一个突变的转甲状腺素基因在墨西哥患者导致遗传性淀粉样变性:一个病例报告。

IF 0.8 Q3 MEDICINE, GENERAL & INTERNAL
Muhammad Reebal Malik, Tarun Dalia, Zubair Shah
{"title":"一个突变的转甲状腺素基因在墨西哥患者导致遗传性淀粉样变性:一个病例报告。","authors":"Muhammad Reebal Malik, Tarun Dalia, Zubair Shah","doi":"10.1186/s13256-025-05308-w","DOIUrl":null,"url":null,"abstract":"<p><strong>Background: </strong>Transthyretin is a protein produced by the liver, and when normal, it carries out the role of transporting thyroid hormone and vitamin A in the body. Mutations in the gene that codes for this protein can cause it to misfold. A misfolded protein can not carry out its functions and can also build up in different organs leading to a group of diseases known as amyloidosis. Depending upon the site in which this protein accumulates, a large variety of symptoms can be seen. If the protein deposits in the heart, it can lead to heart failure and associated symptoms and is known as cardiac amyloidosis. If in the nerves, it can lead to neuropathy and tingling and numbness and so on. Due to the various symptom's transthyretin amyloidosis can present with, it is difficult to keep it on the differential and diagnose the disease, as suspicions for it should be high. We would like to use this case report to help raise awareness about hereditary transthyretin amyloidosis.</p><p><strong>Case presentation: </strong>A 66-year-old Mexican male patient with a family history significant for hereditary amyloidosis presented with intermittent chest pain, shortness of breath, and neurological symptoms. An echocardiogram done at an outside hospital showed an ejection fraction of 55-60% with grade 2 diastolic dysfunction. A technetium pyrophosphate scan was used to make the diagnosis of transthyretin amyloidosis, and genetic testing showed that the patient was heterozygous for p.G67A (also known as c.2000G > C) pathogenic mutation in the transthyretin (TTR) gene. Due to these findings the patient was started on tafamidis free acid 61 mg daily and vutrisiran (Amvuttra) injections. He was also given vitamin A supplementation to prevent vutrisiran-associated vitamin A deficiency, which is a known side effect.</p><p><strong>Conclusions: </strong>A high index of suspicion is required for diagnosing transthyretin amyloidosis. This case will help raise awareness among physicians regarding the presence of the G67A mutation in Mexican patients and its management.</p>","PeriodicalId":16236,"journal":{"name":"Journal of Medical Case Reports","volume":"19 1","pages":"384"},"PeriodicalIF":0.8000,"publicationDate":"2025-08-04","publicationTypes":"Journal Article","fieldsOfStudy":null,"isOpenAccess":false,"openAccessPdf":"https://www.ncbi.nlm.nih.gov/pmc/articles/PMC12323104/pdf/","citationCount":"0","resultStr":"{\"title\":\"A mutation in transthyretin gene in a Mexican patient leading to hereditary amyloidosis: a case report.