用皮质类固醇成功治疗Rad-140致胆汁淤积性药物性肝损伤。

IF 0.5 Q4 GASTROENTEROLOGY & HEPATOLOGY
ACG Case Reports Journal Pub Date : 2025-08-04 eCollection Date: 2025-08-01 DOI:10.14309/crj.0000000000001803
Bilal Niazi, Bill Quach, Kurt Fisher, Thoetchai Peeraphatdit
{"title":"用皮质类固醇成功治疗Rad-140致胆汁淤积性药物性肝损伤。","authors":"Bilal Niazi, Bill Quach, Kurt Fisher, Thoetchai Peeraphatdit","doi":"10.14309/crj.0000000000001803","DOIUrl":null,"url":null,"abstract":"<p><p>Selective androgen receptor modulators (SARMs) are anabolic compounds that modulate androgen activity. They have been increasingly used in supplements to enhance performance and muscle growth despite not being Food and Drug Administration approved. Their use has been associated with a cholestatic pattern of liver injury similar to that seen by anabolic androgens. Treatment is primarily supportive with drug cessation and cholestasis can take weeks to months to normalize. We present an atypical case of prolonged cholestasis caused by the readily available selective androgen receptor modulator called RAD-140 that was successfully managed with corticosteroids.</p>","PeriodicalId":7394,"journal":{"name":"ACG Case Reports Journal","volume":"12 8","pages":"e01803"},"PeriodicalIF":0.5000,"publicationDate":"2025-08-04","publicationTypes":"Journal Article","fieldsOfStudy":null,"isOpenAccess":false,"openAccessPdf":"https://www.ncbi.nlm.nih.gov/pmc/articles/PMC12321445/pdf/","citationCount":"0","resultStr":"{\"title\":\"Cholestatic Drug-Induced Liver Injury From Rad-140 Successfully Treated With Corticosteroids.\",\"authors\":\"Bilal Niazi, Bill Quach, Kurt Fisher, Thoetchai Peeraphatdit\",\"doi\":\"10.14309/crj.0000000000001803\",\"DOIUrl\":null,\"url\":null,\"abstract\":\"<p><p>Selective androgen receptor modulators (SARMs) are anabolic compounds that modulate androgen activity. They have been increasingly used in supplements to enhance performance and muscle growth despite not being Food and Drug Administration approved. Their use has been associated with a cholestatic pattern of liver injury similar to that seen by anabolic androgens. Treatment is primarily supportive with drug cessation and cholestasis can take weeks to months to normalize. We present an atypical case of prolonged cholestasis caused by the readily available selective androgen receptor modulator called RAD-140 that was successfully managed with corticosteroids.</p>\",\"PeriodicalId\":7394,\"journal\":{\"name\":\"ACG Case Reports Journal\",\"volume\":\"12 8\",\"pages\":\"e01803\"},\"PeriodicalIF\":0.5000,\"publicationDate\":\"2025-08-04\",\"publicationTypes\":\"Journal Article\",\"fieldsOfStudy\":null,\"isOpenAccess\":false,\"openAccessPdf\":\"https://www.ncbi.nlm.nih.gov/pmc/articles/PMC12321445/pdf/\",\"citationCount\":\"0\",\"resultStr\":null,\"platform\":\"Semanticscholar\",\"paperid\":null,\"PeriodicalName\":\"ACG Case Reports Journal\",\"FirstCategoryId\":\"1085\",\"ListUrlMain\":\"https://doi.org/10.14309/crj.0000000000001803\",\"RegionNum\":0,\"RegionCategory\":null,\"ArticlePicture\":[],\"TitleCN\":null,\"AbstractTextCN\":null,\"PMCID\":null,\"EPubDate\":\"2025/8/1 0:00:00\",\"PubModel\":\"eCollection\",\"JCR\":\"Q4\",\"JCRName\":\"GASTROENTEROLOGY & HEPATOLOGY\",\"Score\":null,\"Total\":0}","platform":"Semanticscholar","paperid":null,"PeriodicalName":"ACG Case Reports Journal","FirstCategoryId":"1085","ListUrlMain":"https://doi.org/10.14309/crj.0000000000001803","RegionNum":0,"RegionCategory":null,"ArticlePicture":[],"TitleCN":null,"AbstractTextCN":null,"PMCID":null,"EPubDate":"2025/8/1 0:00:00","PubModel":"eCollection","JCR":"Q4","JCRName":"GASTROENTEROLOGY & HEPATOLOGY","Score":null,"Total":0}
引用次数: 0

