玫瑰果油乳剂促愈合中药治疗诱导性粘膜溃疡的疗效(细胞培养及实验研究)。

IF 1.4 4区 医学 Q3 DENTISTRY, ORAL SURGERY & MEDICINE
Ola Abdel Moneim Dewedar, Doaa Adel Habba, Heba Abdelfatah Zaki, Enas Ahmed Elamin, Amal Ali Ibrahim, Omneya Emam Ahmed
{"title":"玫瑰果油乳剂促愈合中药治疗诱导性粘膜溃疡的疗效(细胞培养及实验研究)。","authors":"Ola Abdel Moneim Dewedar, Doaa Adel Habba, Heba Abdelfatah Zaki, Enas Ahmed Elamin, Amal Ali Ibrahim, Omneya Emam Ahmed","doi":"10.3290/j.ohpd.c_2158","DOIUrl":null,"url":null,"abstract":"<p><strong>Purpose: </strong>This study aimed to determine the impact of rose hip oil emulsion (ROE) on the healing of oral ulcers. The study first utilised the MTT kit to examine the effect of 20 mg/mL ROE on human gingival fibroblast (HGF) proliferation at the cellular level and its effect in treating oral mucosal ulcers at the experimental level.</p><p><strong>Materials and methods: </strong>Sixty-six adult male rats with a chemically induced ulcer in the buccal mucosa. The animals were distributed randomly into two groups: a control group that had not received any treatment and a test group that was treated with topical ROE 3 times per day for 10 days. The samples were obtained on day 3, day 7, and day 10, and then the tissue staining was done using hematoxylin and eosin (H&E) and histomorphometric analysis.</p><p><strong>Results: </strong>The findings of this study demonstrated from cellular investigations that 20 mg/mL ROE can efficiently stimulate HGF proliferation at 24, 48, and 72 h. The animal study results revealed that ROE could substantially boost the healing of the induced ulcer model by lowering the inflammatory cells and extensively promoting collagen formation within the ulcer site on days 3 and 7.</p><p><strong>Conclusion: </strong>The topical application of 20 mg/mL ROE possesses anti-inflammatory properties, increasing the epithelium thickness and promoting collagen production and remodelling. Therefore, the rosehip oil emulsion can be considered an effective pro-healing agent that accelerates the healing of oral ulcers.</p>","PeriodicalId":19696,"journal":{"name":"Oral health & preventive dentistry","volume":"23 ","pages":"419-425"},"PeriodicalIF":1.4000,"publicationDate":"2025-08-05","publicationTypes":"Journal Article","fieldsOfStudy":null,"isOpenAccess":false,"openAccessPdf":"https://www.ncbi.nlm.nih.gov/pmc/articles/PMC12327070/pdf/","citationCount":"0","resultStr":"{\"title\":\"The Efficacy of Rosehip Oil Emulsion as a Pro-Healing Herbal Medicine for the Treatment of Induced Mucosal Ulcer (Cell Culture and Experimental Study).\",\"authors\":\"Ola Abdel Moneim Dewedar, Doaa Adel Habba, Heba Abdelfatah Zaki, Enas Ahmed Elamin, Amal Ali Ibrahim, Omneya Emam Ahmed\",\"doi\":\"10.3290/j.ohpd.c_2158\",\"DOIUrl\":null,\"url\":null,\"abstract\":\"<p><strong>Purpose: </strong>This study aimed to determine the impact of rose hip oil emulsion (ROE) on the healing of oral ulcers. The study first utilised the MTT kit to examine the effect of 20 mg/mL ROE on human gingival fibroblast (HGF) proliferation at the cellular level and its effect in treating oral mucosal ulcers at the experimental level.</p><p><strong>Materials and methods: </strong>Sixty-six adult male rats with a chemically induced ulcer in the buccal mucosa. The animals were distributed randomly into two groups: a control group that had not received any treatment and a test group that was treated with topical ROE 3 times per day for 10 days. The samples were obtained on day 3, day 7, and day 10, and then the tissue staining was done using hematoxylin and eosin (H&E) and histomorphometric analysis.</p><p><strong>Results: </strong>The findings of this study demonstrated from cellular investigations that 20 mg/mL ROE can efficiently stimulate HGF proliferation at 24, 48, and 72 h. The animal study results revealed that ROE could substantially boost the healing of the induced ulcer model by lowering the inflammatory cells and extensively promoting collagen formation within the ulcer site on days 3 and 7.</p><p><strong>Conclusion: </strong>The topical application of 20 mg/mL ROE possesses anti-inflammatory properties, increasing the epithelium thickness and promoting collagen production and remodelling. Therefore, the rosehip oil emulsion can be considered an effective pro-healing agent that accelerates the healing of oral ulcers.</p>\",\"PeriodicalId\":19696,\"journal\":{\"name\":\"Oral health & preventive dentistry\",\"volume\":\"23 \",\"pages\":\"419-425\"},\"PeriodicalIF\":1.4000,\"publicationDate\":\"2025-08-05\",\"publicationTypes\":\"Journal Article\",\"fieldsOfStudy\":null,\"isOpenAccess\":false,\"openAccessPdf\":\"https://www.ncbi.nlm.nih.gov/pmc/articles/PMC12327070/pdf/\",\"citationCount\":\"0\",\"resultStr\":null,\"platform\":\"Semanticscholar\",\"paperid\":null,\"PeriodicalName\":\"Oral health & preventive dentistry\",\"FirstCategoryId\":\"3\",\"ListUrlMain\":\"https://doi.org/10.3290/j.ohpd.c_2158\",\"RegionNum\":4,\"RegionCategory\":\"医学\",\"ArticlePicture\":[],\"TitleCN\":null,\"AbstractTextCN\":null,\"PMCID\":null,\"EPubDate\":\"\",\"PubModel\":\"\",\"JCR\":\"Q3\",\"JCRName\":\"DENTISTRY, ORAL SURGERY & MEDICINE\",\"Score\":null,\"Total\":0}","platform":"Semanticscholar","paperid":null,"PeriodicalName":"Oral health & preventive dentistry","FirstCategoryId":"3","ListUrlMain":"https://doi.org/10.3290/j.ohpd.c_2158","RegionNum":4,"RegionCategory":"医学","ArticlePicture":[],"TitleCN":null,"AbstractTextCN":null,"PMCID":null,"EPubDate":"","PubModel":"","JCR":"Q3","JCRName":"DENTISTRY, ORAL SURGERY & MEDICINE","Score":null,"Total":0}
引用次数: 0

