结直肠癌靶向化疗治疗原发性结肠穿孔性腺癌伴绒毛膜癌分化1例。

IF 0.7 Q3 MEDICINE, GENERAL & INTERNAL
AME Case Reports Pub Date : 2025-05-06 eCollection Date: 2025-01-01 DOI:10.21037/acr-24-252
Naoki Ishimaru, Takashi Tagami, Misako Yamasaki, Kazuya Niwa
{"title":"结直肠癌靶向化疗治疗原发性结肠穿孔性腺癌伴绒毛膜癌分化1例。","authors":"Naoki Ishimaru, Takashi Tagami, Misako Yamasaki, Kazuya Niwa","doi":"10.21037/acr-24-252","DOIUrl":null,"url":null,"abstract":"<p><strong>Background: </strong>Colorectal choriocarcinoma is a rare condition with a poor prognosis, and no standard chemotherapy regimen has been established. A combination of cetuximab, encorafenib, and binimetinib as adjuvant chemotherapy may be effective for colorectal choriocarcinoma. This treatment approach has not been previously reported for this rare malignancy.</p><p><strong>Case description: </strong>We describe the case of a 59-year-old woman who underwent right hemicolectomy for a transverse colon perforation and was diagnosed with primary colorectal adenocarcinoma with choriocarcinoma differentiation. Adjuvant chemotherapy with folinic acid, fluorouracil, and oxaliplatin (FOLFOX) and bevacizumab was administered for colorectal adenocarcinoma, but disease progression was observed. The patient had a <i>BRAF</i> V600E mutation, tested negative for human chorionic gonadotropin (hCG), and was switched to a combination of encorafenib, cetuximab, and binimetinib. The treatment response was monitored through regular imaging studies and tumor marker measurements. The patient has been alive for 34 months with no metastases or recurrence, and with continued reduction in the size of the lymph nodes and peritoneal lesions.</p><p><strong>Conclusions: </strong>Standard chemotherapy for the treatment of choriocarcinoma and colorectal adenocarcinoma has been applied to colorectal choriocarcinoma. In patients with a <i>BRAF</i> V600E mutation and decreased hCG levels, a combination of encorafenib, cetuximab, and binimetinib may be a useful chemotherapeutic option when treating patients with colorectal choriocarcinoma.</p>","PeriodicalId":29752,"journal":{"name":"AME Case Reports","volume":"9 ","pages":"73"},"PeriodicalIF":0.7000,"publicationDate":"2025-05-06","publicationTypes":"Journal Article","fieldsOfStudy":null,"isOpenAccess":false,"openAccessPdf":"https://www.ncbi.nlm.nih.gov/pmc/articles/PMC12319603/pdf/","citationCount":"0","resultStr":"{\"title\":\"Perforated primary adenocarcinoma of the colon with choriocarcinoma differentiation treated with targeted colorectal cancer chemotherapy: a case report.\",\"authors\":\"Naoki Ishimaru, Takashi Tagami, Misako Yamasaki, Kazuya Niwa\",\"doi\":\"10.21037/acr-24-252\",\"DOIUrl\":null,\"url\":null,\"abstract\":\"<p><strong>Background: </strong>Colorectal choriocarcinoma is a rare condition with a poor prognosis, and no standard chemotherapy regimen has been established. A combination of cetuximab, encorafenib, and binimetinib as adjuvant chemotherapy may be effective for colorectal choriocarcinoma. This treatment approach has not been previously reported for this rare malignancy.</p><p><strong>Case description: </strong>We describe the case of a 59-year-old woman who underwent right hemicolectomy for a transverse colon perforation and was diagnosed with primary colorectal adenocarcinoma with choriocarcinoma differentiation. Adjuvant chemotherapy with folinic acid, fluorouracil, and oxaliplatin (FOLFOX) and bevacizumab was administered for colorectal adenocarcinoma, but disease progression was observed. The patient had a <i>BRAF</i> V600E mutation, tested negative for human chorionic gonadotropin (hCG), and was switched to a combination of encorafenib, cetuximab, and binimetinib. The treatment response was monitored through regular imaging studies and tumor marker measurements. The patient has been alive for 34 months with no metastases or recurrence, and with continued reduction in the size of the lymph nodes and peritoneal lesions.</p><p><strong>Conclusions: </strong>Standard chemotherapy for the treatment of choriocarcinoma and colorectal adenocarcinoma has been applied to colorectal choriocarcinoma. In patients with a <i>BRAF</i> V600E mutation and decreased hCG levels, a combination of encorafenib, cetuximab, and binimetinib may be a useful chemotherapeutic option when treating patients with colorectal choriocarcinoma.</p>\",\"PeriodicalId\":29752,\"journal\":{\"name\":\"AME Case Reports\",\"volume\":\"9 \",\"pages\":\"73\"},\"PeriodicalIF\":0.7000,\"publicationDate\":\"2025-05-06\",\"publicationTypes\":\"Journal Article\",\"fieldsOfStudy\":null,\"isOpenAccess\":false,\"openAccessPdf\":\"https://www.ncbi.nlm.nih.gov/pmc/articles/PMC12319603/pdf/\",\"citationCount\":\"0\",\"resultStr\":null,\"platform\":\"Semanticscholar\",\"paperid\":null,\"PeriodicalName\":\"AME Case Reports\",\"FirstCategoryId\":\"1085\",\"ListUrlMain\":\"https://doi.org/10.21037/acr-24-252\",\"RegionNum\":0,\"RegionCategory\":null,\"ArticlePicture\":[],\"TitleCN\":null,\"AbstractTextCN\":null,\"PMCID\":null,\"EPubDate\":\"2025/1/1 0:00:00\",\"PubModel\":\"eCollection\",\"JCR\":\"Q3\",\"JCRName\":\"MEDICINE, GENERAL & INTERNAL\",\"Score\":null,\"Total\":0}","platform":"Semanticscholar","paperid":null,"PeriodicalName":"AME Case Reports","FirstCategoryId":"1085","ListUrlMain":"https://doi.org/10.21037/acr-24-252","RegionNum":0,"RegionCategory":null,"ArticlePicture":[],"TitleCN":null,"AbstractTextCN":null,"PMCID":null,"EPubDate":"2025/1/1 0:00:00","PubModel":"eCollection","JCR":"Q3","JCRName":"MEDICINE, GENERAL & INTERNAL","Score":null,"Total":0}
引用次数: 0

