鉴别胃型腺癌、小叶型宫颈内腺增生与其他囊性病变的MRI定位评价。

IF 3.4 4区 医学 Q3 RADIOLOGY, NUCLEAR MEDICINE & MEDICAL IMAGING
Toshitaka Ishiguro, Tsukasa Saida, Manabu Minami, Kensaku Mori, Saki Shibuki, Shun Kagaya, Yoshida Miki, Toyomi Satoh, Takahito Nakajima
{"title":"鉴别胃型腺癌、小叶型宫颈内腺增生与其他囊性病变的MRI定位评价。","authors":"Toshitaka Ishiguro, Tsukasa Saida, Manabu Minami, Kensaku Mori, Saki Shibuki, Shun Kagaya, Yoshida Miki, Toyomi Satoh, Takahito Nakajima","doi":"10.1093/bjr/tqaf191","DOIUrl":null,"url":null,"abstract":"<p><strong>Objectives: </strong>To quantitatively differentiate MRI localization of gastric-type adenocarcinoma (GAS) and lobular endocervical glandular hyperplasia (LEGH) from other benign cystic lesions (OBC).</p><p><strong>Methods: </strong>We retrospectively reviewed T1-weighted (T1WI) and T2-weighted images (T2WI) and measured the lesion volume, the ratio of cervical canal position at the maximum cross-section (deviation ratio), the ratio of the lesion's centre within the craniocaudal length (longitudinal location ratio), distance from the internal and external os, maximum cyst diameter, and signal intensities of the cyst content on T1WI and T2WI (T1 and T2 ratios). These parameters were compared between GAS or LEGH and OBC, where OBC was clinically suspected of LEGH.</p><p><strong>Results: </strong>Seventeen patients with GAS, 18 with LEGH (52 ± 11 years), and 42 with OBC (45 ± 10 years) were included. GAS/LEGH were larger in volume (29.25/15.24 cm3, P < .001), and had a greater deviation ratio (0.82/0.84, P < .001), shorter distance to the internal and external os (3.4/3.6 mm, P = .040, and 3.3/3.3 mm, P = .003, respectively), and a lower T1 ratio (1.08/0.91, P < .001). The area under the curve (AUC) of these parameters using their respective optimal cut-off values was 0.818, 0.756, 0.629, 0.711, and 0.731, respectively. When 3 or more positive criteria were considered, the AUC increased to 0.896.</p><p><strong>Conclusions: </strong>Compared with OBC, GAS/LEGH displayed a larger volume, cervical canal deviation, proximity to the internal and external os, and a lower T1 ratio of cyst content.</p><p><strong>Advances in knowledge: </strong>Considering both the lesion and its relationship to the cervical canal is imperative for differentiating between the conditions.</p>","PeriodicalId":9306,"journal":{"name":"British Journal of Radiology","volume":" ","pages":"1698-1705"},"PeriodicalIF":3.4000,"publicationDate":"2025-10-01","publicationTypes":"Journal Article","fieldsOfStudy":null,"isOpenAccess":false,"openAccessPdf":"https://www.ncbi.nlm.nih.gov/pmc/articles/PMC12515035/pdf/","citationCount":"0","resultStr":"{\"title\":\"MRI localization evaluation to distinguish gastric-type adenocarcinoma and lobular endocervical glandular hyperplasia from other cystic lesions.\",\"authors\":\"Toshitaka Ishiguro, Tsukasa Saida, Manabu Minami, Kensaku Mori, Saki Shibuki, Shun Kagaya, Yoshida Miki, Toyomi Satoh, Takahito Nakajima\",\"doi\":\"10.1093/bjr/tqaf191\",\"DOIUrl\":null,\"url\":null,\"abstract\":\"<p><strong>Objectives: </strong>To quantitatively differentiate MRI localization of gastric-type adenocarcinoma (GAS) and lobular endocervical glandular hyperplasia (LEGH) from other benign cystic lesions (OBC).</p><p><strong>Methods: </strong>We retrospectively reviewed T1-weighted (T1WI) and T2-weighted images (T2WI) and measured the lesion volume, the ratio of cervical canal position at the maximum cross-section (deviation ratio), the ratio of the lesion's centre within the craniocaudal length (longitudinal location ratio), distance from the internal and external os, maximum cyst diameter, and signal intensities of the cyst content on T1WI and T2WI (T1 and T2 ratios). These parameters were compared between GAS or LEGH and OBC, where OBC was clinically suspected of LEGH.</p><p><strong>Results: </strong>Seventeen patients with GAS, 18 with LEGH (52 ± 11 years), and 42 with OBC (45 ± 10 years) were included. GAS/LEGH were larger in volume (29.25/15.24 cm3, P < .001), and had a greater deviation ratio (0.82/0.84, P < .001), shorter distance to the internal and external os (3.4/3.6 mm, P = .040, and 3.3/3.3 mm, P = .003, respectively), and a lower T1 ratio (1.08/0.91, P < .001). The area under the curve (AUC) of these parameters using their respective optimal cut-off values was 0.818, 0.756, 0.629, 0.711, and 0.731, respectively. When 3 or more positive criteria were considered, the AUC increased to 0.896.</p><p><strong>Conclusions: </strong>Compared with OBC, GAS/LEGH displayed a larger volume, cervical canal deviation, proximity to the internal and external os, and a lower T1 ratio of cyst content.</p><p><strong>Advances in knowledge: </strong>Considering both the lesion and its relationship to the cervical canal is imperative for differentiating between the conditions.</p>\",\"PeriodicalId\":9306,\"journal\":{\"name\":\"British Journal of Radiology\",\"volume\":\" \",\"pages\":\"1698-1705\"},\"PeriodicalIF\":3.4000,\"publicationDate\":\"2025-10-01\",\"publicationTypes\":\"Journal Article\",\"fieldsOfStudy\":null,\"isOpenAccess\":false,\"openAccessPdf\":\"https://www.ncbi.nlm.nih.gov/pmc/articles/PMC12515035/pdf/\",\"citationCount\":\"0\",\"resultStr\":null,\"platform\":\"Semanticscholar\",\"paperid\":null,\"PeriodicalName\":\"British Journal of Radiology\",\"FirstCategoryId\":\"3\",\"ListUrlMain\":\"https://doi.org/10.1093/bjr/tqaf191\",\"RegionNum\":4,\"RegionCategory\":\"医学\",\"ArticlePicture\":[],\"TitleCN\":null,\"AbstractTextCN\":null,\"PMCID\":null,\"EPubDate\":\"\",\"PubModel\":\"\",\"JCR\":\"Q3\",\"JCRName\":\"RADIOLOGY, NUCLEAR MEDICINE & MEDICAL IMAGING\",\"Score\":null,\"Total\":0}","platform":"Semanticscholar","paperid":null,"PeriodicalName":"British Journal of Radiology","FirstCategoryId":"3","ListUrlMain":"https://doi.org/10.1093/bjr/tqaf191","RegionNum":4,"RegionCategory":"医学","ArticlePicture":[],"TitleCN":null,"AbstractTextCN":null,"PMCID":null,"EPubDate":"","PubModel":"","JCR":"Q3","JCRName":"RADIOLOGY, NUCLEAR MEDICINE & MEDICAL IMAGING","Score":null,"Total":0}
引用次数: 0