\",\"authors\":\"Muhammad Reebal Malik, Tarun Dalia, Zubair Shah\",\"doi\":\"10.1186/s13256-025-05308-w\",\"DOIUrl\":null,\"url\":null,\"abstract\":\"<p><strong>Background: </strong>Transthyretin is a protein produced by the liver, and when normal, it carries out the role of transporting thyroid hormone and vitamin A in the body. Mutations in the gene that codes for this protein can cause it to misfold. A misfolded protein can not carry out its functions and can also build up in different organs leading to a group of diseases known as amyloidosis. Depending upon the site in which this protein accumulates, a large variety of symptoms can be seen. If the protein deposits in the heart, it can lead to heart failure and associated symptoms and is known as cardiac amyloidosis. If in the nerves, it can lead to neuropathy and tingling and numbness and so on. Due to the various symptom's transthyretin amyloidosis can present with, it is difficult to keep it on the differential and diagnose the disease, as suspicions for it should be high. We would like to use this case report to help raise awareness about hereditary transthyretin amyloidosis.</p><p><strong>Case presentation: </strong>A 66-year-old Mexican male patient with a family history significant for hereditary amyloidosis presented with intermittent chest pain, shortness of breath, and neurological symptoms. An echocardiogram done at an outside hospital showed an ejection fraction of 55-60% with grade 2 diastolic dysfunction. A technetium pyrophosphate scan was used to make the diagnosis of transthyretin amyloidosis, and genetic testing showed that the patient was heterozygous for p.G67A (also known as c.2000G > C) pathogenic mutation in the transthyretin (TTR) gene. Due to these findings the patient was started on tafamidis free acid 61 mg daily and vutrisiran (Amvuttra) injections. He was also given vitamin A supplementation to prevent vutrisiran-associated vitamin A deficiency, which is a known side effect.</p><p><strong>Conclusions: </strong>A high index of suspicion is required for diagnosing transthyretin amyloidosis. This case will help raise awareness among physicians regarding the presence of the G67A mutation in Mexican patients and its management.</p>\",\"PeriodicalId\":16236,\"journal\":{\"name\":\"Journal of Medical Case Reports\",\"volume\":\"19 1\",\"pages\":\"384\"},\"PeriodicalIF\":0.8000,\"publicationDate\":\"2025-08-04\",\"publicationTypes\":\"Journal Article\",\"fieldsOfStudy\":null,\"isOpenAccess\":false,\"openAccessPdf\":\"https://www.ncbi.nlm.nih.gov/pmc/articles/PMC12323104/pdf/\",\"citationCount\":\"0\",\"resultStr\":null,\"platform\":\"Semanticscholar\",\"paperid\":null,\"PeriodicalName\":\"Journal of Medical Case Reports\",\"FirstCategoryId\":\"1085\",\"ListUrlMain\":\"https://doi.org/10.1186/s13256-025-05308-w\",\"RegionNum\":0,\"RegionCategory\":null,\"ArticlePicture\":[],\"TitleCN\":null,\"AbstractTextCN\":null,\"PMCID\":null,\"EPubDate\":\"\",\"PubModel\":\"\",\"JCR\":\"Q3\",\"JCRName\":\"MEDICINE, GENERAL & INTERNAL\",\"Score\":null,\"Total\":0}","platform":"Semanticscholar","paperid":null,"PeriodicalName":"Journal of Medical Case Reports","FirstCategoryId":"1085","ListUrlMain":"https://doi.org/10.1186/s13256-025-05308-w","RegionNum":0,"RegionCategory":null,"ArticlePicture":[],"TitleCN":null,"AbstractTextCN":null,"PMCID":null,"EPubDate":"","PubModel":"","JCR":"Q3","JCRName":"MEDICINE, GENERAL & INTERNAL","Score":null,"Total":0}
引用次数: 0

