一种极为罕见的蛋白质丢失性肠病的病因:Waldenström巨球蛋白血症。

IF 0.5 Q4 GASTROENTEROLOGY & HEPATOLOGY
ACG Case Reports Journal Pub Date : 2025-08-04 eCollection Date: 2025-08-01 DOI:10.14309/crj.0000000000001800
Omar Saab, Marwah Algodi, Hasan Al-Obaidi, Alhareth Al-Sagban, Sebouh Setrakian, Alberto Rubio-Tapia
{"title":"一种极为罕见的蛋白质丢失性肠病的病因:Waldenström巨球蛋白血症。","authors":"Omar Saab, Marwah Algodi, Hasan Al-Obaidi, Alhareth Al-Sagban, Sebouh Setrakian, Alberto Rubio-Tapia","doi":"10.14309/crj.0000000000001800","DOIUrl":null,"url":null,"abstract":"<p><p>Protein-losing enteropathy (PLE) results in the abnormal loss of proteins through the gastrointestinal tract, leading to malabsorption and hypoalbuminemia. A rare etiology of PLE is Waldenström macroglobulinemia (WM), a hematological malignancy characterized by immunoglobulin M (IgM) monoclonal gammopathy. We present a case of a 66-year-old man with a history of small bowel bacterial overgrowth and lactose intolerance, admitted for worsening gastrointestinal symptoms, including abdominal discomfort, bloating, and watery diarrhea. He had experienced significant weight loss and anasarca over 6 months. Laboratory tests indicated hypoproteinemia, hypoalbuminemia, and elevated IgM levels, accompanied by abnormal stool studies. Imaging showed no significant findings, while endoscopic evaluation revealed lymphangiectasia-like changes in the small bowel. Biopsy results demonstrated proteinaceous material in dilated villi and IgM deposition. The diagnosis of WM was confirmed by bone marrow biopsy. Thus, WM should be considered when evaluating unexplained PLE, particularly with associated gastrointestinal symptoms and elevated IgM levels.</p>","PeriodicalId":7394,"journal":{"name":"ACG Case Reports Journal","volume":"12 8","pages":"e01800"},"PeriodicalIF":0.5000,"publicationDate":"2025-08-04","publicationTypes":"Journal Article","fieldsOfStudy":null,"isOpenAccess":false,"openAccessPdf":"https://www.ncbi.nlm.nih.gov/pmc/articles/PMC12321444/pdf/","citationCount":"0","resultStr":"{\"title\":\"An Extremely Rare Cause of Protein-Losing Enteropathy: Waldenström Macroglobulinemia.\",\"authors\":\"Omar Saab, Marwah Algodi, Hasan Al-Obaidi, Alhareth Al-Sagban, Sebouh Setrakian, Alberto Rubio-Tapia\",\"doi\":\"10.14309/crj.0000000000001800\",\"DOIUrl\":null,\"url\":null,\"abstract\":\"<p><p>Protein-losing enteropathy (PLE) results in the abnormal loss of proteins through the gastrointestinal tract, leading to malabsorption and hypoalbuminemia. A rare etiology of PLE is Waldenström macroglobulinemia (WM), a hematological malignancy characterized by immunoglobulin M (IgM) monoclonal gammopathy. We present a case of a 66-year-old man with a history of small bowel bacterial overgrowth and lactose intolerance, admitted for worsening gastrointestinal symptoms, including abdominal discomfort, bloating, and watery diarrhea. He had experienced significant weight loss and anasarca over 6 months. Laboratory tests indicated hypoproteinemia, hypoalbuminemia, and elevated IgM levels, accompanied by abnormal stool studies. Imaging showed no significant findings, while endoscopic evaluation revealed lymphangiectasia-like changes in the small bowel. Biopsy results demonstrated proteinaceous material in dilated villi and IgM deposition. The diagnosis of WM was confirmed by bone marrow biopsy. Thus, WM should be considered when evaluating unexplained PLE, particularly with associated gastrointestinal symptoms and elevated IgM levels.</p>\",\"PeriodicalId\":7394,\"journal\":{\"name\":\"ACG Case Reports Journal\",\"volume\":\"12 8\",\"pages\":\"e01800\"},\"PeriodicalIF\":0.5000,\"publicationDate\":\"2025-08-04\",\"publicationTypes\":\"Journal Article\",\"fieldsOfStudy\":null,\"isOpenAccess\":false,\"openAccessPdf\":\"https://www.ncbi.nlm.nih.gov/pmc/articles/PMC12321444/pdf/\",\"citationCount\":\"0\",\"resultStr\":null,\"platform\":\"Semanticscholar\",\"paperid\":null,\"PeriodicalName\":\"ACG Case Reports Journal\",\"FirstCategoryId\":\"1085\",\"ListUrlMain\":\"https://doi.org/10.14309/crj.0000000000001800\",\"RegionNum\":0,\"RegionCategory\":null,\"ArticlePicture\":[],\"TitleCN\":null,\"AbstractTextCN\":null,\"PMCID\":null,\"EPubDate\":\"2025/8/1 0:00:00\",\"PubModel\":\"eCollection\",\"JCR\":\"Q4\",\"JCRName\":\"GASTROENTEROLOGY & HEPATOLOGY\",\"Score\":null,\"Total\":0}","platform":"Semanticscholar","paperid":null,"PeriodicalName":"ACG Case Reports Journal","FirstCategoryId":"1085","ListUrlMain":"https://doi.org/10.14309/crj.0000000000001800","RegionNum":0,"RegionCategory":null,"ArticlePicture":[],"TitleCN":null,"AbstractTextCN":null,"PMCID":null,"EPubDate":"2025/8/1 0:00:00","PubModel":"eCollection","JCR":"Q4","JCRName":"GASTROENTEROLOGY & HEPATOLOGY","Score":null,"Total":0}
引用次数: 0

