动脉内超声造影在肝动脉移植后血栓中的应用:初步研究。

IF 1.4 4区 医学 Q3 SURGERY
Liqi Sun, Yijun Li, Kai Feng, Dong Zhao, Hong Yu, Zhiyan Li, Ningbo Zhao
{"title":"动脉内超声造影在肝动脉移植后血栓中的应用:初步研究。","authors":"Liqi Sun, Yijun Li, Kai Feng, Dong Zhao, Hong Yu, Zhiyan Li, Ningbo Zhao","doi":"10.12659/AOT.947500","DOIUrl":null,"url":null,"abstract":"<p><p>BACKGROUND Hepatic artery thrombosis is the most common and severe vascular complication after liver transplantations. Transcatheter arterial thrombolysis is a viable alternative with high selectivity, low drug dosage, high local drug concentration, and minimal effect on systemic coagulation function. Intra-arterial contrast-enhanced ultrasound (IA-CEUS) is radiation-free and repeatable, can be performed bedside, and could be an alternative for continuous monitoring. We described the efficacy of IA-CEUS in assessing the effect of continuous transcatheter arterial thrombolysis in post-liver transplant hepatic artery thrombosis in a series of cases. MATERIAL AND METHODS Eight patients with diagnosis of hepatic artery thrombosis after liver transplantation between November 2016 and May 2023 were selected. All 8 patients underwent continuous transcatheter arterial thrombolysis, using urokinase. Dynamic IA-CEUS monitoring was performed for each patient during the thrombolysis treatment. Hepatic artery digital subtraction angiography was used to verify the results. RESULTS Two patients showed a hepatic artery perfusion defect. Six patients demonstrated good perfusion of artery. Three patients developed biloma. One patient developed a dissection aneurysm. One patient developed a pseudoaneurysm with catheter displacement in it. One patient developed retroperitoneal hematoma. None of the patients experienced contrast agent-related complications. CONCLUSIONS IA-CEUS was found to be safe and feasible as a new option for evaluating the efficacy of transcatheter arterial thrombolysis in post-liver transplant hepatic artery thrombosis.</p>","PeriodicalId":7935,"journal":{"name":"Annals of Transplantation","volume":"30 ","pages":"e947500"},"PeriodicalIF":1.4000,"publicationDate":"2025-08-05","publicationTypes":"Journal Article","fieldsOfStudy":null,"isOpenAccess":false,"openAccessPdf":"https://www.ncbi.nlm.nih.gov/pmc/articles/PMC12335213/pdf/","citationCount":"0","resultStr":"{\"title\":\"Intra-Arterial Contrast-Enhanced Ultrasound for Transcatheter Thrombolysis in Post-Transplant Hepatic Artery Thrombosis: A Preliminary Study.\",\"authors\":\"Liqi Sun, Yijun Li, Kai Feng, Dong Zhao, Hong Yu, Zhiyan Li, Ningbo Zhao\",\"doi\":\"10.12659/AOT.947500\",\"DOIUrl\":null,\"url\":null,\"abstract\":\"<p><p>BACKGROUND Hepatic artery thrombosis is the most common and severe vascular complication after liver transplantations. Transcatheter arterial thrombolysis is a viable alternative with high selectivity, low drug dosage, high local drug concentration, and minimal effect on systemic coagulation function. Intra-arterial contrast-enhanced ultrasound (IA-CEUS) is radiation-free and repeatable, can be performed bedside, and could be an alternative for continuous monitoring. We described the efficacy of IA-CEUS in assessing the effect of continuous transcatheter arterial thrombolysis in post-liver transplant hepatic artery thrombosis in a series of cases. MATERIAL AND METHODS Eight patients with diagnosis of hepatic artery thrombosis after liver transplantation between November 2016 and May 2023 were selected. All 8 patients underwent continuous transcatheter arterial thrombolysis, using urokinase. Dynamic IA-CEUS monitoring was performed for each patient during the thrombolysis treatment. Hepatic artery digital subtraction angiography was used to verify the results. RESULTS Two patients showed a hepatic artery perfusion defect. Six patients demonstrated good perfusion of artery. Three patients developed biloma. One patient developed a dissection aneurysm. One patient developed a pseudoaneurysm with catheter displacement in it. One patient developed retroperitoneal hematoma. None of the patients experienced contrast agent-related complications. CONCLUSIONS IA-CEUS was found to be safe and feasible as a new option for evaluating the efficacy of transcatheter arterial thrombolysis in post-liver transplant hepatic artery thrombosis.</p>\",\"PeriodicalId\":7935,\"journal\":{\"name\":\"Annals of Transplantation\",\"volume\":\"30 \",\"pages\":\"e947500\"},\"PeriodicalIF\":1.4000,\"publicationDate\":\"2025-08-05\",\"publicationTypes\":\"Journal Article\",\"fieldsOfStudy\":null,\"isOpenAccess\":false,\"openAccessPdf\":\"https://www.ncbi.nlm.nih.gov/pmc/articles/PMC12335213/pdf/\",\"citationCount\":\"0\",\"resultStr\":null,\"platform\":\"Semanticscholar\",\"paperid\":null,\"PeriodicalName\":\"Annals of Transplantation\",\"FirstCategoryId\":\"3\",\"ListUrlMain\":\"https://doi.org/10.12659/AOT.947500\",\"RegionNum\":4,\"RegionCategory\":\"医学\",\"ArticlePicture\":[],\"TitleCN\":null,\"AbstractTextCN\":null,\"PMCID\":null,\"EPubDate\":\"\",\"PubModel\":\"\",\"JCR\":\"Q3\",\"JCRName\":\"SURGERY\",\"Score\":null,\"Total\":0}","platform":"Semanticscholar","paperid":null,"PeriodicalName":"Annals of Transplantation","FirstCategoryId":"3","ListUrlMain":"https://doi.org/10.12659/AOT.947500","RegionNum":4,"RegionCategory":"医学","ArticlePicture":[],"TitleCN":null,"AbstractTextCN":null,"PMCID":null,"EPubDate":"","PubModel":"","JCR":"Q3","JCRName":"SURGERY","Score":null,"Total":0}
引用次数: 0

