组织型纤溶酶原激活剂成功用于治疗危及生命的极早产儿梗阻性血肿。

IF 2.3 3区 医学 Q1 MEDICINE, GENERAL & INTERNAL
Seung Hyun Kim, So Yoon Ahn, Hanna Kim, Jieun Hwang, Misun Yang, Se In Sung, Yun Sil Chang
{"title":"组织型纤溶酶原激活剂成功用于治疗危及生命的极早产儿梗阻性血肿。","authors":"Seung Hyun Kim, So Yoon Ahn, Hanna Kim, Jieun Hwang, Misun Yang, Se In Sung, Yun Sil Chang","doi":"10.3346/jkms.2025.40.e223","DOIUrl":null,"url":null,"abstract":"<p><p>We report the cases of two extremely preterm infants who were successfully treated with tissue plasminogen activator (tPA) for a life-threatening obstructive intraluminal hematoma. One infant presented with bowel perforation and ileus resulting from a gastrointestinal (GI) hematoma, whereas the other experienced lung collapse due to an intratracheal hematoma. Direct administration of tPA to the GI tract and trachea, respectively, resulted in hematoma lysis and relief of the obstruction. For extremely preterm infants with limited viable treatment options, local tPA may be a valuable approach for managing severe obstructive intraluminal hematomas that lead to GI obstruction or lung collapse.</p>","PeriodicalId":16249,"journal":{"name":"Journal of Korean Medical Science","volume":"40 30","pages":"e223"},"PeriodicalIF":2.3000,"publicationDate":"2025-08-04","publicationTypes":"Journal Article","fieldsOfStudy":null,"isOpenAccess":false,"openAccessPdf":"https://www.ncbi.nlm.nih.gov/pmc/articles/PMC12322590/pdf/","citationCount":"0","resultStr":"{\"title\":\"Successful Intraluminal Administration of Tissue Plasminogen Activator for Life-Threatening Obstructive Hematoma in Extremely Preterm Infants.\",\"authors\":\"Seung Hyun Kim, So Yoon Ahn, Hanna Kim, Jieun Hwang, Misun Yang, Se In Sung, Yun Sil Chang\",\"doi\":\"10.3346/jkms.2025.40.e223\",\"DOIUrl\":null,\"url\":null,\"abstract\":\"<p><p>We report the cases of two extremely preterm infants who were successfully treated with tissue plasminogen activator (tPA) for a life-threatening obstructive intraluminal hematoma. One infant presented with bowel perforation and ileus resulting from a gastrointestinal (GI) hematoma, whereas the other experienced lung collapse due to an intratracheal hematoma. Direct administration of tPA to the GI tract and trachea, respectively, resulted in hematoma lysis and relief of the obstruction. For extremely preterm infants with limited viable treatment options, local tPA may be a valuable approach for managing severe obstructive intraluminal hematomas that lead to GI obstruction or lung collapse.</p>\",\"PeriodicalId\":16249,\"journal\":{\"name\":\"Journal of Korean Medical Science\",\"volume\":\"40 30\",\"pages\":\"e223\"},\"PeriodicalIF\":2.3000,\"publicationDate\":\"2025-08-04\",\"publicationTypes\":\"Journal Article\",\"fieldsOfStudy\":null,\"isOpenAccess\":false,\"openAccessPdf\":\"https://www.ncbi.nlm.nih.gov/pmc/articles/PMC12322590/pdf/\",\"citationCount\":\"0\",\"resultStr\":null,\"platform\":\"Semanticscholar\",\"paperid\":null,\"PeriodicalName\":\"Journal of Korean Medical Science\",\"FirstCategoryId\":\"3\",\"ListUrlMain\":\"https://doi.org/10.3346/jkms.2025.40.e223\",\"RegionNum\":3,\"RegionCategory\":\"医学\",\"ArticlePicture\":[],\"TitleCN\":null,\"AbstractTextCN\":null,\"PMCID\":null,\"EPubDate\":\"\",\"PubModel\":\"\",\"JCR\":\"Q1\",\"JCRName\":\"MEDICINE, GENERAL & INTERNAL\",\"Score\":null,\"Total\":0}","platform":"Semanticscholar","paperid":null,"PeriodicalName":"Journal of Korean Medical Science","FirstCategoryId":"3","ListUrlMain":"https://doi.org/10.3346/jkms.2025.40.e223","RegionNum":3,"RegionCategory":"医学","ArticlePicture":[],"TitleCN":null,"AbstractTextCN":null,"PMCID":null,"EPubDate":"","PubModel":"","JCR":"Q1","JCRName":"MEDICINE, GENERAL & INTERNAL","Score":null,"Total":0}
引用次数: 0