摘要

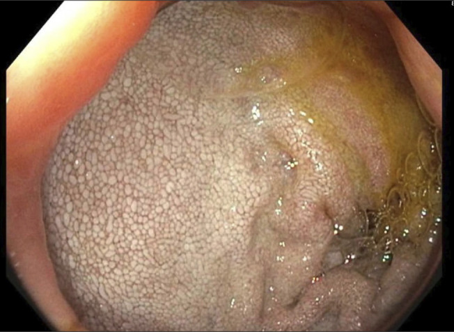
蛋白质丢失性肠病(PLE)通过胃肠道导致蛋白质异常丢失,导致吸收不良和低白蛋白血症。一种罕见的PLE病因是Waldenström巨球蛋白血症(WM),一种以免疫球蛋白M (IgM)单克隆γ病为特征的血液恶性肿瘤。我们报告一个66岁的男性病例,有小肠细菌过度生长和乳糖不耐受史,因胃肠道症状恶化而入院,包括腹部不适、腹胀和水样腹泻。在6个月的时间里,他经历了显著的体重减轻和缺氧。实验室检查显示低蛋白血症、低白蛋白血症和IgM水平升高,伴有大便异常。影像学检查未见明显发现,而内镜检查显示小肠淋巴管扩张样改变。活检结果显示扩张绒毛中有蛋白物质和IgM沉积。骨髓活检证实了WM的诊断。因此,在评估不明原因的PLE时应考虑WM,特别是与胃肠道症状和IgM水平升高相关的PLE。
本文章由计算机程序翻译,如有差异,请以英文原文为准。

An Extremely Rare Cause of Protein-Losing Enteropathy: Waldenström Macroglobulinemia.

An Extremely Rare Cause of Protein-Losing Enteropathy: Waldenström Macroglobulinemia.

An Extremely Rare Cause of Protein-Losing Enteropathy: Waldenström Macroglobulinemia.

An Extremely Rare Cause of Protein-Losing Enteropathy: Waldenström Macroglobulinemia.

Protein-losing enteropathy (PLE) results in the abnormal loss of proteins through the gastrointestinal tract, leading to malabsorption and hypoalbuminemia. A rare etiology of PLE is Waldenström macroglobulinemia (WM), a hematological malignancy characterized by immunoglobulin M (IgM) monoclonal gammopathy. We present a case of a 66-year-old man with a history of small bowel bacterial overgrowth and lactose intolerance, admitted for worsening gastrointestinal symptoms, including abdominal discomfort, bloating, and watery diarrhea. He had experienced significant weight loss and anasarca over 6 months. Laboratory tests indicated hypoproteinemia, hypoalbuminemia, and elevated IgM levels, accompanied by abnormal stool studies. Imaging showed no significant findings, while endoscopic evaluation revealed lymphangiectasia-like changes in the small bowel. Biopsy results demonstrated proteinaceous material in dilated villi and IgM deposition. The diagnosis of WM was confirmed by bone marrow biopsy. Thus, WM should be considered when evaluating unexplained PLE, particularly with associated gastrointestinal symptoms and elevated IgM levels.

求助全文
通过发布文献求助,成功后即可免费获取论文全文。 去求助
来源期刊
ACG Case Reports Journal
ACG Case Reports Journal GASTROENTEROLOGY & HEPATOLOGY-
自引率
14.30%
发文量
170
审稿时长
12 weeks
期刊介绍: ACG Case Reports Journal is a peer-reviewed, open-access publication that provides GI and hepatology fellows, private practice clinicians, and other healthcare providers an opportunity to share interesting case reports with their peers and with leaders in the field. ACG Case Reports Journal publishes case reports, images, videos and letters to the editor in all topics of gastroenterology and hepatology, including: Biliary Colon Endoscopy Esophagus Functional Bowel Disorders Inflammatory Bowel Disease Liver Nutrition and Obesity Pancreas Pathology Pediatric Small Bowel Stomach.
×
引用
GB/T 7714-2015
复制
MLA
复制
APA
复制
导出至
BibTeX EndNote RefMan NoteFirst NoteExpress
×
提示
您的信息不完整,为了账户安全,请先补充。
现在去补充
×
提示
您因"违规操作"
具体请查看互助需知
我知道了
×
提示
确定
请完成安全验证×
copy
已复制链接
快去分享给好友吧!
我知道了
右上角分享
点击右上角分享
0
联系我们:info@booksci.cn Book学术提供免费学术资源搜索服务,方便国内外学者检索中英文文献。致力于提供最便捷和优质的服务体验。 Copyright © 2023 布克学术 All rights reserved.
京ICP备2023020795号-1
ghs 京公网安备 11010802042870号
Book学术文献互助
Book学术文献互助群
群 号:604180095
Book学术官方微信