摘要

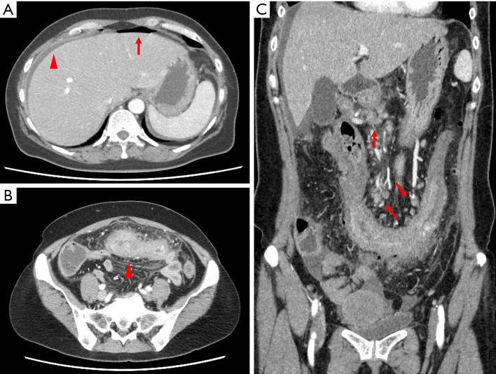
背景:结直肠绒毛膜癌是一种预后较差的罕见疾病,目前尚无标准的化疗方案。西妥昔单抗、恩科非尼和比尼美替尼联合作为辅助化疗可能对结直肠绒毛膜癌有效。这种治疗方法以前没有报道过这种罕见的恶性肿瘤。病例描述:我们报告了一位59岁的女性,她因横结肠穿孔接受了右侧半结肠切除术,并被诊断为原发性结肠腺癌伴绒毛膜癌分化。对结直肠腺癌给予叶酸、氟尿嘧啶和奥沙利铂(FOLFOX)和贝伐单抗辅助化疗,但观察到疾病进展。该患者有BRAF V600E突变,人绒毛膜促性腺激素(hCG)检测呈阴性,转而使用恩可非尼、西妥昔单抗和比尼美替尼的联合治疗。通过定期影像学检查和肿瘤标志物测量来监测治疗效果。患者已存活34个月,无转移或复发,淋巴结和腹膜病变持续缩小。结论:绒毛膜癌和结肠腺癌的标准化疗方案已应用于结肠毛膜癌。在BRAF V600E突变和hCG水平降低的患者中,当治疗结直肠绒毛膜癌患者时,恩可非尼、西妥昔单抗和比尼美替尼的联合治疗可能是一种有用的化疗选择。
本文章由计算机程序翻译,如有差异,请以英文原文为准。

Perforated primary adenocarcinoma of the colon with choriocarcinoma differentiation treated with targeted colorectal cancer chemotherapy: a case report.

Perforated primary adenocarcinoma of the colon with choriocarcinoma differentiation treated with targeted colorectal cancer chemotherapy: a case report.

Perforated primary adenocarcinoma of the colon with choriocarcinoma differentiation treated with targeted colorectal cancer chemotherapy: a case report.

Perforated primary adenocarcinoma of the colon with choriocarcinoma differentiation treated with targeted colorectal cancer chemotherapy: a case report.

Background: Colorectal choriocarcinoma is a rare condition with a poor prognosis, and no standard chemotherapy regimen has been established. A combination of cetuximab, encorafenib, and binimetinib as adjuvant chemotherapy may be effective for colorectal choriocarcinoma. This treatment approach has not been previously reported for this rare malignancy.

Case description: We describe the case of a 59-year-old woman who underwent right hemicolectomy for a transverse colon perforation and was diagnosed with primary colorectal adenocarcinoma with choriocarcinoma differentiation. Adjuvant chemotherapy with folinic acid, fluorouracil, and oxaliplatin (FOLFOX) and bevacizumab was administered for colorectal adenocarcinoma, but disease progression was observed. The patient had a BRAF V600E mutation, tested negative for human chorionic gonadotropin (hCG), and was switched to a combination of encorafenib, cetuximab, and binimetinib. The treatment response was monitored through regular imaging studies and tumor marker measurements. The patient has been alive for 34 months with no metastases or recurrence, and with continued reduction in the size of the lymph nodes and peritoneal lesions.

Conclusions: Standard chemotherapy for the treatment of choriocarcinoma and colorectal adenocarcinoma has been applied to colorectal choriocarcinoma. In patients with a BRAF V600E mutation and decreased hCG levels, a combination of encorafenib, cetuximab, and binimetinib may be a useful chemotherapeutic option when treating patients with colorectal choriocarcinoma.

求助全文
通过发布文献求助,成功后即可免费获取论文全文。 去求助
来源期刊
自引率
0.00%
发文量
0
×
引用
GB/T 7714-2015
复制
MLA
复制
APA
复制
导出至
BibTeX EndNote RefMan NoteFirst NoteExpress
×
提示
您的信息不完整,为了账户安全,请先补充。
现在去补充
×
提示
您因"违规操作"
具体请查看互助需知
我知道了
×
提示
确定
请完成安全验证×
copy
已复制链接
快去分享给好友吧!
我知道了
右上角分享
点击右上角分享
0
联系我们:info@booksci.cn Book学术提供免费学术资源搜索服务,方便国内外学者检索中英文文献。致力于提供最便捷和优质的服务体验。 Copyright © 2023 布克学术 All rights reserved.
京ICP备2023020795号-1
ghs 京公网安备 11010802042870号
Book学术文献互助
Book学术文献互助群
群 号:604180095
Book学术官方微信