摘要

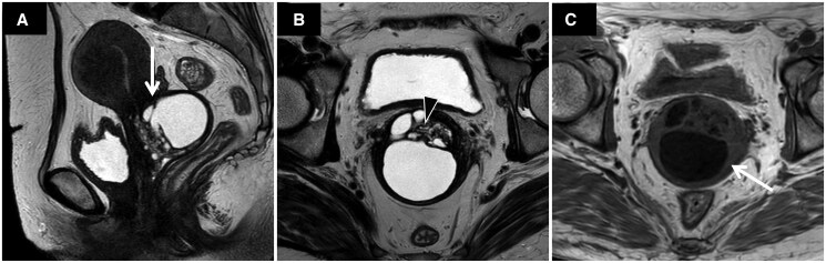
目的:定量鉴别胃型腺癌(GAS)和小叶型宫颈内腺增生(LEGH)与其他良性囊性病变(OBC)的MRI定位。方法:回顾性查看T1加权(T1WI)和T2加权(T2WI)图像,测量病变体积、颈管最大横截面位置比(偏移比)、病变中心在颅趾长度内的位置比(纵向位置比)、到内外os的距离、最大囊肿直径、T1WI和T2WI上囊肿内容物信号强度(T1和T2比)。将这些参数在GAS或LEGH与OBC之间进行比较,其中OBC临床怀疑为LEGH。结果:GAS患者17例,LEGH患者18例(52±11年),OBC患者42例(45±10年)。GAS/LEGH体积更大(29.25/15.24 cm3, p)结论:与OBC相比,GAS/LEGH体积更大,颈管偏曲,靠近内外腔,囊肿内容物T1比更低。知识进展:考虑病变及其与宫颈管的关系是区分疾病的必要条件。
本文章由计算机程序翻译,如有差异,请以英文原文为准。

MRI localization evaluation to distinguish gastric-type adenocarcinoma and lobular endocervical glandular hyperplasia from other cystic lesions.

