经动脉博莱霉素-脂醇栓塞治疗大肝血管瘤后出现顽固性肝门狭窄。

IF 0.5 Q4 GASTROENTEROLOGY & HEPATOLOGY
ACG Case Reports Journal Pub Date : 2025-08-04 eCollection Date: 2025-08-01 DOI:10.14309/crj.0000000000001793
Man Ting Kristina Yau, Cynthuja Thilakanathan, Hyun Jae Kim, Stephen G F Ho, Roberto P Trasolini, S Ian Gan, Maja Segedi
{"title":"经动脉博莱霉素-脂醇栓塞治疗大肝血管瘤后出现顽固性肝门狭窄。","authors":"Man Ting Kristina Yau, Cynthuja Thilakanathan, Hyun Jae Kim, Stephen G F Ho, Roberto P Trasolini, S Ian Gan, Maja Segedi","doi":"10.14309/crj.0000000000001793","DOIUrl":null,"url":null,"abstract":"<p><p>Symptomatic hepatic hemangiomas are commonly treated by transcatheter arterial embolization as an alternative to surgical resection. Bile duct complications are rare. An 80-year-old woman had a progressive refractory stricture postbleomycin transcatheter arterial chemoembolization. Magnetic resonance cholangiopancreatography showed that the hemangioma reduced in size, but there was a new 2 cm hilar stricture on cholangiopancreatography. Digital cholangioscopy and biopsy showed benign changes. Despite repeat dilations and stent treatments, she had persistent stricture and recurrent cholangitis. The stricture was not operable. The stricture was likely from angiosclerotic effects of bleomycin. The bile duct is prone to ischemic injury as it lacks dual blood supply.</p>","PeriodicalId":7394,"journal":{"name":"ACG Case Reports Journal","volume":"12 8","pages":"e01793"},"PeriodicalIF":0.5000,"publicationDate":"2025-08-04","publicationTypes":"Journal Article","fieldsOfStudy":null,"isOpenAccess":false,"openAccessPdf":"https://www.ncbi.nlm.nih.gov/pmc/articles/PMC12321459/pdf/","citationCount":"0","resultStr":"{\"title\":\"Resistant Hilar Stricture Following Transarterial Bleomycin-Lipiodol Embolization for a Large Hepatic Hemangioma.\",\"authors\":\"Man Ting Kristina Yau, Cynthuja Thilakanathan, Hyun Jae Kim, Stephen G F Ho, Roberto P Trasolini, S Ian Gan, Maja Segedi\",\"doi\":\"10.14309/crj.0000000000001793\",\"DOIUrl\":null,\"url\":null,\"abstract\":\"<p><p>Symptomatic hepatic hemangiomas are commonly treated by transcatheter arterial embolization as an alternative to surgical resection. Bile duct complications are rare. An 80-year-old woman had a progressive refractory stricture postbleomycin transcatheter arterial chemoembolization. Magnetic resonance cholangiopancreatography showed that the hemangioma reduced in size, but there was a new 2 cm hilar stricture on cholangiopancreatography. Digital cholangioscopy and biopsy showed benign changes. Despite repeat dilations and stent treatments, she had persistent stricture and recurrent cholangitis. The stricture was not operable. The stricture was likely from angiosclerotic effects of bleomycin. The bile duct is prone to ischemic injury as it lacks dual blood supply.</p>\",\"PeriodicalId\":7394,\"journal\":{\"name\":\"ACG Case Reports Journal\",\"volume\":\"12 8\",\"pages\":\"e01793\"},\"PeriodicalIF\":0.5000,\"publicationDate\":\"2025-08-04\",\"publicationTypes\":\"Journal Article\",\"fieldsOfStudy\":null,\"isOpenAccess\":false,\"openAccessPdf\":\"https://www.ncbi.nlm.nih.gov/pmc/articles/PMC12321459/pdf/\",\"citationCount\":\"0\",\"resultStr\":null,\"platform\":\"Semanticscholar\",\"paperid\":null,\"PeriodicalName\":\"ACG Case Reports Journal\",\"FirstCategoryId\":\"1085\",\"ListUrlMain\":\"https://doi.org/10.14309/crj.0000000000001793\",\"RegionNum\":0,\"RegionCategory\":null,\"ArticlePicture\":[],\"TitleCN\":null,\"AbstractTextCN\":null,\"PMCID\":null,\"EPubDate\":\"2025/8/1 0:00:00\",\"PubModel\":\"eCollection\",\"JCR\":\"Q4\",\"JCRName\":\"GASTROENTEROLOGY & HEPATOLOGY\",\"Score\":null,\"Total\":0}","platform":"Semanticscholar","paperid":null,"PeriodicalName":"ACG Case Reports Journal","FirstCategoryId":"1085","ListUrlMain":"https://doi.org/10.14309/crj.0000000000001793","RegionNum":0,"RegionCategory":null,"ArticlePicture":[],"TitleCN":null,"AbstractTextCN":null,"PMCID":null,"EPubDate":"2025/8/1 0:00:00","PubModel":"eCollection","JCR":"Q4","JCRName":"GASTROENTEROLOGY & HEPATOLOGY","Score":null,"Total":0}
引用次数: 0