摘要

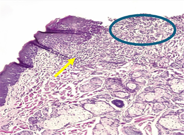
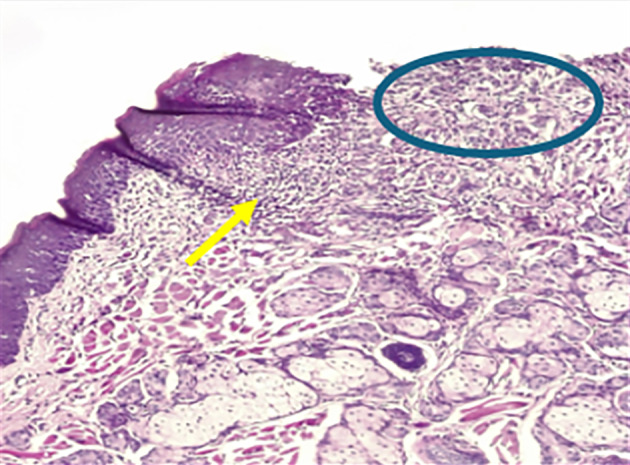
目的:研究玫瑰果油乳剂(ROE)对口腔溃疡愈合的影响。本研究首先利用MTT试剂盒在细胞水平检测20 mg/mL ROE对人牙龈成纤维细胞(HGF)增殖的影响,并在实验水平检测其对口腔黏膜溃疡的治疗作用。材料与方法:化学诱导口腔粘膜溃疡的成年雄性大鼠66只。将动物随机分为两组:对照组不进行任何治疗,试验组每天局部给予ROE治疗3次,连续10天。第3天、第7天、第10天取标本,用苏木精和伊红(H&E)染色并进行组织形态学分析。结果:本研究的细胞研究结果表明,20 mg/mL ROE可在24、48和72 h有效刺激HGF增殖。动物实验结果显示,ROE可在第3天和第7天显著促进溃疡模型的愈合,降低炎症细胞,广泛促进溃疡部位胶原的形成。结论:局部应用20 mg/mL ROE具有抗炎作用,可增加上皮厚度,促进胶原的生成和重构。因此,玫瑰果油乳剂可以被认为是一种有效的促愈合剂,可以加速口腔溃疡的愈合。
本文章由计算机程序翻译,如有差异,请以英文原文为准。

The Efficacy of Rosehip Oil Emulsion as a Pro-Healing Herbal Medicine for the Treatment of Induced Mucosal Ulcer (Cell Culture and Experimental Study).