摘要

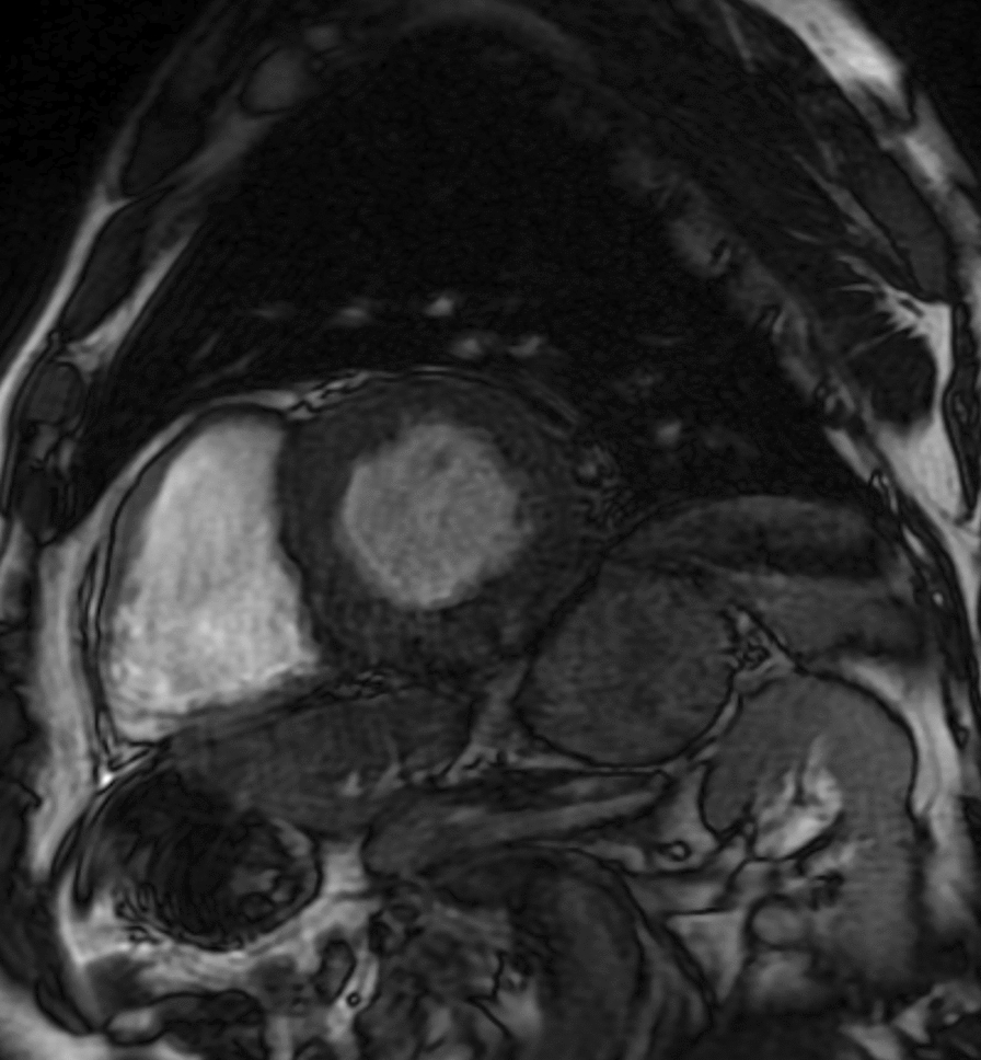
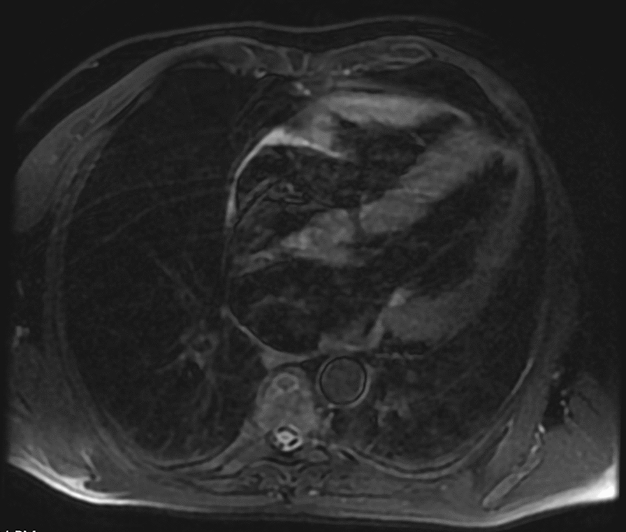
背景:转甲状腺素是一种由肝脏产生的蛋白质,正常情况下,它在体内执行运输甲状腺激素和维生素a的作用。编码这种蛋白质的基因发生突变会导致它错误折叠。错误折叠的蛋白质不能发挥它的功能,也会在不同的器官中堆积,导致一组被称为淀粉样变的疾病。根据这种蛋白质积聚的部位不同,可以看到各种各样的症状。如果这种蛋白质沉积在心脏,就会导致心力衰竭和相关症状,被称为心脏淀粉样变性。如果在神经上,它会导致神经病变,刺痛和麻木等。由于甲状腺转维蛋白淀粉样变可表现出各种症状,因此很难保持鉴别和诊断,对该病的怀疑应该很高。我们希望用这个病例报告来帮助提高对遗传性甲状腺转蛋白淀粉样变的认识。病例介绍:一名66岁墨西哥男性患者,有遗传性淀粉样变性家族史,表现为间歇性胸痛、呼吸急促和神经系统症状。在医院外做的超声心动图显示射血分数为55-60%,伴有2级舒张功能障碍。应用焦磷酸锝扫描诊断转甲状腺素淀粉样变性,基因检测显示患者转甲状腺素(TTR)基因p.G67A(又称C . 2000g > C)致病性突变为杂合子。由于这些发现,患者开始服用每日61毫克的他非他酸和乌曲西兰(Amvuttra)注射。他还补充了维生素A,以防止与黄曲霉素相关的维生素A缺乏症,这是一种已知的副作用。结论:甲状腺转维蛋白淀粉样变的诊断需要高度的怀疑指数。该病例将有助于提高医生对墨西哥患者中存在G67A突变及其管理的认识。
本文章由计算机程序翻译,如有差异,请以英文原文为准。

A mutation in transthyretin gene in a Mexican patient leading to hereditary amyloidosis: a case report.