摘要

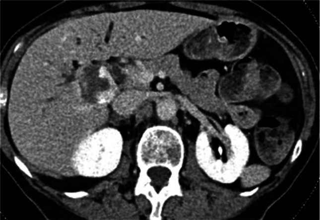
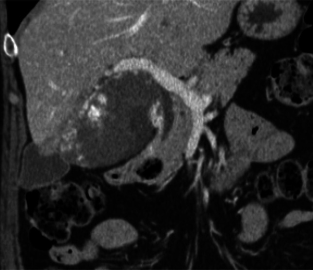
有症状的肝血管瘤通常通过经导管动脉栓塞作为手术切除的替代治疗。胆管并发症是罕见的。一位80岁的妇女在博莱霉素经导管动脉化疗栓塞后出现进行性难治性狭窄。磁共振胆管造影显示血管瘤体积缩小,但胆管造影显示新的2 cm门静脉狭窄。数字胆道镜及活检显示良性改变。尽管多次扩张和支架治疗,她仍有持续狭窄和复发性胆管炎。狭窄不能手术。狭窄可能是博来霉素的血管硬化作用所致。胆管缺乏双血供,易发生缺血性损伤。
本文章由计算机程序翻译,如有差异,请以英文原文为准。

Resistant Hilar Stricture Following Transarterial Bleomycin-Lipiodol Embolization for a Large Hepatic Hemangioma.

Resistant Hilar Stricture Following Transarterial Bleomycin-Lipiodol Embolization for a Large Hepatic Hemangioma.

Resistant Hilar Stricture Following Transarterial Bleomycin-Lipiodol Embolization for a Large Hepatic Hemangioma.

Resistant Hilar Stricture Following Transarterial Bleomycin-Lipiodol Embolization for a Large Hepatic Hemangioma.

Symptomatic hepatic hemangiomas are commonly treated by transcatheter arterial embolization as an alternative to surgical resection. Bile duct complications are rare. An 80-year-old woman had a progressive refractory stricture postbleomycin transcatheter arterial chemoembolization. Magnetic resonance cholangiopancreatography showed that the hemangioma reduced in size, but there was a new 2 cm hilar stricture on cholangiopancreatography. Digital cholangioscopy and biopsy showed benign changes. Despite repeat dilations and stent treatments, she had persistent stricture and recurrent cholangitis. The stricture was not operable. The stricture was likely from angiosclerotic effects of bleomycin. The bile duct is prone to ischemic injury as it lacks dual blood supply.

求助全文
通过发布文献求助,成功后即可免费获取论文全文。 去求助
来源期刊
ACG Case Reports Journal
ACG Case Reports Journal GASTROENTEROLOGY & HEPATOLOGY-
自引率
14.30%
发文量
170
审稿时长
12 weeks
期刊介绍: ACG Case Reports Journal is a peer-reviewed, open-access publication that provides GI and hepatology fellows, private practice clinicians, and other healthcare providers an opportunity to share interesting case reports with their peers and with leaders in the field. ACG Case Reports Journal publishes case reports, images, videos and letters to the editor in all topics of gastroenterology and hepatology, including: Biliary Colon Endoscopy Esophagus Functional Bowel Disorders Inflammatory Bowel Disease Liver Nutrition and Obesity Pancreas Pathology Pediatric Small Bowel Stomach.
×
引用
GB/T 7714-2015
复制
MLA
复制
APA
复制
导出至
BibTeX EndNote RefMan NoteFirst NoteExpress
×
提示
您的信息不完整,为了账户安全,请先补充。
现在去补充
×
提示
您因"违规操作"
具体请查看互助需知
我知道了
×
提示
确定
请完成安全验证×
copy
已复制链接
快去分享给好友吧!
我知道了
右上角分享
点击右上角分享
0
联系我们:info@booksci.cn Book学术提供免费学术资源搜索服务,方便国内外学者检索中英文文献。致力于提供最便捷和优质的服务体验。 Copyright © 2023 布克学术 All rights reserved.
京ICP备2023020795号-1
ghs 京公网安备 11010802042870号
Book学术文献互助
Book学术文献互助群
群 号:604180095
Book学术官方微信