间歇期无先兆发作性偏头痛患者下丘脑及其亚单位的体积。

IF 7.9 1区 医学 Q1 CLINICAL NEUROLOGY
Irene Giardina, Antonio Di Renzo, Davide Chiffi, Francesca Giovannini, Giada Giuliani, Gabriele Sebastianelli, Francesco Casillo, Chiara Abagnale, Marta Altieri, Vittorio Di Piero, Gianluca Coppola, Francesca Caramia
{"title":"间歇期无先兆发作性偏头痛患者下丘脑及其亚单位的体积。","authors":"Irene Giardina, Antonio Di Renzo, Davide Chiffi, Francesca Giovannini, Giada Giuliani, Gabriele Sebastianelli, Francesco Casillo, Chiara Abagnale, Marta Altieri, Vittorio Di Piero, Gianluca Coppola, Francesca Caramia","doi":"10.1186/s10194-025-02118-9","DOIUrl":null,"url":null,"abstract":"<p><strong>Background: </strong>The hypothalamus is thought to play a crucial role in the recurrence of migraine attacks, exhibiting activity prior to the onset of a migraine attack. Nonetheless, our comprehension of the roles of its subunits, especially during the interictal phase, remains limited. This study investigated hypothalamic volumetric differences between individuals with episodic migraine and healthy controls, with scans conducted during the interictal phase, free from the effects of preventative medications.</p><p><strong>Methods: </strong>We analyzed hypothalamic volumes in 30 patients with episodic migraine without aura (MO), scanned during interictal periods and not on preventative medication, and in 30 healthy controls (HCs) matched for age and sex. Volumetric segmentation was performed of both hypothalamic subunits (anterior-inferior, anterior-superior, posterior, tubular inferior, and tubular superior) and the entire hypothalamus using magnetic resonance imaging (MRI) with T1-weighted sequences. General linear models were employed to evaluate volumetric differences after controlling for age, sex, and total brain volume.</p><p><strong>Results: </strong>The volumes of hypothalamic subunits and overall hypothalamus volumes exhibited no statistically significant differences between HCs and MO patients (p > 0.05). No associations were found between the clinical characteristics of MO and the total hypothalamic volume or its subunits.</p><p><strong>Conclusions: </strong>These findings suggest that the hypothalamus and its subregions do not exhibit detectable volumetric alterations during the interictal phase in patients with migraine without aura.</p>","PeriodicalId":16013,"journal":{"name":"Journal of Headache and Pain","volume":"26 1","pages":"176"},"PeriodicalIF":7.9000,"publicationDate":"2025-08-04","publicationTypes":"Journal Article","fieldsOfStudy":null,"isOpenAccess":false,"openAccessPdf":"https://www.ncbi.nlm.nih.gov/pmc/articles/PMC12323135/pdf/","citationCount":"0","resultStr":"{\"title\":\"Volume of the hypothalamus and its subunits in patients with episodic migraine without aura during interictal periods.\",\"authors\":\"Irene Giardina, Antonio Di Renzo, Davide Chiffi, Francesca Giovannini, Giada Giuliani, Gabriele Sebastianelli, Francesco Casillo, Chiara Abagnale, Marta Altieri, Vittorio Di Piero, Gianluca Coppola, Francesca Caramia\",\"doi\":\"10.1186/s10194-025-02118-9\",\"DOIUrl\":null,\"url\":null,\"abstract\":\"<p><strong>Background: </strong>The hypothalamus is thought to play a crucial role in the recurrence of migraine attacks, exhibiting activity prior to the onset of a migraine attack. Nonetheless, our comprehension of the roles of its subunits, especially during the interictal phase, remains limited. This study investigated hypothalamic volumetric differences between individuals with episodic migraine and healthy controls, with scans conducted during the interictal phase, free from the effects of preventative medications.</p><p><strong>Methods: </strong>We analyzed hypothalamic volumes in 30 patients with episodic migraine without aura (MO), scanned during interictal periods and not on preventative medication, and in 30 healthy controls (HCs) matched for age and sex. Volumetric segmentation was performed of both hypothalamic subunits (anterior-inferior, anterior-superior, posterior, tubular inferior, and tubular superior) and the entire hypothalamus using magnetic resonance imaging (MRI) with T1-weighted sequences. General linear models were employed to evaluate volumetric differences after controlling for age, sex, and total brain volume.</p><p><strong>Results: </strong>The volumes of hypothalamic subunits and overall hypothalamus volumes exhibited no statistically significant differences between HCs and MO patients (p > 0.05). No associations were found between the clinical characteristics of MO and the total hypothalamic volume or its subunits.</p><p><strong>Conclusions: </strong>These findings suggest that the hypothalamus and its subregions do not exhibit detectable volumetric alterations during the interictal phase in patients with migraine without aura.</p>\",\"PeriodicalId\":16013,\"journal\":{\"name\":\"Journal of Headache and Pain\",\"volume\":\"26 1\",\"pages\":\"176\"},\"PeriodicalIF\":7.9000,\"publicationDate\":\"2025-08-04\",\"publicationTypes\":\"Journal Article\",\"fieldsOfStudy\":null,\"isOpenAccess\":false,\"openAccessPdf\":\"https://www.ncbi.nlm.nih.gov/pmc/articles/PMC12323135/pdf/\",\"citationCount\":\"0\",\"resultStr\":null,\"platform\":\"Semanticscholar\",\"paperid\":null,\"PeriodicalName\":\"Journal of Headache and Pain\",\"FirstCategoryId\":\"3\",\"ListUrlMain\":\"https://doi.org/10.1186/s10194-025-02118-9\",\"RegionNum\":1,\"RegionCategory\":\"医学\",\"ArticlePicture\":[],\"TitleCN\":null,\"AbstractTextCN\":null,\"PMCID\":null,\"EPubDate\":\"\",\"PubModel\":\"\",\"JCR\":\"Q1\",\"JCRName\":\"CLINICAL NEUROLOGY\",\"Score\":null,\"Total\":0}","platform":"Semanticscholar","paperid":null,"PeriodicalName":"Journal of Headache and Pain","FirstCategoryId":"3","ListUrlMain":"https://doi.org/10.1186/s10194-025-02118-9","RegionNum":1,"RegionCategory":"医学","ArticlePicture":[],"TitleCN":null,"AbstractTextCN":null,"PMCID":null,"EPubDate":"","PubModel":"","JCR":"Q1","JCRName":"CLINICAL NEUROLOGY","Score":null,"Total":0}
引用次数: 0

