双侧肺移植后血管侵袭性曲菌病引起的多灶性肠穿孔:1例报告及文献复习。

IF 0.7 Q3 MEDICINE, GENERAL & INTERNAL
AME Case Reports Pub Date : 2025-07-15 eCollection Date: 2025-01-01 DOI:10.21037/acr-24-221
Kacie Kerlee, Jasmina Ehab, Jeremy Watson, Patrick Weill, Raghav Chandra, Suresh Keshavamurthy, Ankeeta Mehta, Thomas H Shoultz
{"title":"双侧肺移植后血管侵袭性曲菌病引起的多灶性肠穿孔:1例报告及文献复习。","authors":"Kacie Kerlee, Jasmina Ehab, Jeremy Watson, Patrick Weill, Raghav Chandra, Suresh Keshavamurthy, Ankeeta Mehta, Thomas H Shoultz","doi":"10.21037/acr-24-221","DOIUrl":null,"url":null,"abstract":"<p><strong>Background: </strong>Lung transplant recipients on immunosuppression are at increased risk for aggressive opportunistic infections, including invasive aspergillosis (IA). Distal septic embolization from angio-IA with involvement of the small and large bowel is extremely uncommon, and clinical manifestations of bowel ischemia and perforation may be masked due to immunosuppression.</p><p><strong>Case description: </strong>We present herein the first reported case of peritonitis secondary to jejunal and cecal perforation secondary to angio-IA after lung transplantation (LT) in a 62-year-old male. The patient was admitted to the hospital for acute cellular rejection requiring high-dose immunosuppression. His course was complicated by respiratory failure secondary to IA, with resulting multiorgan system dysfunction during which time peritonitis was noted on examination and cross-sectional imaging demonstrated pneumatosis, portal venous gas, and pneumoperitoneum. The patient required emergent surgical intervention and underwent an exploratory laparotomy, jejunal resection, right hemicolectomy, and end ileostomy with colonic mucus fistula. Final pathologic analysis of resected specimens demonstrated angio-IA in both the jejunal and cecal segments with associated transmural ischemic necrosis.</p><p><strong>Conclusions: </strong>Bowel perforation secondary to angio-IA is a very rare but serious complication after LT that is associated with high morbidity and mortality. Evaluation requires a high index of suspicion in the setting of immunosuppression and often concomitant extraintestinal pathologies. Early, aggressive surgical intervention is necessary.</p>","PeriodicalId":29752,"journal":{"name":"AME Case Reports","volume":"9 ","pages":"91"},"PeriodicalIF":0.7000,"publicationDate":"2025-07-15","publicationTypes":"Journal Article","fieldsOfStudy":null,"isOpenAccess":false,"openAccessPdf":"https://www.ncbi.nlm.nih.gov/pmc/articles/PMC12319623/pdf/","citationCount":"0","resultStr":"{\"title\":\"Multifocal bowel perforation from angioinvasive aspergillosis after bilateral lung transplantation: a case report and review of the literature.\",\"authors\":\"Kacie Kerlee, Jasmina Ehab, Jeremy Watson, Patrick Weill, Raghav Chandra, Suresh Keshavamurthy, Ankeeta Mehta, Thomas H Shoultz\",\"doi\":\"10.21037/acr-24-221\",\"DOIUrl\":null,\"url\":null,\"abstract\":\"<p><strong>Background: </strong>Lung transplant recipients on immunosuppression are at increased risk for aggressive opportunistic infections, including invasive aspergillosis (IA). Distal septic embolization from angio-IA with involvement of the small and large bowel is extremely uncommon, and clinical manifestations of bowel ischemia and perforation may be masked due to immunosuppression.</p><p><strong>Case description: </strong>We present herein the first reported case of peritonitis secondary to jejunal and cecal perforation secondary to angio-IA after lung transplantation (LT) in a 62-year-old male. The patient was admitted to the hospital for acute cellular rejection requiring high-dose immunosuppression. His course was complicated by respiratory failure secondary to IA, with resulting multiorgan system dysfunction during which time peritonitis was noted on examination and cross-sectional imaging demonstrated pneumatosis, portal venous gas, and pneumoperitoneum. The patient required emergent surgical intervention and underwent an exploratory laparotomy, jejunal resection, right hemicolectomy, and end ileostomy with colonic mucus fistula. Final pathologic analysis of resected specimens demonstrated angio-IA in both the jejunal and cecal segments with associated transmural ischemic necrosis.</p><p><strong>Conclusions: </strong>Bowel perforation secondary to angio-IA is a very rare but serious complication after LT that is associated with high morbidity and mortality. Evaluation requires a high index of suspicion in the setting of immunosuppression and often concomitant extraintestinal pathologies. Early, aggressive surgical intervention is necessary.</p>\",\"PeriodicalId\":29752,\"journal\":{\"name\":\"AME Case Reports\",\"volume\":\"9 \",\"pages\":\"91\"},\"PeriodicalIF\":0.7000,\"publicationDate\":\"2025-07-15\",\"publicationTypes\":\"Journal Article\",\"fieldsOfStudy\":null,\"isOpenAccess\":false,\"openAccessPdf\":\"https://www.ncbi.nlm.nih.gov/pmc/articles/PMC12319623/pdf/\",\"citationCount\":\"0\",\"resultStr\":null,\"platform\":\"Semanticscholar\",\"paperid\":null,\"PeriodicalName\":\"AME Case Reports\",\"FirstCategoryId\":\"1085\",\"ListUrlMain\":\"https://doi.org/10.21037/acr-24-221\",\"RegionNum\":0,\"RegionCategory\":null,\"ArticlePicture\":[],\"TitleCN\":null,\"AbstractTextCN\":null,\"PMCID\":null,\"EPubDate\":\"2025/1/1 0:00:00\",\"PubModel\":\"eCollection\",\"JCR\":\"Q3\",\"JCRName\":\"MEDICINE, GENERAL & INTERNAL\",\"Score\":null,\"Total\":0}","platform":"Semanticscholar","paperid":null,"PeriodicalName":"AME Case Reports","FirstCategoryId":"1085","ListUrlMain":"https://doi.org/10.21037/acr-24-221","RegionNum":0,"RegionCategory":null,"ArticlePicture":[],"TitleCN":null,"AbstractTextCN":null,"PMCID":null,"EPubDate":"2025/1/1 0:00:00","PubModel":"eCollection","JCR":"Q3","JCRName":"MEDICINE, GENERAL & INTERNAL","Score":null,"Total":0}
引用次数: 0

