犬偶发左冠状动脉至肺动脉主动脉瘘1例。

IF 2.6 2区 农林科学 Q1 VETERINARY SCIENCES
C F Agudelo, B Lukac, A Bockay, V Vargova, G Kackova, M Figurova, S Hornak
{"title":"犬偶发左冠状动脉至肺动脉主动脉瘘1例。","authors":"C F Agudelo, B Lukac, A Bockay, V Vargova, G Kackova, M Figurova, S Hornak","doi":"10.1186/s12917-025-04730-y","DOIUrl":null,"url":null,"abstract":"<p><p>A vascular communication between the left coronary artery and the main pulmonary artery (coronary fistula) was incidentally diagnosed in a 3-year-old female Tatran hound during a pre-anesthetic evaluation using echocardiography. Trauma and endocarditis were not suspected given the patient's history, clinical examination, and diagnostic imaging, which could have contributed to the development of this condition. Transthoracic echocardiography revealed dilation of the left coronary ostium, and continuous shunting on color and spectral Doppler was observed and this led to the diagnosis of coronary artery fistula. This diagnosis was confirmed through computed tomography. Coronary artery fistulas are infrequent findings in both humans and animals. According to the authors, this is the first reported clinical case of a congenital fistula between the left coronary artery and the main pulmonary artery in a dog.</p>","PeriodicalId":9041,"journal":{"name":"BMC Veterinary Research","volume":"21 1","pages":"503"},"PeriodicalIF":2.6000,"publicationDate":"2025-08-04","publicationTypes":"Journal Article","fieldsOfStudy":null,"isOpenAccess":false,"openAccessPdf":"https://www.ncbi.nlm.nih.gov/pmc/articles/PMC12323072/pdf/","citationCount":"0","resultStr":"{\"title\":\"Case report of an incidental left coronary artery to main pulmonary artery fistula in a dog.\",\"authors\":\"C F Agudelo, B Lukac, A Bockay, V Vargova, G Kackova, M Figurova, S Hornak\",\"doi\":\"10.1186/s12917-025-04730-y\",\"DOIUrl\":null,\"url\":null,\"abstract\":\"<p><p>A vascular communication between the left coronary artery and the main pulmonary artery (coronary fistula) was incidentally diagnosed in a 3-year-old female Tatran hound during a pre-anesthetic evaluation using echocardiography. Trauma and endocarditis were not suspected given the patient's history, clinical examination, and diagnostic imaging, which could have contributed to the development of this condition. Transthoracic echocardiography revealed dilation of the left coronary ostium, and continuous shunting on color and spectral Doppler was observed and this led to the diagnosis of coronary artery fistula. This diagnosis was confirmed through computed tomography. Coronary artery fistulas are infrequent findings in both humans and animals. According to the authors, this is the first reported clinical case of a congenital fistula between the left coronary artery and the main pulmonary artery in a dog.</p>\",\"PeriodicalId\":9041,\"journal\":{\"name\":\"BMC Veterinary Research\",\"volume\":\"21 1\",\"pages\":\"503\"},\"PeriodicalIF\":2.6000,\"publicationDate\":\"2025-08-04\",\"publicationTypes\":\"Journal Article\",\"fieldsOfStudy\":null,\"isOpenAccess\":false,\"openAccessPdf\":\"https://www.ncbi.nlm.nih.gov/pmc/articles/PMC12323072/pdf/\",\"citationCount\":\"0\",\"resultStr\":null,\"platform\":\"Semanticscholar\",\"paperid\":null,\"PeriodicalName\":\"BMC Veterinary Research\",\"FirstCategoryId\":\"97\",\"ListUrlMain\":\"https://doi.org/10.1186/s12917-025-04730-y\",\"RegionNum\":2,\"RegionCategory\":\"农林科学\",\"ArticlePicture\":[],\"TitleCN\":null,\"AbstractTextCN\":null,\"PMCID\":null,\"EPubDate\":\"\",\"PubModel\":\"\",\"JCR\":\"Q1\",\"JCRName\":\"VETERINARY SCIENCES\",\"Score\":null,\"Total\":0}","platform":"Semanticscholar","paperid":null,"PeriodicalName":"BMC Veterinary Research","FirstCategoryId":"97","ListUrlMain":"https://doi.org/10.1186/s12917-025-04730-y","RegionNum":2,"RegionCategory":"农林科学","ArticlePicture":[],"TitleCN":null,"AbstractTextCN":null,"PMCID":null,"EPubDate":"","PubModel":"","JCR":"Q1","JCRName":"VETERINARY SCIENCES","Score":null,"Total":0}
引用次数: 0