摘要

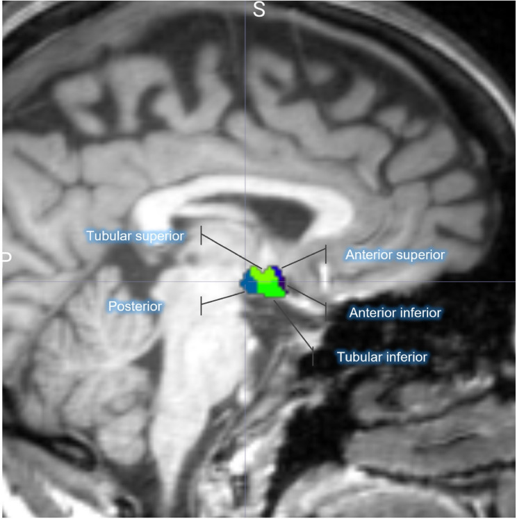
背景:下丘脑被认为在偏头痛发作的复发中起着至关重要的作用,在偏头痛发作前表现出活动。尽管如此,我们对其亚单位的作用的理解,特别是在中间阶段,仍然有限。本研究调查了发作性偏头痛患者和健康对照者之间下丘脑体积的差异,在没有预防性药物影响的间歇期进行扫描。方法:我们分析了30例无先兆发作性偏头痛(MO)患者的下丘脑体积,这些患者在间歇期进行扫描,未接受预防性药物治疗,以及30名年龄和性别相匹配的健康对照(hc)。使用t1加权序列的磁共振成像(MRI)对下丘脑亚单位(前下、前上、后、管状下和管状上)和整个下丘脑进行体积分割。在控制了年龄、性别和总脑容量后,采用一般线性模型来评估容量差异。结果:hc与MO患者下丘脑亚基体积及整体下丘脑体积差异无统计学意义(p < 0.05)。没有发现MO的临床特征与下丘脑总体积或其亚单位之间的关联。结论:这些发现表明,在无先兆偏头痛患者的间歇期,下丘脑及其亚区没有可检测到的体积改变。
本文章由计算机程序翻译,如有差异,请以英文原文为准。