摘要

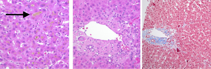
选择性雄激素受体调节剂(SARMs)是调节雄激素活性的合成代谢化合物。尽管没有得到食品和药物管理局的批准,但它们已经越来越多地用于补充剂中,以提高性能和肌肉生长。它们的使用与肝损伤的胆汁淤积模式有关,类似于合成代谢雄激素的使用。治疗主要是支持药物停止和胆汁淤积可能需要几周到几个月的正常。我们提出了一个非典型的延长胆汁淤积的情况下,容易获得的选择性雄激素受体调节剂被称为RAD-140,成功地管理与皮质类固醇引起的。
本文章由计算机程序翻译,如有差异,请以英文原文为准。

Cholestatic Drug-Induced Liver Injury From Rad-140 Successfully Treated With Corticosteroids.

Cholestatic Drug-Induced Liver Injury From Rad-140 Successfully Treated With Corticosteroids.

Cholestatic Drug-Induced Liver Injury From Rad-140 Successfully Treated With Corticosteroids.

Selective androgen receptor modulators (SARMs) are anabolic compounds that modulate androgen activity. They have been increasingly used in supplements to enhance performance and muscle growth despite not being Food and Drug Administration approved. Their use has been associated with a cholestatic pattern of liver injury similar to that seen by anabolic androgens. Treatment is primarily supportive with drug cessation and cholestasis can take weeks to months to normalize. We present an atypical case of prolonged cholestasis caused by the readily available selective androgen receptor modulator called RAD-140 that was successfully managed with corticosteroids.

求助全文
通过发布文献求助,成功后即可免费获取论文全文。 去求助
来源期刊
ACG Case Reports Journal
ACG Case Reports Journal GASTROENTEROLOGY & HEPATOLOGY-
自引率
14.30%
发文量
170
审稿时长
12 weeks
期刊介绍: ACG Case Reports Journal is a peer-reviewed, open-access publication that provides GI and hepatology fellows, private practice clinicians, and other healthcare providers an opportunity to share interesting case reports with their peers and with leaders in the field. ACG Case Reports Journal publishes case reports, images, videos and letters to the editor in all topics of gastroenterology and hepatology, including: Biliary Colon Endoscopy Esophagus Functional Bowel Disorders Inflammatory Bowel Disease Liver Nutrition and Obesity Pancreas Pathology Pediatric Small Bowel Stomach.
×
引用
GB/T 7714-2015
复制
MLA
复制
APA
复制
导出至
BibTeX EndNote RefMan NoteFirst NoteExpress
×
提示
您的信息不完整,为了账户安全,请先补充。
现在去补充
×
提示
您因"违规操作"
具体请查看互助需知
我知道了
×
提示
确定
请完成安全验证×
copy
已复制链接
快去分享给好友吧!
我知道了
右上角分享
点击右上角分享
0
联系我们:info@booksci.cn Book学术提供免费学术资源搜索服务,方便国内外学者检索中英文文献。致力于提供最便捷和优质的服务体验。 Copyright © 2023 布克学术 All rights reserved.
京ICP备2023020795号-1
ghs 京公网安备 11010802042870号
Book学术文献互助
Book学术文献互助群
群 号:604180095
Book学术官方微信