摘要

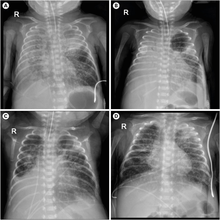
我们报告的情况下,两个极早产儿谁是成功地治疗组织纤溶酶原激活剂(tPA)对危及生命的阻塞性腔内血肿。一名婴儿因胃肠道血肿出现肠穿孔和肠梗阻,而另一名婴儿因气管内血肿出现肺萎陷。分别将tPA直接应用于胃肠道和气管,导致血肿溶解和阻塞缓解。对于治疗方案有限的极早产儿,局部tPA可能是治疗导致胃肠道梗阻或肺萎陷的严重阻塞性腔内血肿的一种有价值的方法。
本文章由计算机程序翻译,如有差异,请以英文原文为准。

Successful Intraluminal Administration of Tissue Plasminogen Activator for Life-Threatening Obstructive Hematoma in Extremely Preterm Infants.

Successful Intraluminal Administration of Tissue Plasminogen Activator for Life-Threatening Obstructive Hematoma in Extremely Preterm Infants.

Successful Intraluminal Administration of Tissue Plasminogen Activator for Life-Threatening Obstructive Hematoma in Extremely Preterm Infants.

Successful Intraluminal Administration of Tissue Plasminogen Activator for Life-Threatening Obstructive Hematoma in Extremely Preterm Infants.

We report the cases of two extremely preterm infants who were successfully treated with tissue plasminogen activator (tPA) for a life-threatening obstructive intraluminal hematoma. One infant presented with bowel perforation and ileus resulting from a gastrointestinal (GI) hematoma, whereas the other experienced lung collapse due to an intratracheal hematoma. Direct administration of tPA to the GI tract and trachea, respectively, resulted in hematoma lysis and relief of the obstruction. For extremely preterm infants with limited viable treatment options, local tPA may be a valuable approach for managing severe obstructive intraluminal hematomas that lead to GI obstruction or lung collapse.

求助全文
通过发布文献求助,成功后即可免费获取论文全文。 去求助
来源期刊
Journal of Korean Medical Science
Journal of Korean Medical Science 医学-医学:内科
CiteScore
7.80
自引率
8.90%
发文量
320
审稿时长
3-6 weeks
期刊介绍: The Journal of Korean Medical Science (JKMS) is an international, peer-reviewed Open Access journal of medicine published weekly in English. The Journal’s publisher is the Korean Academy of Medical Sciences (KAMS), Korean Medical Association (KMA). JKMS aims to publish evidence-based, scientific research articles from various disciplines of the medical sciences. The Journal welcomes articles of general interest to medical researchers especially when they contain original information. Articles on the clinical evaluation of drugs and other therapies, epidemiologic studies of the general population, studies on pathogenic organisms and toxic materials, and the toxicities and adverse effects of therapeutics are welcome.
×
引用
GB/T 7714-2015
复制
MLA
复制
APA
复制
导出至
BibTeX EndNote RefMan NoteFirst NoteExpress
×
提示
您的信息不完整,为了账户安全,请先补充。
现在去补充
×
提示
您因"违规操作"
具体请查看互助需知
我知道了
×
提示
确定
请完成安全验证×
copy
已复制链接
快去分享给好友吧!
我知道了
右上角分享
点击右上角分享
0
联系我们:info@booksci.cn Book学术提供免费学术资源搜索服务,方便国内外学者检索中英文文献。致力于提供最便捷和优质的服务体验。 Copyright © 2023 布克学术 All rights reserved.
京ICP备2023020795号-1
ghs 京公网安备 11010802042870号
Book学术文献互助
Book学术文献互助群
群 号:604180095
Book学术官方微信