Volume of the hypothalamus and its subunits in patients with episodic migraine without aura during interictal periods.

Volume of the hypothalamus and its subunits in patients with episodic migraine without aura during interictal periods.

Background: The hypothalamus is thought to play a crucial role in the recurrence of migraine attacks, exhibiting activity prior to the onset of a migraine attack. Nonetheless, our comprehension of the roles of its subunits, especially during the interictal phase, remains limited. This study investigated hypothalamic volumetric differences between individuals with episodic migraine and healthy controls, with scans conducted during the interictal phase, free from the effects of preventative medications.

Methods: We analyzed hypothalamic volumes in 30 patients with episodic migraine without aura (MO), scanned during interictal periods and not on preventative medication, and in 30 healthy controls (HCs) matched for age and sex. Volumetric segmentation was performed of both hypothalamic subunits (anterior-inferior, anterior-superior, posterior, tubular inferior, and tubular superior) and the entire hypothalamus using magnetic resonance imaging (MRI) with T1-weighted sequences. General linear models were employed to evaluate volumetric differences after controlling for age, sex, and total brain volume.

Results: The volumes of hypothalamic subunits and overall hypothalamus volumes exhibited no statistically significant differences between HCs and MO patients (p > 0.05). No associations were found between the clinical characteristics of MO and the total hypothalamic volume or its subunits.

Conclusions: These findings suggest that the hypothalamus and its subregions do not exhibit detectable volumetric alterations during the interictal phase in patients with migraine without aura.

求助全文
通过发布文献求助,成功后即可免费获取论文全文。 去求助
来源期刊
Journal of Headache and Pain
Journal of Headache and Pain 医学-临床神经学
CiteScore
11.80
自引率
13.50%
发文量
143
审稿时长
6-12 weeks
期刊介绍: The Journal of Headache and Pain, a peer-reviewed open-access journal published under the BMC brand, a part of Springer Nature, is dedicated to researchers engaged in all facets of headache and related pain syndromes. It encompasses epidemiology, public health, basic science, translational medicine, clinical trials, and real-world data. With a multidisciplinary approach, The Journal of Headache and Pain addresses headache medicine and related pain syndromes across all medical disciplines. It particularly encourages submissions in clinical, translational, and basic science fields, focusing on pain management, genetics, neurology, and internal medicine. The journal publishes research articles, reviews, letters to the Editor, as well as consensus articles and guidelines, aimed at promoting best practices in managing patients with headaches and related pain.
×
引用
GB/T 7714-2015
复制
MLA
复制
APA
复制
导出至
BibTeX EndNote RefMan NoteFirst NoteExpress
×
提示
您的信息不完整,为了账户安全,请先补充。
现在去补充
×
提示
您因"违规操作"
具体请查看互助需知
我知道了
×
提示
确定
请完成安全验证×
copy
已复制链接
快去分享给好友吧!
我知道了
右上角分享
点击右上角分享
0
联系我们:info@booksci.cn Book学术提供免费学术资源搜索服务,方便国内外学者检索中英文文献。致力于提供最便捷和优质的服务体验。 Copyright © 2023 布克学术 All rights reserved.
京ICP备2023020795号-1
ghs 京公网安备 11010802042870号
Book学术文献互助
Book学术文献互助群
群 号:604180095
Book学术官方微信