摘要

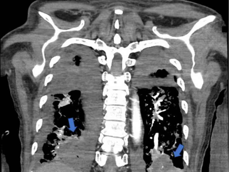
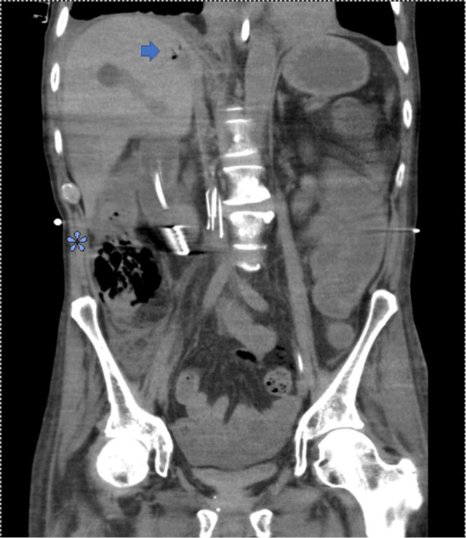
背景:免疫抑制的肺移植受者发生侵袭性机会性感染的风险增加,包括侵袭性曲霉病(IA)。ia血管远端脓毒性栓塞累及小肠和大肠极为罕见,肠道缺血和穿孔的临床表现可能因免疫抑制而被掩盖。病例描述:我们在此报告一例62岁男性肺移植(LT)后继发于空肠和盲肠穿孔继发于血管ia的腹膜炎。患者因急性细胞排斥反应入院,需要大剂量免疫抑制。他的病程因继发于IA的呼吸衰竭而复杂,导致多器官系统功能障碍,在此期间,检查和横断面成像显示腹膜炎,气胸,门静脉气体和气腹。患者需要紧急手术干预,并进行了剖腹探查、空肠切除术、右半结肠切除术和结肠粘液瘘末端回肠造口术。切除标本的最终病理分析显示空肠和盲肠段均有血管内浸润,并伴有跨壁缺血性坏死。结论:肝移植术后继发于血管内灌注的肠穿孔是一种非常罕见但严重的并发症,具有很高的发病率和死亡率。评估需要在免疫抑制和经常伴随的肠外病理设置高度怀疑指数。早期积极的手术干预是必要的。
本文章由计算机程序翻译,如有差异,请以英文原文为准。

