 2023 布克学术 All rights reserved.
京ICP备2023020795号-1
ghs 京公网安备 11010802042870号
Book学术文献互助
Book学术文献互助群
群 号:604180095
Book学术官方微信