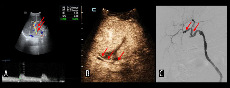
摘要

肝动脉血栓形成是肝移植术后最常见、最严重的血管并发症。经导管动脉溶栓具有高选择性、低剂量、局部药物浓度高、对全身凝血功能影响小等优点。动脉内对比增强超声(IA-CEUS)无辐射,可重复,可在床边进行,可作为连续监测的替代方法。我们描述了IA-CEUS在评估连续经导管动脉溶栓治疗肝移植后肝动脉血栓形成的效果中的有效性。材料与方法选取2016年11月至2023年5月肝移植术后诊断为肝动脉血栓形成的患者8例。所有8例患者均采用尿激酶连续经导管动脉溶栓。在溶栓治疗期间,对每位患者进行IA-CEUS动态监测。采用肝动脉数字减影血管造影对结果进行验证。结果2例患者出现肝动脉灌注缺损。6例患者动脉灌注良好。3例患者出现胆囊瘤。一名患者患上了夹层动脉瘤。一名患者出现假性动脉瘤,导管移位。1例患者出现腹膜后血肿。所有患者均未出现造影剂相关并发症。结论IA-CEUS作为评价经导管动脉溶栓治疗肝移植术后肝动脉血栓疗效的新选择是安全可行的。
本文章由计算机程序翻译,如有差异,请以英文原文为准。

Intra-Arterial Contrast-Enhanced Ultrasound for Transcatheter Thrombolysis in Post-Transplant Hepatic Artery Thrombosis: A Preliminary Study.

Intra-Arterial Contrast-Enhanced Ultrasound for Transcatheter Thrombolysis in Post-Transplant Hepatic Artery Thrombosis: A Preliminary Study.

Intra-Arterial Contrast-Enhanced Ultrasound for Transcatheter Thrombolysis in Post-Transplant Hepatic Artery Thrombosis: A Preliminary Study.

Intra-Arterial Contrast-Enhanced Ultrasound for Transcatheter Thrombolysis in Post-Transplant Hepatic Artery Thrombosis: A Preliminary Study.

BACKGROUND Hepatic artery thrombosis is the most common and severe vascular complication after liver transplantations. Transcatheter arterial thrombolysis is a viable alternative with high selectivity, low drug dosage, high local drug concentration, and minimal effect on systemic coagulation function. Intra-arterial contrast-enhanced ultrasound (IA-CEUS) is radiation-free and repeatable, can be performed bedside, and could be an alternative for continuous monitoring. We described the efficacy of IA-CEUS in assessing the effect of continuous transcatheter arterial thrombolysis in post-liver transplant hepatic artery thrombosis in a series of cases. MATERIAL AND METHODS Eight patients with diagnosis of hepatic artery thrombosis after liver transplantation between November 2016 and May 2023 were selected. All 8 patients underwent continuous transcatheter arterial thrombolysis, using urokinase. Dynamic IA-CEUS monitoring was performed for each patient during the thrombolysis treatment. Hepatic artery digital subtraction angiography was used to verify the results. RESULTS Two patients showed a hepatic artery perfusion defect. Six patients demonstrated good perfusion of artery. Three patients developed biloma. One patient developed a dissection aneurysm. One patient developed a pseudoaneurysm with catheter displacement in it. One patient developed retroperitoneal hematoma. None of the patients experienced contrast agent-related complications. CONCLUSIONS IA-CEUS was found to be safe and feasible as a new option for evaluating the efficacy of transcatheter arterial thrombolysis in post-liver transplant hepatic artery thrombosis.

求助全文
通过发布文献求助,成功后即可免费获取论文全文。 去求助
来源期刊
CiteScore
2.50
自引率
0.00%
发文量
79
审稿时长
>12 weeks
期刊介绍: Annals of Transplantation is one of the fast-developing journals open to all scientists and fields of transplant medicine and related research. The journal is published quarterly and provides extensive coverage of the most important advances in transplantation. Using an electronic on-line submission and peer review tracking system, Annals of Transplantation is committed to rapid review and publication. The average time to first decision is around 3-4 weeks. Time to publication of accepted manuscripts continues to be shortened, with the Editorial team committed to a goal of 3 months from acceptance to publication. Expert reseachers and clinicians from around the world contribute original Articles, Review Papers, Case Reports and Special Reports in every pertinent specialty, providing a lot of arguments for discussion of exciting developments and controversies in the field.
×
引用
GB/T 7714-2015
复制
MLA
复制
APA
复制
导出至
BibTeX EndNote RefMan NoteFirst NoteExpress
×
提示
您的信息不完整,为了账户安全,请先补充。
现在去补充
×
提示
您因"违规操作"
具体请查看互助需知
我知道了
×
提示
确定
请完成安全验证×
copy
已复制链接
快去分享给好友吧!
我知道了
右上角分享
点击右上角分享
0
联系我们:info@booksci.cn Book学术提供免费学术资源搜索服务,方便国内外学者检索中英文文献。致力于提供最便捷和优质的服务体验。 Copyright © 2023 布克学术 All rights reserved.
京ICP备2023020795号-1
ghs 京公网安备 11010802042870号
Book学术文献互助
Book学术文献互助群
群 号:604180095
Book学术官方微信