Multifocal bowel perforation from angioinvasive aspergillosis after bilateral lung transplantation: a case report and review of the literature.

Multifocal bowel perforation from angioinvasive aspergillosis after bilateral lung transplantation: a case report and review of the literature.

Multifocal bowel perforation from angioinvasive aspergillosis after bilateral lung transplantation: a case report and review of the literature.

Multifocal bowel perforation from angioinvasive aspergillosis after bilateral lung transplantation: a case report and review of the literature.

Background: Lung transplant recipients on immunosuppression are at increased risk for aggressive opportunistic infections, including invasive aspergillosis (IA). Distal septic embolization from angio-IA with involvement of the small and large bowel is extremely uncommon, and clinical manifestations of bowel ischemia and perforation may be masked due to immunosuppression.

Case description: We present herein the first reported case of peritonitis secondary to jejunal and cecal perforation secondary to angio-IA after lung transplantation (LT) in a 62-year-old male. The patient was admitted to the hospital for acute cellular rejection requiring high-dose immunosuppression. His course was complicated by respiratory failure secondary to IA, with resulting multiorgan system dysfunction during which time peritonitis was noted on examination and cross-sectional imaging demonstrated pneumatosis, portal venous gas, and pneumoperitoneum. The patient required emergent surgical intervention and underwent an exploratory laparotomy, jejunal resection, right hemicolectomy, and end ileostomy with colonic mucus fistula. Final pathologic analysis of resected specimens demonstrated angio-IA in both the jejunal and cecal segments with associated transmural ischemic necrosis.

Conclusions: Bowel perforation secondary to angio-IA is a very rare but serious complication after LT that is associated with high morbidity and mortality. Evaluation requires a high index of suspicion in the setting of immunosuppression and often concomitant extraintestinal pathologies. Early, aggressive surgical intervention is necessary.

求助全文
通过发布文献求助,成功后即可免费获取论文全文。 去求助
来源期刊
自引率
0.00%
发文量
0
×
引用
GB/T 7714-2015
复制
MLA
复制
APA
复制
导出至
BibTeX EndNote RefMan NoteFirst NoteExpress
×
提示
您的信息不完整,为了账户安全,请先补充。
现在去补充
×
提示
您因"违规操作"
具体请查看互助需知
我知道了
×
提示
确定
请完成安全验证×
copy
已复制链接
快去分享给好友吧!
我知道了
右上角分享
点击右上角分享
0
联系我们:info@booksci.cn Book学术提供免费学术资源搜索服务,方便国内外学者检索中英文文献。致力于提供最便捷和优质的服务体验。 Copyright © 2023 布克学术 All rights reserved.
京ICP备2023020795号-1
ghs 京公网安备 11010802042870号
Book学术文献互助
Book学术文献互助群
群 号:604180095
Book学术官方微信