摘要

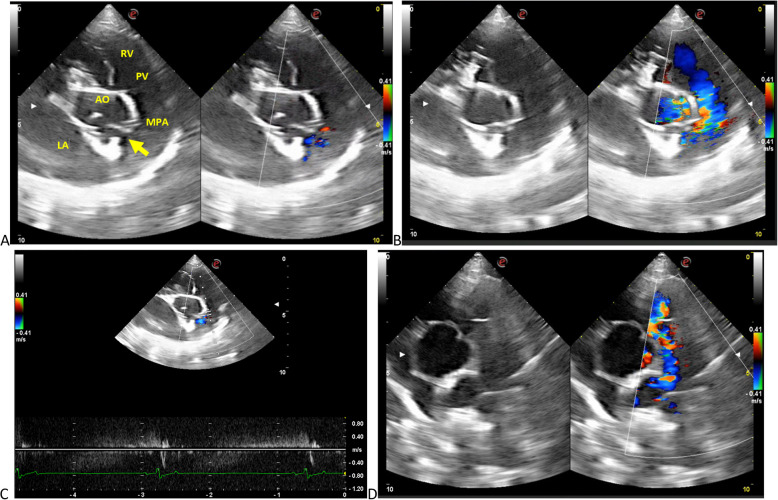
在麻醉前超声心动图评估中,一只3岁雌性塔特兰猎犬偶然诊断出左冠状动脉和肺动脉主动脉之间的血管通信(冠状动脉瘘)。考虑到患者的病史、临床检查和诊断成像,没有怀疑创伤和心内膜炎,这可能是导致这种疾病发展的原因。经胸超声心动图示左冠状动脉开口扩张,彩色及频谱多普勒示持续分流,诊断为冠状动脉瘘。通过计算机断层扫描证实了这一诊断。冠状动脉瘘在人类和动物中都是罕见的发现。据作者介绍,这是第一例犬左冠状动脉和肺动脉主动脉之间先天性瘘的临床报道。
本文章由计算机程序翻译,如有差异,请以英文原文为准。

Case report of an incidental left coronary artery to main pulmonary artery fistula in a dog.

Case report of an incidental left coronary artery to main pulmonary artery fistula in a dog.

Case report of an incidental left coronary artery to main pulmonary artery fistula in a dog.

Case report of an incidental left coronary artery to main pulmonary artery fistula in a dog.

A vascular communication between the left coronary artery and the main pulmonary artery (coronary fistula) was incidentally diagnosed in a 3-year-old female Tatran hound during a pre-anesthetic evaluation using echocardiography. Trauma and endocarditis were not suspected given the patient's history, clinical examination, and diagnostic imaging, which could have contributed to the development of this condition. Transthoracic echocardiography revealed dilation of the left coronary ostium, and continuous shunting on color and spectral Doppler was observed and this led to the diagnosis of coronary artery fistula. This diagnosis was confirmed through computed tomography. Coronary artery fistulas are infrequent findings in both humans and animals. According to the authors, this is the first reported clinical case of a congenital fistula between the left coronary artery and the main pulmonary artery in a dog.

求助全文
通过发布文献求助,成功后即可免费获取论文全文。 去求助
来源期刊
BMC Veterinary Research
BMC Veterinary Research VETERINARY SCIENCES-
CiteScore
4.80
自引率
3.80%
发文量
420
审稿时长
3-6 weeks
期刊介绍: BMC Veterinary Research is an open access, peer-reviewed journal that considers articles on all aspects of veterinary science and medicine, including the epidemiology, diagnosis, prevention and treatment of medical conditions of domestic, companion, farm and wild animals, as well as the biomedical processes that underlie their health.
×
引用
GB/T 7714-2015
复制
MLA
复制
APA
复制
导出至
BibTeX EndNote RefMan NoteFirst NoteExpress
×
提示
您的信息不完整,为了账户安全,请先补充。
现在去补充
×
提示
您因"违规操作"
具体请查看互助需知
我知道了
×
提示
确定
请完成安全验证×
copy
已复制链接
快去分享给好友吧!
我知道了
右上角分享
点击右上角分享
0
联系我们:info@booksci.cn Book学术提供免费学术资源搜索服务,方便国内外学者检索中英文文献。致力于提供最便捷和优质的服务体验。 Copyright © 2023 布克学术 All rights reserved.
京ICP备2023020795号-1
ghs 京公网安备 11010802042870号
Book学术文献互助
Book学术文献互助群
群 号:604180095
Book学术官方微信