The Efficacy of Rosehip Oil Emulsion as a Pro-Healing Herbal Medicine for the Treatment of Induced Mucosal Ulcer (Cell Culture and Experimental Study).

The Efficacy of Rosehip Oil Emulsion as a Pro-Healing Herbal Medicine for the Treatment of Induced Mucosal Ulcer (Cell Culture and Experimental Study).

The Efficacy of Rosehip Oil Emulsion as a Pro-Healing Herbal Medicine for the Treatment of Induced Mucosal Ulcer (Cell Culture and Experimental Study).

The Efficacy of Rosehip Oil Emulsion as a Pro-Healing Herbal Medicine for the Treatment of Induced Mucosal Ulcer (Cell Culture and Experimental Study).

The Efficacy of Rosehip Oil Emulsion as a Pro-Healing Herbal Medicine for the Treatment of Induced Mucosal Ulcer (Cell Culture and Experimental Study).

The Efficacy of Rosehip Oil Emulsion as a Pro-Healing Herbal Medicine for the Treatment of Induced Mucosal Ulcer (Cell Culture and Experimental Study).

Purpose: This study aimed to determine the impact of rose hip oil emulsion (ROE) on the healing of oral ulcers. The study first utilised the MTT kit to examine the effect of 20 mg/mL ROE on human gingival fibroblast (HGF) proliferation at the cellular level and its effect in treating oral mucosal ulcers at the experimental level.

Materials and methods: Sixty-six adult male rats with a chemically induced ulcer in the buccal mucosa. The animals were distributed randomly into two groups: a control group that had not received any treatment and a test group that was treated with topical ROE 3 times per day for 10 days. The samples were obtained on day 3, day 7, and day 10, and then the tissue staining was done using hematoxylin and eosin (H&E) and histomorphometric analysis.

Results: The findings of this study demonstrated from cellular investigations that 20 mg/mL ROE can efficiently stimulate HGF proliferation at 24, 48, and 72 h. The animal study results revealed that ROE could substantially boost the healing of the induced ulcer model by lowering the inflammatory cells and extensively promoting collagen formation within the ulcer site on days 3 and 7.

Conclusion: The topical application of 20 mg/mL ROE possesses anti-inflammatory properties, increasing the epithelium thickness and promoting collagen production and remodelling. Therefore, the rosehip oil emulsion can be considered an effective pro-healing agent that accelerates the healing of oral ulcers.

求助全文
通过发布文献求助,成功后即可免费获取论文全文。 去求助
来源期刊
Oral health & preventive dentistry
Oral health & preventive dentistry DENTISTRY, ORAL SURGERY & MEDICINE-
CiteScore
3.00
自引率
0.00%
发文量
51
审稿时长
>12 weeks
期刊介绍: Clinicians, general practitioners, teachers, researchers, and public health administrators will find this journal an indispensable source of essential, timely information about scientific progress in the fields of oral health and the prevention of caries, periodontal diseases, oral mucosal diseases, and dental trauma. Central topics, including oral hygiene, oral epidemiology, oral health promotion, and public health issues, are covered in peer-reviewed articles such as clinical and basic science research reports; reviews; invited focus articles, commentaries, and guest editorials; and symposium, workshop, and conference proceedings.
×
引用
GB/T 7714-2015
复制
MLA
复制
APA
复制
导出至
BibTeX EndNote RefMan NoteFirst NoteExpress
×
提示
您的信息不完整,为了账户安全,请先补充。
现在去补充
×
提示
您因"违规操作"
具体请查看互助需知
我知道了
×
提示
确定
请完成安全验证×
copy
已复制链接
快去分享给好友吧!
我知道了
右上角分享
点击右上角分享
0
联系我们:info@booksci.cn Book学术提供免费学术资源搜索服务,方便国内外学者检索中英文文献。致力于提供最便捷和优质的服务体验。 Copyright © 2023 布克学术 All rights reserved.
京ICP备2023020795号-1
ghs 京公网安备 11010802042870号
Book学术文献互助
Book学术文献互助群
群 号:604180095
Book学术官方微信