A mutation in transthyretin gene in a Mexican patient leading to hereditary amyloidosis: a case report.

A mutation in transthyretin gene in a Mexican patient leading to hereditary amyloidosis: a case report.

A mutation in transthyretin gene in a Mexican patient leading to hereditary amyloidosis: a case report.

Background: Transthyretin is a protein produced by the liver, and when normal, it carries out the role of transporting thyroid hormone and vitamin A in the body. Mutations in the gene that codes for this protein can cause it to misfold. A misfolded protein can not carry out its functions and can also build up in different organs leading to a group of diseases known as amyloidosis. Depending upon the site in which this protein accumulates, a large variety of symptoms can be seen. If the protein deposits in the heart, it can lead to heart failure and associated symptoms and is known as cardiac amyloidosis. If in the nerves, it can lead to neuropathy and tingling and numbness and so on. Due to the various symptom's transthyretin amyloidosis can present with, it is difficult to keep it on the differential and diagnose the disease, as suspicions for it should be high. We would like to use this case report to help raise awareness about hereditary transthyretin amyloidosis.

Case presentation: A 66-year-old Mexican male patient with a family history significant for hereditary amyloidosis presented with intermittent chest pain, shortness of breath, and neurological symptoms. An echocardiogram done at an outside hospital showed an ejection fraction of 55-60% with grade 2 diastolic dysfunction. A technetium pyrophosphate scan was used to make the diagnosis of transthyretin amyloidosis, and genetic testing showed that the patient was heterozygous for p.G67A (also known as c.2000G > C) pathogenic mutation in the transthyretin (TTR) gene. Due to these findings the patient was started on tafamidis free acid 61 mg daily and vutrisiran (Amvuttra) injections. He was also given vitamin A supplementation to prevent vutrisiran-associated vitamin A deficiency, which is a known side effect.

Conclusions: A high index of suspicion is required for diagnosing transthyretin amyloidosis. This case will help raise awareness among physicians regarding the presence of the G67A mutation in Mexican patients and its management.

求助全文
通过发布文献求助,成功后即可免费获取论文全文。 去求助
来源期刊
Journal of Medical Case Reports
Journal of Medical Case Reports Medicine-Medicine (all)
CiteScore
1.50
自引率
0.00%
发文量
436
期刊介绍: JMCR is an open access, peer-reviewed online journal that will consider any original case report that expands the field of general medical knowledge. Reports should show one of the following: 1. Unreported or unusual side effects or adverse interactions involving medications 2. Unexpected or unusual presentations of a disease 3. New associations or variations in disease processes 4. Presentations, diagnoses and/or management of new and emerging diseases 5. An unexpected association between diseases or symptoms 6. An unexpected event in the course of observing or treating a patient 7. Findings that shed new light on the possible pathogenesis of a disease or an adverse effect
×
引用
GB/T 7714-2015
复制
MLA
复制
APA
复制
导出至
BibTeX EndNote RefMan NoteFirst NoteExpress
×
提示
您的信息不完整,为了账户安全,请先补充。
现在去补充
×
提示
您因"违规操作"
具体请查看互助需知
我知道了
×
提示
确定
请完成安全验证×
copy
已复制链接
快去分享给好友吧!
我知道了
右上角分享
点击右上角分享
0
联系我们:info@booksci.cn Book学术提供免费学术资源搜索服务,方便国内外学者检索中英文文献。致力于提供最便捷和优质的服务体验。 Copyright © 2023 布克学术 All rights reserved.
京ICP备2023020795号-1
ghs 京公网安备 11010802042870号
Book学术文献互助
Book学术文献互助群
群 号:604180095
Book学术官方微信