MRI localization evaluation to distinguish gastric-type adenocarcinoma and lobular endocervical glandular hyperplasia from other cystic lesions.

MRI localization evaluation to distinguish gastric-type adenocarcinoma and lobular endocervical glandular hyperplasia from other cystic lesions.

MRI localization evaluation to distinguish gastric-type adenocarcinoma and lobular endocervical glandular hyperplasia from other cystic lesions.

Objectives: To quantitatively differentiate MRI localization of gastric-type adenocarcinoma (GAS) and lobular endocervical glandular hyperplasia (LEGH) from other benign cystic lesions (OBC).

Methods: We retrospectively reviewed T1-weighted (T1WI) and T2-weighted images (T2WI) and measured the lesion volume, the ratio of cervical canal position at the maximum cross-section (deviation ratio), the ratio of the lesion's centre within the craniocaudal length (longitudinal location ratio), distance from the internal and external os, maximum cyst diameter, and signal intensities of the cyst content on T1WI and T2WI (T1 and T2 ratios). These parameters were compared between GAS or LEGH and OBC, where OBC was clinically suspected of LEGH.

Results: Seventeen patients with GAS, 18 with LEGH (52 ± 11 years), and 42 with OBC (45 ± 10 years) were included. GAS/LEGH were larger in volume (29.25/15.24 cm3, P < .001), and had a greater deviation ratio (0.82/0.84, P < .001), shorter distance to the internal and external os (3.4/3.6 mm, P = .040, and 3.3/3.3 mm, P = .003, respectively), and a lower T1 ratio (1.08/0.91, P < .001). The area under the curve (AUC) of these parameters using their respective optimal cut-off values was 0.818, 0.756, 0.629, 0.711, and 0.731, respectively. When 3 or more positive criteria were considered, the AUC increased to 0.896.

Conclusions: Compared with OBC, GAS/LEGH displayed a larger volume, cervical canal deviation, proximity to the internal and external os, and a lower T1 ratio of cyst content.

Advances in knowledge: Considering both the lesion and its relationship to the cervical canal is imperative for differentiating between the conditions.

求助全文
通过发布文献求助,成功后即可免费获取论文全文。 去求助
来源期刊
British Journal of Radiology
British Journal of Radiology 医学-核医学
CiteScore
5.30
自引率
3.80%
发文量
330
审稿时长
2-4 weeks
期刊介绍: BJR is the international research journal of the British Institute of Radiology and is the oldest scientific journal in the field of radiology and related sciences. Dating back to 1896, BJR’s history is radiology’s history, and the journal has featured some landmark papers such as the first description of Computed Tomography "Computerized transverse axial tomography" by Godfrey Hounsfield in 1973. A valuable historical resource, the complete BJR archive has been digitized from 1896. Quick Facts: - 2015 Impact Factor – 1.840 - Receipt to first decision – average of 6 weeks - Acceptance to online publication – average of 3 weeks - ISSN: 0007-1285 - eISSN: 1748-880X Open Access option
×
引用
GB/T 7714-2015
复制
MLA
复制
APA
复制
导出至
BibTeX EndNote RefMan NoteFirst NoteExpress
×
提示
您的信息不完整,为了账户安全,请先补充。
现在去补充
×
提示
您因"违规操作"
具体请查看互助需知
我知道了
×
提示
确定
请完成安全验证×
copy
已复制链接
快去分享给好友吧!
我知道了
右上角分享
点击右上角分享
0
联系我们:info@booksci.cn Book学术提供免费学术资源搜索服务,方便国内外学者检索中英文文献。致力于提供最便捷和优质的服务体验。 Copyright © 2023 布克学术 All rights reserved.
京ICP备2023020795号-1
ghs 京公网安备 11010802042870号
Book学术文献互助
Book学术文献互助群
群 号:604180095
Book学术官方微信